dr n. med.
Jarosław Michał Deszczyński
Ortopeda dziecięcy
·
Ortopeda
Więcej
O specjalizacjach
Warszawa 1 adres
Nr PWZ: 2583753
31 opiniiMoje doświadczenie
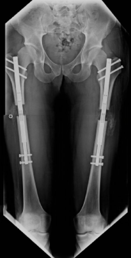
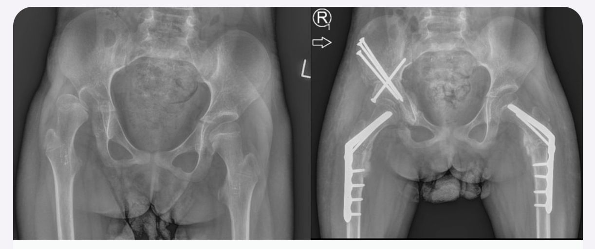
Jestem chirurgiem specjalizującym się w zaawansowanych rekonstrukcjach stawów oraz wydłużaniu kończyn dolnych (limb lengthening and reconstruction surgery). Kompleksowo opiekuję się osobami z problemami o podłożu ortopedycznym oraz neurologicznym, szczególnie dzieci z wadami wrodzonymi i schorzeniami nerwowo-mięśniowymi. Dzięki wieloletniemu doświadczeniu w nowoczesnych technikach rekonstrukcyjnych znacząco udoskonaliłem metody chirurgicznego leczenia dzieci z problemami neurologicznymi, otwierając przed nimi nowe możliwości poprawy funkcjonalności oraz jakości życia. Specjalizujemy się w jednoczasowych wielopoziomowych rekonstrukcjach kończyn (SEMLS) oraz kompleksowych rekonstrukcjach stawów biodrowych, łącząc sprawdzone techniki operacyjne z innowacyjnymi rozwiązaniami. Oprócz leczenia operacyjnego, koordynuje leczenie zachowawcze, obejmujące wielopoziomowe podania toksyny botulinowej (BTX) oraz minimalnie inwazyjne procedury, takie jak SPML (Selective Percutaneous Myofascial Lengthening) czy PERCS (Percutaneous Muscle Lengthening). Każdy pacjent otrzymuje indywidualnie opracowany program terapeutyczny, którego celem jest osiągnięcie najlepszych efektów przy minimalnym obciążeniu. Opiekuję się również pacjentami dorosłymi wymagającymi endopiotezoplastyki stawów oraz ratowaniem kończyn przed amputacją z powodu aktywnej lub przewlekłej infekcji W mojej pracy kluczowe jest podejście holistyczne, które łączy zaawansowane techniki chirurgiczne z terapią zachowawczą, aby zapewnić pacjentom kompleksową opiekę oraz trwałe efekty leczenia. Powierzenie nam zdrowia pacjentów jest dla nas ogromną odpowiedzialnością, a jednocześnie najwyższym zaszczytem. Zakres mojej specjalizacji obejmuje leczenie: 1. Wady wrodzone i rozwojowe kończyn: Hemimelia strzałkowa, niedorozwój kości udowej (CFD – Congenital Femoral Deficiency) – zaawansowane metody rekonstrukcyjne, w tym wydłużanie oraz procedury typu SUPERhip, SUPERankle Brak kości promieniowej i inne deformacje kończyny górnej – zabiegi ulnaryzacji, pollicyzacji, korekcji osi Mnogie wyrośla chrzęstno-kostne (MHE) – chirurgiczna korekcja deformacji i zapobieganie wtórnym ograniczeniom ruchomości Wrodzony staw rzekomy kości piszczelowej (CPT) – rekonstrukcja podudzia metodą CPT Xunion 2. Zaburzenia osi i długości kończyn: Skrócenia kończyn – techniki wydłużania z zastosowaniem gwoździ teleskopowych, aparatów Ilizarowa oraz STRYDE i PRECICE Zaburzenia osi kończyn (koślawość, szpotawość, rotacje) – korekcje wielopłaszczyznowe, osteotomie oraz stabilizacja z użyciem aparatów zewnętrznych i gwoździ wewnętrznych 3. Neuroortopedia – leczenie pacjentów z zaburzeniami neurologicznymi: Mózgowe porażenie dziecięce (MPD) – operacje zmniejszające spastyczność, korekcje stawów oraz zabiegi wielopoziomowe poprawiające funkcję chodu Przepuklina oponowo-rdzeniowa (spina bifida) – leczenie deformacji stóp i kończyn dolnych, stabilizacja stawów Artrogrypoza – wieloetapowe leczenie chirurgiczne poprawiające zakres ruchu i funkcjonalność kończyn 4. Zakażenia i zaburzenia zrostu kostnego: Osteomyelitis (zakażenia kości i szpiku) – leczenie chirurgiczne i antybiotykoterapia