lek. dent. Urszula Godlewska-Tomaszewska

Stomatolog · Więcej O specjalizacjach

Warszawa 1 adres

Nr PWZ: 5718709

288 opinii
Przewidywany czas odpowiedzi:

Moje doświadczenie

specjalista I stopnia stomatologii ogólnej z wieloletnim stażem. Zakres pracy klinice "Prestige Dental" stomatologia zachowawcza- nowoczesne lczenie zachowawcze w tym wypełnienie estetyczne zęba , bonding , lecznenie kanałowe w mikroskopie - pierwotne ,lecznenie kanałowe w mikroskopie-  powtórne  ,  protetyka - korony i mosty  , protezy ruchome  , implantologia- implantacja natychmiastowa oraz odroczona , augmentacja kości wyrostka , podniesienie zatoki szczękowej , zaburzenia stawu skroniowo - żuchwowego .Posiada bardzo bogate i wieloletnie doświadczenie zdobyte podczas pracy w renomowanych klinikach stomatologicznych w Białymstoku i Warszawie. Uczestnik wielu kursów specjalistycznych w Polsce oraz Niemczech, gdzie na bieżąco podnosi swoje kwalifikacje zawodowe. Biegle włada językiem angielskim i rosyjskim. , komunikatywny niemiecki  O klinice Prestige Dental -nowoczesna klinika otwarta na warszawskim Żoliborzu w 2013 roku Naszym głównym celem jest oferowanie Państwu najwyższej jakości, kompleksowych usług stomatologicznych przy zachowaniu wysokich rygorów higieny i sterylności. Wieloletnie doświadczenie zaowocowało powstaniem wyjątkowej kliniki, w której duży nacisk kładziemy na profesjonalizm usług. Kadrę kliniki stanowią wysokiej klasy specjaliści, zarówno lekarze, jak i asysta stomatologiczna. Kładziemy nacisk na najwyższe standardy pracy, nowoczesne wyposażenie oraz cykliczne szkolenia całego personelu. Najwyższej jakości niemiecki sprzęt stomatologiczny oraz diagnostyczny pozwala na prowadzenie profesjonalnego leczenia w jednym miejscu. Dysponujemy m.in urządzeniem do wykonywania pantomogramów cyfrowych oraz mikroskopem. Naszym celem, jest pełna satysfakcja i dobro wszystkich naszych Pacjentów. Jesteście Państwo mile widziani. Zapraszamy do skorzystania z usług.

więcej O mnie

Zakres porad

  • Chirurgia stomatologiczna
  • Stomatologia ogólna
  • Stomatologia zachowawcza z endodoncją
  • Protetyka stomatologiczna

Pacjenci których przyjmuję

Dorośli
Dzieci

Rodzaje konsultacji

Zdjęcia i filmy

Logo
lek. dent. Urszula Godlewska-Tomaszewska

Rydygiera 15, lokal U 3B, 01-793 Warszawa

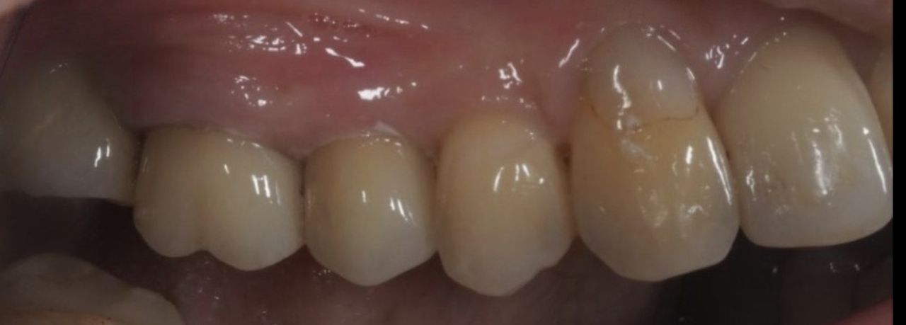
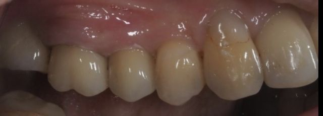
Leczenie implantologiczne to obecnie najskuteczniejszy sposób na trwałe odtworzenie brakujących zębów . Dzięki zastosowaniu tytanowych lub cyrkonowych wszczepów które zrastają się z kością , implanty pełnią funkcję naturalnego korzenia , co zapobiega zanikowi kości i zapewnia stabilność na lata .Pod względem estetycznym korony porcelanowe są dobierane tak, aby idealnie pasowały do koloru i kształtu zębów . Dzięki temu efekt końcowy jest identyczny z własnym uzębieniem . Przywraca funkcjonalność zgryzu i uśmiech . Tu przestawiamy pacjenta po kilku latach od implantacji

12/04/2026

Usługi i ceny

  • Konsultacja stomatologiczna

    Od 200 zł

  • Leczenie kanałowe

    Od 1 200 zł

  • Wypełnienie kompozytowe

    Od 300 zł

  • Wkłady koronowo-korzeniowe

    Od 400 zł

  • Szyny relaksacyjne

    Od 700 zł

Adres

Powiększ mapę otwiera się w nowej karcie
Klinika Stomatologiczna Prestige Dental - Warszawa Żoliborz

Rydygiera 15, lokal U 3B, Żoliborz, 01-793 Warszawa

Dostępność

Telefon

22 273...

