Moje doświadczenie
Zajmuję się leczeniem ortodontycznym zarówno dzieci jak i dorosłych.
Ciągle poszukuje nowych, bardziej komfortowych rozwiązań ortodontycznych oraz podnoszę moje kwalifikacje podczas licznych kursów w Polsce i za granicą.
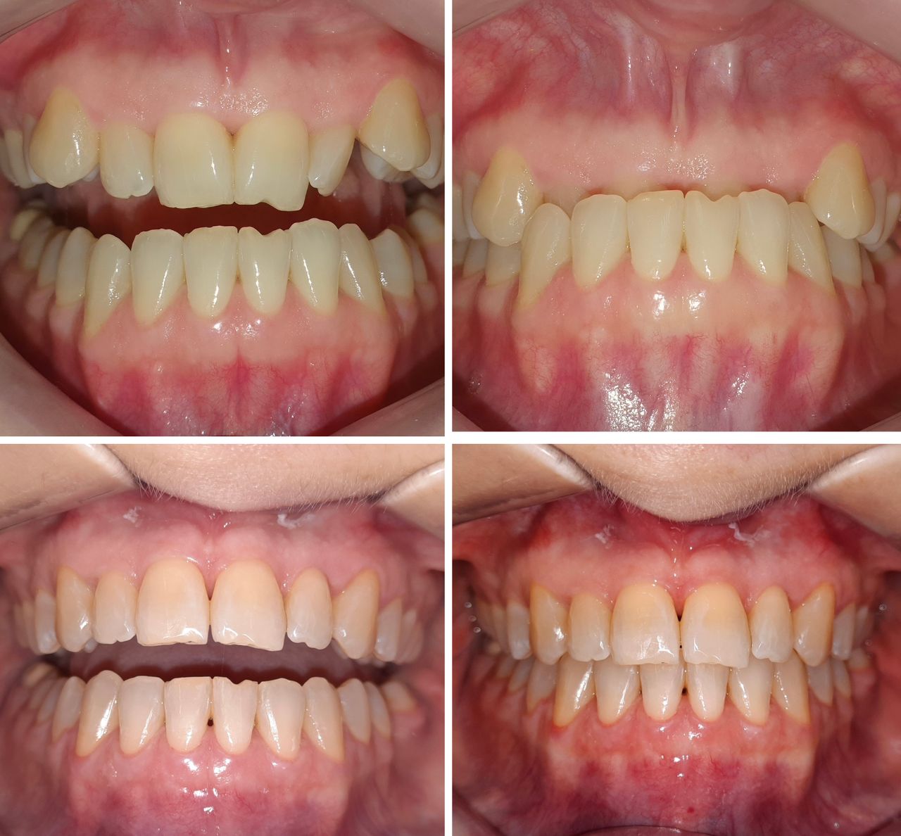
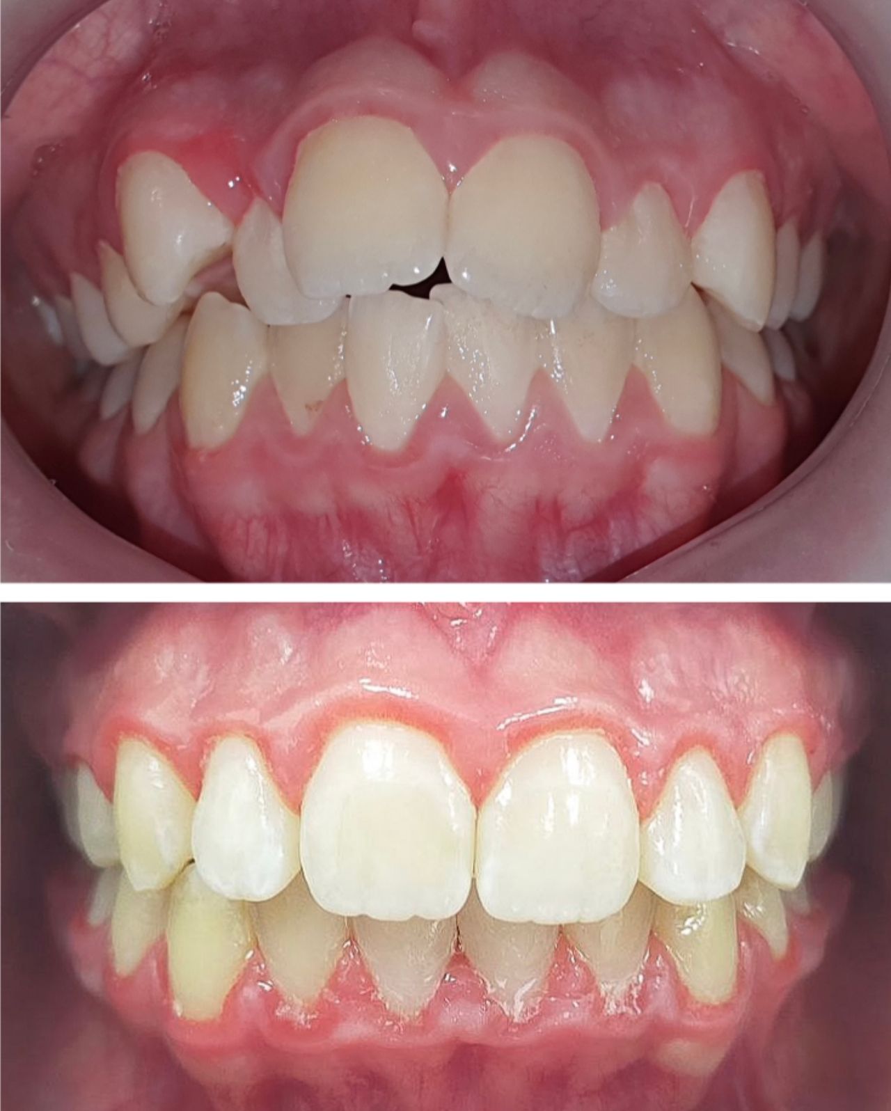
Na co dzień zajmuję się profilaktyką ortodontyczną dzieci zwracając uwagę na drogi oddechowe, napięcie mięśni, parafunkcje i wędzidełka oraz lecząc aparatami ruchomymi i stałymi. Prowadzę także leczenie dorosłych stosując nowoczesne techniki takie jak aparaty stałe, samoligaturujące czy systemy nakładkowe.
W swojej codziennej pracy wykorzystuje najnowsze technologie i metody, by jak najbardziej przybliżyć pacjentom wyzwania związane z osiąganiem ich upragnionych uśmiechów.
Serdecznie zapraszam na wizytę.
Zakres porad
- Ortodoncja
Pacjenci których przyjmuję
Rodzaje konsultacji
Zdjęcia i filmy
Adres
XX. Pijarów 5, Prądnik Czerwony, 31-466 Kraków
Dostępność
Telefon
Dlaczego prosimy Cię o wyrażenie zgody na przetwarzanie danych?
Wyrażenie zgody jest niezbędne do umówienia wizyty z wykorzystaniem telerejestracji. Wymagają tego przepisy Ogólnego Rozporządzenie o Ochronie Danych Osobowych - tzw. RODO. Informujemy, że zgoda jest dobrowolna, jednak jej brak uniemożliwi umówienie wizyty. Informujemy rówież, że zgoda może zostać w każdym momencie zostać wycofana. W tym celu wystarczy się skontaktować z nami przez formularz
