Moje doświadczenie
Systematycznie podnosi swoje kwalifikacje i stale pogłębia wiedzę na licznych kursach oraz szkoleniach w zakresie stomatologii estetycznej, protetyki oraz kompleksowego planowania leczenia.
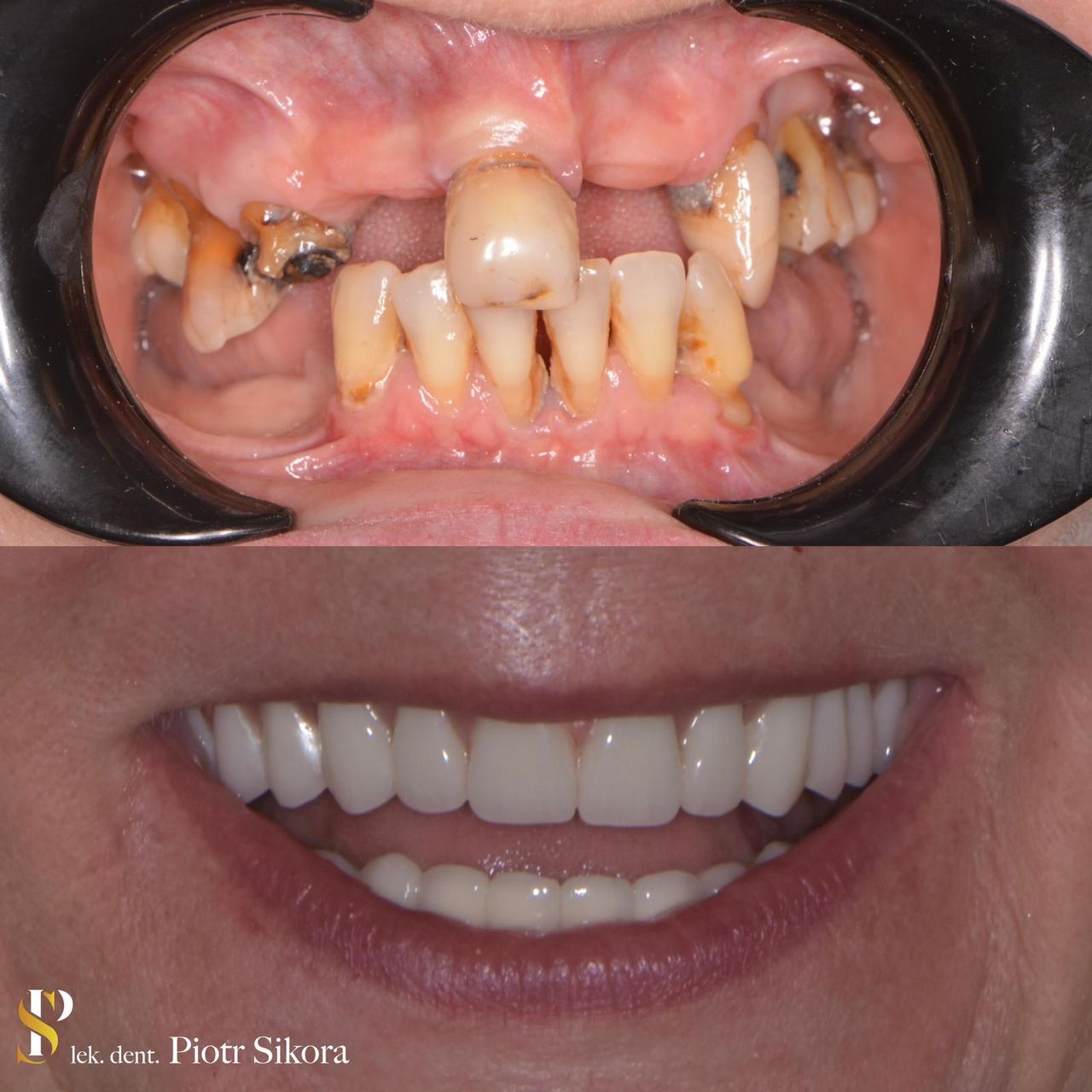
Jego największą pasją jest protetyka oraz implanto-protetyka, równie dobrze odnajduje się w zakresie chirurgii oraz endodoncji (leczenie kanałowe).
