dr n. med.
Maciej Masny
Stomatolog
·
Protetyk stomatologiczny
Więcej
Gliwice 3 adresy
Nr PWZ: 3406495
167 opiniiMoje doświadczenie
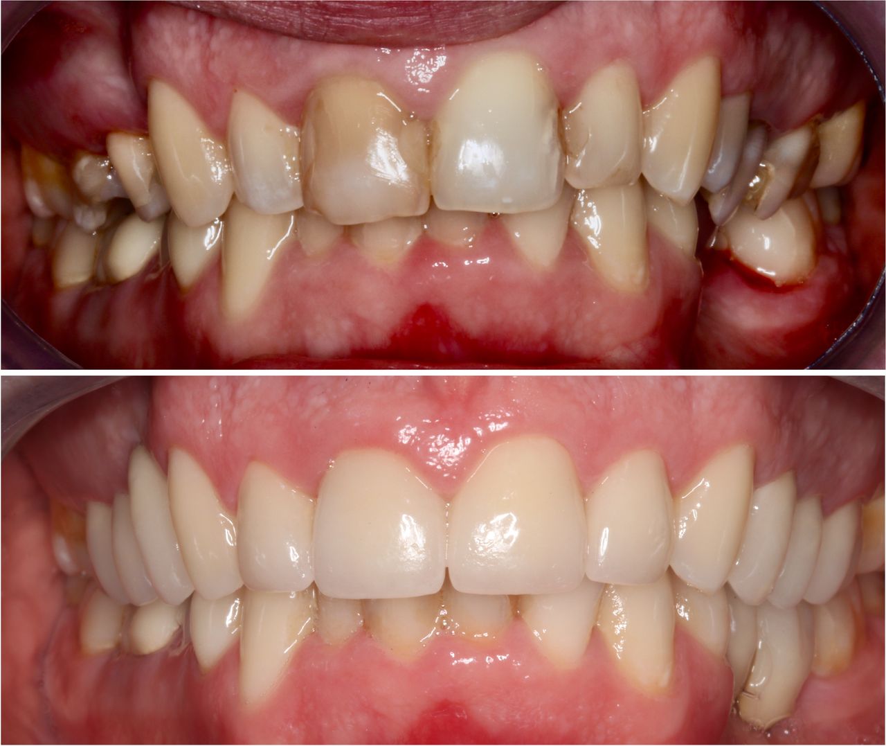
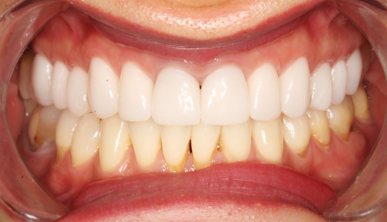
Specjalizuję się przede wszystkim w przeprowadzaniu kompleksowych planów leczenia obejmujących mikroskopowe leczenie protetyczne, chirurgiczne, implantologiczne ze szczególnym uwzględnieniem chirurgii tkanek miękkich (dziąseł) oraz metamorfoz estetycznych uśmiechu.
Gdy tylko warunki pozwalają - jestem zwolennikiem implantacji natychmiastowych - a więc takich, które odbywają się na tym samym zabiegu co usunięcie zęba.
W trakcie planowania leczenia protetycznego posiłkujemy się dokumentacją fotograficzną, mikroskopem oraz najnowocześniejszymi cyfrowymi rozwiązaniami, tak aby leczenie było minimalnie inwazyjne i spełniało efekty estetyczne.
Zajmuję zarówno metamorfozami uśmiechu wymagającej minimalnej inwazyjności (licówki, korony pełnoceramiczne, bonding) jak i rozległymi rekonstrukcjami uzębienia w przypadku rozległych braków, starć, urazów czy wypadków.
Przy zabiegach implantacji często wspomagamy się szablonami chirurgicznymi, pozwala nam ro na skrócenie czasu zabiegów oraz precyzyjniejsze pozycjonowanie implantu.