Kiedy dojdzie do przetwarzania moich danych osobowych?
Do przetwarzania Twoich danych osobowych dojdzie podczas rozmowy telefonicznej z naszym centrum telerejestracji, ale jednak wyłącznie w sytuacji gdy tej rozmowy podasz nam swoje dane osobowe. Przetwarzanie danych osobowych dokonywane jest w celu umówienia wizyty i przekazania danych osobowych wybranemu Profesjonaliście.
Czy moje dane osobowe zostaną przekazane Profesjonaliście do którego chce się umówić na wizytę?
Tak. Udostępnimy wybranemu przez Ciebie Profesjonaliście informacje i dane osobowe które nam przekazałeś podczas rozmowy telefonicznej oraz przekażemy te informacje Profesjonaliście. Dzięki temu Profesjonalista będzie mógł przygotować się na Twoją wizytę.
Kto jest administratorem moich danych osobowych?
Administratorem danych osobowych jest ZnanyLekarz sp. z o.o. z siedzibą w Warszawie przy ul. Kolejowej 5/7. Informujemy, że po przekazaniu przez nas Twoich danych osobowych wybranemu przez Ciebie Profesjonaliście, staje się on również administratorem Twoich danych osobowych i przetwarza je w celach związanych ze świadczeniem usług medycznych lub innych podobnych.