Typy przyjmowanych pacjentów

  • Pacjenci prywatni (bez ubezpieczenia)
Powiększ mapę otwiera się w nowej karcie

288 opinii

Sprawdzamy wszystkie opinie. Moderujemy je zgodnie z naszymi zasadami, dowiedz się więcej o opiniach i sposobie obliczania gwiazdek na Dowiedz się więcej Dowiedz się więcej o opiniach

  • I

    Bardzo przyjazna atmosfera i świetna obsługa pacjenta.

     • Klinika Stomatologiczna Prestige Dental - Warszawa Żoliborz leczenie kanałowe pod mikroskopem  • 

  • J

    Byłam pierwszy raz i nie ostatni, profesjonalna obsługa, pani doktor Urszula szczegółowo omawia i wyjaśnia proces leczenia. Serdecznie polecam gabinet stomatologiczny

     • Klinika Stomatologiczna Prestige Dental - Warszawa Żoliborz  • 

    Klinika Stomatologiczna Prestige Dental - Warszawa Żoliborz

    Bardzo dziękujemy za zaufanie :)


  • J

    Super wizyta, pani doktor jest bardzo profesjonalna, rzeczowa, konkretna, spędziłam świetny czas w miłym miejscu i towarzystwie

     • Klinika Stomatologiczna Prestige Dental - Warszawa Żoliborz leczenie próchnicy  • 

    Klinika Stomatologiczna Prestige Dental - Warszawa Żoliborz

    Bardzo się cieszymy , dziękujemy za zaufanie :)


  • K

    Cudowny lekarz. Wizyta w bardzo przyjaznej atmosferze, bez pośpiechu. Polecam.

     • Klinika Stomatologiczna Prestige Dental - Warszawa Żoliborz leczenie próchnicy  • 

    Klinika Stomatologiczna Prestige Dental - Warszawa Żoliborz

    Bardzo dziękujemy


  • M

    Pani doktor przyjeła mnie bardzo profesjonalnie i zaplanowała leczenie dostosowane do moich potrzeb i ograniczeń czasowych. Wszystko dokładnie wyjaśniała i dawała dobre rady. Robią wrażenie też nowoczesne sprzęty i duży poziom technologiczny. Przekonałam się o tym wcześniej przy okazji leczenia kanałowego, a teraz to jeszcze doszły lasery więc łał.

     • Klinika Stomatologiczna Prestige Dental - Warszawa Żoliborz  • 

    Klinika Stomatologiczna Prestige Dental - Warszawa Żoliborz

    Dziękujemy bardzo za opinię :)


  • M

    Jak zawsze fachowa miła obsługa
    Klinika jest super placówka
    Polecam wszystkim

     • Klinika Stomatologiczna Prestige Dental - Warszawa Żoliborz leczenie kanałowe  • 

    Klinika Stomatologiczna Prestige Dental - Warszawa Żoliborz

    Dziękujemy bardzo Panie Marku i zapraszamy ponownie


  • L

    Bardzo dokładnie obejrzala p.dr zeby i wyjasnila jak pielegnowac bo zeby nie wymagaly leczenia

     • Klinika Stomatologiczna Prestige Dental - Warszawa Żoliborz Konsultacja stomatologiczna  • 

    Klinika Stomatologiczna Prestige Dental - Warszawa Żoliborz

    Pani Lidio jesteśmy pod wrażeniem jak dba Pani o swoje uzębienie , zapraszamy na kontrolę za kilka miesięcy :), a we wcześniejszym terminie ewentualnie na kawkę :), dziękujemy za opinię


  • M

    Pani doktor jest profesjonalna, delikatna i dokładna. Leczenie przebiega sprawnie, bez bólu, a atmosfera w gabinecie sprzyja komfortowi. Polecam z pełnym przekonaniem.

     • Klinika Stomatologiczna Prestige Dental - Warszawa Żoliborz leczenie zachowawcze  • 

    Klinika Stomatologiczna Prestige Dental - Warszawa Żoliborz

    Pani Moniko bardzo diękujemy za zaufanie


  • M

    Bardzo polecam Panią Urszula jak i całe Prestige Dental każdemu kto potrzebuje usług stomatologicznych na wysokim poziomie. Dobra usługa za dobrą cenę.

