Przewidywany czas odpowiedzi:
Logo
dr n. med. Marek Markiewicz

Karola Szymanowskiego 2 biurowiec Vigo - parter, 80-280 Gdańsk

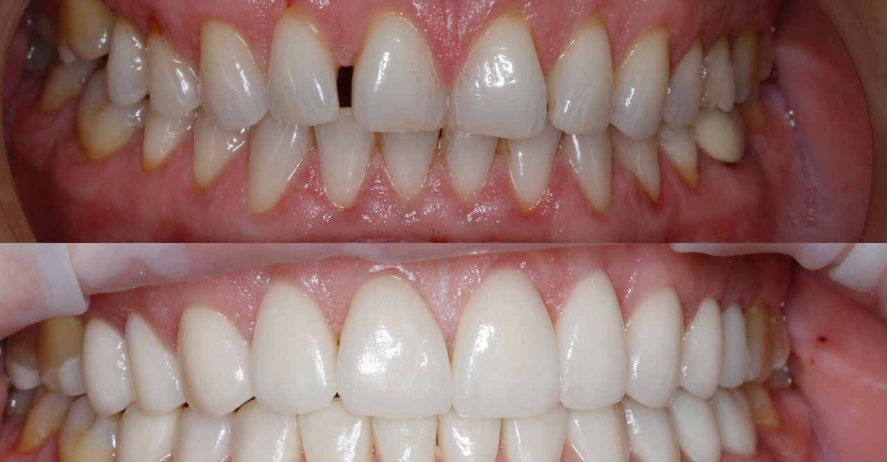
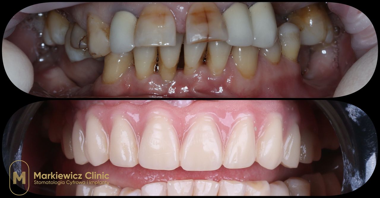
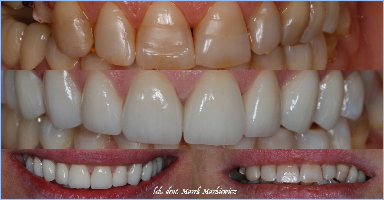
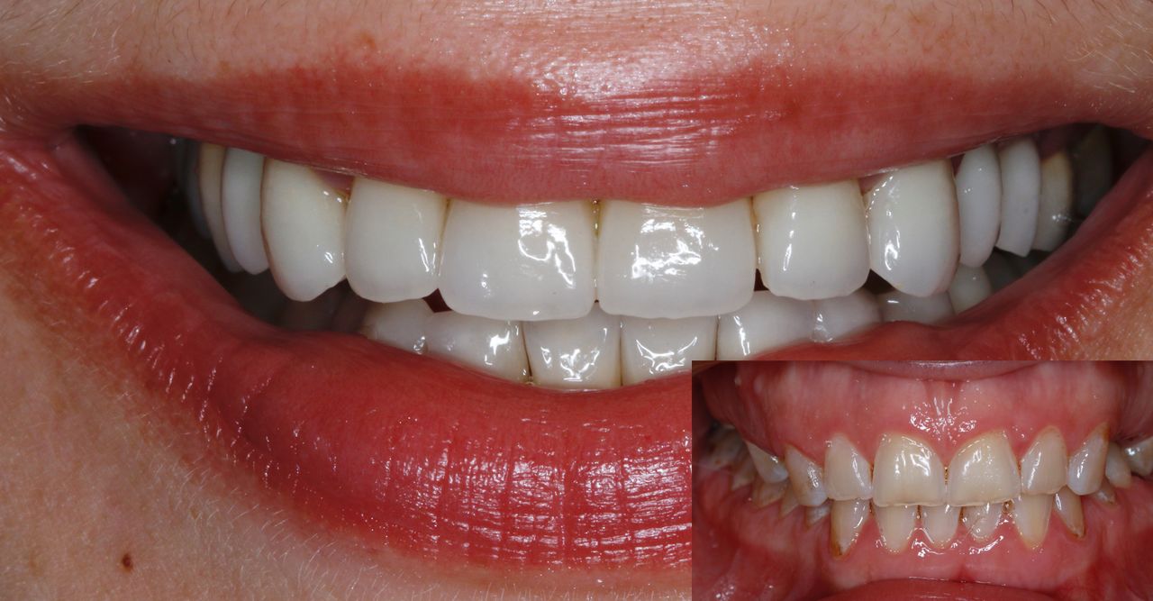
Nowatorska metoda leczenia w 1 kroku.
Od teraz w Markiewicz Clinic jesteśmy w stanie rozwiązać wszystkie Twoje problemy, dotyczące zarówno aspektów estetycznych, jak i braków zębowych, w bardzo krótkim okresie czasu. W wielu przypadkach przeprowadzenie całej procedury to jeden dzień, co pozwala na kompletne przeprowadzenie danego etapu leczenia.
Dowiedz się więcej zapraszam na konsultację do MarkiewiczClinic