celowana Zaburzenia zrostu kostnego, brak zrostu (non-union, mal-union) – nowoczesne techniki transportu kostnego, przeszczepów i stabilizacji 5. Rekonstrukcja dużych stawów i leczenie deformacji: Endoprotezoplastyka biodra, kolana i stawu skokowego – zarówno w przypadkach zwyrodnieniowych, jak i pourazowych Choroba Legg-Calvé-Perthesa – metody operacyjne poprawiające ukrwienie głowy kości udowej i ograniczające deformację Złuszczenie głowy kości udowej (SCFE – Slipped Capital Femoral Epiphysis) – leczenie za pomocą zmodyfikowanej metody Dunna, pozwalającej na anatomiczną rekonstrukcję biodra i zachowanie funkcji stawu Dysplazje szkieletowe – interdyscyplinarne podejście do leczenia deformacji i ograniczeń funkcjonalnych 6. Leczenie stopy cukrzycowej i deformacji stóp: Stopa cukrzycowa – nowoczesne techniki rekonstrukcji stopy, zapobieganie amputacji Deformacje stopy (np. stopa końsko-szpotawa, płasko-koślawa, stopa sierpowata) – korekcja chirurgiczna i indywidualne podejście do biomechaniki chodu 7. Chirurgia urazowa dzieci i dorosłych: Leczenie złamań z zastosowaniem minimalnie inwazyjnych technik operacyjnych Rekonstrukcja kończyn po urazach, w tym ratowanie kończyny zagrożonej amputacją Stabilizacja wewnętrzna i zewnętrzna złamań patologicznych oraz pourazowych 8. Osseointegracja - zaopatrzenie pacjentów po amputacji poprzez korekcję kikuta lub aplikację osseointegracji do kości powyżej lub poniżej kolana wraz z zaopatrzeniem prtotetycznym 9. Wydłużanie kosmetyczne kończyn dolnych i górnych. Wykonujemy jednoczasowe operacje zarówno wydłużania kości udowych i piszczelowych jako jedyny ośrodek w Europie. Efekt jaki możemy uzyskać to 10-12 cm zwiększenia wzrostu. Wierzę, że najlepsze efekty leczenia można osiągnąć dzięki współpracy grona specjalistów, kierując się zasadą pacjentocentryzmu, która stawia potrzeby pacjenta w centrum procesu terapeutycznego.. Dlatego każda konsultacja odbywa się w interdyscyplinarnym zespole, w skład którego wchodzą ortopedzi, fizjoterapeuci, ortotycy i terapeuci zajęciowi. Pierwsza wizyta trwa około 1,5 godziny i obejmuje szczegółową ocenę stanu zdrowia oraz opracowanie planu leczenia chirurgicznego. W naszym instytucie działamy na podstawie indywidualnie opracowanych dla każdej jednostki chorobowej protokołów leczenia operacyjnego oraz postępowania fizjoterapeutycznego, których jestem współautorem. Dzięki temu zapewniamy spójne, kompleksowe i skuteczne podejście terapeutyczne, dostosowane do specyfiki danej choroby i indywidualnych potrzeb pacjenta. Zapraszam na konsultacje ortopedyczne, neuroortopedyczne oraz deformacyjne.
Zakres porad
- Ortopedia i traumatologia narządu ruchu
Główne obszary pomocy
- Deformacje kończyn
- Mózgowe porażenie dziecięce
- Dysplazja stawu biodrowego
- Guzy kości
- Jałowa martwica kości
- +12 a11y_sr_more_diseases
Pacjenci których przyjmuję
Zdjęcia i filmy
Usługi i ceny
-
Konsultacja ortopedyczna
500 zł - 850 zł -
-
Konsultacja ortopedyczna dzieci
Od 500 zł -
-
Konsultacja ortopedyczna - kończyna dolna
Od 500 zł -
-
Operacja ortopedyczna odbarczenia cieśni kanału nadgarstka
-
-
Ortopeda wysokospecjalistyczny
500 zł -
-
-
Adresy (2)
Aleja Rzeczypospolitej 1, Klatka A, p I, Wilanów, 02-972 Warszawa
Dostępność
Metody płatności (wizyty prywatne)
- Gotówka
- Karta płatnicza
- Blik
Telefon
Dlaczego prosimy Cię o wyrażenie zgody na przetwarzanie danych?
