Przewidywany czas odpowiedzi:
Logo
lek. dent. Magdalena Gruszczyńska

ul. Francesco Nullo 42/U7, 31-543 Kraków

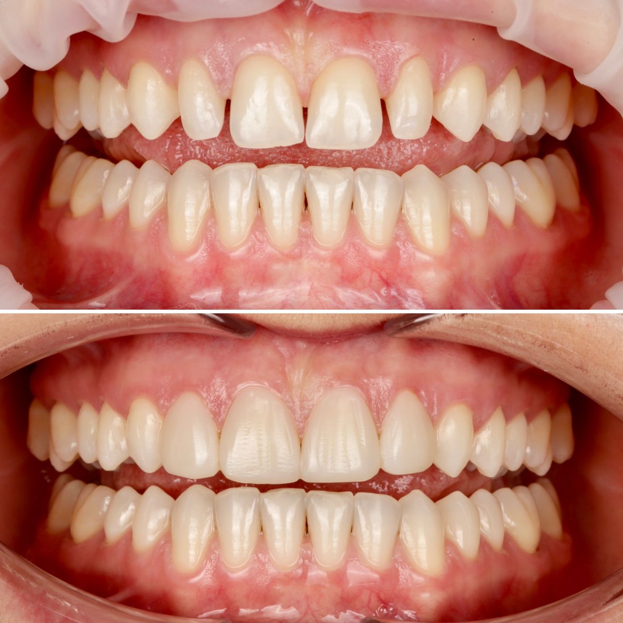
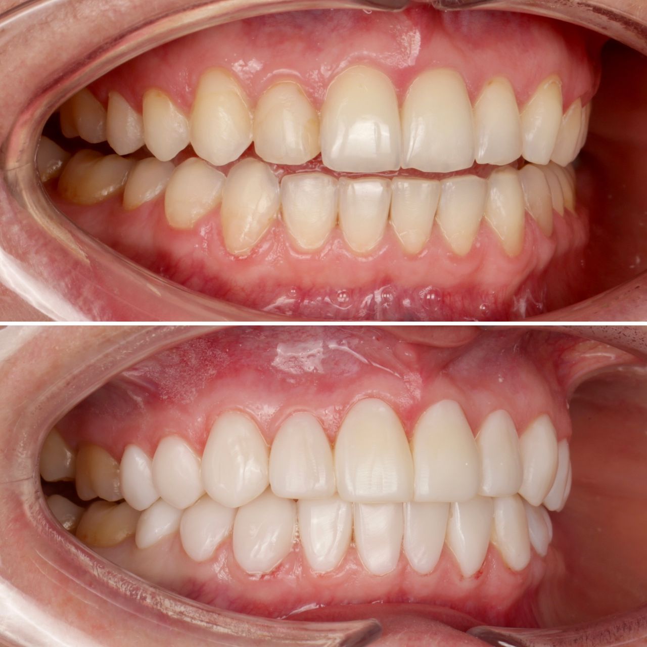
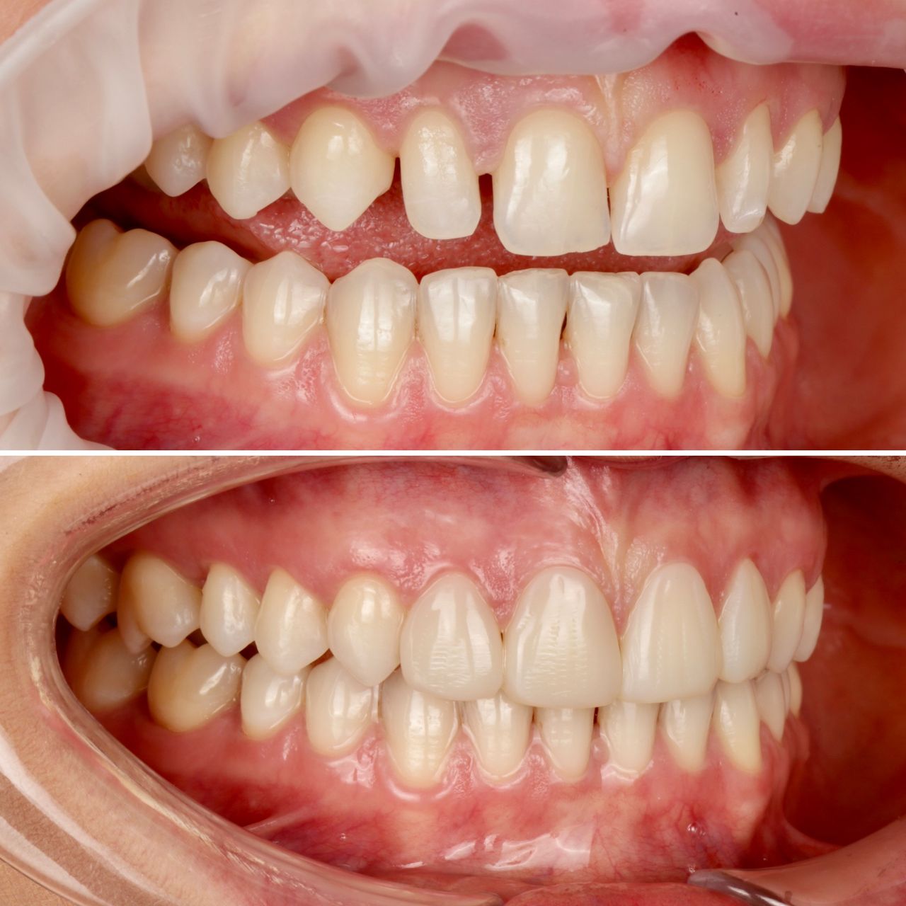