Gdzie mogę uzyskać więcej informacji o moich prawach związanych z przetwarzaniem danych osobowych?
Więcej informacji o przetwarzaniu Twoich danych osobowychTypy przyjmowanych pacjentów
- Pacjenci prywatni (bez ubezpieczenia)
Usługi i ceny
-
Konsultacja ortodontyczna
Od 200 zł -
Opinie
45 opinii
Sprawdzamy wszystkie opinie. Specjaliści nie mogą płacić za modyfikowanie lub usuwanie opinii. Dowiedz się więcej Dowiedz się więcej o opiniach
-
M
Monika
Pani Doktor bardzo miła, wszystko dokładnie wyjaśniła jeśli chodzi o aparat dla dziecka. Polecam
• Dental Pasja • konsultacja ortodontyczna •
-
D
Dominika
Wizyta przebiegła w spokojnej i miłej atmosferze. Wszystko zostało szczegółowo wyjaśnione. Bardzo dziękuję.
• Dental Pasja • konsultacja ortodontyczna •
-
M
Marta
Byliśmy na pierwszej wizycie ortodontycznej z 9-letnim synkiem. Pani doktor bardzo empatyczna i rzetelna. Każdy krok badania został dziecku w zrozumiały sposób przekazany, dzięki czemu synek nie stresował się, a rodzicom przedstawione i wyjaśnione etapy leczenia.
Byliśmy wcześniej u kilku innych specjalistów i zdecydowaliśmy się zostać u Pani Oleny.• Dental Pasja • konsultacja ortodontyczna •
-
K
Kateryna
Дуже задоволені черговим візитом з донькою до лікаря ортодонта - пані Олена не призначає зайвого лікування, якщо воно не є доцільним, при цьому контролює і дуже детально пояснює процес прорізування корінних зубів дитини. Можу сміливо рекомендувати
• Dental Pasja • konsultacja ortodontyczna •
-
A
Alesi
Очень всё чётко, остались довольны визитом. Спасибо.
• Dental Pasja • konsultacja ortodontyczna •
-
I
IK
Wizyta przebiegła w bardzo miłej i profesjonalnej atmosferze. Cała buzia została dogłębnie przeanalizowana. Otrzymaliśmy rzetelna opinie oraz zalecenia i ćwiczenia do domu.
• Dental Pasja • konsultacja ortodontyczna •
-
A
Alicja
Doktor Olena to świetna specjalistka!
Jestem po zakończonym leczeniu u Pani doktor, a efekty przewyższają moim oczekiwaniom. Od pierwszej wizyty wszystko było dokładnie wyjaśnione, zalecono mi leczenie zachowawcze oraz ekstrakcję ósemek (wszystko mogłam wykonać w jednej placówce), następnie przedstawiono plan i przeszłyśmy do działań. Pani Olena na każdej wizycie z cierpliwością odpowiadała na moje pytania, oraz informowała mnie o postępach. W kryzysowych sytuacjach np. gdy spadł zamek lub wystawał łuk zawsze mogłam na nią liczyć (czasem nawet specjalnie została po godzinach swojej pracy). Pani doktor to najlepsza lekarka na jaką mogłam trafić ! Minęło już pół roku od zdjęcia aparatu a ja dalej nie mogę uwierzyć że mam taki piękny uśmiech. DZIĘKUJĘ !
PS. Czasem nawet tęsknię za wizytami kontrolnymi• Dental Pasja • konsultacja ortodontyczna •
-
P
PK
Pierwsza wizyta przebiegła pomyślnie, Pani doktor wyjaśniła dokładnie co i jak trzeba zrobić przed przystąpieniem do następnego kroku, jakim jest zrobienie form gipsowych i przygotowanie planu leczenia, jestem pozytywnie nastawiony na tę współpracę i mam nadzieję, że przebiegnie pomyślnie.
Sp. Pozdrawiam serdecznie piękne Panie recepcjonistki oraz asystentki, miłe, pomocne i wyluzowane dziewczyny. Pierwsze wrażenie bardzo dobre, kompetencje doktor też ma. Zresztą przekonaj się, wizyta 200 zł nie żałuję, że, zostawiłem tam swoje pieniądze• Dental Pasja • konsultacja ortodontyczna •
-
A . D
To była moja pierwsza konsultacja u ortodonty. Pani Olena doskonale wytłumaczyła mi na czym polega problem i jakie są podalsze działania .. bardzo profesjonalne podejście do pacjenta.