Wyrażenie zgody jest niezbędne do umówienia wizyty z wykorzystaniem telerejestracji. Wymagają tego przepisy Ogólnego Rozporządzenie o Ochronie Danych Osobowych - tzw. RODO. Informujemy, że zgoda jest dobrowolna, jednak jej brak uniemożliwi umówienie wizyty. Informujemy rówież, że zgoda może zostać w każdym momencie zostać wycofana. W tym celu wystarczy się skontaktować z nami przez formularz
Kiedy dojdzie do przetwarzania moich danych osobowych?
Do przetwarzania Twoich danych osobowych dojdzie podczas rozmowy telefonicznej z naszym centrum telerejestracji, ale jednak wyłącznie w sytuacji gdy tej rozmowy podasz nam swoje dane osobowe. Przetwarzanie danych osobowych dokonywane jest w celu umówienia wizyty i przekazania danych osobowych wybranemu Profesjonaliście.
Czy moje dane osobowe zostaną przekazane Profesjonaliście do którego chce się umówić na wizytę?
Tak. Udostępnimy wybranemu przez Ciebie Profesjonaliście informacje i dane osobowe które nam przekazałeś podczas rozmowy telefonicznej oraz przekażemy te informacje Profesjonaliście. Dzięki temu Profesjonalista będzie mógł przygotować się na Twoją wizytę.
Kto jest administratorem moich danych osobowych?
Administratorem danych osobowych jest ZnanyLekarz sp. z o.o. z siedzibą w Warszawie przy ul. Kolejowej 5/7. Informujemy, że po przekazaniu przez nas Twoich danych osobowych wybranemu przez Ciebie Profesjonaliście, staje się on również administratorem Twoich danych osobowych i przetwarza je w celach związanych ze świadczeniem usług medycznych lub innych podobnych.
Gdzie mogę uzyskać więcej informacji o moich prawach związanych z przetwarzaniem danych osobowych?
Więcej informacji o przetwarzaniu Twoich danych osobowychDlaczego prosimy Cię o wyrażenie zgody na przetwarzanie danych?
Wyrażenie zgody jest niezbędne do umówienia wizyty z wykorzystaniem telerejestracji. Wymagają tego przepisy Ogólnego Rozporządzenie o Ochronie Danych Osobowych - tzw. RODO. Informujemy, że zgoda jest dobrowolna, jednak jej brak uniemożliwi umówienie wizyty. Informujemy rówież, że zgoda może zostać w każdym momencie zostać wycofana. W tym celu wystarczy się skontaktować z nami przez formularz
Kiedy dojdzie do przetwarzania moich danych osobowych?
Do przetwarzania Twoich danych osobowych dojdzie podczas rozmowy telefonicznej z naszym centrum telerejestracji, ale jednak wyłącznie w sytuacji gdy tej rozmowy podasz nam swoje dane osobowe. Przetwarzanie danych osobowych dokonywane jest w celu umówienia wizyty i przekazania danych osobowych wybranemu Profesjonaliście.
Czy moje dane osobowe zostaną przekazane Profesjonaliście do którego chce się umówić na wizytę?
Tak. Udostępnimy wybranemu przez Ciebie Profesjonaliście informacje i dane osobowe które nam przekazałeś podczas rozmowy telefonicznej oraz przekażemy te informacje Profesjonaliście. Dzięki temu Profesjonalista będzie mógł przygotować się na Twoją wizytę.
Kto jest administratorem moich danych osobowych?
Administratorem danych osobowych jest ZnanyLekarz sp. z o.o. z siedzibą w Warszawie przy ul. Kolejowej 5/7. Informujemy, że po przekazaniu przez nas Twoich danych osobowych wybranemu przez Ciebie Profesjonaliście, staje się on również administratorem Twoich danych osobowych i przetwarza je w celach związanych ze świadczeniem usług medycznych lub innych podobnych.
Gdzie mogę uzyskać więcej informacji o moich prawach związanych z przetwarzaniem danych osobowych?
