lek. dent.
Stanisław Rutz
Stomatolog
·
Więcej
O specjalizacjach
Bytom 1 adres
Nr PWZ: 2347922
97 opiniiMoje doświadczenie
Uczestnik licznych prestiżowych polskich i zagranicznych towarzystw naukowych, w tym Polskiego Stowarzyszenia Implantologicznego (PSI), Ogólnopolskiego Stowarzyszenia Implantologii Stomatologicznej (OSIS), Środkowoeuropejskiego Ośrodka Implantologii Dentystycznej (Central European Implant Academy- CEIA), The International Congress of Oral Implatologists (ICOI), International Team for Implantology (ITI), Dental Learning (Dental XP).
Ukończył zaawansowane szkolenie podyplomowe z zakresu chirurgii jamy ustnej Oral Surgery Academy.
Uczestnik wielu szkoleń i kongresów w Polsce i za granicą związanych z tematyką implantologii, chirurgii, periodontologii, implantoprotetyki , protetyki, endodoncji.
Od 10 lat Kierownik medyczny w Klinice Rez Dent.
Zawsze na pierwszym miejscu stawia dobro Pacjenta, jego komfort i zadowolenie.
Uważa, że szczegółowa rozmowa z pacjentem o jego oczekiwaniach i dostosowanie leczenia do tych oczekiwań pozwala zagwarantować sukces w leczeniu i zadowolenie pacjenta.
Główne zainteresowania zawodowe skupiają się wokół implantologii, chirurgii, periodontolologii, implantoproetyki i protetyki.
leczenie chirurgiczne:
ekstrakcje zębów
usuwanie zębów ósmych
usuwanie pozostawionych korzeni
usuwanie implantów
usuwanie ciał obcych z zatoki
usuwanie z zatok zmian, mucocele, torbieli zastoinowych
hemisekcje
resekcje korzeni zębów siecznych, kłów, przedtrzonowych i trzonowych
resekcje z uzupełnieniem jamy poresekcyjnej kością autogenną lub materiałem
cystectomie (usunięcie torbieli) wraz z badaniem hist-pat w zakresie kości szczęki i żuchwy
chirurgiczne leczenie ropni przyzębnych
wycinki histopatologiczne z błony śluzowej policzka, dna jamy ustnej, języka, podniebienia, warg
gingiwoplastyka
gingiwoosteoplastyka
operacje wędzidełek warg i policzków (frenuloplastyka, frenulektomia)
przeszczepy błony śluzowej celem poszerzenia dziąsła np związanego
pogłębianie przedsionków i dna jamy ustnej przed planowanym leczeniem protetycznym
plastyka kości wyrostka zębodołowego przed planowanym leczeniem protetycznym
plastyka połączenia ustno-zatokowego
przeszczepy łącznotkankowe w pokrywaniu recesji dziąseł
Przeszczepy łącznotkankowe
przeszczep dziąsła zrogowaciałego
plastyka przedsionka
plastyka guza szczęki i okolicy trójkąta zatrzonowcowego
chirurgiczne wydłużanie koron klinicznych zębów
zachowawcze i chirurgiczne leczenie chorób przyzębia
chirurgiczne leczenie implantologiczne
kiretaż otwarty całego wyrostka zębodołowego szczęki i żuchwy
leczenie chirurgiczne przyzębia
leczenie SRP przyzębia
plastyka przyczepów mięśni bródkowych przed planowanym leczeniem protetycznym
tamowanie krwotoków po zabiegach chirurgicznych w jamie ustnej
sondowanie przewodów wyprowadzających gruczołów ślinowych
replantacje zębów całkowicie zwichniętych z powodu urazu
usuwanie przepchniętych korzeni ze światła zatoki szczękowej
usuwanie kamieni z przewodów wyprowadzających gruczołów ślinowych
piezochirurgiczne wspomaganie leczenia ortodontycznego
transpozycja nerwu
ekstruzja ortodontyczna
augmentacja
regeneracja
podniesienie zatoki otwarte
podniesienie zatoki zamknięte
rozczep wyrostka
pobieranie bloku kostnego
przeszczep bloku kostnego
leczenie implantologiczne
wszczepianie implantów
rozszczep wyrostka
leczenie przy użyciu kautera, noża chirurgicznego
leczenie przy pomocy lasera
leczenie zachowawcze
leczenie endodontyczne
leczenie protetyczne (wykonywanie mostów, koron, licówek, nakładów, protez, przebudowa zgryzu, podnoszenie zwarcia, odbudowy protetyczne na implantach)
leczenie dysfunkcji stawu skroniowo- żuchwowego
wykonywanie zdjęć RTG, CBCT
znieczulenia nasiękowe, znieczulenia przewodowe
Zakres porad
- Chirurgia stomatologiczna
- Periodontologia
- Protetyka stomatologiczna
- Implantologia
Główne obszary pomocy
- Próchnica
- Ból zęba
- Braki zębowe
- Choroby miazgi
- Nadwrażliwość zębów
- +34 a11y_sr_more_diseases
Pacjenci których przyjmuję
Rodzaje konsultacji
W pigułce
-
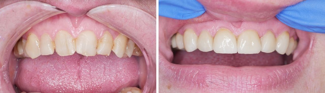
Implanty. Odbudowa pełnego łuku. All on 4.Odbudowa kości i dziąsła. Usuwanie chirurgiczne.Usuwanie ósemek zatrzymanych.
