Klinika Stomatologiczna Prestige Dental - Warszawa Żoliborz

Klinika Stomatologiczna Prestige Dental - Warszawa Żoliborz

Logo
Klinika Stomatologiczna Prestige Dental - Warszawa Żoliborz

Rydygiera 15, lokal U 3B, 01-793 Warszawa

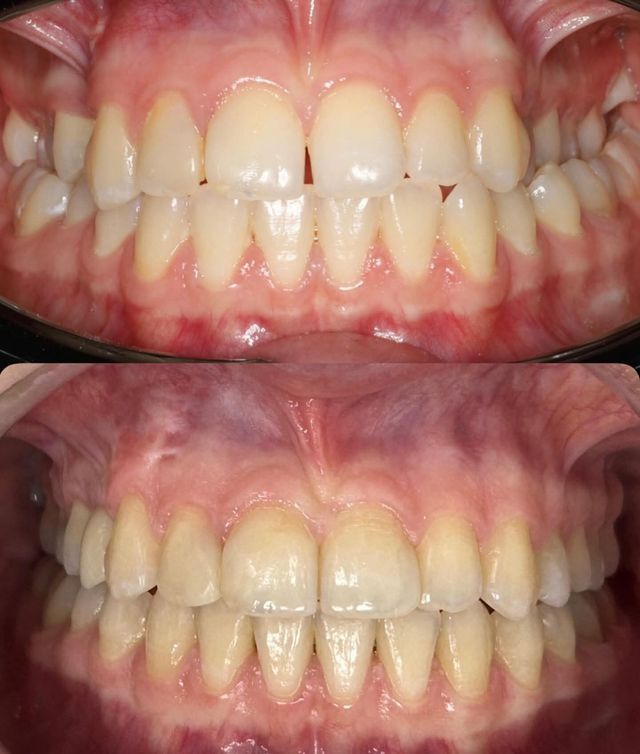
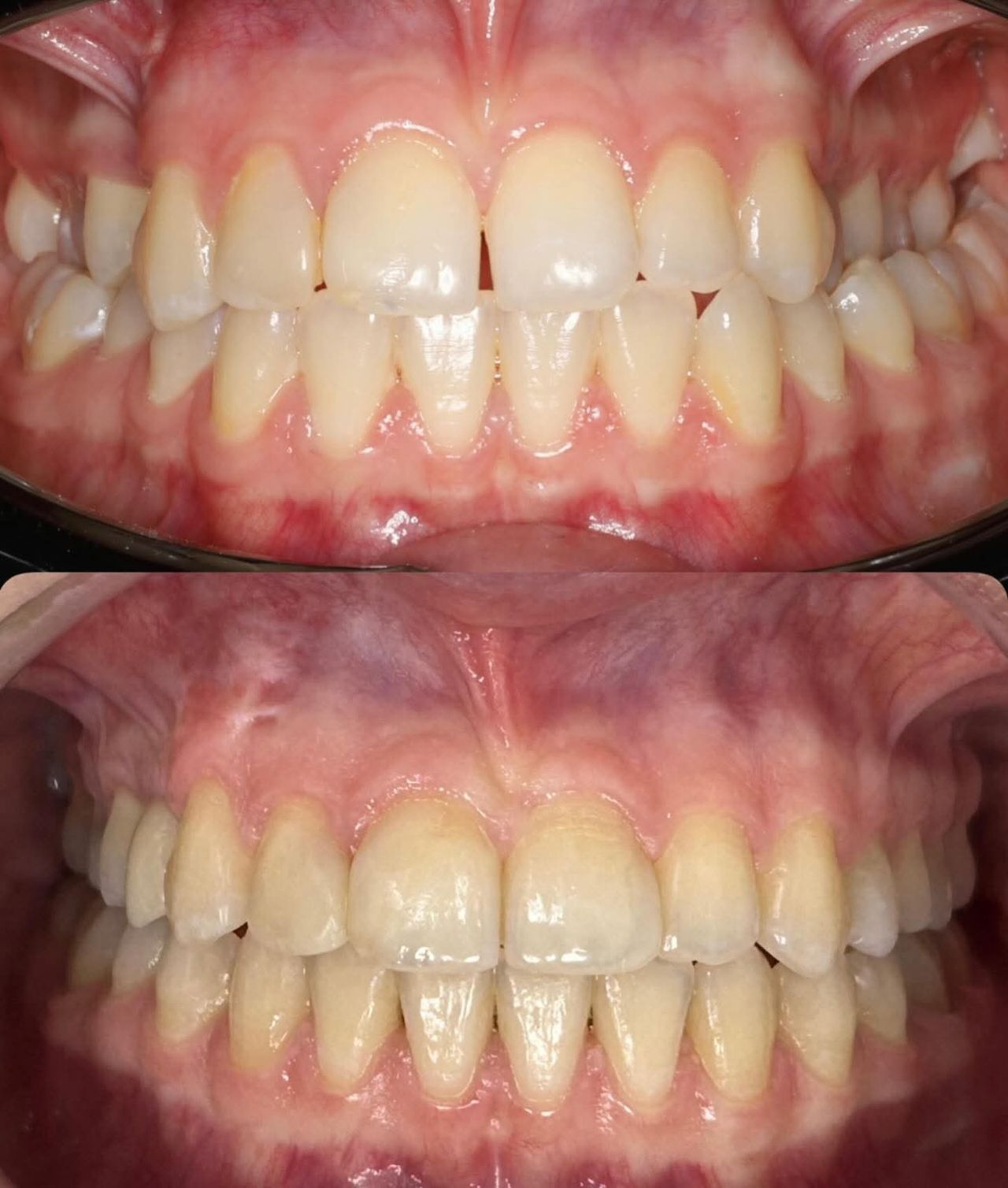
Taki jest efekt finalny leczenia Pacjenta ze zgryzem krzyżowym po obu stronach . Dzięki odpowiednio zaplanowanemu kompleksowemu leczeniu ortodontyczno- implantologicznemu udało się przywrócić prawidłową relację łuków zębowych , poprawić funkcję zgryzu oraz dać Pacjentowi uśmiech o którym marzył . Leczenie ortodontyczne to nie tylko prostsze zęby ale też zdrowie całego organizmu . Wspólna praca ortodonty dr.n.med Doroty Łukasiewicz oraz dr. Urszuli Godlewskiej