Cyfrowy Wycisk oraz DSD - Cyfrowe Projektowanie Uśmiechu dostępne w MarkiewiczClinic

04/09/2022

Moje doświadczenie

Dr n. med. lek. dentysta Marek Markiewicz, M.Sc. in Oral Implantology, implantolog, ekspert ds. implantologii – DIPLOMATE ICOI/DGOI.

Właściciel i współzałożyciel sieci nowoczesnych klinik stomatologicznych Perfect Smile Clinic oraz autorskiej Kliniki Markiewicz Clinic.

Jest absolwentem elitarnych studiów podyplomowych na Uniwersytecie Goethego we Frankfurcie. Posiada tytuł Master of Science in Oral Implantology.

Zdobył tytuł implantologa w Polsce potwierdzony zdanym pozytywnie egzaminem ministerialnym z zakresu Umiejętności Implantologicznej 019.

Były asystent w Zakładzie Chirurgii Stomatologicznej Uniwersytetu Medycznego w Gdańsku. Posiada tytuł eksperta do spraw implantologii nadany przez Polskie Stowarzyszenie Implantologiczne oraz stopień Diplomate międzynarodowych umiejętności implantologicznych International Congress of Oral Implantologists. Zyskał uznanie w ekskluzywnym gronie najlepszych implantologów na świecie. Jest rekomendowany jako specjalista implantologii przez ogólnoświatową organizację LEADING IMPLANT CENTERS Absolwent Gdańskiego Uniwersytetu Medycznego, w 2005 roku ukończył kierunek Lekarsko-Dentystyczny. Posiada certyfikat Licencjonowanej Praktyki Implantologicznej, numer licencji PSI 22/2012. Statut ten zostal nadany przez Polskie Stowarzyszenie Implantologiczne w ramach kształcenia podyplomowego i ukończenia elitarnego kursu Curriculum Implantologii. Jest aktywnym członkiem najważniejszych stowarzyszeń implantologicznych: Polskiego Stowarzyszenia Implantologicznego PSI, Deutsche Gesellschaft für Orale Implantologie DGOI, International Congress of Oral Implantologists ICOI. Ukończył liczne kursy praktyczne i teoretyczne z zakresu implantologii, chirurgii stomatologicznej, stomatologii estetycznej i protetyki, prowadzone przez światowe autorytety, jak dr Carl Misch, dr Maurice Salama, dr K. Valavanis, prof. Ady Palti. Zakres wykonywanych zabiegów: implantologia,chirurgia stomatologiczna stomatologia estetyczna, korony porcelanowe, licówki protetyka, niechirurgiczna kosmetyka twarzy. W 2015 r. otworzył przewód doktorski na Uniwersytecie Medycznym w Gdańsku w dziedzinie Chirurgii Szczękowo-Twarzowej. Prowadzi kursy i wykłady z zakresu implantologii stomatologicznej. Od 2017 r prowadzi badania nad skutecznością zastosowania komórek macierzystych w procesach odbudowy kości na potrzeby implantologii. W 2018 r opatentował autorską metodę i recepturę odbudowy tkanki kostnej. Projekt ten zyskał uznanie na panelu ekspertów Banku Gospodarstwa Krajowego oraz został wsparty grantem naukowym. W 2020 roku zamknął przewód doktorski oraz obronił rozprawę doktorską uzyskując stopień doktora nauk medycznych w dziedzinie Chirurgii Szczękowo-Twarzowej. W 2025 roku dołączył do wybitnego grona pierwszych implantologów w Polsce, którzy z powodzeniem zdali egzamin w kategorii Umiejętność Implantologiczna 019 certyfikowana przez PSI oraz Ministerstwo Zdrowia. Dr Markiewicz jest również uznanym wykładowcą, autorem wielu technik chirurgicznych. Jego najnowszym osiągnięciem jest opatentowanie oraz opracowanie innowacyjnej metody leczenia w protokole One Step Concept. w 2025 roku zdobył tytuł Master of Science in Oral Implantology na Uniwersytecie Goethego we Frankfurcie nad Menem.