-
Profesjonalizm na 5+ Chodzę od kilku lat do Pana doktora i nie zamieniła bym na innego. Szczerze polecam. Ciężko trafić na tak dobrego i fachowego lekarza w.dzisiejszych czasach. I duży plus za cierpl...
więcejWirginia -
Pan Doktor jako jedyny lekarz potrafił uratować mojego zęba, który był trudny w leczeniu. Dodatkowo profesjonalizm i świetne podejście do pacjenta zdecydowanie na plus.
więcejBeata -
Trafiłam do dr Stanisława Rutz septyczna - po wielu przejściach u innej stomatolog. Od maja regularnie odwiedzam ten gabinet co miesiąc. Prawie wszystkie zęby do leczenia. Pełen profesjonalizm ze stro...
więcejAleksandra Sznajder
Usługi i ceny
-
Konsultacja stomatologiczna
Od 350 zł -
-
Regeneracja kości
Od 1 500 zł -
-
Leczenie próchnicy
Od 390 zł -
-
Leczenie stomatologiczne pod mikroskopem
Od 390 zł -
-
Licówki porcelanowe
Od 2 800 zł -
-
-
-
-
-
-
-
-
-
-
-
-
-
-
-
-
-
-
-
-
-
-
-
-
-
-
-
-
-
-
-
-
-
-
-
-
-
-
-
-
-
-
Adres
Powstańców Warszawskich 44, Parter, 41-902 Bytom
Dostępność
Telefon
Dlaczego prosimy Cię o wyrażenie zgody na przetwarzanie danych?
Wyrażenie zgody jest niezbędne do umówienia wizyty z wykorzystaniem telerejestracji. Wymagają tego przepisy Ogólnego Rozporządzenie o Ochronie Danych Osobowych - tzw. RODO. Informujemy, że zgoda jest dobrowolna, jednak jej brak uniemożliwi umówienie wizyty. Informujemy rówież, że zgoda może zostać w każdym momencie zostać wycofana. W tym celu wystarczy się skontaktować z nami przez formularz
Kiedy dojdzie do przetwarzania moich danych osobowych?
Do przetwarzania Twoich danych osobowych dojdzie podczas rozmowy telefonicznej z naszym centrum telerejestracji, ale jednak wyłącznie w sytuacji gdy tej rozmowy podasz nam swoje dane osobowe. Przetwarzanie danych osobowych dokonywane jest w celu umówienia wizyty i przekazania danych osobowych wybranemu Profesjonaliście.
Czy moje dane osobowe zostaną przekazane Profesjonaliście do którego chce się umówić na wizytę?
Tak. Udostępnimy wybranemu przez Ciebie Profesjonaliście informacje i dane osobowe które nam przekazałeś podczas rozmowy telefonicznej oraz przekażemy te informacje Profesjonaliście. Dzięki temu Profesjonalista będzie mógł przygotować się na Twoją wizytę.
Kto jest administratorem moich danych osobowych?
Administratorem danych osobowych jest ZnanyLekarz sp. z o.o. z siedzibą w Warszawie przy ul. Kolejowej 5/7. Informujemy, że po przekazaniu przez nas Twoich danych osobowych wybranemu przez Ciebie Profesjonaliście, staje się on również administratorem Twoich danych osobowych i przetwarza je w celach związanych ze świadczeniem usług medycznych lub innych podobnych.
Gdzie mogę uzyskać więcej informacji o moich prawach związanych z przetwarzaniem danych osobowych?
Więcej informacji o przetwarzaniu Twoich danych osobowychTypy przyjmowanych pacjentów
- Pacjenci prywatni (bez ubezpieczenia)
Galeria
Opinie
97 opinii
Sprawdzamy wszystkie opinie. Moderujemy je zgodnie z naszymi zasadami, dowiedz się więcej o opiniach i sposobie obliczania gwiazdek na Dowiedz się więcej Dowiedz się więcej o opiniach
Wyróżnione
-
W
Wirginia
Profesjonalizm na 5+
Chodzę od kilku lat do Pana doktora i nie zamieniła bym na innego. Szczerze polecam. Ciężko trafić na tak dobrego i fachowego lekarza w.dzisiejszych czasach. I duży plus za cierpliwosc• REZ DENT • leczenie stomatologiczne pod mikroskopem •
-
B
Beata
Pan Doktor jako jedyny lekarz potrafił uratować mojego zęba, który był trudny w leczeniu. Dodatkowo profesjonalizm i świetne podejście do pacjenta zdecydowanie na plus.
