lek. dent. Krzysztof Glanc

Stomatolog · Więcej O specjalizacjach

Kraków 2 adresy

Nr PWZ: 3600369

161 opinii

Moje doświadczenie

Absolwent kierunku lekarsko-dentystycznego Collegium Medicum Uniwersytetu Jagiellońskiego w Krakowie, członek Polskiego Stowarzyszenia Implantologicznego (PSI) oraz International Congress of Oral Implantologists (ICOI). Absolwent Corriculum Implantologii PSI. Wykonuje zabiegi z zakresu estetycznej stomatologii zachowawczej (wypełnienia, odbudowy typu onlay/overlay), chirurgii stomatologicznej (usuwanie zębów - w tym zatrzymanych “ósemek”), mikrochirurgii (resekcje mikrochirurgiczne z wypełnieniem wstecznym), regeneracji kości oraz implantologii. Pracuje w powiększeniu mikroskopu i w izolacji koferdamem, przykłada dużą wagę do estetyki wykonywanych prac oraz ich minimalnej inwazyjności. Stale podnosi swoje kwalifikacje uczestnicząc w licznych kursach i konferencjach. Prywatnie miłośnik zwierząt
więcej O mnie

Zakres porad

  • Chirurgia stomatologiczna
  • Stomatologia ogólna
  • Stomatologia zachowawcza z endodoncją
  • Periodontologia
  • Protetyka stomatologiczna
Pokaż więcej

Pacjenci których przyjmuję

Dorośli (Tylko pod niektórymi adresami)

Rodzaje konsultacji

Zdjęcia i filmy

Logo
lek. dent. Krzysztof Glanc

Zakopiańska 62B, Budynek Historyczny zejscie od strony Cinema City, 30-418 Kraków

Wizyta u implantologia dr. Krzysztofa Glanca to doświadczenie, które łączy profesjonalizm, nowoczesne podejście i troskę o pacjenta. Dr. Glanc, absolwent kierunku lekarsko-dentystycznego Collegium Medicum Uniwersytetu Jagiellońskiego w Krakowie, posiada szeroką wiedzę oraz doświadczenie w dziedzinie implantologii i estetyki stomatologicznej. Jako członek Polskiego Stowarzyszenia Implantologicznego (PSI) oraz International Congress of Oral Implantologists (ICOI), a także absolwent Corriculum Implantologii PSI, gwarantuje wysoką jakość świadczonych usług.
Dzięki regularnemu uczestnictwu w kursach i konferencjach, dr. Glanc stale podnosi swoje kwalifikacje, co zapewnia pacjentom dostęp do najnowszych i najbardziej skutecznych metod leczenia. Każda wizyta u niego to nie tylko gwarancja wysokiej jakości opieki stomatologicznej, ale także komfort i bezpieczeństwo pacjenta, który może czuć się w pełni zaopiekowany.

Wizyty u dr. Glanca są przyjazne i odbywają się w atmosferze zaufania, co sprawia, że pacjenci czują się swobodnie i bezpiecznie. Dzięki profesjonalizmowi i indywidualnemu podejściu, każda wizyta staje się pozytywnym doświadczeniem

