Moje doświadczenie
Najbardziej lubię wykonywać zabiegi z zakresu stomatologi zachowawczej (wypełnienia, estetyczne odbudowy), podstawowej endodoncji (leczenia kanałowego) oraz chirurgii (usuwanie zębów). Współpracuje z innymi lekarzami prowadząc pacjentów kompleksowo. Największą radością jest dla mnie powrót zadowolonego pacjenta z powodu zadowolenia i bezbolesnego zabiegu.
W wolnych chwilach lubię sport, wyjazdy oraz fotografie, której też używam w swojej pracy zawodowej.
Zakres porad
- Stomatologia ogólna
Główne obszary pomocy
- Próchnica
- Złogi nazębne
- Kamień nazębny
- Braki zębowe
- Ból zęba
- +6 a11y_sr_more_diseases
Rodzaje konsultacji
Zdjęcia i filmy
Usługi i ceny
-
Konsultacja stomatologiczna
Od 200 zł -
-
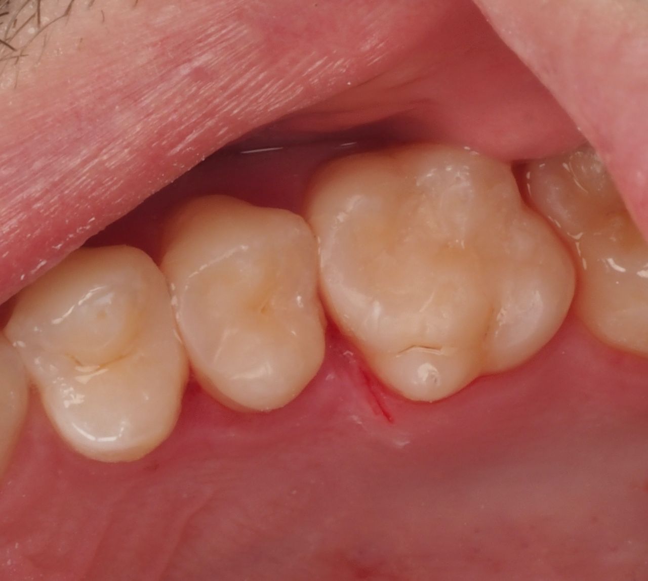
Profilaktyka próchnicy
Od 200 zł -
-
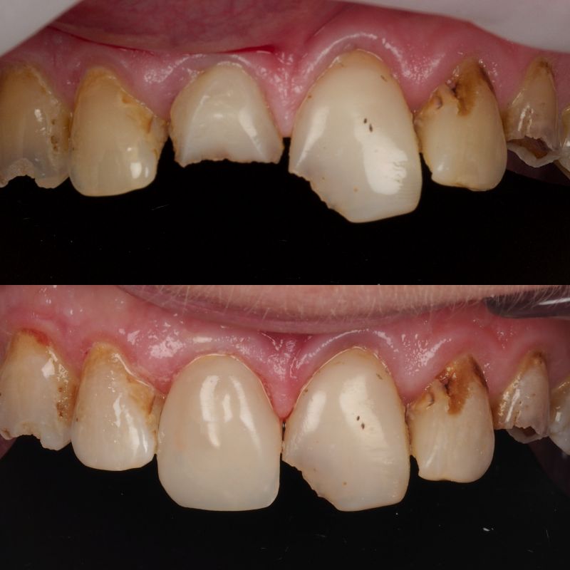
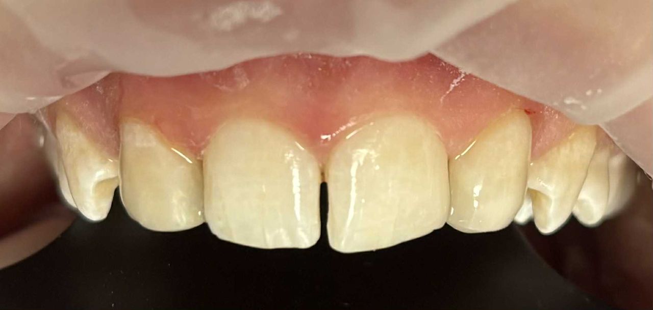
Odbudowa startych zębów
-
-
Odbudowa zniszczonego zęba
-
-
Odbudowa zęba do leczenia kanałowego
-
-
-
-
-
-
-
-
-
-
-
-
-
-
-
-
-
-
-
-
-
-
-
-
-
-
-
-
-
-
-
-
-
-
-
-
-
Adresy (2)
Wólczańska 165, Śródmieście, 90-530 Łódź
Dostępność
Telefon
Dlaczego prosimy Cię o wyrażenie zgody na przetwarzanie danych?