• REZ DENT • kompleksowe badanie stomatologiczne + plan leczenia •
-
A
Aleksandra Sznajder
Trafiłam do dr Stanisława Rutz septyczna - po wielu przejściach u innej stomatolog. Od maja regularnie odwiedzam ten gabinet co miesiąc. Prawie wszystkie zęby do leczenia. Pełen profesjonalizm ze strony lekarza i pomocy dentystycznej p. Kingi. Polecam wszystkim.
• REZ DENT • Inny •
-
K
Katarzyna
Jestem bardzo zadowolona z wizyty i pana doktora. Byłam na wizycie konsultacyjnej. Pan doktor bardzo szczegółowo i zrozumiale wszystko mi wyjaśnił.
• REZ DENT • Konsultacja specjalistyczna (implantologiczna, protetyczna) •
-
Maciek
U doktora Stanisława Rutz leczę sie już od jakiegos czasu. Wszystko zawsze szczegolowo wyjasnia, dziala sprawnie i w koncu przestalem bac sie wizyt u dentysty.
• REZ DENT • All on 6 - zabieg stomatologiczny - odbudowa całego łuku zębowego na 4 lub 6 implantach •
-
A
Angelika
Szczegółowo omówiony plan leczenia, wizyta bezbolesna i wszystko w miłej atmosferze. Polecam.
• REZ DENT • kompleksowe badanie stomatologiczne + plan leczenia •
-
G
G.D.
Super wizyta bardzo pozyt6wnq super lekarz polecam
• REZ DENT • leczenie próchnicy •
-
B
BD
Stomatologia na bardzo wysokim poziomie, Pan doktor Rutz to bardzo miły stomatolog , wszystko tłumaczy bardzo dokładnie, udziela odpowiedzi na wszystkie pytania i leczy bezboleśnie. Leczenie zębów pod mikroskopem. Jestem bardzo zadowolona z wizyty.
• REZ DENT • leczenie próchnicy •
-
K
Konrad
Bardzo profesjonalny wizyta, wszystko zostało mi dokładnie wytłumaczone
• REZ DENT • leczenie próchnicy •
-
R
Rozalia
Zawsze jestem przerażona wizytą u stomatologa. A dzisiaj czułam się spokojna i zaopiekowana. Lekarz bardzo empatyczny, asystentka również. Ze spokojem pójdę na następne umówione wizyty. Polecam ze szczerego serca gabinet stomatologiczny.
• REZ DENT • kompleksowe badanie stomatologiczne + plan leczenia •
Najczęściej zadawane pytania
-
Jaki jest zakres porad oferowanych przez Stanisław Rutz?Stanisław Rutz to stomatolog. Na podstawie swojego doświadczenia i wykształcenia Stanisław Rutz oferuje usługi takie jak: regeneracja kości, leczenie chorób dziąseł, All-on-4, All-on-6 zabieg - cały łyk zębowy na 6 implantach, All on 6 - zabieg stomatologiczny - odbudowa całego łuku zębowego na 4 lub 6 implantach, All on 4 - odbudowa całego łuku zębowego na 4 implantach, korony pełnoceramiczne, konsultacja endodontyczna, Konsultacja periodontologiczna, Licówki porcelanowe.
-
Gdzie Stanisław Rutz ma swój gabinet?Stanisław Rutz przyjmuje pod adresem:
- Powstańców Warszawskich 44 Bytom
-
Czy Stanisław Rutz przyjmuje online, bez konieczności pojawiania się w placówce?Nie, w tym momencie Stanisław Rutz nie oferuje konsultacji online.
-
Jak Stanisław Rutz akceptuje płatności po wizycie?Metody płatności, które akceptuje Stanisław Rutz to: Gotówka, Karta płatnicza, Przelew na konto.
-
W jakich językach konsultuje Stanisław Rutz?Języki, których używa Stanisław Rutz to angielski, polski.
-
Jak Stanisław Rutz umawia wizyty?Stanisław Rutz używa kalendarza ZnanyLekarz, dlatego na stronie widzisz aktualne terminy. Wystarczy, że wybierzesz datę i godzinę, które odpowiadają Ci najbardziej. Umawianie wizyty jest darmowe, a tuż przed terminem wyślemy Ci przypomnienie.
-
W jakich godzinach przyjmuje Stanisław Rutz?Stanisław Rutz może mieć dostępne terminy w tym lub w nadchodzącym tygodniu. Terminy, które widzisz w kalendarzu są dostępne, ponieważ aktualizujemy go na bieżąco. Jeśli pierwszy dostępny termin Ci nie odpowiada, sprawdź następny. Rezerwacja terminu jest natychmiastowa, bez dodatkowych opłat.
-
Stanisław Rutz: co mówią pacjenci?97 osób dodało swoją opinię. Stanisław Rutz ma średnią ocen 5 (na 5 gwiazdek).
-
Jakie ubezpieczenia akceptuje Stanisław Rutz?Stanisław Rutz nie przyjmuje w ramach ubezpieczenia, tylko w ramach płatnych wizyt prywatnych. W razie wątpliwości zalecamy kontakt ze specjalistą.