Więcej informacji o przetwarzaniu Twoich danych osobowychKonsultacja online
Dostępność
W tym gabinecie nie można umawiać wizyt przez internet
Opinie
31 opinii
Sprawdzamy wszystkie opinie. Moderujemy je zgodnie z naszymi zasadami, dowiedz się więcej o opiniach i sposobie obliczania gwiazdek na Dowiedz się więcej Dowiedz się więcej o opiniach
-
A
AO
Wizyta przebiegła sprawnie, w miłej atmosferze ale rzeczowo. Rozpoznanie, propozycje/opcje leczenia i jego oczekiwane rezultaty. Pełen profesjonalizm w kontakcie z pacjentem.
• Paley European Institute • konsultacja ortopedyczna dzieci •
-
S
Sandra
Jako osoba dorosła mogę szczerze polecić wizytę u Pana dr. Wizyta przebiegła w miłej atmosferze, profesjonalne podejście. Po badaniu odpowiedział na nurtujące Nas pytania a na koniec wyjaśnił jak ma wyglądać cały proces leczenia.
• Paley European Institute • konsultacja ortopedyczna •
Paley European Institute
Pani Sandro, dziękujemy za tę opinię i podzielenie się swoim doświadczeniem.
Czytając o tym, że wizyta przebiegła w spokojnej, profesjonalnej atmosferze, a cały proces leczenia został jasno wyjaśniony, widzimy jak ważne jest poczucie zrozumienia i możliwość zadania wszystkich pytań bez pośpiechu.
W Paley European Institute zwracamy dużą uwagę na to, aby każdy pacjent miał jasność co do kolejnych kroków i czuł się pewnie w podejmowanych decyzjach zdrowotnych. Cieszy nas, że to doświadczenie było dla Pani wartościowe.
Dziękujemy za zaufanie.
Patient Experience & Empathy Team
Paley European Institute
-
J
Jerzy
Takich specjalistów jak dr Deszczyński to spotkałem w życiu może ze dwa razy. TOP jeśli chodzi o wiedzę i podejście do pacjenta. Polecam serdecznie
• Paley European Institute • konsultacja ortopedyczna •
Paley European Institute
Panie Jerzy, bardzo dziękujemy za tę opinię o dr. Michale.
Tak wysokie uznanie — zarówno dla wiedzy, jak i podejścia do pacjenta — jest dla nas szczególnie ważne. To właśnie połączenie kompetencji i relacji buduje zaufanie, o które dbamy na co dzień.
Cieszymy się, że to doświadczenie było dla Pana tak pozytywne.
Dziękujemy za polecenie.
Patient Experience & Empathy Team
Paley European Institute
-
U
Ula
Wizyta odbyła się ponktoalnie Pan dr. Wyczerpująco udzieli nam odpowiedzi na nurtujące nas pytania. Cały zespół towarzyszący doktorowi był bardzo pomocny , uśmiechnięty , rozluźniający atmosferę, a przecież nierzadko wizyta lekarska to stres. W mojej ocenie prowadzenie pacjenta przez przez Pana dr. Jest na najwyższym poziomie.
• Paley European Institute • konsultacja ortopedyczna •
Paley European Institute
Pani Ulo, bardzo dziękujemy za tę opinię o dr. Jarosławie i całym zespole.
To, że wizyta przebiegła punktualnie, a wszystkie pytania zostały spokojnie i wyczerpująco omówione, ma duże znaczenie — szczególnie w sytuacjach, które naturalnie wiążą się ze stresem. Cieszy nas również, że atmosfera tworzona przez zespół była dla Pani wspierająca i pozwoliła poczuć większy komfort.
Takie doświadczenie — łączące merytorykę z uważnością na emocje — jest dla nas bardzo ważne.
Dziękujemy za zaufanie.
Patient Experience & Empathy Team
Paley European Institute
-
R
Renata
Jestem usatysfakcjonowana z wizyty, lekarz odpowiedział na wszystkie moje pytania w bardzo dokładny i rzetelny sposób
• Rehasport, Szpitalne Centrum Konsultacyjne Medicover | Warszawa • konsultacja Paley European Institute dorośli i dzieci •
-
Michał Czopek
W swoim życiu odbyłem już niejedną konsultację medyczną, niemniej jednak wizyta u dr Deszczyńskiego była zdecydowanie najbardziej profesjonalna. Wnikliwy wywiad medyczny, skrupulatnie przeprowadzone badanie oraz konkretny i rzeczowy opis mojej sytuacji zdrowotnej. Co najważniejsze, doktor wykazywał bardzo duże zainteresowanie tym co mówię oraz poświęcił mi tyle czasu, ile było konieczne. Na koniec przedstawił jasny plan działania. Pierwszy raz z czystym sumieniem daję 5 gwiazdek.