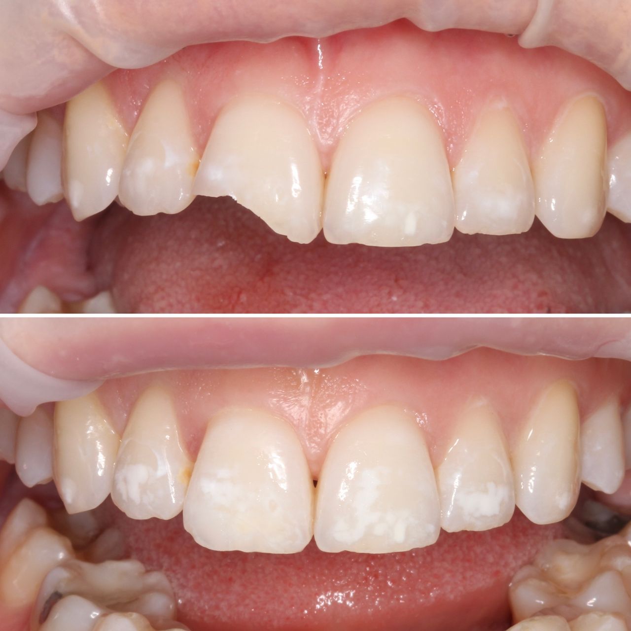
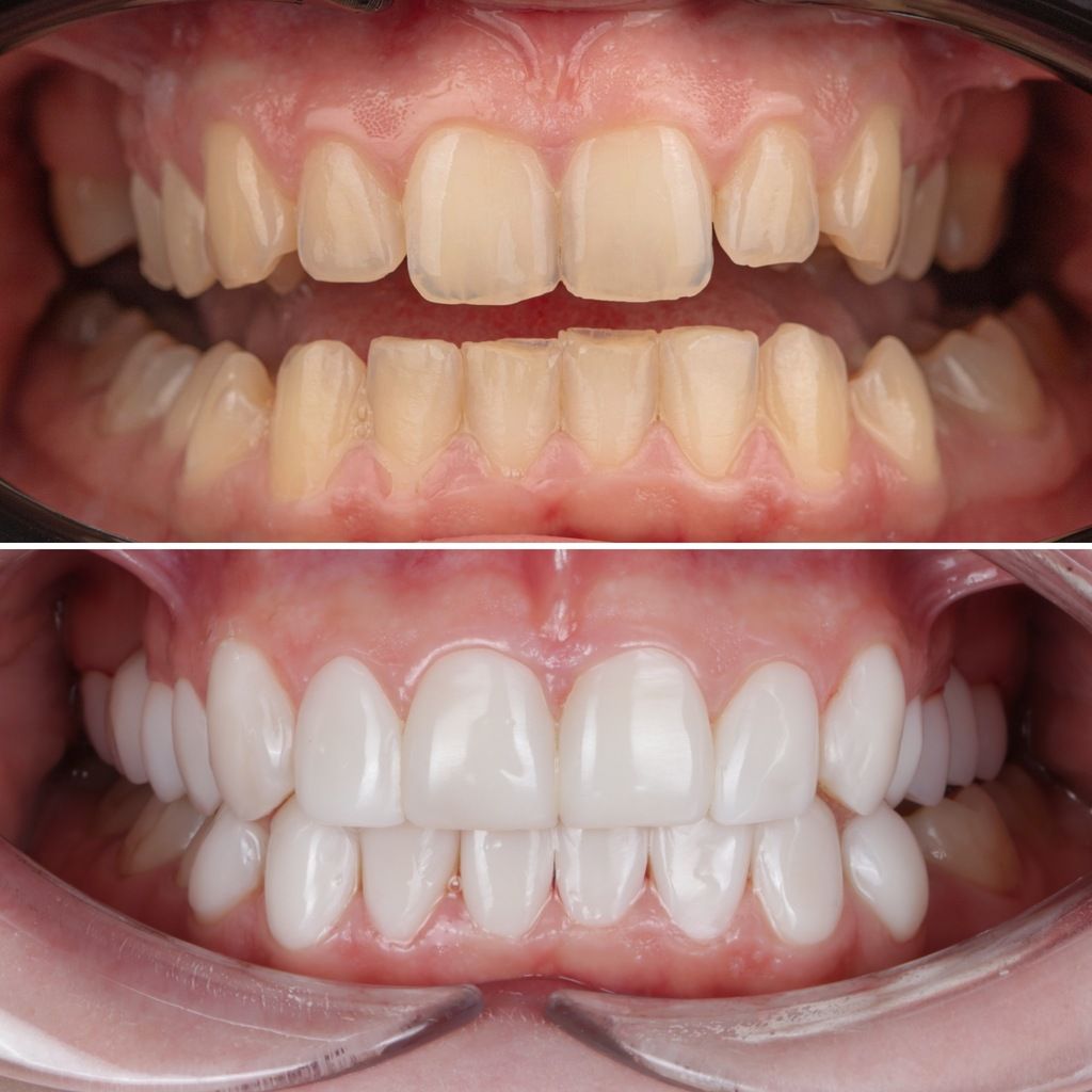
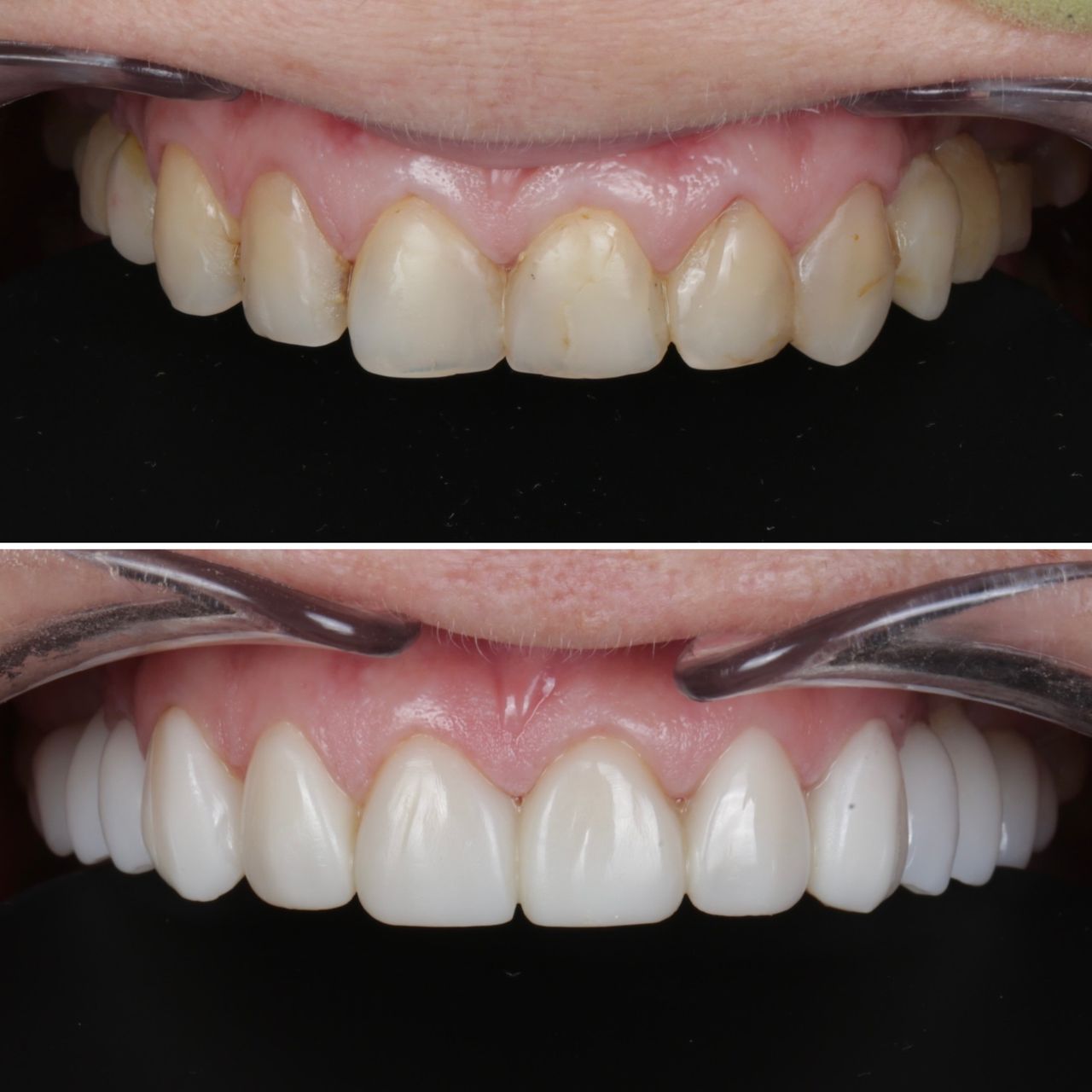