Wyrażenie zgody jest niezbędne do umówienia wizyty z wykorzystaniem telerejestracji. Wymagają tego przepisy Ogólnego Rozporządzenie o Ochronie Danych Osobowych - tzw. RODO. Informujemy, że zgoda jest dobrowolna, jednak jej brak uniemożliwi umówienie wizyty. Informujemy rówież, że zgoda może zostać w każdym momencie zostać wycofana. W tym celu wystarczy się skontaktować z nami przez formularz
Kiedy dojdzie do przetwarzania moich danych osobowych?
Do przetwarzania Twoich danych osobowych dojdzie podczas rozmowy telefonicznej z naszym centrum telerejestracji, ale jednak wyłącznie w sytuacji gdy tej rozmowy podasz nam swoje dane osobowe. Przetwarzanie danych osobowych dokonywane jest w celu umówienia wizyty i przekazania danych osobowych wybranemu Profesjonaliście.
Czy moje dane osobowe zostaną przekazane Profesjonaliście do którego chce się umówić na wizytę?
Tak. Udostępnimy wybranemu przez Ciebie Profesjonaliście informacje i dane osobowe które nam przekazałeś podczas rozmowy telefonicznej oraz przekażemy te informacje Profesjonaliście. Dzięki temu Profesjonalista będzie mógł przygotować się na Twoją wizytę.
Kto jest administratorem moich danych osobowych?
Administratorem danych osobowych jest ZnanyLekarz sp. z o.o. z siedzibą w Warszawie przy ul. Kolejowej 5/7. Informujemy, że po przekazaniu przez nas Twoich danych osobowych wybranemu przez Ciebie Profesjonaliście, staje się on również administratorem Twoich danych osobowych i przetwarza je w celach związanych ze świadczeniem usług medycznych lub innych podobnych.
Gdzie mogę uzyskać więcej informacji o moich prawach związanych z przetwarzaniem danych osobowych?
Więcej informacji o przetwarzaniu Twoich danych osobowychTypy przyjmowanych pacjentów
- Pacjenci prywatni (bez ubezpieczenia)
Piotrkowska 4, 95-070 Aleksandrów Łódzki
Dostępność
W tym gabinecie nie można umawiać wizyt przez internet
Typy przyjmowanych pacjentów
- Pacjenci prywatni (bez ubezpieczenia)
Opinie
88 opinii
Sprawdzamy wszystkie opinie. Moderujemy je zgodnie z naszymi zasadami, dowiedz się więcej o opiniach i sposobie obliczania gwiazdek na Dowiedz się więcej Dowiedz się więcej o opiniach
-
T
Tymon
Serdecznie polecam Pania Karolinę. Wizyta przebiegła w bardzo miłej i spokojnej atmosferze, a podejście do pacjenta było profesjonalne i pełne cierpliwości. Przed założeniem plomby wszystko zostało dokładnie wyjaśnione, dzięki czemu czułam/em się pewnie i bez stresu. Zabieg wykonany sprawnie, bez bólu i z dużą dokładnością. Plomba jest idealnie dopasowana, nic nie przeszkadza w gryzieniu i od razu było czuć komfort. Gabinet czysty, nowoczesny, a personel bardzo uprzejmy. Na pewno wrócę na kolejne wizyty i z czystym sumieniem polecam dalej.
• Centrum Stomatologii Klinika Uśmiechu • leczenie próchnicy •
lek. dent. Karolina Werbicka
Dziękuję za opinię:)
-
O
Olga
Bardzo rzeczowa Pani Doktor:) dokładnie planuje, sprawdza i proponuje plan leczenia. Polecam!