Dobre leczenie zaczyna się od prawidłowej diagnostyki, stąd w trakcie wizyty pierwszorazowej przeprowadzamy szczegółowe badanie. W 99% przypadków uzupełniamy to dodatkowo badaniem radiologicznym (CBCT - stożkowa tomografia komputerowa lub zdjęcie pantomograficzne). Następnie po ustaleniu potrzeb Pacjenta oraz dobraniu odpowiedniego rozwiązania - przystępujemy do leczenia mającego na celu przywrócenie pięknego i co ważne zdrowego uśmiechu.
Jestem Absolwentem Śląskiego Uniwersytetu Medycznego. W roku 2021 uzyskałem z wyróżnieniem stopień doktora nauk medycznych.
Stale podnoszę swoje kwalifikacje uczestnicząc w licznych szkoleniach oraz konferencjach zarówno w kraju i za granicą, kształcąc się pod okiem światowej klasy autorytetów. Ukończyłem m.in. Curriculum Implantologiczne - ITI (Warszawa, Frankfurt, Bazylea) oraz Curriculum Chirurgii Tkanek Miękkich (Emmingen-Liptingen), cykl Immediate dentoalveolar restoration (IDR) czyli techniki wykorzystującej tkanki własne Pacjenta w trakcie implantacji natychmiastowych u samego twórcy tej metody, szkolenia na kadawerach oraz wiele wiele innych.
W gabinecie ważne jest dla mnie, aby leczenie było dla Pacjenta bezstresowe, bezbolesne, minimalnie inwazyjne oraz zrozumiałe.
Informacje na temat umawiania wizyt: Pacjenci pierwszorazowi proszeni są o umawianie wizyt o długości 30 minut.
Wizyty 15 minutowe są przeznaczone jedynie dla stałych Pacjentów i ze względu na brak wystarczającej ilości czasu na przeprowadzenie badania w przypadku Pacjentów pierwszorazowych będą automatycznie odwoływane.
Zakres porad
- Chirurgia stomatologiczna
- Stomatologia zachowawcza z endodoncją
- Periodontologia
- Protetyka stomatologiczna
Główne obszary pomocy
- Próchnica
- Ból zęba
- Braki zębowe
- Choroby miazgi
- Choroby przyzębia
- +12 a11y_sr_more_diseases
Pacjenci których przyjmuję
Rodzaje konsultacji
Zdjęcia i filmy
Usługi i ceny
-
Konsultacja protetyczna
Od 250 zł -
-
Konsultacja chirurga stomatologa
Od 250 zł -
-
Konsultacja implantologiczna + CBCT
Od 250 zł -
-
Konsultacja implantologiczna z planem leczenia
250 zł -
-
Konsultacja stomatologiczna
250 zł -
-
-
-
-
-
-
-
-
-
-
-
-
-
-
-
-
-
-
-
-
-
Adresy (3)
Srebrna 2, 41-819 Zabrze
Dostępność
Płatność online
Akceptowana
Telefon
Dlaczego prosimy Cię o wyrażenie zgody na przetwarzanie danych?
Wyrażenie zgody jest niezbędne do umówienia wizyty z wykorzystaniem telerejestracji. Wymagają tego przepisy Ogólnego Rozporządzenie o Ochronie Danych Osobowych - tzw. RODO. Informujemy, że zgoda jest dobrowolna, jednak jej brak uniemożliwi umówienie wizyty. Informujemy rówież, że zgoda może zostać w każdym momencie zostać wycofana. W tym celu wystarczy się skontaktować z nami przez formularz
Kiedy dojdzie do przetwarzania moich danych osobowych?
Do przetwarzania Twoich danych osobowych dojdzie podczas rozmowy telefonicznej z naszym centrum telerejestracji, ale jednak wyłącznie w sytuacji gdy tej rozmowy podasz nam swoje dane osobowe. Przetwarzanie danych osobowych dokonywane jest w celu umówienia wizyty i przekazania danych osobowych wybranemu Profesjonaliście.