• Rehasport, Szpitalne Centrum Konsultacyjne Medicover | Warszawa • •
-
G
gab.reh.bea
Wizyta odbyła się w miłej rzeczowej atmosferze wg ustalonego harmonogramu. Lekarz dokładnie wytłumaczył plan postępowania dla mojej córki
• Rehasport, Szpitalne Centrum Konsultacyjne Medicover | Warszawa • plan leczenia european paley institute •
-
oliwka
Bardzo miły, kompetentny lekarz z podejściem do pacjenta. Bardzo szczegółowo przeprowadził badanie córki
• Rehasport, Szpitalne Centrum Konsultacyjne Medicover | Warszawa • konsultacja ortopedyczna dziecka •
-
Marek Mocny
Wspaniały lekarz z wielką wiedzą i ogromnym sercem .Podchodzi do pacjenta bardzo indywidualnie co wyróżnia go na tle innych lekarzy .Z wielkim spokojem odpowiada na nasze pytania .Dr operował naszego synka i to dzieki niemu dziś nasz synek chodzi , biega , a inni lekarze chcieli amputować nóżkę .znakomity lekarz któremu będziemy wdzięczni do końca życia :) polecamy dr Michała Deszczynskiego :) Marek i Kasia Mocny
• Rehasport, Szpitalne Centrum Konsultacyjne Medicover | Warszawa • konsultacja ortopedyczna •
-
Sebastian Podczerwiński
Konsultacja z Dr Deszczyńskim przebiegała na bardzo wysokim poziomie, szczegółowo zostało nam wytłumaczone na czym polegać będzie leczenie naszej małej córeczki, wizyta przebiegała w bardzo miłej atmosferze, a podejście Pana DR do córeczki było z wielkim sercem.Pan DR wykazał się wielką wiedzą na temat wady naszej małej gwiazdki .Odpowiedział wyczerpująco na wszystkie nasze pytania. Polecamy Pana DR jeśli ma ktoś dzieciaczka z wadami wrodzonymi..Pozdrawiamy Asia ,Edyta i Sebastian
• Rehasport, Szpitalne Centrum Konsultacyjne Medicover | Warszawa • plan leczenie Paley Europan Institute •
Odpowiedzi na pytania
8 odpowiedzi udzielonych przez lekarza na pytania pacjentów na ZnanyLekarz.pl
Witam!Z powodu wielokrotnych skręcen stawu skokowego miałam wykonany rezonans.Oto wynik:Dyskretnie zwiększna ilość płynu w otoczeniu stawu skokowego.W obrębie kości piętowej widoczny jest hyperintensywny obszar odpowiadający najprawdopodobniej obszarowi stłuczenia szpiku kostnego i zmian obrzękowych w jego obrębie.Ogniska martwicy podchrzęstnej w obrębie stawu skokowo-piętowego.Cechy przebytego nadłamania kości skokowej oraz stan po przebytym pęknięciu kości piętowej.Proszę o odpowiedz co oznacza taki wynik i jakie jest leczenie.Dziękuje za odpowiedz i pozdrawiam!
Należy ocenić morfologię uszkodzenia chrząstki bloczka kości skokowej łącznie z przeprowadzeniem badania przedmiotowego czy towarzyszy mu jakakolwiek niestabilność stawu. Na podstawie tych danych można przedstawić odpowiedni plan leczenia.