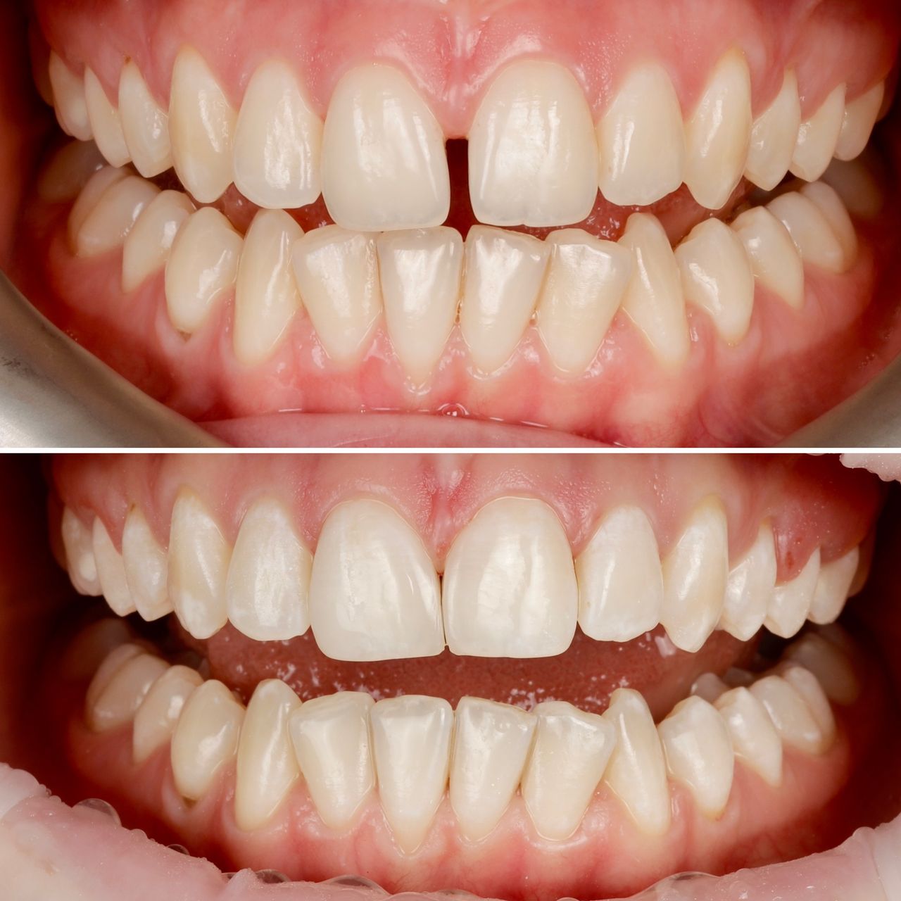
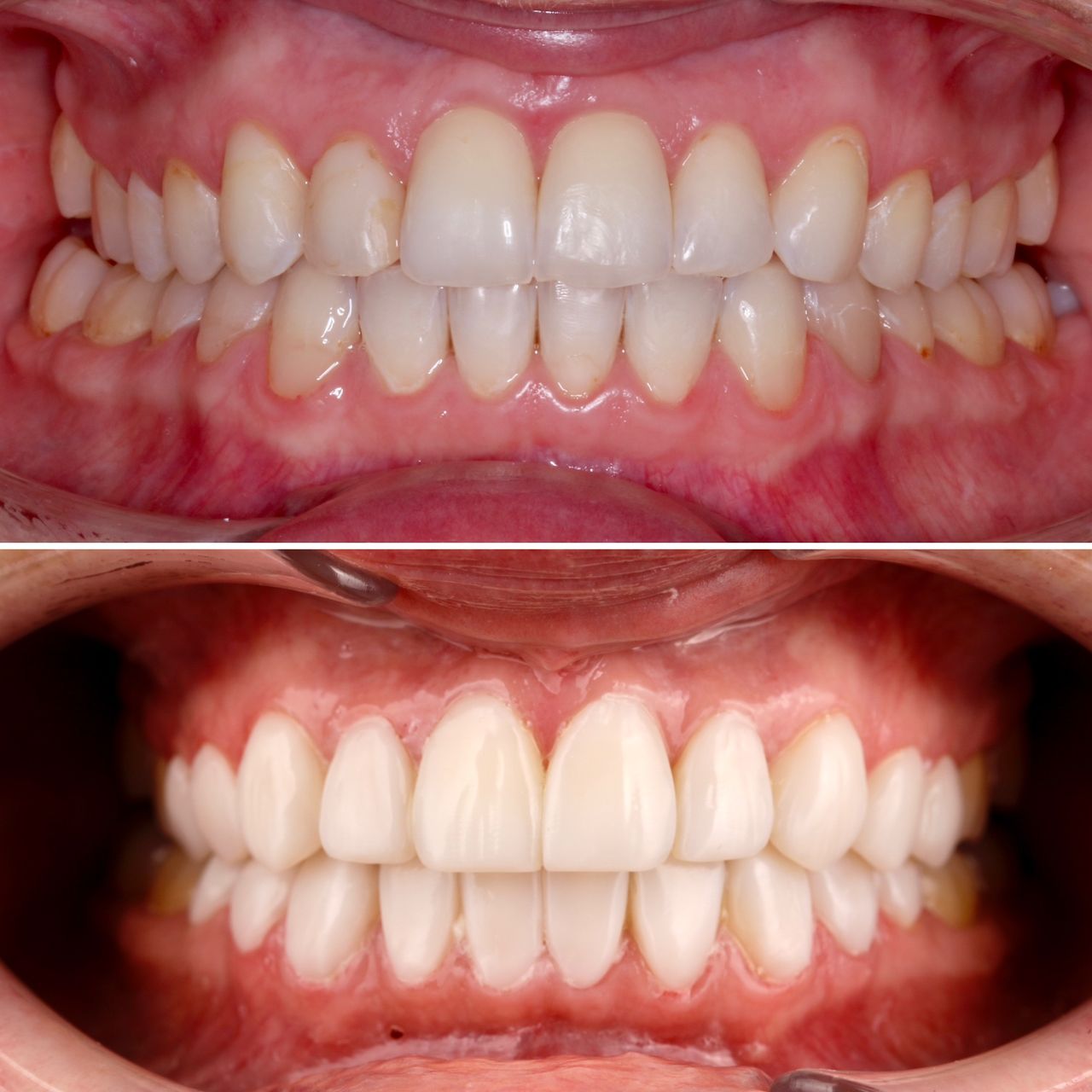
Hollywood smile! Metamorfoza uśmiechu za pomocą bondingu - poprawia wygląd zębów, korygując przebarwienia, pęknięcia czy delikatne wady zgryzu.