Czy moje dane osobowe zostaną przekazane Profesjonaliście do którego chce się umówić na wizytę?
Tak. Udostępnimy wybranemu przez Ciebie Profesjonaliście informacje i dane osobowe które nam przekazałeś podczas rozmowy telefonicznej oraz przekażemy te informacje Profesjonaliście. Dzięki temu Profesjonalista będzie mógł przygotować się na Twoją wizytę.
Kto jest administratorem moich danych osobowych?
Administratorem danych osobowych jest ZnanyLekarz sp. z o.o. z siedzibą w Warszawie przy ul. Kolejowej 5/7. Informujemy, że po przekazaniu przez nas Twoich danych osobowych wybranemu przez Ciebie Profesjonaliście, staje się on również administratorem Twoich danych osobowych i przetwarza je w celach związanych ze świadczeniem usług medycznych lub innych podobnych.
Gdzie mogę uzyskać więcej informacji o moich prawach związanych z przetwarzaniem danych osobowych?
Więcej informacji o przetwarzaniu Twoich danych osobowychTypy przyjmowanych pacjentów
- Pacjenci prywatni (bez ubezpieczenia)
Królowej Marysieńki 7, 44-120 Pyskowice
Dostępność
Telefon
Dlaczego prosimy Cię o wyrażenie zgody na przetwarzanie danych?
Wyrażenie zgody jest niezbędne do umówienia wizyty z wykorzystaniem telerejestracji. Wymagają tego przepisy Ogólnego Rozporządzenie o Ochronie Danych Osobowych - tzw. RODO. Informujemy, że zgoda jest dobrowolna, jednak jej brak uniemożliwi umówienie wizyty. Informujemy rówież, że zgoda może zostać w każdym momencie zostać wycofana. W tym celu wystarczy się skontaktować z nami przez formularz
Kiedy dojdzie do przetwarzania moich danych osobowych?
Do przetwarzania Twoich danych osobowych dojdzie podczas rozmowy telefonicznej z naszym centrum telerejestracji, ale jednak wyłącznie w sytuacji gdy tej rozmowy podasz nam swoje dane osobowe. Przetwarzanie danych osobowych dokonywane jest w celu umówienia wizyty i przekazania danych osobowych wybranemu Profesjonaliście.
Czy moje dane osobowe zostaną przekazane Profesjonaliście do którego chce się umówić na wizytę?
Tak. Udostępnimy wybranemu przez Ciebie Profesjonaliście informacje i dane osobowe które nam przekazałeś podczas rozmowy telefonicznej oraz przekażemy te informacje Profesjonaliście. Dzięki temu Profesjonalista będzie mógł przygotować się na Twoją wizytę.
Kto jest administratorem moich danych osobowych?
Administratorem danych osobowych jest ZnanyLekarz sp. z o.o. z siedzibą w Warszawie przy ul. Kolejowej 5/7. Informujemy, że po przekazaniu przez nas Twoich danych osobowych wybranemu przez Ciebie Profesjonaliście, staje się on również administratorem Twoich danych osobowych i przetwarza je w celach związanych ze świadczeniem usług medycznych lub innych podobnych.
Gdzie mogę uzyskać więcej informacji o moich prawach związanych z przetwarzaniem danych osobowych?
Więcej informacji o przetwarzaniu Twoich danych osobowychTypy przyjmowanych pacjentów
- Pacjenci prywatni (bez ubezpieczenia)
Żurawia 61/II, 44-100 Gliwice
Dostępność
Telefon
Dlaczego prosimy Cię o wyrażenie zgody na przetwarzanie danych?
Wyrażenie zgody jest niezbędne do umówienia wizyty z wykorzystaniem telerejestracji. Wymagają tego przepisy Ogólnego Rozporządzenie o Ochronie Danych Osobowych - tzw. RODO. Informujemy, że zgoda jest dobrowolna, jednak jej brak uniemożliwi umówienie wizyty. Informujemy rówież, że zgoda może zostać w każdym momencie zostać wycofana. W tym celu wystarczy się skontaktować z nami przez formularz
Kiedy dojdzie do przetwarzania moich danych osobowych?