Od około 5 miesięcy odczuwam ból w lewym kolanie (zwłaszcza przy długim chodzeniu, wchodzeniu i schodzeniu ze schodów itd.). Podczas badania USG u ortopedy zostało rozpoznane zapalenie błony maziowej, staw stabilny, objawy łąkotkowe ujemne. Lekarz wówczas powiedział, że to tzw. chondromalacja rzepki. Otrzymałam skierowanie na RTG oraz zalecono mi rehabilitację: fonoforeza z NLPZ, krioterapia, pole magnetyczne, które brałam przez 10 dni (efekty były krótkotrwałe). Nie otrzymałam żadnych recept na lekarstwa i innych zaleceń, sama zaopatrzyłam się w Arthron complex i żel Bals Sulphur, kompresy żelowe zimne itd. Z RTG obu kolan w pozycji stojącej wyszło: niewielka sklerotyzacja podchrzęstna kości piszczelowych, obniżenie szpar stawowych obustronnie oraz boczne ustawienie rzepek. Moje pytanie brzmi: co powinnam dalej zrobić - myśleć o zabiegu artroskopowym, o zastrzykach docelowych w staw kolanowy? Jakie ćwiczenia mogę wykonywać, żeby zmniejszyć dyskomfort (trzeszczenie, uczucie blokowania kolana, uczucie zmęczenia w kolanie, nacisk) ? Co mogę robić, czego powinnam unikać? Smarowanie żelem nie przynosi skutku, okłady zimnym kompresem przynoszą ulgę tymczasową. Z góry dziękuję za wszelkie wskazówki. Pozdrawiam Marta
W pierwszej kolejności żeby myśleć o jakimkolwiek leczeniu czy operacyjnym lub zachowawczym, należy postawić rozpoznanie i następnie można przedstawić plan leczenia. Badania dodatkowe jak RTG czy USG są tylko składową, należy udać się do ortopedy celem przeprowadzenia badania i zapoznania się z wynikami. pozdrawiam MD
Wszystkie treści, w szczególności pytania i odpowiedzi, dotyczące tematyki medycznej mają charakter informacyjny i w żadnym wypadku nie mogą zastąpić diagnozy medycznej.
Najczęściej zadawane pytania
-
Jaki jest zakres porad oferowanych przez Jarosław Michał Deszczyński?Jarosław Michał Deszczyński to ortopeda dziecięcy, ortopeda. Na podstawie swojego doświadczenia i wykształcenia Jarosław Michał Deszczyński oferuje usługi takie jak: konsultacja ortopedyczna, Konsultacja ortopedyczna - kończyna dolna, konsultacja ortopedyczna dzieci, Operacja ortopedyczna odbarczenia cieśni kanału nadgarstka, ortopeda wysokospecjalistyczny, zabiegi ortopedyczne, konsultacja ortopedyczna dzieci – telemedycyna.
-
Gdzie Jarosław Michał Deszczyński ma swój gabinet?Jarosław Michał Deszczyński przyjmuje pod adresem:
- Aleja Rzeczypospolitej 1, Klatka A, p I Warszawa
-
Czy Jarosław Michał Deszczyński przyjmuje online, bez konieczności pojawiania się w placówce?Tak, Jarosław Michał Deszczyński oferuje konsultacje online. Wybierz opcję „konsultacja online” przy umawianiu wizyty, a zobaczysz dostępne terminy.
-
Jak Jarosław Michał Deszczyński akceptuje płatności po wizycie?Metody płatności, które akceptuje Jarosław Michał Deszczyński to: Gotówka, Karta płatnicza, Blik.
-
W jakich językach konsultuje Jarosław Michał Deszczyński?Języki, których używa Jarosław Michał Deszczyński to angielski, niemiecki.
-
Jak Jarosław Michał Deszczyński umawia wizyty?Jarosław Michał Deszczyński używa kalendarza ZnanyLekarz, dlatego na stronie widzisz aktualne terminy. Wystarczy, że wybierzesz datę i godzinę, które odpowiadają Ci najbardziej. Umawianie wizyty jest darmowe, a tuż przed terminem wyślemy Ci przypomnienie.
-
W jakich godzinach przyjmuje Jarosław Michał Deszczyński?Jarosław Michał Deszczyński może mieć dostępne terminy w tym lub w nadchodzącym tygodniu. Terminy, które widzisz w kalendarzu są dostępne, ponieważ aktualizujemy go na bieżąco. Jeśli pierwszy dostępny termin Ci nie odpowiada, sprawdź następny. Rezerwacja terminu jest natychmiastowa, bez dodatkowych opłat.
-
Jarosław Michał Deszczyński: co mówią pacjenci?31 osób dodało swoją opinię. Jarosław Michał Deszczyński ma średnią ocen 5 (na 5 gwiazdek).
-
Jakie ubezpieczenia akceptuje Jarosław Michał Deszczyński?Jarosław Michał Deszczyński nie przyjmuje w ramach ubezpieczenia, tylko w ramach płatnych wizyt prywatnych. W razie wątpliwości zalecamy kontakt ze specjalistą.