10/11/2025

Usługi i ceny

  • Konsultacja stomatologiczna

    Od 250 zł

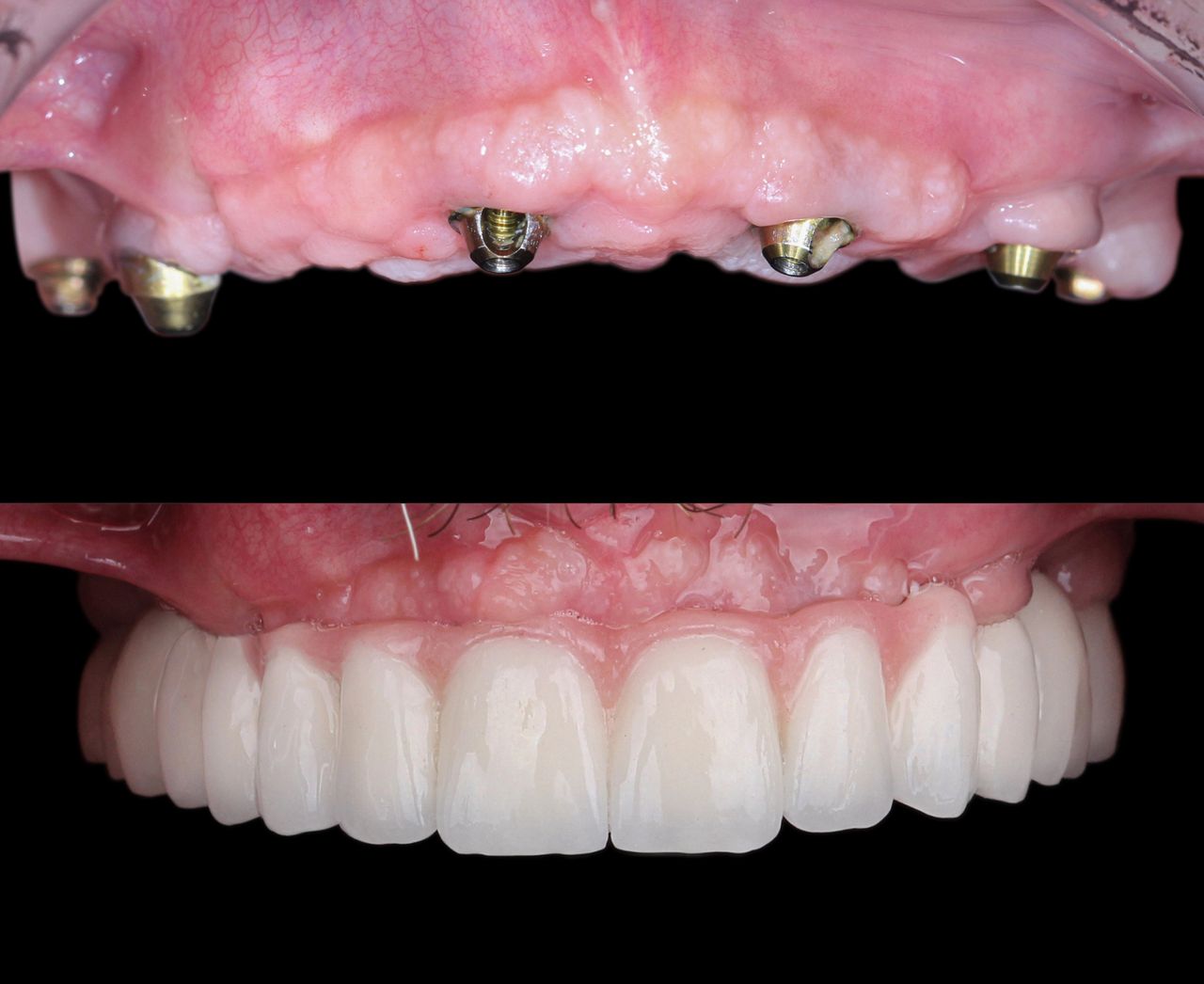
  • Regeneracja kości

    Od 2 000 zł

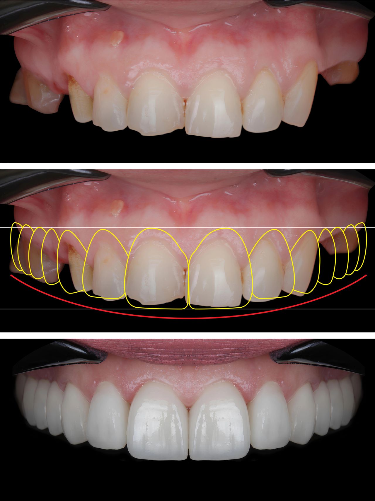
  • Kompleksowe leczenie całych łuków zębowych

    Od 540 zł

  • Konsultacja implantologiczna + CBCT

    Od 550 zł

  • Konsultacja implantologiczna z planem leczenia

    Od 250 zł

Adresy (2)

Powiększ mapę otwiera się w nowej karcie
Centrum Stomatologiczne Zakopianka

Zakopiańska 62B, Budynek Historyczny zejscie od strony Cinema City, Łagiewniki-Borek Fałęcki, 30-418 Kraków

Dostępność

Telefon

12 370...