Do przetwarzania Twoich danych osobowych dojdzie podczas rozmowy telefonicznej z naszym centrum telerejestracji, ale jednak wyłącznie w sytuacji gdy tej rozmowy podasz nam swoje dane osobowe. Przetwarzanie danych osobowych dokonywane jest w celu umówienia wizyty i przekazania danych osobowych wybranemu Profesjonaliście.
Czy moje dane osobowe zostaną przekazane Profesjonaliście do którego chce się umówić na wizytę?
Tak. Udostępnimy wybranemu przez Ciebie Profesjonaliście informacje i dane osobowe które nam przekazałeś podczas rozmowy telefonicznej oraz przekażemy te informacje Profesjonaliście. Dzięki temu Profesjonalista będzie mógł przygotować się na Twoją wizytę.
Kto jest administratorem moich danych osobowych?
Administratorem danych osobowych jest ZnanyLekarz sp. z o.o. z siedzibą w Warszawie przy ul. Kolejowej 5/7. Informujemy, że po przekazaniu przez nas Twoich danych osobowych wybranemu przez Ciebie Profesjonaliście, staje się on również administratorem Twoich danych osobowych i przetwarza je w celach związanych ze świadczeniem usług medycznych lub innych podobnych.
Gdzie mogę uzyskać więcej informacji o moich prawach związanych z przetwarzaniem danych osobowych?
Więcej informacji o przetwarzaniu Twoich danych osobowychTypy przyjmowanych pacjentów
- Pacjenci prywatni (bez ubezpieczenia)
Opinie
167 opinii
Sprawdzamy wszystkie opinie. Moderujemy je zgodnie z naszymi zasadami, dowiedz się więcej o opiniach i sposobie obliczania gwiazdek na Dowiedz się więcej Dowiedz się więcej o opiniach
-
A
Andrzej
Rewelacyjny stomatolog, zawsze perfekcyjny
Goraco polecam• Masny Clinic • Kontynuacja leczenia •
-
B
Beata
Chirurgiczna ekstrakcja zęba - do pana doktora Macieja Masnego córka trafiła po wcześniejszej wizycie u innego specjalisty, który nie był w stanie wykonać zabiegu. Dlatego ogromne podziękowania po pierwsze za to, że doktor znalazł czas w przedświątecznym grafiku oraz że zabieg został wykonany szybko, bezboleśnie i w totalnie przyjaznej atmosferze. Również opieka pozabiegowa niespotykana u dotychczas odwiedzanych specjalistów.
• Klinika To Smile • Inny •
-
E
EWA
Pełen profesjonalizm. Szybko i skutecznie ,jak zawsze.
• Masny Clinic • Konsultacja stomatologiczna •
-
J
Jolanta
Profesjonalne zdjęcie całego uzębienia
Plan leczenia ustalony• Masny Clinic • konsultacja protetyczna •
-
K
Kamil
Bardzo dobry lekarz. Oddany i przyjazny. Bardzo polecam Pana doktora
• Masny Clinic • Kontynuacja leczenia •
-
M
M.D
Wizyta jak zawsze przebiegła w przyjemnej atmosferze, a leczenie bezbolesne i skuteczne ! Polecam !! :)
• Masny Clinic • Kontynuacja leczenia •
-
S
Sylwia
Niedawno zaczęłam leczenie u Dr. Masny.
Odbyłam już kilka wizyt, już na pierwszej wizycie doktor przedstawił plan leczenia, poprawek estetycznych, które w głównej mierze u mnie grały rolę, na czym bardzo mi zależało, żeby było estetycznie i starannie wykonane.
