Przewidywany czas odpowiedzi:

Moje doświadczenie

Ukończyłem studia na Uniwersytecie Medycznym w Łodzi, w trakcie których odbyłem rok nauki na uczelni Friedrich-Alexander-Universität Erlangen-Nürnberg w Niemczech. Wykonuję zabiegi z zakresu stomatologii zachowawczej, estetycznej i profilaktyki. W pracy ważne jest dla mnie staranne i empatyczne podejście do pacjentów i dbałość o komfort zabiegów. Udzielam wyczerpujących informacji dotyczących wybranej metody leczenia i innych możliwości jego prowadzenia. Pomagam pacjentom w usunięciu ognisk próchnicy i stanów zapalnych, poprawie wyglądu zębów z nieestetycznymi wypełnieniami, przebarwionych, uszkodzonych w wyniku urazów.
więcej O mnie

Pacjenci których przyjmuję

Dorośli
Dzieci

Rodzaje konsultacji

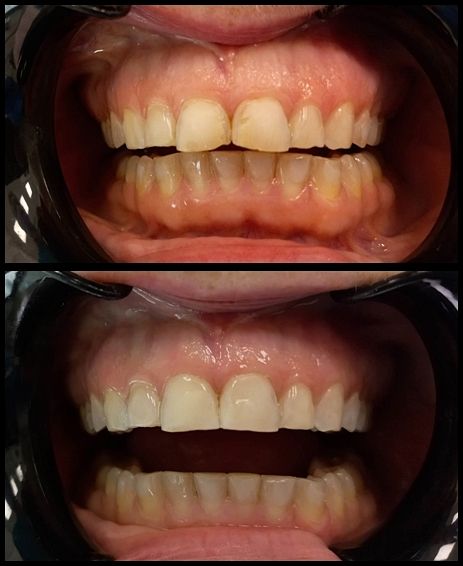
Zdjęcia i filmy

Aktualności

lek. dent. Wojciech Smolik

aleja Tadeusza Rejtana 65, III piętro w części biurowej Galerii Plaza Rzeszów, 35-959 Rzeszów

Zapraszam na konsultacje ortodontyczne dzieci i dorosłych!

11/03/2026

Usługi i ceny

  • Konsultacja ortodontyczna

    99 zł

  • Konsultacja stomatologiczna (pierwsza wizyta)

    150 zł

  • Licówka kompozytowa wykonana w gabinecie

    Od 400 zł

  • Odbudowa zniszczonego zęba

    Od 450 zł

  • Wypełnienie estetyczne

    600 zł

Adresy (2)

Stomatologia Medicover Rzeszów Rejtana
Stomatologia Medicover Rzeszów Rejtana

aleja Tadeusza Rejtana 65, III piętro w części biurowej Galerii Plaza Rzeszów, 35-959 Rzeszów

Powiększ mapę otwiera się w nowej karcie

Dostępność

Metody płatności (wizyty prywatne)

  • Gotówka
  • Karta płatnicza
  • Blik
  • Płatność ratalna

Telefon

22 276...
KEN-MED Lecznica Dentystyczno - Lekarska
KEN-MED Lecznica Dentystyczno - Lekarska

Aleja Komisji Edukacji Narodowej 105, Ursynów, 02-722 Warszawa

Powiększ mapę otwiera się w nowej karcie

Dostępność

W tym gabinecie nie można umawiać wizyt przez internet

Metody płatności (wizyty prywatne)

  • Gotówka
  • Karta płatnicza
  • Blik

Ubezpieczenia nieakceptowane

Specjalista przyjmuje tylko pacjentów prywatnych. Możesz zapłacić z własnej kieszeni lub znaleźć innego specjalistę, który akceptuje Twoje ubezpieczenie.

10 opinii

Najczęściej wymieniane przez pacjentów

  • Szczegółowe wyjaśnienia
  • Zaangażowanie lekarza
  • Przyjazny gabinet

Sprawdzamy wszystkie opinie. Moderujemy je zgodnie z naszymi zasadami, dowiedz się więcej o opiniach i sposobie obliczania gwiazdek na Dowiedz się więcej Dowiedz się więcej o opiniach

  • M

    Wizyta przebiegła w bardzo miłej atmosferze, pan doktor poświęcił bardzo dużo czasu żeby znaleźć i potem wyjaśnić mi przyczynę mojego bólu.

    • Zaangażowanie lekarza
    • Szczegółowe wyjaśnienia
    • Przyjazny gabinet
     • KEN-MED Lecznica Dentystyczno - Lekarska Konsultacja stomatologiczna (pierwsza wizyta)  • 

  • L

    Pan Wojciech był bardzo profesjonalny i sympatyczny, objaśnił co trzeba będzie zrobić i w jakiej kolejności. Obsługa placówki KEN-MED również na wysokim poziomie.