14/03/2026

O nas

Prestige Dental to jedna z najnowocześniejszych klinik stomatologicznych w Warszawie, wyróżniająca się znakomitymi osiągnięciami. O zdrowy i piękny uśmiech swoich Pacjentów dba zespół wybitnych lekarzy stomatologów pracujących w naszym Gabinecie. Bogate praktyczne doświadczenie i szeroka, ciągle pogłębiana wiedza pracujących w klinice specjalistów sprawia, że Prestige Dental to synonim kompleksowego i przyjaznego leczenia zębów. Dzięki korzystaniu z zaawansowanego sprzętu medyczno-diagnostycznego i najnowszych technologii, klinika świadczy usługi stomatologiczne na najwyższym poziomie. Naszą misją jest dbanie o piękny i zdrowy uśmiech Was wszystkich. W naszej klinice każdy stomatolog sprawujący nad pacjentem opiekę, to specjalista z danej dziedziny stomatologii. Dzięki temu Prestige Dental gwarantuje najwyższą jakość usług oraz precyzję przy wykonywaniu nawet najdrobniejszych zabiegów. Dostęp do szerokiej wiedzy i doświadczenia zatrudnionych tu specjalistów pozwala po dokładnym zbadaniu Pacjenta wybrać najlepszą metodę Jego leczenia. W naszej ofercie znajduje się między innymi skuteczna stomatologia zachowawcza- estetyczne wypełnienia i odbudowa zębów , rekonstrukcja zgryzu , leczenie zaburzenia stawu skroniowo-żuchwowego , ortodoncja - aparaty stałe , ruchome , leczenie naładkowe  ,  periodontologia,endodoncja- leczenie kanałowe w mikroskopie pierwotne i powtórne   , implantologia- implanty zębowe , augmetacja wyrostka , podniesienie zatoki szczękowej , kompleksowa protetyka - proteyza stale korony , mosty , protezy ruchome  , higienizacja zębów . Wyjątkową pozycję naszej Kliniki potwierdza również jej ocena w oczach Pacjentów. Prestige Dental to miejsce przyjazne dla Każdego. Uzyskaliśmy to dzięki indywidualnemu podejściu do potrzeb Pacjenta. Staramy sprostać oczekiwaniom Państwa - naszych Pacjentów. Zapewniamy profesjonalne leczenie oraz metody dające najlepsze efekty w każdym indywidualnym przypadku.Leczymy Pacjnetów w każdym wieku 

więcej O nas
Nasze specjalizacje
Pokaż wszystkie
stomatologia

Stomatologia

chirurgia stomatologiczna

Chirurgia stomatologiczna

stomatologia dziecięca

Stomatologia dziecięca

Zobacz więcej

Usługi

Specjaliści

Adres

Klinika Stomatologiczna Prestige Dental - Warszawa Żoliborz
Rydygiera 15, lokal U 3B, 01-793 Warszawa
Zobacz więcej

Opinie o specjalistach (681)

681 opinii

Sprawdzamy wszystkie opinie. Moderujemy je zgodnie z naszymi zasadami, dowiedz się więcej o opiniach i sposobie obliczania gwiazdek na Dowiedz się więcej Dowiedz się więcej o opiniach

    J

    Pani Wiktoria jak zawsze z uśmiechem i pełnym profesjonalizmem. Zawsze dokładnie tłumaczy co robi i dlaczego. Gorąco polecam!