więcej O mnie

Zakres porad

  • Chirurgia stomatologiczna
  • Chirurgia szczękowo-twarzowa
  • Stomatologia ogólna
  • Stomatologia zachowawcza z endodoncją
  • Periodontologia
  • Protetyka stomatologiczna
Pokaż więcej

Pacjenci których przyjmuję

Dorośli

Rodzaje konsultacji

Zdjęcia i filmy

Adres

Powiększ mapę otwiera się w nowej karcie
Markiewicz Clinic

Karola Szymanowskiego 2 biurowiec Vigo - parter, 80-280 Gdańsk

Dostępność

Telefon

58 765...

Typy przyjmowanych pacjentów

  • Pacjenci prywatni (bez ubezpieczenia)
Powiększ mapę otwiera się w nowej karcie

Usługi i ceny

  • Chirurgia stomatologiczna

    Od 650 zł

  • Mosty pełnoceramiczne


  • Leczenie torbieli w jamie ustnej


  • Licówka bez szlifowania

    Od 3 200 zł

  • Licówka ceramiczna

    Od 2 950 zł

118 opinii

Sprawdzamy wszystkie opinie. Specjaliści nie mogą płacić za modyfikowanie lub usuwanie opinii. Dowiedz się więcej Dowiedz się więcej o opiniach

  • K

    Markiewicz Clinic to miejsce, w którym od pierwszego kontaktu czuć pełen profesjonalizm i serdeczne podejście do pacjenta. Cały zespół, od dr Marka i dr Bartosza po wszystkie osoby z teamu, tworzy atmosferę, w której można poczuć się naprawdę zaopiekowanym. Metamorfoza moich zębów była dla mnie czymś wyjątkowym – dzięki ich pracy odzyskałam pewność siebie i dziś mogę uśmiechać się szeroko bez żadnych kompleksów.
    Nie tylko efekt końcowy przerósł moje oczekiwania, ale także cały proces leczenia – przebiegał w spokojnej, przyjaznej atmosferze, z ogromną dbałością o każdy szczegół i komfort pacjenta. To miejsce, w którym pasja do stomatologii idzie w parze z życzliwością i empatią.
    Polecam z całego serca Markiewicz Clinic każdemu, kto marzy o zdrowym, pięknym i idealnym uśmiechu:)

     • Markiewicz Clinic implanty  • 

    Markiewicz Clinic

    Pani Klaudio, bardzo dziękujemy za tak ciepłe i poruszające słowa! To ogromna radość wiedzieć, że dzięki naszej pracy może Pani znów uśmiechać się z pewnością i bez kompleksów. W Markiewicz Clinic zależy nam, aby każdy pacjent czuł się zaopiekowany i komfortowo na każdym etapie leczenia – od pierwszego kontaktu, przez diagnostykę i planowanie, aż po finalny efekt.

    Cieszymy się, że doceniła Pani zaangażowanie całego zespołu – dr Marka Markiewicza, dr Bartosza Wandy oraz wszystkich osób wspierających leczenie. Takie opinie są dla nas największą nagrodą i motywacją do dalszej pracy.

    Pozdrawiamy serdecznie,
    Zespół Markiewicz Clinic


  • A

    Bardzo dobry lekarz. Bardzo profesjonalne podejście do pacjenta. Po zrobieniu zdjęć i tomografii szczegółowo omówił aktualny stan uzębienia i dziąseł i wskazał co należy zrobić w przyszłości. Opracował plan dalszego działania. Oby przyniósł skutek. Wizyta bardzo owocna. Dziękuję.