10/07/2024

Moje doświadczenie

Zawód lekarza dentysty kojarzy mi się z misją. Moja praca, w połączeniu z prawdziwą pasją i zaangażowaniem, pozwala mi każdego dnia zmieniać nie tylko zęby, ale i życie moich Pacjentów.
Stomatologię traktuję jak sztukę, w której każdy, nawet najmniejszy detal, ma znaczenie. Niezwykle dużą wagę przykładam do tego, aby efekt końcowy był jak najbardziej naturalny, a jednocześnie spójny z oczekiwaniami Pacjenta – jego osobowością, stylem życia, indywidualnymi preferencjami. Zawsze stawiam na dialog z Pacjentem. Uważam, że udana współpraca na linii Pacjent-Lekarz, umiejętność znalezienia kompromisu, daje gwarancję uzyskania efektu idealnego zarówno pod względem wizualnym, jak i funkcjonalnym.
Lubię wyzwania. Dokładam wszelkich starań, aby spełnić wymagania nawet najbardziej wymagających Pacjentów, komfort Pacjenta jest dla mnie najważniejszy.
Uważam, że podstawą każdego leczenia i jego finalnego skutku, jest dokładna diagnostyka. Leczenie zawsze wykonuję „w powiększeniu”, m.in. przy użyciu mikroskopu, dzięki czemu leczenie jest dokładne i minimalizuje ryzyko jakichkolwiek powikłań.
W Galerii Uśmiechu obejmuję opieką Pacjentów wymagających leczenia zachowawczego, pierwotnego leczenia kanałowego (pod mikroskopem) a także nierozległej protetyki. W przyszłości chciałabym rozwijać się w kierunku stomatologii estetycznej, protetyki a także interesuje mnie medycyna estetyczna, która pięknie współgra z zabiegami z zakresu stomatologii.
więcej O mnie

Zakres porad

  • Stomatologia ogólna

Rodzaje konsultacji

Zdjęcia i filmy

Adresy (2)

Powiększ mapę otwiera się w nowej karcie
"Galeria Uśmiechu" Centrum Stomatologii Estetycznej, stomatolog Kraków

ul. Francesco Nullo 42/U7, Grzegórzki, 31-543 Kraków

Dostępność

Telefon

12 370...