Dr. Piotr Sikora w naszym gabinecie specjalizuje się w wykonywaniu metamorfoz uśmiechu (wykorzystując metody flow injection, bonding oraz korony i licówki pełnoceramiczne) jak również uzupełnieniem braków zębowych za pomocą mostów i implantów.
Zajmuje się również leczeniem kanałowym z użyciem mikroskopu- wykonuje zarówno leczenie pierwotne, jak i wtórne (reendo).
W pracy wykazuje się ogromną dbałością o najdrobniejsze szczegóły aby zapewnić naszym pacjentom jak najlepszą opiekę.
Priorytetem jest dla niego dobry kontakt z Pacjentem – zwraca dużą uwagę, aby każda wizyta odbywała się bezstresowo i w miłej atmosferze.
W pracy klinicznej wykorzystuje powiększenie pola zabiegowego w postaci mikroskopu i lup stomatologicznych. Jego zamiłowanie do nowoczesnych technik i materiałów stomatologicznych przekłada się na najwyższy poziom świadczonych usług.
Zakres porad
- Protetyka stomatologiczna
Główne obszary pomocy
- Próchnica
- Ból zęba
- Braki zębowe
- Choroby miazgi
- Nadwrażliwość zębów
- +12 a11y_sr_more_diseases
Rodzaje konsultacji
Zdjęcia i filmy
Usługi i ceny
-
Konsultacja stomatologiczna
Od 100 zł -
-
Bonding zębów
Od 850 zł -
-
Konsultacja protetyczna
Od 200 zł -
-
Konsultacja do bondingu
Od 200 zł -
-
Konsultacja stomatologiczna (pierwsza wizyta)
Od 200 zł -
-
-
-
-
-
-
-
-
-
-
-
-
-
-
-
-
-
-
-
-
-
-
-
-
-
-
-
-
-
Adresy (2)
ul. Pszczyńska 197, 44-100 Gliwice
Dostępność
Telefon
Dlaczego prosimy Cię o wyrażenie zgody na przetwarzanie danych?
Wyrażenie zgody jest niezbędne do umówienia wizyty z wykorzystaniem telerejestracji. Wymagają tego przepisy Ogólnego Rozporządzenie o Ochronie Danych Osobowych - tzw. RODO. Informujemy, że zgoda jest dobrowolna, jednak jej brak uniemożliwi umówienie wizyty. Informujemy rówież, że zgoda może zostać w każdym momencie zostać wycofana. W tym celu wystarczy się skontaktować z nami przez formularz
Kiedy dojdzie do przetwarzania moich danych osobowych?
Do przetwarzania Twoich danych osobowych dojdzie podczas rozmowy telefonicznej z naszym centrum telerejestracji, ale jednak wyłącznie w sytuacji gdy tej rozmowy podasz nam swoje dane osobowe. Przetwarzanie danych osobowych dokonywane jest w celu umówienia wizyty i przekazania danych osobowych wybranemu Profesjonaliście.
Czy moje dane osobowe zostaną przekazane Profesjonaliście do którego chce się umówić na wizytę?
Tak. Udostępnimy wybranemu przez Ciebie Profesjonaliście informacje i dane osobowe które nam przekazałeś podczas rozmowy telefonicznej oraz przekażemy te informacje Profesjonaliście. Dzięki temu Profesjonalista będzie mógł przygotować się na Twoją wizytę.
Kto jest administratorem moich danych osobowych?
Administratorem danych osobowych jest ZnanyLekarz sp. z o.o. z siedzibą w Warszawie przy ul. Kolejowej 5/7. Informujemy, że po przekazaniu przez nas Twoich danych osobowych wybranemu przez Ciebie Profesjonaliście, staje się on również administratorem Twoich danych osobowych i przetwarza je w celach związanych ze świadczeniem usług medycznych lub innych podobnych.
Gdzie mogę uzyskać więcej informacji o moich prawach związanych z przetwarzaniem danych osobowych?