     • Markiewicz Clinic konsultacja stomatologiczna (pierwsza wizyta)  • 

    Markiewicz Clinic

    Panie Andrzeju,
    Dziękujemy serdecznie za tak pozytywną opinię. Cieszymy się, że wizyta u dr Marka Markiewicza okazała się dla Pana owocna i pozwoliła dokładnie zaplanować kolejne etapy leczenia. Pan Doktor zawsze stawia na kompleksową diagnostykę i jasne przedstawienie pacjentowi wszystkich możliwości terapeutycznych – tak, aby każda decyzja była podejmowana ze spokojem i pełnym zrozumieniem. Dziękujemy za zaufanie i trzymamy kciuki, aby dalsze leczenie przyniosło najlepsze efekty.

    Pozdrawiamy serdecznie,
    Zespół Markiewicz Clinic


  • M

    Bardzo rzeczowe wyjaśnienie planu leczenia, dokładne zdjęcia.polecam

     • Markiewicz Clinic badania stomatologiczne  • 

    Markiewicz Clinic

    Panie Marcinie,
    Dziękujemy za miłe słowa! Bardzo się cieszymy, że wizyta u dr. Marka Markiewicza była dla Pana pozytywnym doświadczeniem. Pan Doktor zawsze stara się dokładnie wszystko wyjaśnić i poświęcić pacjentowi tyle czasu, ile potrzeba, by rozwiać wszelkie wątpliwości. To ogromna radość, że docenił Pan to podejście.

    Pozdrawiamy serdecznie,
    Zespół Markiewicz Clinic


  • J

    Wizyty były dwie, nie zdecydowałam się na razie na implant (głównie ze względu na cenę), druga wizyta polegająca na wyrwaniu zęba przebiegła bezboleśnie a przede wszystkim już po niej wg zapewnień Pana doktora prawie wcale nie odczułam jej skutków (obyło się bez komplikacji). Polecam usługi Pana doktora (jedyny minus to koszty, wyższe niż w innych tego typu placówkach).

     • Markiewicz Clinic chirurgia stomatologiczna  • 

    Markiewicz Clinic

    Pani Joanno,
    Dziękujemy serdecznie za podzielenie się opinią! Bardzo się cieszymy, że wizyta u dr. Marka Markiewicza przebiegła spokojnie i bezboleśnie, a Pani czuła się dobrze zaopiekowana zarówno przed, jak i po zabiegu. Doktor zawsze stara się poświęcić pacjentowi czas i uwagę, aby każda wizyta przebiegała komfortowo i w poczuciu bezpieczeństwa.

    Pozdrawiamy serdecznie,
    Zespół Markiewicz Clinic


  • J

    Po złych doświadczeniach z implantami bałem się kolejnego leczenia. Doktor Markiewicz wszystko mi wyjaśnił i zrobił zabieg One Step Concept – usunięto mi zęby i wszczepiono implanty w jeden dzień. Bez bólu, sprawnie, i wreszcie mam zęby, z których jestem zadowolony.

     • Markiewicz Clinic konsultacja implantologiczna  • 

    Markiewicz Clinic

    Panie Januszu, bardzo dziękujemy za tak szczegółową opinię! Cieszymy się, że mogliśmy pomóc i przełamać obawy związane z wcześniejszymi doświadczeniami z implantami. Cieszy nas również, że zabieg One Step Concept przebiegł sprawnie, bez bólu, a efekt końcowy spełnił Pana oczekiwania – zadowolenie pacjenta jest dla nas najważniejsze. Dziękujemy za zaufanie i za docenienie profesjonalizmu całego zespołu.

    Pozdrawiamy serdecznie,
    Zespół Markiewicz Clinic


  • D

    Mój przypadek był naprawdę skomplikowany – brak kilku zębów, spory zanik kości, problemy ze zgryzem. Wcześniej usłyszałem w dwóch gabinetach, że „można próbować, ale bez gwarancji"". Dopiero dr Marek Markiewicz podszedł do sprawy kompleksowo i z ogromnym spokojem. Zaczęliśmy od przeprowadzenia szczegółowej analizy estetyczno-funkcjonalnej i na jej podstawie przedstawiono mi plan leczenia.To, co zrobił, można nazwać chirurgią precyzyjną na najwyższym poziomie. Implanty zostały wszczepione idealnie. Efekt końcowy przeszedł moje oczekiwania. Mam pełne zaufanie do pana doktora i polecam go każdemu, kto myśli, że jego przypadek jest „zbyt trudny"".