• Centrum Stomatologii Klinika Uśmiechu • badania diagnostyczne •
lek. dent. Karolina Werbicka
Dziękuję za opinię:)
-
W
WK
Z czystym sumieniem mogę polecić Panią Stomatolog jeżeli ktoś potrzebuje usunąć 8. Sam proces był wykonany profesjonalnie, szybko i bezboleśnie.
• Bio-Med Usługi Stomatologiczne od A do Z • Inny •
lek. dent. Karolina Werbicka
Dziękuję za opinię!
-
K
Kasia
Przemiła pani doktor. Delikatna i bardzo empatyczna. Szczegółowo objaśnia plan leczenia. Dzięki pani doktor nie boję się już chodzić do stomatologaPolecam panią doktor z całego serca
• Centrum Stomatologii Klinika Uśmiechu • pakiet higienizacyjny •
lek. dent. Karolina Werbicka
Dziękuję bardzo za opinię!
-
M
Milena
Cudowna Pani stomatolog! Ogromna wiedza, wszystko świetnie wytłumaczone krok po kroku, jestem bardzo zadowolona z wizyty i przemiłej atmosfery już od samego wejścia do kliniki. Jak leczyć ząbki to tylko tutaj , polecam z całego serca.
• Centrum Stomatologii Klinika Uśmiechu • odbudowa zębów •
lek. dent. Karolina Werbicka
Dziękuję za opinię :)
-
A
Alicja
Pani Karolina na każdym etapie tłumaczyła co robi i czego będziemy się trzymać w leczeniu, które ustaliła. Całą wizytę czułam się zaopiekowana jako pacjent przez Panią i Panią asystentkę:)
• Centrum Stomatologii Klinika Uśmiechu • konsultacja stomatologiczna (pierwsza wizyta) •
lek. dent. Karolina Werbicka
Dziękuję za opinię :)
-
D
Dominika
Pani Doktor jest niezwykle sympatyczną i empatyczną osobą, z doskonałym podejściem do pacjentów, zwłaszcza dzieci. Zabiegi wykonuje delikatnie, bez bólu, dbając o komfort i spokój pacjenta. Atmosfera w gabinecie jest przyjazna, a wizyta przebiega bez stresu. Zdecydowanie polecam!
• Centrum Stomatologii Klinika Uśmiechu • •
lek. dent. Karolina Werbicka
Dziękuję za opinię!
-
K
Kamelia
Od pierwszej wizyty wiedziałem, że trafiłem w dobre ręce! Pani Doktor nie tylko ma ogromną wiedzę i precyzję, ale też niesamowite podejście do pacjenta – wszystko spokojnie tłumaczy, a przy fotelu można poczuć się naprawdę komfortowo. Zabiegi wykonane bezboleśnie, w nowoczesnym gabinecie, z troską o każdy szczegół.
• Centrum Stomatologii Klinika Uśmiechu • konsultacja stomatologiczna (pierwsza wizyta) •
lek. dent. Karolina Werbicka
Dziękuję za opinię :)
-
O
Oksana
Bardzo profesjonalna i empatyczna Pani Doktor, która pomogła mi pokonać moją wieloletnią fobię przed dentystami i pokazała, że wizyta u stomatologa wcale nie musi być bolesna i straszna.
Miałam dużo ubytków, co jeszcze bardziej nasilało mój strach przed wizytą u lekarza, ale już od pierwszych chwil w gabinecie poczułam się zaopiekowana, czułam, że nikt mnie nie ocenia i jestem we właściwym miejscu. Już nie pamiętam, czym jest ból podczas wiercenia, Pani Doktor nie robi tego na siłę i świetnie znieczula. Kolejnych wizyt się już nie bałam, widząc postępy leczenia, zaangażowanie lekarza i profesjonalnie wykonane wypełnienia - Pani Doktor robi naprawdę śliczne ząbki :)
Moje leczenie jest już zakończone, z czego się ogromnie cieszę i DZIĘKUJĘ za to Pani Doktor.