     • Klinika Stomatologiczna Prestige Dental - Warszawa Żoliborz Konsultacja stomatologiczna  • 

    Klinika Stomatologiczna Prestige Dental - Warszawa Żoliborz

    Dziękuję , polecamy się na przyszłość


  • E

    Serdecznie polecam dr Godlewską - profesjonalna, rzeczowa, o ogromnej wiedzy. Rok temu przekonała mnie do leczenia ortodontycznego, wyjaśniając szczegółowo, dlaczego jest to konieczne przed podjęciem jakichkolwiek dalszych procedur. A potem wykonała wszystkie niezbędne zabiegi (odbudowa, bonding, korony itp.), aby dać mi taki uśmiech, o jakim marzyłam :-) Dziękuję!!! I pozdrawiam cały zespół! Jestem i pozostanę wierną pacjentką.

     • Klinika Stomatologiczna Prestige Dental - Warszawa Żoliborz stomatologia estetyczna  • 

    Klinika Stomatologiczna Prestige Dental - Warszawa Żoliborz

    Dziękujemy i do zobaczenia wkróce


Wystąpił błąd, spróbuj jeszcze raz

Odpowiedzi na pytania

55 odpowiedzi udzielonych przez lekarza na pytania pacjentów na ZnanyLekarz.pl

Mam zgryz otwarty,do tego niedorozwiniętą górną szczękę,zęby są stłoczone.Mam 19 lat. Byłam już u jednego specjalisty który poinformował mnie, że powinnam mieć operację. Ten zabieg jest bardzo inwazyjny oraz niebezpieczny. Rozcięcie szwu podniebienia górnego jest ryzykowne oraz też może powodować różne komplikacje. Słyszałam że aparat podniebienny może w nieinwazyjny sposób pomóc rozszerzyć moja szczękę bez interwencji chirurgicznej. Czy w tym wieku można go założyć oraz czy będą widoczne efekty założenia go.Czy jest możliwość aby ktoś podjął się mojego leczenia bez interwencji chirurgicznej wyłącznie za pomocą aparatów ortodontycznych.

Witam , proponuję skonsultować się z ortodontą który przedstawi możliwe opcje leczenia

lek. dent. Urszula Godlewska-Tomaszewska

Od siedmiu miesięcy cierpię na silny ból stawów - żuchwowo skroniowych, który utrudnia mi normalne życie. Powoduje silne bóle głowy, wymioty i opuchliznę twarzy. Uczęszczałam na fizjoterapię, zabiegi fizykoterapii oraz nosiłam różne rodzaje szyn, niestety bez skutku, ból jest coraz silniejszy.

Byłam na rezonansie stawów żuchwowo - skroniowych i wykazal on nieprawidłowości w prawym stawie:

''Staw prawy: Wyrostek kłykciowy żuchwy z drobnym ubytkiem w części centralnej powierzchni stawowe. Poza tym bez niekształceń. Na jego górnej i przedniej powierzchni widoczne są wyraźne osteofity. W jamie stawu cechy umiarkowanego przerostu błony maziowej, bez wysięku.
Przy zamkniętych ustach wyrostek kłykciowy przeszcza się nieco ku przeodowi, bez podwichnięcia. W tym położeniu widoczne jest przemieszczenie krążka stawowego ku przwodow i jego niejednorodny sygnał. Przy otwartych ustach wyrostek przemieszcza się ku przedowwi w kierunku guzka stawowego nie ulegając podwichnięciu.
Krążek stawowy częściowo przemieszczony przy rozwaciu ust, kąt Rammelsberga wynosi 35 stopni. Miernie nasilone zmiany generacyjne. ''

Stomatolog, u którego byłam twierdzi, że takie zmiany nie są poważne i ''każdy takie ma''. Czy to prawda? Czemu odczuwam tak silny ból i opuchliznę twarzy? Nie mogę otwierać szeroko ust i gryźć pokarmów i mam dotkliwe mdłości. Czy takim schorzeniem powinien zająć się chirurg szczękowy, stomatolog czy ortopeda, gdy fizjoterapia i szyny już zawiodły?

Pozdrawiam serdecznie.

Witam , rzeczywiście zgodnie z opisem prawdopodobnie występują zmiany wytwórcze bądź degeneracyjne , na które nie do końca mamy wpływ . Jednak szynoterapia wielokrotnie przynosi ulgę pacjentom z dolegliwościami . Wymaga to jednak czasu i kontroli .Proponuję udać się do lekarza który zajmuje się leczeniem zaburzeń stawu skroniowo-żuchwowego

lek. dent. Urszula Godlewska-Tomaszewska
Zobacz wszystkie odpowiedzi

Wszystkie treści, w szczególności pytania i odpowiedzi, dotyczące tematyki medycznej mają charakter informacyjny i w żadnym wypadku nie mogą zastąpić diagnozy medycznej.

Najczęściej zadawane pytania