Na ostatniej wizycie wykonywaliśmy przód zębów, który wyglądał słabo, a chciałam efekt gdzie nie będzie zauważalne i taki efekt osiągnął Pan Maciej. Wyszłam z gabinetu, śmiejąc się w drodze do domu. Dodam, że Pan Maciej tą wizytę dodatkowo dla mnie wcisnął, ciężko było u mnie wpasować termin, więc dodatkowy +.
Sterylnie, miło, starannie, bezboleśnie, profesjonalnie podejście.
Dziękuję i naprawdę polecam, jeżeli szukasz doktora zwracając uwagę na szczegóły .
• Masny Clinic • wypełnienie kompozytowe •
-
K
Karolina
Po kilku próbach znalezienia stomatologa z powołania i który nie oceni mnie przez stan mojego uzębienia, wreszcie znalazłam Pana Macieja. Uczęszczam na wizyty od 1.5 roku. Pan Maciej wykazuje się ogromną wiedzą, pomocą, a także kulturą osobistą. Pokierował leczeniem moich zębów i nakreślił dalszą drogę. W gabinecie panuje zawsze przyjazna atmosfera, a z Panią Mariolą tworzą zgrany zespół. Gorąco polecam!
• Masny Clinic • Inny •
-
K
Katarzyna
Dopiero zaczynam przygodę w tym gabinecie, ale już na samym początku mogę powiedzieć, że wiem, że ta przygoda będzie trwała długo. Szukałam dentysty na stałe i chyba znalazłam. Jestem bardzo wymagająca, skoro ja jestem dokładna i skrupulatna to tego samego wymagam od innych. Nie znoszę naciągaczy, którzy nastawieni są tylko na zysk a nie zalezy im na dobru Pacjenta. Szukalam kogoś z pasja, wiedzą i zaangażowaniem i znalazłam. Mam nadzieję, że współpraca będzie wieloletnia, że nie zabraknie doktorowi tego zapału z czasem. Życzę dalszego rozwoju i pogłębiania i tak już dużej wiedzy. Polecam każdemu Pacjentowi!
• Masny Clinic • Kontynuacja leczenia •
dr n. med. Maciej Masny
Dziękuję pięknie za opinię i do zobaczenia ponownie! Serdecznie pozdrawiam! :)
-
D
Dominika
Jestem bardzo zadowolona z każdej wizyty! Profesjonalizm i zaangażowanie widać na każdym kroku. Lekarz wszystko dokładnie wyjaśnia, co sprawia, że za każdym razem czuje się bardzo komfortowo. Zdecydowanie polecam każdemu, kto szuka rzetelnego specjalisty!
• Masny Clinic • leczenie próchnicy •
dr n. med. Maciej Masny
Dziękuję pięknie za opinię i pozdrawiam serdecznie! :)
Odpowiedzi na pytania
6 odpowiedzi udzielonych przez lekarza na pytania pacjentów na ZnanyLekarz.pl
Jak przełamać się przed dentystą? Na wizycie u stomatologa nie byłem od 2 lat, wiem że to nieodpowiedzialne ale jak mogę się zmobilizować do wizyty?
Dzień dobry,
Wizyta u stomatologa ze względu na swoją specyfikę i często nieciekawe doświadczenia z przeszłości - budzi u Pacjentów wiele obaw.
Należy jednak uświadomić sobie, że na przestrzeni ostatnich lat stomatologia nabrała nowego wymiaru. Dobry stomatolog przeprowadzi zabiegi bezboleśnie, a wizyta odbędzie się w przyjemnej atmosferze. Dzięki temu z czasem wizyty przestaną wiązać się ze strachem, a nawet mogą stać się przyjemne.
Co ważne - jedynym skutecznym sposobem uniknięcia tego czego Pacjent obawia się najbardziej - czyli bólu - jest odpowiednia profilaktyka i regularne kontrole. Tak więc proszę pamiętać, że zwlekanie spowodowane strachem przed stomatologiem, może niestety skutkować sytuacją, że zostanie Pan niejako "zmuszony" do wizyty, gdy pojawi się ból.