Teraz bez żadnego strachu będę przychodzić na przeglądy i oczywiście tylko do Dr. Werbickiej• Centrum Stomatologii Klinika Uśmiechu • •
lek. dent. Karolina Werbicka
Dziękuję bardzo za opinię i zapraszam ponownie :)
-
K
Krzysztof
Kiedyś wizyty u dentysty kojarzyły mi się z bólem i źle wykonanymi zabiegami. Niechęć rosła a im rzadziej pojawiałem się w gabinecie, tym częściej byłem zawstydzany przez lekarzy, gdy w końcu lądowałem na fotelu. Na szczęście trafiłem do pani Karoliny - bardzo sympatycznej i życzliwej osoby, która zamiast oceniać mnie, opracowała plan leczenia i przygotowania do implantacji. Na każdym etapie opisywała, co i jak będzie robione, a swoją pracę wykonywała bardzo porządnie niezależnie od stopnia trudności. Po ponad roku od pierwszej wizyty cały czas czuję się otoczony profesjonalną, troskliwą opieką. Dodatkowo ujęło mnie też to, że w razie wątpliwości pani doktor potrafi konsultować się z innymi specjalistami, albo gdy w jednym przypadku nie czuła się na siłach, to że przekierowała mnie do właściwej osoby. Dla mnie taka świadomość swoich umiejętności to też oznaka profesjonalizmu i coś co dodatkowo zbudowało moje zaufanie do niej. Cieszę się, że w końcu znalazłem "swoją" panią stomatolog.
• Centrum Stomatologii Klinika Uśmiechu • Konsultacja stomatologiczna •
lek. dent. Karolina Werbicka
Dziękuję bardzo za tak wartościową opinię :)
Najczęściej zadawane pytania
-
Jaki jest zakres porad oferowanych przez Karolina Werbicka?Karolina Werbicka to stomatolog. Na podstawie swojego doświadczenia i wykształcenia Karolina Werbicka oferuje usługi takie jak: badania diagnostyczne, badania profilaktyczne, badania stomatologiczne, fluoryzacja zębów, konsultacja endodontyczna, konsultacja protetyczna, leczenie kanałowe, leczenie próchnicy, odbudowa zębów, piaskowanie.
-
Gdzie Karolina Werbicka ma swój gabinet?Karolina Werbicka przyjmuje pod adresem:
- Wólczańska 165 Łódź
- Piotrkowska 4 Aleksandrów Łódzki
-
Czy Karolina Werbicka przyjmuje online, bez konieczności pojawiania się w placówce?Nie, w tym momencie Karolina Werbicka nie oferuje konsultacji online.
-
Jak Karolina Werbicka akceptuje płatności po wizycie?Metody płatności, które akceptuje Karolina Werbicka to: Gotówka, Karta płatnicza, Przelew na konto, Blik.
-
W jakich językach konsultuje Karolina Werbicka?Języki, których używa Karolina Werbicka to angielski.
-
Jak Karolina Werbicka umawia wizyty?Karolina Werbicka używa kalendarza ZnanyLekarz, dlatego na stronie widzisz aktualne terminy. Wystarczy, że wybierzesz datę i godzinę, które odpowiadają Ci najbardziej. Umawianie wizyty jest darmowe, a tuż przed terminem wyślemy Ci przypomnienie.
-
W jakich godzinach przyjmuje Karolina Werbicka?Karolina Werbicka może mieć dostępne terminy w tym lub w nadchodzącym tygodniu. Terminy, które widzisz w kalendarzu są dostępne, ponieważ aktualizujemy go na bieżąco. Jeśli pierwszy dostępny termin Ci nie odpowiada, sprawdź następny. Rezerwacja terminu jest natychmiastowa, bez dodatkowych opłat.
-
Karolina Werbicka: co mówią pacjenci?88 osób dodało swoją opinię. Karolina Werbicka ma średnią ocen 5 (na 5 gwiazdek).
-
Jakie ubezpieczenia akceptuje Karolina Werbicka?Karolina Werbicka nie przyjmuje w ramach ubezpieczenia, tylko w ramach płatnych wizyt prywatnych. W razie wątpliwości zalecamy kontakt ze specjalistą.