Typy przyjmowanych pacjentów

  • Pacjenci prywatni (bez ubezpieczenia)
Powiększ mapę otwiera się w nowej karcie
Powiększ mapę otwiera się w nowej karcie
SCM estetic

Grzegórzecka 67C / U14, Grzegórzki, 31-559 Kraków

Dostępność

Telefon

12 370...

Typy przyjmowanych pacjentów

  • Pacjenci prywatni (bez ubezpieczenia)
Powiększ mapę otwiera się w nowej karcie

Usługi i ceny

  • Osocze bogatopłytkowe PRP / skóry owłosionej głowy

    900 zł

  • Mezoterapia fibryna bogatopłytkowa

    Od 750 zł

  • Profhilo-molekuła młodości, naturalny kwas hialuronowy

    1 500 zł

  • Toksyna botulinowa kurze łapki

    Od 880 zł

  • Konsultacja estetyczna

    300 zł

44 opinie

Sprawdzamy wszystkie opinie. Specjaliści nie mogą płacić za modyfikowanie lub usuwanie opinii. Dowiedz się więcej Dowiedz się więcej o opiniach

  • D

    Bardzo empatyczna Pani dentystka :) szczegółowe wyjaśnienie problemu

     • "Galeria Uśmiechu" Centrum Stomatologii Estetycznej, stomatolog Kraków konsultacja stomatologiczna (pierwsza wizyta)  • 

  • M

    Perfekcja pod każdym względem, zdecydowanie polecam.

     • "Galeria Uśmiechu" Centrum Stomatologii Estetycznej, stomatolog Kraków Konsultacja stomatologiczna  • 

  • K

    Serdecznie polecam Panią Doktor. Jestem pacjentką Pani Doktor już od dłuższego czasu. Pani Doktor jest osobą niezwykle kompetentną, profesjonalną, cierpliwą,a do tego sympatyczną. Każda wizyta przebiegała w miłej atmosferze. Dzięki Pani Doktor przestałam się panicznie bać wizyt u dentysty. Po bardzo złych doświadczeniach u innego stomatologa, cieszę się, że wreszcie trafiłam na lekarza, któremu nie boję się zaufać. Szczerze polecam Panią Doktor!

     • "Galeria Uśmiechu" Centrum Stomatologii Estetycznej, stomatolog Kraków Badanie stomatologiczne + leczenie zębów  • 

  • M

    Przyszłam do Pani Doktor z mocnym bólem zęba. Byłam wczesniej u innego stomatologa, któremu nie udało się mnie znieczulić do zabiegu i odesłał mnie do domu. Pani Magdalena poszerzyła diagnozę, co wykazało konieczność leczenia kanałowego. Na pierwszej wizycie udało się nie tylko mnie znieczulić w celu założenia opatrunku, ale także uspokoić. Niestety ząb nie wytrzymał do umówionego spotkania i dzięki uprzejmości Pań z recepcji udało się przyspieszyć termin. Ból był bardzo silny, pod zebem zrobil się ropień. Podczas zabiegu leczenia kanalowego Pani Doktor stale dbała o poziom bolu, komfort, dokładała znieczulenia. Kiedy po powrocie do domu i nastepnego dnia wciąż czułam się źle, po konsultacji telefonicznej uzyskałam pomoc i odpowiednie leczenie farmakologiczne. Pelne zakończenie leczenia wymagało kilku wizyt (ze względu na wciaż niewygojony stan zapalny), ale zakończyło się pełnym sukcesem. Dziękuję za cierpliwość i empatię, zarówno Pani Doktor jak i paniom jej asystujacym.

     • "Galeria Uśmiechu" Centrum Stomatologii Estetycznej, stomatolog Kraków  • 

  • J

    Polecam panią doktor! Wizyta przebiegła w bardzo miłej atmosferze. Pani doktor wyjaśniła mi kolejne etapy mojego kompleksowego leczenia. Zaproponowane wybielanie przyniosło świetny efekt, dodatkowo wymiany wypełnień w kilku zębach były wykonane w sposób bardzo szybki a zarazem estetyczny.