Serdecznie polecam• Dental Pasja • konsultacja ortodontyczna •
-
O
Olga
Wszystko było dobrze wytłumaczone odnośnie leczenia.
• Dental Pasja • konsultacja ortodontyczna •
Odpowiedzi na pytania
1 odpowiedzi udzielonych przez lekarza na pytania pacjentów na ZnanyLekarz.pl
Dzień dobry. Od około 5 lat koryguje swój zgryz przy pomocy aparatu ortodontycznego ze względu na to, iż od dzieciństwa borykam się z problemem zgryzu otwartego. Na pewnym etapie terapii ortodonta przekazał mi tzw. wyciągi ortodontyczne z informacją, że od teraz w ten sposób będzie prowadzone leczenie. Nosiłam wyciągi, jednak co prawda jedynie w nocy, bo za dnia nie byłam w stanie w nich funkcjonować (zaburzona mowa, dyskomfort fizyczny, co chwila wypadały z buzi). Z początku pomagały, postępy były widoczne, o czym informował mnie również mój lekarz. Jednak ostatnio zostałam poinformowana, że noszenie ich w nocy nie jest w stanie przynieść poprawy i jedynie nosząc je 24/7 jest szansa na całkowite pozbycie się wady. Czy jest to prawdą? Czy nie istnieją alternatywne metody dla wyciągów, które skorygowałyby mój zgryz? Z wyżej wymienionych powodów całą dobę z nieszczęsnych wyciągów nie jestem w stanie korzystać. Pozdrawiam.
Dzień dobry. Lekarz prowadzą zawszy wie wszystko o leczenie i go szczegółach.
Wyciągi nosimy 24/7 w inny sposób nie będzie efektu tego który chcemy. Pozdrawiam
Wszystkie treści, w szczególności pytania i odpowiedzi, dotyczące tematyki medycznej mają charakter informacyjny i w żadnym wypadku nie mogą zastąpić diagnozy medycznej.
Najczęściej zadawane pytania
-
Jaki jest zakres porad oferowanych przez Olena Petrenko?Olena Petrenko to stomatolog, ortodonta. Na podstawie swojego doświadczenia i wykształcenia Olena Petrenko oferuje usługi takie jak: konsultacja ortodontyczna.
-
Gdzie Olena Petrenko ma swój gabinet?Olena Petrenko przyjmuje pod adresem:
- XX. Pijarów 5 Kraków
-
Czy Olena Petrenko przyjmuje online, bez konieczności pojawiania się w placówce?Nie, w tym momencie Olena Petrenko nie oferuje konsultacji online.
-
Jak Olena Petrenko akceptuje płatności po wizycie?Metody płatności, które akceptuje Olena Petrenko to: Gotówka, Karta płatnicza.
-
W jakich językach konsultuje Olena Petrenko?Języki, których używa Olena Petrenko to polski, ukraiński.
-
Jak Olena Petrenko umawia wizyty?Olena Petrenko używa kalendarza ZnanyLekarz, dlatego na stronie widzisz aktualne terminy. Wystarczy, że wybierzesz datę i godzinę, które odpowiadają Ci najbardziej. Umawianie wizyty jest darmowe, a tuż przed terminem wyślemy Ci przypomnienie.
-
W jakich godzinach przyjmuje Olena Petrenko?Olena Petrenko może mieć dostępne terminy w tym lub w nadchodzącym tygodniu. Terminy, które widzisz w kalendarzu są dostępne, ponieważ aktualizujemy go na bieżąco. Jeśli pierwszy dostępny termin Ci nie odpowiada, sprawdź następny. Rezerwacja terminu jest natychmiastowa, bez dodatkowych opłat.
-
Olena Petrenko: co mówią pacjenci?45 osób dodało swoją opinię. Olena Petrenko ma średnią ocen 5 (na 5 gwiazdek).
-
Jakie ubezpieczenia akceptuje Olena Petrenko?Olena Petrenko nie przyjmuje w ramach ubezpieczenia, tylko w ramach płatnych wizyt prywatnych. W razie wątpliwości zalecamy kontakt ze specjalistą.