     • Markiewicz Clinic chirurgia stomatologiczna  • 

    Markiewicz Clinic

    Panie Danielu, bardzo dziękujemy za podzielenie się tak szczegółową opinią! Cieszymy się, że mogliśmy sprostać wyzwaniom Pańskiego skomplikowanego przypadku i że nasza kompleksowa analiza oraz precyzyjne podejście do leczenia przyniosły satysfakcjonujący efekt. Najbardziej cieszy nas to, że zastosowane leczenie spełniło Pańskie oczekiwania, a zaufanie do naszego zespołu zostało w pełni usatysfakcjonowane. Dziękujemy za docenienie zarówno profesjonalizmu, jak i troski, z jaką podchodzimy do każdego pacjenta.

    Pozdrawiamy serdecznie,
    Zespół Markiewicz Clinic


  • D

    Miałem spore braki w uzębieniu i już się pogodziłem z tym, że nigdy nie będę normalnie uśmiechać się na zdjęciach. Na szczęście trafiłem do dr Marka. Przed leczeniem przeprowadzona została analiza mojego przypadku i zaplanowane leczenie. Dziś mam implanty, które wyglądają i funkcjonują jak naturalne zęby. Dziękuję!

     • Markiewicz Clinic chirurgia stomatologiczna  • 

    Markiewicz Clinic

    Panie Dariuszu, bardzo dziękujemy za tak miłe słowa! Cieszymy się, że udało się przywrócić pełny komfort uśmiechu i funkcjonalność zębów. Dokładna analiza i starannie zaplanowane leczenie to podstawa, a Pańska satysfakcja jest dla nas największą nagrodą.

    Pozdrawiamy serdecznie,
    Zespół Markiewicz Clinic


  • C

    Po leczeniu implantologicznym u dr Marka mogę normalnie jeść orzechy, jabłka – zero bólu, zero obaw. Całe leczenie przebiegło bardzo spokojnie i profesjonalnie. Szczególnie doceniam indywidualne podejście – wszystko było zaplanowane zgodnie z moimi potrzebami.

     • Markiewicz Clinic implanty  • 

    Markiewicz Clinic

    Panie Cezary, bardzo dziękujemy za tak szczegółową opinię! Cieszymy się, że leczenie implantologiczne przebiegło sprawnie i komfortowo, a efekt pozwala cieszyć się pełną funkcjonalnością zębów. Dla nas najważniejsze jest indywidualne podejście do każdego pacjenta, dlatego tak bardzo cieszy nas Pana satysfakcja.

    Pozdrawiamy serdecznie,
    Zespół Markiewicz Clinic


  • I

    Pan doktor to nie tylko doskonały chirurg, ale też po prostu świetny człowiek. Trafiłam do niego z powikłaniem po źle usuniętym zębie – bardzo delikatnie i profesjonalnie przeprowadził zabieg, a przy okazji pomógł mi zaplanować dalsze leczenie. Czuć ogromną wiedzę i doświadczenie.

     • Markiewicz Clinic chirurgia stomatologiczna  • 

    Markiewicz Clinic

    Pani Igo, bardzo dziękujemy za tak ciepłą opinię! Cieszymy się, że mogliśmy pomóc i że zabieg przeprowadzony przez dr n. med. Marka Markiewicza odbył się w sposób delikatny, profesjonalny i spokojny. Doceniamy Pani zaufanie i cieszymy się, że mogliśmy wspólnie zaplanować dalsze leczenie, aby przywrócić Pani komfort i pewność siebie.

    Pozdrawiamy serdecznie, Zespół Markiewicz Clinic


  • P

    Pierwsza Wizyta u pana doktora w celu poznania kosztów leczenia, niestety pomimo zrobionego rtg i tomografii komputerowej pań doktor powiedział że niestety nie może mi w tym momencie powiedzieć jaki byłby szacunkowy, przybliżony koszt leczenia dopóki nie zrobi badania zwanego "projektem uśmiechu". Następnie bazując na moich emocjach szybko porozmawial z kolejnym doktorem i w oka mgnieniu wykonali ta usluge za jedyne 1,950 złotych. Kosztorys jaki zobaczyłam po 2 tygodniach powala na kolana, po dyskusji są w stanie obniżyć go nawet o 3,000, natomiast po sprawdzeniu mojego schorzenia w innych klinikach obyło się bez żadnego projektu uśmiechu i kosztorys udostępniony i omówiony w cenie konsultacji. Nie dajcie się
    nabrać na to, ze "Projekt usmiechu" jest niezbędny do uzyskania kosztów leczenia. NIE POLECAM TEJ KLINIKI

     • Markiewicz Clinic konsultacja implantologiczna  • 

    Markiewicz Clinic

    Szanowna Pani,

    dziękujemy za podzielenie się swoją opinią. Przykro nam, że wizyta w naszej klinice nie spełniła Pani oczekiwań. Pozwalamy sobie jednak wyjaśnić, dlaczego nie byliśmy w stanie przedstawić planu leczenia i kosztorysu już podczas pierwszego spotkania.