     • lic. Wiktoria Ałaj-Szymańska higienizacja  • 

    lic. Wiktoria Ałaj-Szymańska

    Dziękuję bardzo!!! :)


    H

    Zdecydowanie polecam! Od dawna korzystam z zabiegów higienizacji u Pani Wiktorii i nie wyobrażam sobie iść do kogoś innego. Każda wizyta przebiega w przemiłej atmosferze, a profesjonalizm i delikatność :)

     • lic. Wiktoria Ałaj-Szymańska higienizacja  • 

    lic. Wiktoria Ałaj-Szymańska

    Bardzo dziękuję za tak miłe słowa! :)


    E

    Wizyta przebiegła sprawnie i w miłej atmosferze. Pani Wiktoria wszystko dokładnie wyjaśniła i mówiła co będzie się działo. Nie czułam żadnego bólu.

     • lic. Wiktoria Ałaj-Szymańska higienizacja  • 

    Klinika Stomatologiczna Prestige Dental - Warszawa Żoliborz

    Dziękujemy za opinię , cieszymy sie że zabieg był bezbolesny i bezstresowy :)


    Szczerze polecam higienizację u pani Wiktorii. Po latach robienia tego zabiegu w innych gabinetach, gdzie zawsze wiązało się to z bólem i dyskomfortem, znalazłam miejsce, gdzie wracam bez żadnych obaw. I jeśli nic się nie zmieni to zostanę na stałe.

     • lic. Wiktoria Ałaj-Szymańska higienizacja  • 

    lic. Wiktoria Ałaj-Szymańska

    Dziękuję bardzo za zaufanie! :)


    J

    Byłam pierwszy raz i nie ostatni, profesjonalna obsługa, pani doktor Urszula szczegółowo omawia i wyjaśnia proces leczenia. Serdecznie polecam gabinet stomatologiczny

     • lek. dent. Urszula Godlewska-Tomaszewska  • 

    Klinika Stomatologiczna Prestige Dental - Warszawa Żoliborz

    Bardzo dziękujemy za zaufanie :)


    R

    Higienizacja wykonana bardzo dokładnie i bez bólu. W porównaniu z takim samych zabiegiem wykonanym gdzie indzie to niebo i ziemia :)

     • lic. Wiktoria Ałaj-Szymańska higienizacja  • 

    Klinika Stomatologiczna Prestige Dental - Warszawa Żoliborz

    Dziękujemy bardzo za docenienie profesjonalizmu naszej higienistki . Bardzo nam miło


    M

    Pełen profesjonalizm, punktualność skuteczność i empatia! Dziękuję

     • lic. Wiktoria Ałaj-Szymańska higienizacja  • 

    Klinika Stomatologiczna Prestige Dental - Warszawa Żoliborz

    Zapraszamy ponownie , bardzo nam miło że wizyta nie była stresująca


    J

    Super wizyta, pani doktor jest bardzo profesjonalna, rzeczowa, konkretna, spędziłam świetny czas w miłym miejscu i towarzystwie

     • lek. dent. Urszula Godlewska-Tomaszewska leczenie próchnicy  • 

    Klinika Stomatologiczna Prestige Dental - Warszawa Żoliborz

    Bardzo się cieszymy , dziękujemy za zaufanie :)


    G

    Miła i skrupulatna stomatolog, wszystko szczegółowo i jasno wyjaśnia. Wizyta przebiegła sprawnie i w dobrej atmosferze. Polecam.

     • lek. dent. Emilija Markevič leczenie próchnicy  • 

    Klinika Stomatologiczna Prestige Dental - Warszawa Żoliborz

    Dziękujemy za opinię , zapraszamy serdecznie


    C

    Bardzo profesjonalna Pani Doktor, super podejście do Dzieciaczków . Szczerze polecam

     • lek. dent. Katarzyna Nogowska konsultacja stomatologiczna dzieci  • 

    Klinika Stomatologiczna Prestige Dental - Warszawa Żoliborz

    Bardzo nam miło , zapraszamy ponownie


Wystąpił błąd, spróbuj jeszcze raz

Najczęściej zadawane pytania