Typy przyjmowanych pacjentów

  • Pacjenci prywatni (bez ubezpieczenia)
Powiększ mapę otwiera się w nowej karcie
Powiększ mapę otwiera się w nowej karcie
Czerwone Maki Stomatologia

Bobrzyńskiego 37, Dębniki, 30-348 Kraków

Dostępność

W tym gabinecie nie można umawiać wizyt przez internet

Typy przyjmowanych pacjentów

  • Pacjenci prywatni (bez ubezpieczenia)
Powiększ mapę otwiera się w nowej karcie

161 opinii

Sprawdzamy wszystkie opinie. Moderujemy je zgodnie z naszymi zasadami, dowiedz się więcej o opiniach i sposobie obliczania gwiazdek na Dowiedz się więcej Dowiedz się więcej o opiniach

  • M

    Bardzo polecam wizytę u pana Krzysztofa. Niezwykle sympatyczny i miły lekarz.Podejscie do pacjenta na plus.

     • Centrum Stomatologiczne Zakopianka Konsultacja stomatologiczna  • 

  • D

    Genialny stomatolog, po mojej traumie przy wcześniejszym wyrwaniu ósemki zdecydowanie zadbał o mój komfort. Profesjonalny sprzęt i sterylność na miejscu.

     • Centrum Stomatologiczne Zakopianka ekstrakcja ósemek  • 

  • A

    Zabieg usunięcia ósemki przebiegł w pełnym profesjonalizmie i bezstresowej atmosferze. Pan Doktor szczegółowo wyjaśnił każdy krok, a w trakcie zabiegu stale dbał o mój komfort i samopoczucie. Świetny specjalista, którego z czystym sumieniem polecam każdemu

     • Centrum Stomatologiczne Zakopianka chirurgiczne usuwanie ósemek  • 

  • W

    Bardzo polecam doktora Krzysztofa, miałam wykonywany zabieg usunięcia ósemki. Przede wszystkim doceniam to, że dla doktora najważniejszy jest komfort psychiczny i to aby dobrze się czuć podczas zabiegu. Cały czas byłam pytana czy nic mnie nie boli oraz proszona o informację kiedy poczuję jakiś ból. Gdy tylko była potrzeba, dokładano mi znieczulenie, w pewnym momencie głupio mi było prosić o więcej ale doktor stwierdził, że dokładamy jeśli potrzebuje Teraz jestem 3 dni od zabiegu - 0 opuchlizny, 0 bólu
    Jestem zadowolona również z asystujących Pań oraz Pani z recepcji, które były bardzo miłe i sprawnie wykonywały swoją pracę. Polecam!!

     • Centrum Stomatologiczne Zakopianka chirurgiczne usuwanie ósemek  • 

  • M

    Dr Krzysztof Glanc jest naprawdę super stomatologiem.Zaangazowany w to co robi,wizyty przebiegają bezstresowo,wszystko wytłumaczy.U P Krzysztofa leczyłam ząbki i wszystko jest bardzo dobrze a to zasługa P Krzysztofa polecam Pana doktora bo jest to osoba konkretną zaangażowana całym sercem w swoją pracę i w pacjenta .

     • Centrum Stomatologiczne Zakopianka wizyta w związku z bólem zęba  • 

  • K

    Kompetencje oraz dbałość o komfort pacjenta na najwyższym poziomie, zdecydowanie polecam!

     • Centrum Stomatologiczne Zakopianka ekstrakcja zęba  • 

  • Polecam każdemu, najlepszy stomatolog u jakiego kiedykolwiek byłem.

     • Centrum Stomatologiczne Zakopianka Konsultacja stomatologiczna  • 

  • P

    Jestem bardzo zadowolona z wizyty. To była jednorazowa, pilna wizyta — sprawę udało się załatwić szybko i skutecznie. Lekarz okazał się niezwykle sympatyczny, spokojny i przede wszystkim kompetentny. Atmosfera była bardzo dobra, a cały zabieg przeprowadzony profesjonalnie. Zdecydowanie polecam Pana Doktora!