    W naszej klinice leczenie nie rozpoczyna się od szacunków, lecz od rzetelnej diagnozy. U wielu pacjentów zgłaszających się do nas stwierdzamy zaburzenia okluzji, które – bez odpowiedniego planowania – mogą skutkować niepowodzeniami leczenia implantologicznego i protetycznego, a także prowadzić do dalszych problemów zdrowotnych. W takich przypadkach opracowanie planu leczenia i przedstawienie kosztów bez uprzedniej, pogłębionej analizy byłoby niezgodne z aktualnymi standardami medycznymi.

    Jednym z kluczowych narzędzi diagnostycznych, jakie stosujemy, jest analiza estetyczno-funkcjonalna – kompleksowy proces diagnozowania i planowania, w który zaangażowany jest interdyscyplinarny zespół specjalistów: chirurg, protetyk, periodontolog, endodonta, technicy dentystyczni, a w razie potrzeby również ortodonta. Na podstawie zebranych danych – w tym dokumentacji fotograficznej, skanów wewnątrzustnych oraz tomografii komputerowej – zespół opracowuje indywidualny plan leczenia pod nieobecność pacjenta. Proces ten trwa zazwyczaj około dwóch tygodni.

    Efektem tej pracy jest prezentacja wyników analizy, której elementem jest założenie uzupełnień tymczasowych (tzw. prowizoriów), odwzorowujących docelowe pozycje i kształty zębów. Takie rozwiązanie umożliwia nie tylko ocenę estetyki zaplanowanych zmian, ale – co szczególnie istotne – pozwala na precyzyjne sprawdzenie kontaktów zgryzowych i rozkładu sił w jamie ustnej. Na tym etapie możliwe jest również rzetelne przedstawienie kosztów leczenia.

    Rozumiemy, że inne placówki mogą stosować odmienne procedury. My jednak świadomie wybieramy podejście oparte na szczegółowej diagnostyce i precyzyjnym planowaniu, które pozwala uniknąć błędów i zapewnić trwałość oraz bezpieczeństwo efektów terapeutycznych.

    Żałujemy, że przebieg wizyty nie spełnił Pani oczekiwań, jednak zapewniamy, że wszelkie podejmowane przez nas działania miały na celu przede wszystkim Pani zdrowie oraz długoterminowy sukces leczenia.

    Z poważaniem,
    Zespół Markiewicz Clinic


Wystąpił błąd, spróbuj jeszcze raz

Odpowiedzi na pytania

83 odpowiedzi udzielonych przez lekarza na pytania pacjentów na ZnanyLekarz.pl

Pytanie dotyczące choroby przyzębia

Hi, i have very bad periodontal disease. I have file for that .i need full plan for treatment please,

Periodontal disease need specific approach. A visit to the dentist is necessary, along with specialized examinations such as measuring pocket depth and assessing specific inflammation markers to plan appropriate treatments. At my clinic, we have two periodontologists who specialize in effective planning and treatment of periodontitis. I invite you for a consultation in Gdańsk.

dr n. med. Marek Markiewicz

Pytanie dotyczące choroby przyzębia

Hi, i have very bad periodontal disease. I have file for that .i need full plan for treatment please,

A visit to the dentist is necessary, along with specialized examinations such as measuring pocket depth and assessing specific inflammation markers to plan appropriate treatments. At my clinic, we have two periodontologists who specialize in effective planning and treatment of periodontitis. I invite you for a consultation in Gdańsk.

dr n. med. Marek Markiewicz
Zobacz wszystkie odpowiedzi

Wszystkie treści, w szczególności pytania i odpowiedzi, dotyczące tematyki medycznej mają charakter informacyjny i w żadnym wypadku nie mogą zastąpić diagnozy medycznej.

Najczęściej zadawane pytania