Pozdrawiam,
lek. dent. Maciej Masny
Dzień dobry, mam następujące pytanie: czy zastrzyk - znieczulenie - boli u dentysty? Jakie jest to uczucie i jak się przed tym przełamać? Czy podanie znieczulenia jest gwarancją bezbolesnego leczenia kanalłowego czy też borowania?
Dzień dobry,
W 99% przypadków podanie znieczulenie jest jedyną gwarancją bezbolesnego leczenia kanałowego lub "wiercenia".
Nie należy jednak obawiać się znieczulenia. Dzięki zastosowaniu odpowiednich technik, podstawowe znieczulenie jest najczęściej wręcz kompletnie bezbolesne. Uczucie to polega na drętwieniu znieczulanej okolicy. W przypadku znieczuleń uzupełniających, do bardziej zaawansowanych zabiegów, stomatolog poinformuje, w którym momencie Pacjent może odczuć chwilowy dyskomfort związany z ukłuciem.
Pozdrawiam,
lek. dent. Maciej Masny
Wszystkie treści, w szczególności pytania i odpowiedzi, dotyczące tematyki medycznej mają charakter informacyjny i w żadnym wypadku nie mogą zastąpić diagnozy medycznej.
Najczęściej zadawane pytania
-
Jaki jest zakres porad oferowanych przez Maciej Masny?Maciej Masny to stomatolog, protetyk stomatologiczny. Na podstawie swojego doświadczenia i wykształcenia Maciej Masny oferuje usługi takie jak: Konsultacja stomatologiczna, leczenie próchnicy, wypełnienie kompozytowe, leczenie kanałowe pod mikroskopem, Powtórne leczenie kanałowe pod mikroskopem, usunięcie zęba jednokorzeniowego, usunięcie zęba wielokorzeniowego, usuwanie kamienia nazębnego, korony cyrkonowe, korony pełnoceramiczne.
-
Gdzie Maciej Masny ma swój gabinet?Maciej Masny przyjmuje pod adresem:
- Żurawia 61/II Gliwice
- Srebrna 2 Zabrze
- Królowej Marysieńki 7 Pyskowice
-
Czy Maciej Masny przyjmuje online, bez konieczności pojawiania się w placówce?Nie, w tym momencie Maciej Masny nie oferuje konsultacji online.
-
Jak Maciej Masny akceptuje płatności po wizycie?Metody płatności, które akceptuje Maciej Masny to: Gotówka, Karta płatnicza, Przelew na konto, Płatność ratalna, Blik, Revolut.
-
W jakich językach konsultuje Maciej Masny?Języki, których używa Maciej Masny to angielski.
-
Jak Maciej Masny umawia wizyty?Maciej Masny używa kalendarza ZnanyLekarz, dlatego na stronie widzisz aktualne terminy. Wystarczy, że wybierzesz datę i godzinę, które odpowiadają Ci najbardziej. Umawianie wizyty jest darmowe, a tuż przed terminem wyślemy Ci przypomnienie.
-
W jakich godzinach przyjmuje Maciej Masny?Maciej Masny może mieć dostępne terminy w tym lub w nadchodzącym tygodniu. Terminy, które widzisz w kalendarzu są dostępne, ponieważ aktualizujemy go na bieżąco. Jeśli pierwszy dostępny termin Ci nie odpowiada, sprawdź następny. Rezerwacja terminu jest natychmiastowa, bez dodatkowych opłat.
-
Maciej Masny: co mówią pacjenci?167 osób dodało swoją opinię. Maciej Masny ma średnią ocen 5 (na 5 gwiazdek).
-
Jakie ubezpieczenia akceptuje Maciej Masny?Maciej Masny nie przyjmuje w ramach ubezpieczenia, tylko w ramach płatnych wizyt prywatnych. W razie wątpliwości zalecamy kontakt ze specjalistą.