Moje doświadczenie
Główne obszary pomocy
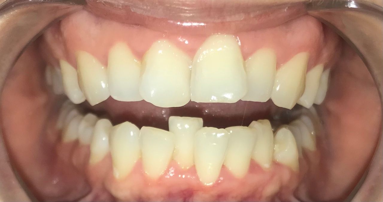
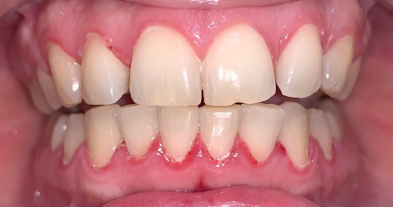
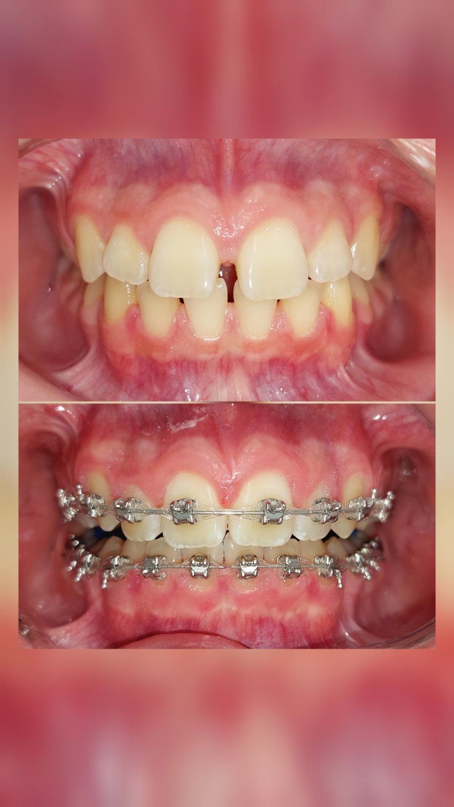
- Diastema
- Stłoczenie zębów
- Wady zgryzu
Rodzaje konsultacji
Zdjęcia i filmy
Usługi i ceny
-
Konsultacja ortodontyczna
250 zł -
-
Konsultacja stomatologiczna
Od 150 zł -
-
Aparaty stałe
250 zł -
-
Konsultacja Invisalign
250 zł -
Adresy (2)
Łucka 20 LU 21, Wola, 00-845 Warszawa
Dostępność
Telefon
Dlaczego prosimy Cię o wyrażenie zgody na przetwarzanie danych?
Wyrażenie zgody jest niezbędne do umówienia wizyty z wykorzystaniem telerejestracji. Wymagają tego przepisy Ogólnego Rozporządzenie o Ochronie Danych Osobowych - tzw. RODO. Informujemy, że zgoda jest dobrowolna, jednak jej brak uniemożliwi umówienie wizyty. Informujemy rówież, że zgoda może zostać w każdym momencie zostać wycofana. W tym celu wystarczy się skontaktować z nami przez formularz
Kiedy dojdzie do przetwarzania moich danych osobowych?
Do przetwarzania Twoich danych osobowych dojdzie podczas rozmowy telefonicznej z naszym centrum telerejestracji, ale jednak wyłącznie w sytuacji gdy tej rozmowy podasz nam swoje dane osobowe. Przetwarzanie danych osobowych dokonywane jest w celu umówienia wizyty i przekazania danych osobowych wybranemu Profesjonaliście.
Czy moje dane osobowe zostaną przekazane Profesjonaliście do którego chce się umówić na wizytę?
Tak. Udostępnimy wybranemu przez Ciebie Profesjonaliście informacje i dane osobowe które nam przekazałeś podczas rozmowy telefonicznej oraz przekażemy te informacje Profesjonaliście. Dzięki temu Profesjonalista będzie mógł przygotować się na Twoją wizytę.
Kto jest administratorem moich danych osobowych?
Administratorem danych osobowych jest ZnanyLekarz sp. z o.o. z siedzibą w Warszawie przy ul. Kolejowej 5/7. Informujemy, że po przekazaniu przez nas Twoich danych osobowych wybranemu przez Ciebie Profesjonaliście, staje się on również administratorem Twoich danych osobowych i przetwarza je w celach związanych ze świadczeniem usług medycznych lub innych podobnych.
Gdzie mogę uzyskać więcej informacji o moich prawach związanych z przetwarzaniem danych osobowych?
Więcej informacji o przetwarzaniu Twoich danych osobowychTypy przyjmowanych pacjentów
- Pacjenci prywatni (bez ubezpieczenia)
Żelazna 51, Wola, 00-841 Warszawa
Dostępność
W tym gabinecie nie można umawiać wizyt przez internet
Typy przyjmowanych pacjentów
- Pacjenci prywatni (bez ubezpieczenia)
Opinie pojawią się wkrótce
Napisz pierwszą opinię
Jesteś już po wizycie u dr Liliia Ostapchuk? Daj znać, co myślisz. Inni pacjenci będą wdzięczni za pomoc w wyborze najlepszego specjalisty.
Dodaj swoją opinięNajczęściej zadawane pytania
-
Jaki jest zakres porad oferowanych przez Liliia Ostapchuk?Liliia Ostapchuk to stomatolog. Na podstawie swojego doświadczenia i wykształcenia Liliia Ostapchuk oferuje usługi takie jak: Konsultacja stomatologiczna, konsultacja ortodontyczna, aparaty stałe, Konsultacja Invisalign.
-
Gdzie Liliia Ostapchuk ma swój gabinet?Liliia Ostapchuk przyjmuje pod adresem:
- Łucka 20 LU 21 Warszawa
- Żelazna 51 Warszawa
-
Czy Liliia Ostapchuk przyjmuje online, bez konieczności pojawiania się w placówce?Nie, w tym momencie Liliia Ostapchuk nie oferuje konsultacji online.
-
W jakich językach konsultuje Liliia Ostapchuk?Języki, których używa Liliia Ostapchuk to polski, rosyjski, ukraiński.
-
Jak Liliia Ostapchuk umawia wizyty?Liliia Ostapchuk używa kalendarza ZnanyLekarz, dlatego na stronie widzisz aktualne terminy. Wystarczy, że wybierzesz datę i godzinę, które odpowiadają Ci najbardziej. Umawianie wizyty jest darmowe, a tuż przed terminem wyślemy Ci przypomnienie.
-
W jakich godzinach przyjmuje Liliia Ostapchuk?Liliia Ostapchuk może mieć dostępne terminy w tym lub w nadchodzącym tygodniu. Terminy, które widzisz w kalendarzu są dostępne, ponieważ aktualizujemy go na bieżąco. Jeśli pierwszy dostępny termin Ci nie odpowiada, sprawdź następny. Rezerwacja terminu jest natychmiastowa, bez dodatkowych opłat.
-
Jakie ubezpieczenia akceptuje Liliia Ostapchuk?Liliia Ostapchuk nie przyjmuje w ramach ubezpieczenia, tylko w ramach płatnych wizyt prywatnych. W razie wątpliwości zalecamy kontakt ze specjalistą.