Więcej informacji o przetwarzaniu Twoich danych osobowychTypy przyjmowanych pacjentów
- Pacjenci prywatni (bez ubezpieczenia)
Damrota 195, 43-100 Tychy
Dostępność
W tym gabinecie nie można umawiać wizyt przez internet
Typy przyjmowanych pacjentów
- Pacjenci prywatni (bez ubezpieczenia)
Opinie
6 opinii
Sprawdzamy wszystkie opinie. Moderujemy je zgodnie z naszymi zasadami, dowiedz się więcej o opiniach i sposobie obliczania gwiazdek na Dowiedz się więcej Dowiedz się więcej o opiniach
-
Anna H.
Bardzo polecam Pana Doktora Sikorę. Przeprowadził u mnie skomplikowane i kompleksowe leczenie przed założeniem koron. Zarówno rwanie ósemki, jak i powtórne leczenie kanałowe były wykonane szybko, zdecydowanie i bezboleśnie. Kalendarz zabiegów dostosowano do moich możliwości (dojeżdżam z daleka) i szczegółowo zaplanowano. Wszystko odbyło się planowo, łącznie z realizacją bardzo precyzyjnego kosztorysu. Efekt finalny (korony na górnych zębach) super.
- Zaangażowanie lekarza
- Szczegółowe wyjaśnienia
- Skuteczność leczenia
- Punktualność
• Galeria Uśmiechu Gliwice - Centrum Stomatologii Estetycznej i Implantologii, stomatolog Gliwice • korony •
-
M.M
Bardzo miła i profesjonalna obsługa .Szczerze polecam
- Zaangażowanie lekarza
- Szczegółowe wyjaśnienia
• DentalCare & BeautyCare - KLINIKA PIĘKNEGO UŚMIECHU I PIĘKNEJ TWARZY • Konsultacja stomatologiczna •
-
P
Paulina
Pan Doktor buduje świetną relację z pacjentem już od chwili przekroczenia progu gabinetu. Czułam się bardzo bezpiecznie, gdyż Pan Doktor okazał mi wiele empatii i wręcz zarażał pozytywnym usposobieniem. Ponadto, bardzo cierpliwie i dokładnie odpowiadał na moje pytania związane z przebiegiem leczenia, które w moim przypadku obejmowało ekstrakcję dziewiątek oraz czwórek (do leczenia ortodontycznego) oraz wymianę istniejących wypełnień. Z efektu jestem bardzo zadowolona ! Wypełnienia są wykonane z największą dokładnością i precyzją, do tego stopnia, że nie byłam w stanie odróżnić zębów zdrowych od leczonych. Wszystko wygląda bardzo naturalnie. Natomiast usuwanie zębów było na tyle szybkie i bezbolesne, że byłam w szoku, jak sprawnie wszystko się odbyło, równocześnie bez najmniejszych komplikacji. Podsumowując, szczerze polecam leczenie u Pana Doktora Piotra i jednocześnie życzę mu, by jego ambicja i dalszy rozwój przyniosły mu wiele kolejnych sukcesów.
- Zaangażowanie lekarza
- Szczegółowe wyjaśnienia
- Skuteczność leczenia
• W innym miejscu • Inny •
-
Zuzanna
Trafiłam do Pana Doktora z bólem zęba. Okazało się ,że ząb należy leczyć kanałowo . Coś czego się bardzo obawiałam. Jednakże po tej wizycie całkowicie zmieniło się moje podejście . Całe leczenie trwało zaledwie 1 wizytę . Wszystko bezboleśnie. Następnie usunęłam u Doktora Piotra trzy ósemki których również się obawiałam przez długi czas . Pan Doktor jest bardzo wyrozumiały cierpliwy i wszystko dokładnie tłumaczy co będzie wykonywane. Teraz już nie wyobrażam sobie wizyty u innego specjalisty. Gorąco polecam !
- Zaangażowanie lekarza
- Szczegółowe wyjaśnienia
- Skuteczność leczenia
• CM Chemiczna, BDental Stomatologia • leczenie kanałowe •
-
Marcin S.