     • "Galeria Uśmiechu" Centrum Stomatologii Estetycznej, stomatolog Kraków  • 

  • Y

    Miałam przyjemność skorzystać z usług doktor Magdaleny i jestem zachwycona efektem! Już od pierwszej wizyty czułam się komfortowo dzięki profesjonalnemu podejściu i miłej atmosferze w gabinecie. Dr Zawada szczegółowo wyjaśniła mi na czym polega zabieg oraz jak będzie wykonywany, co pomogło mi podjąć świadomą decyzję. Efekt pracy Pani Doktor przerósł moje oczekiwania - moja cera wyglądała naturalnie, a wszelkie niedoskonałości zniknęły. Zdecydowanie polecam Panią Magdalenę! Nie mogę się doczekać następnej wizyty!

     • "Galeria Uśmiechu" Centrum Stomatologii Estetycznej, stomatolog Kraków Botoks  • 

  • P

    Pani Doktor od razu wzbudziła moje zaufanie. Zarówno zabieg stomatologiczny, jak i zabieg z zakresu medycyny estetycznej były wykonane perfekcyjnie, szybko i sprawnie, a jednocześnie z wielką uwagą do detali. Atmosfera bardzo przyjazna, zero stresu.
    Dziękuję za fantastycznie wykonane usługi i polecam, każdemu kto lubi konkretne, efektywne działanie.

     • "Galeria Uśmiechu" Centrum Stomatologii Estetycznej, stomatolog Kraków botoks - górna część twarzy  • 

  • K

    Pani Magdalena jest świetnym specjalistą. Wizyta przebiegła bardzo sprawnie i profesjonalnie. Wszystko zostało rzetelnie omówione i wykonane.

     • "Galeria Uśmiechu" Centrum Stomatologii Estetycznej, stomatolog Kraków Badanie stomatologiczne + leczenie zębów  • 

    lek. dent. Magdalena Gruszczyńska

    Bardzo dziękuję za ciepłe słowa i docenienie mojej pracy! Cieszę się, że wizyta spełniła Pani oczekiwania i że mogłam odpowiednio omówić oraz wykonać zabieg. Zależy mi na tym, aby każdy pacjent czuł się komfortowo i dobrze poinformowany. Jeśli pojawią się jakiekolwiek pytania, proszę śmiało się kontaktować. Serdecznie pozdrawiam!


  • K

    Jestem bardzo zadowolona z efektu uzyskanego botoksem! Twarz wygląda znacznie młodziej. Mimika pozostała a zmarszczek nie ma Dziękuję !! I polecam, to lekarz któremu można zaufać.

     • "Galeria Uśmiechu" Centrum Stomatologii Estetycznej, stomatolog Kraków Botoks  • 

    lek. dent. Magdalena Gruszczyńska

    Bardzo dziękuję za tak pozytywną opinię i zaufanie! Cieszę się, że jest Pani zadowolona z efektów zabiegu i że uzyskaliśmy naturalny wygląd przy zachowaniu mimiki. To dla mnie priorytet, aby pacjenci czuli się komfortowo i osiągali satysfakcjonujące rezultaty. Jeśli będzie Pani miała jakiekolwiek pytania lub potrzeby dotyczące dalszej pielęgnacji, jestem do dyspozycji. Serdecznie pozdrawiam!


  • M

    Profesjonalne podejście do pacjenta, miła atmosfera, dzięki Pani Magdalenie polubiłem wizyty u dentysty :) Polecam z całego serca ! :)

     • "Galeria Uśmiechu" Centrum Stomatologii Estetycznej, stomatolog Kraków  • 

    lek. dent. Magdalena Gruszczyńska

    Bardzo dziękuję za serdeczne słowa! Cieszę się, że wizyta była dla Pana przyjemna i że mogłam pomóc w przełamaniu obaw przed dentystą. To dla mnie ogromna radość! Dziękuję za zaufanie i polecenie – do zobaczenia na kolejnej wizycie!


Wystąpił błąd, spróbuj jeszcze raz

Najczęściej zadawane pytania