     • Centrum Stomatologiczne Zakopianka kosmetyczne pokrycie zęba  • 

  • A

    Dr Glanc to stomatolog z powołania, a raczej Anioł w ludzkim ciele. Człowiek pełen empatii, profesjonalista w swoim fachu dla którego dobro i komfort pacjenta jest na najwyższym poziomie i miejscu. Zniwelował mój nieziemski strach przed ekstrakcją zęba, podczas jej przebiegu pytał po kilka razy czy na pewno nie odczuwam bólu, czy wszystko w porządku. Po usunięciu zęba - co do najdrobniejszego szczegółu, w najbardziej wyczerpujący sposób wyjaśnił mi jak powinnam postępować z raną oraz odpowiedział na wszystkie moje pytania. Doktor o wielkim sercu i cierpliwości do tak przerażonej pacjentki jaką (do tamtej pory) byłam ja. Atmosfera bardzo luźna. Podejście do pacjenta naprawdę na najwyższym poziomie z czym w stomatologii jeszcze się nie spotkałam - tym samym bardzo miło zaskoczyłam. Na wizycie kontrolnej po ekstrakcji (7 dni później) Doktor pytał mnie jak czułam się po powrocie do domu, czy wszystko było w porządku i jak czuje się w chwili obecnej. Bardzo polecam Doktora Krzysztofa Glanca

     • Centrum Stomatologiczne Zakopianka ekstrakcja zęba  • 

  • A

    Bardzo empatyczny,zainteresowany lekarz,stwarza miłą atmosferę,
    godny polecenia

     • Centrum Stomatologiczne Zakopianka chirurgiczne usuwanie zębów  • 

Wystąpił błąd, spróbuj jeszcze raz

Odpowiedzi na pytania

18 odpowiedzi udzielonych przez lekarza na pytania pacjentów na ZnanyLekarz.pl

Dzień dobry, 5 dni temu miałam przeprowadzone leczenie zęba trzonowego pod mikroskopem, ząb był wcześniej leczony kanałowo, jednak kanał nie był poprawnie wypełniony i pojawiła się torbiel okołowierzchołkowa. Pani Doktor przeprowadziła leczenie pod mikroskopem i w dzień wizyty nic mnie nie bolało. Kolejnego dnia pojawił się ból i trwał przez dwa dni, konsultowałam się z Panią Doktor i powiedziała, że przy takim leczeniu ból może faktycznie wystąpić i należy wziąć tabletkę przeciwbólową. Faktycznie ból przechodzi po przyjęciu tabletki, ale ostatnie dwa dni kiedy jej działanie mija ból jest silniejszy, pulsujący, dziąsło jest tkliwe, czuję wrażliwość w spodniej części żuchwy (pod językiem), a ból promieniuje do ucha. Po przyjęciu kolejnej tabletki ból znowu mija. Czy taki ból jest normalny, jeżeli tak to ile może jeszcze potrwać? A może należałoby zastosować antybiotyk?

Dzień dobry.
W przypadku ponownego leczenia kanałowego zębów ze zmianą okołowierzchołkową istnieje ryzyko czasowego zaostrzenia stanu zapalnego, jednak najczęściej mija po kilku - kilkunastu dniach. Jeżeli dolegliwości utrzymują się dłużej należy skontrolować się u Lekarza wykonującego zabieg - przyjmowanie antybiotyku jednak najczęściej nie jest konieczne.

Pozdrawiam serdecznie

lek. dent. Krzysztof Glanc

Mam zalozone licowki porcelanowe, po zalozeniu byl stan zapalny dziasel, dziasla się cofnęły, mam ogromne dziury między zebami, praca stomatologa się "odslonila". 2 licowki zostały wyżej zalozone niż normalnie były zęby. Od kolejnej odsunelo się dziaslo, zanik brodawek miedzyzebowych. Licowki zostały zalozone z dnia na dzień. Stomatolog nie widzi problemu. To tylko defekt kosmetyczny. Czy ktoś poleciłby lekarza który zajmuje się trudnymi przypadkami i pomoże? Mogę wysłać zdjęcia.

W przypadku problemów z linią dziąseł czy też zanikiem brodawek międzyzębowych najlepiej udać się do Periodontologa, specjalisty od takich problemów

Pozdrawiam serdecznie

lek. dent. Krzysztof Glanc
Zobacz wszystkie odpowiedzi

Wszystkie treści, w szczególności pytania i odpowiedzi, dotyczące tematyki medycznej mają charakter informacyjny i w żadnym wypadku nie mogą zastąpić diagnozy medycznej.

Najczęściej zadawane pytania