Ze swojej strony polecam Pana Piotra , ósemka wyrwana bez większych problemów z minimalnym bólem. Człowiek z poczuciem humoru , z którym można swobodnie porozmawiać i zażartować.
• Gabinet Lekarsko-Dentystyczny • ból zęba •
-
Edyta
Jeśli chodzi o usuwanie zębów , to najlepszy lekarz, 2 minuty i po wszystkim, podchodzi patrzy , rwie i nawet nie wiadomo kiedy jest po..., bardzo dobry -polecam
• Gabinet Lekarsko-Dentystyczny • ekstrakcja zęba •
Odpowiedzi na pytania
1 odpowiedzi udzielonych przez lekarza na pytania pacjentów na ZnanyLekarz.pl
Witam. Mam założone licówki bez szlifowania naturalnych zębów (porcelanowe- Emax).
Chciałabym je usunąć, najchętniej metodą laserową, ale widzę, że w Polsce chyba nie ma takiej możliwości. Dlatego mam pytanie- czy przy tradycyjnym usuwaniu licówek wiertłem nie ma zagrożenia, ze uszkodzi się moje prawdziwe zęby? Czy jest to dokładnie widocznie gdzie kończy się cement a zaczyna powierzchnia zęba?
Dziękuję.
Witam serdecznie. Jak najbardziej można usunąć licówki laserem i jest to najbezpieczniejsza metoda. Są gabinety które się tym zajmują pozdrawiam .
Wszystkie treści, w szczególności pytania i odpowiedzi, dotyczące tematyki medycznej mają charakter informacyjny i w żadnym wypadku nie mogą zastąpić diagnozy medycznej.
Najczęściej zadawane pytania
-
Jaki jest zakres porad oferowanych przez Piotr Sikora?Piotr Sikora to stomatolog. Na podstawie swojego doświadczenia i wykształcenia Piotr Sikora oferuje usługi takie jak: konsultacja protetyczna, konsultacja implantologiczna, Konsultacja stomatologiczna, konsultacja endodontyczna, konsultacja stomatologiczna (pierwsza wizyta), Bonding zębów, Implant z koroną protetyczną, Korona ceramiczna (porcelanowa), korona cyrkonowa, korona metalowo-porcelanowa.
-
Gdzie Piotr Sikora ma swój gabinet?Piotr Sikora przyjmuje pod adresem:
- Damrota 195 Tychy
- ul. Pszczyńska 197 Gliwice
-
Czy Piotr Sikora przyjmuje online, bez konieczności pojawiania się w placówce?Nie, w tym momencie Piotr Sikora nie oferuje konsultacji online.
-
Jak Piotr Sikora akceptuje płatności po wizycie?Metody płatności, które akceptuje Piotr Sikora to: Gotówka, Karta płatnicza, Przelew na konto, Płatność ratalna, Blik, Revolut.
-
W jakich językach konsultuje Piotr Sikora?Języki, których używa Piotr Sikora to angielski.
-
Jak Piotr Sikora umawia wizyty?Piotr Sikora używa kalendarza ZnanyLekarz, dlatego na stronie widzisz aktualne terminy. Wystarczy, że wybierzesz datę i godzinę, które odpowiadają Ci najbardziej. Umawianie wizyty jest darmowe, a tuż przed terminem wyślemy Ci przypomnienie.
-
W jakich godzinach przyjmuje Piotr Sikora?Piotr Sikora może mieć dostępne terminy w tym lub w nadchodzącym tygodniu. Terminy, które widzisz w kalendarzu są dostępne, ponieważ aktualizujemy go na bieżąco. Jeśli pierwszy dostępny termin Ci nie odpowiada, sprawdź następny. Rezerwacja terminu jest natychmiastowa, bez dodatkowych opłat.
-
Piotr Sikora: co mówią pacjenci?6 osób dodało swoją opinię. Piotr Sikora ma średnią ocen 5 (na 5 gwiazdek).
-
Jakie ubezpieczenia akceptuje Piotr Sikora?Piotr Sikora nie przyjmuje w ramach ubezpieczenia, tylko w ramach płatnych wizyt prywatnych. W razie wątpliwości zalecamy kontakt ze specjalistą.