    • Zaangażowanie lekarza
    • Szczegółowe wyjaśnienia
    • Przyjazny gabinet
     • KEN-MED Lecznica Dentystyczno - Lekarska Konsultacja stomatologiczna (pierwsza wizyta)  • 

  • M

    Niesamowite zaangażowanie, profesjonalizm oraz cierpliwość w wysłuchaniu zawiłej historii dotychczasowego leczenia. Będę wracać :)

    • Zaangażowanie lekarza
    • Szczegółowe wyjaśnienia
    • Skuteczność leczenia
    • Przyjazny gabinet
    • Punktualność
     • KEN-MED Lecznica Dentystyczno - Lekarska Konsultacja stomatologiczna (pierwsza wizyta)  • 

  • D

    Jestem bardzo zadowolona z wizyty- wszystko przebiegło w sympatycznej i pelnej profesjonalizmu atmosferze, a przede wszystkim mam ładnie naprawiony ząb

    • Zaangażowanie lekarza
    • Szczegółowe wyjaśnienia
    • Skuteczność leczenia
    • Przyjazny gabinet
    • Punktualność
     • KEN-MED Lecznica Dentystyczno - Lekarska Wypełnienie materiałem kompozytowym  • 

  • G

    Pierwsza wizyta super profesjonalna. Pan Wojtek jest bardzo precyzyjny i dokładny. Przegląd dokładnie przeprowadzony i wiem co mnie czeka na kolejnej drugiej wizycie. Mam praktycznie nową, odtworzoną 7-kę i mega się z tego cieszę. :)

    • Szczegółowe wyjaśnienia
     • KEN-MED Lecznica Dentystyczno - Lekarska Odbudowa zniszczonego zęba  • 

  • O

    Świetny stomatolog, wszystko zostało dokładnie omówione. Lekarz jest bardzo delikatny, więc całe leczenie było praktycznie bezbolesne. Polecam.

    • Zaangażowanie lekarza
    • Szczegółowe wyjaśnienia
    • Skuteczność leczenia
    • Przyjazny gabinet
    • Punktualność
     • KEN-MED Lecznica Dentystyczno - Lekarska Wypełnienie materiałem kompozytowym  • 

  • M

    Jestem zadowolona z dr Smolika. Kompleksowo zajął się moimi zębami. Był bardzo profesjonalny. Wszystko tłumaczy, wyjaśnia. Ma świetne podejście do pacjenta. Polecam serdecznie :)

    • Zaangażowanie lekarza
    • Szczegółowe wyjaśnienia
    • Skuteczność leczenia
    • Przyjazny gabinet
    • Punktualność
     • KEN-MED Lecznica Dentystyczno - Lekarska wypełnienie estetyczne  • 

  • A

    Polecam serdecznie wizytę. Bezboleśnie, miło. Wszystko wyjaśnione dokładnie, zaproponowane dalsze leczenie

    • Zaangażowanie lekarza
    • Szczegółowe wyjaśnienia
    • Przyjazny gabinet
    • Punktualność
     • KEN-MED Lecznica Dentystyczno - Lekarska wizyta w związku z bólem zęba  • 

  • K

    Trafiłam do dr Wojciecha z polecenia. Jestem bardzo zadowolona z wizyty - doktor był delikatny, dbał o mój komfort. Wypełnienie bardzo estetyczne. Doktor przy okazji sprawdzil pozostałe zęby i zaproponował dalsze leczenie. Polecam i dziękuję za bezstresową wizytę

    • Zaangażowanie lekarza
    • Szczegółowe wyjaśnienia
    • Skuteczność leczenia
    • Przyjazny gabinet
    • Punktualność
     • KEN-MED Lecznica Dentystyczno - Lekarska Wypełnienie materiałem kompozytowym  • 

  • W

    Serdecznie wszystkim polecam! Umowilem sie do doktora w celu wymiany bardzo starego wypelnienia, ktore mi sie wykruszylo. Doktor przeprowadzil szczegolowe badanie oraz zdjecie kontrolne przed ponownym wypelnieniem zeba. W trakcie zabiegu informowal o kolejnych etapach oraz podpytywal czy wszystko ok. Doktor bardzo zaangazowany, dokladny i konkretny. Umowilem sie na kolejna wizyte, zeby zrobic porzadek. Dziekuje i polecam

    • Zaangażowanie lekarza
    • Szczegółowe wyjaśnienia
    • Skuteczność leczenia
    • Przyjazny gabinet
    • Punktualność
     • KEN-MED Lecznica Dentystyczno - Lekarska Wypełnienie materiałem kompozytowym  • 

Wystąpił błąd, spróbuj jeszcze raz

Najczęściej zadawane pytania