lek. dent. Anna Glanc (Kaczor)

Stomatolog · Więcej O specjalizacjach

Kraków 1 adres

Nr PWZ: 3600358

73 opinie
Przewidywany czas odpowiedzi:

Moje doświadczenie

Absolwentka Collegium Medicum Uniwersytetu Jagiellońskiego i certyfikowany lekarz Invisalign Go!
Szczególnie interesuje się leczeniem endodontycznym (kanałowym), które wykonuje w całości w powiększeniu mikroskopu. Na co dzień leczy trudne przypadki, obejmujące między innymi powtórne leczenie kanałowe, usuwanie złamanych narzędzi, czy zamykanie perforacji.

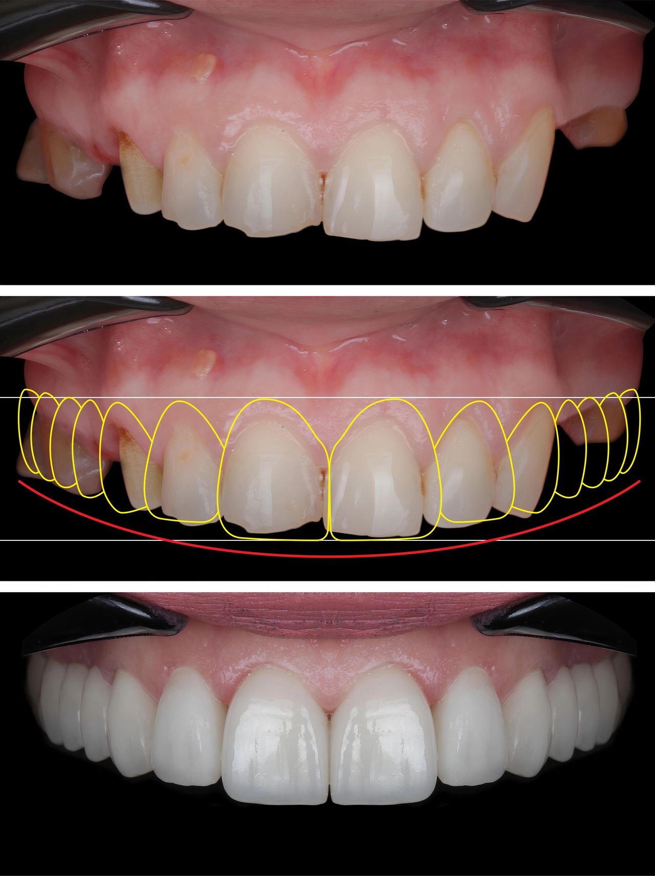
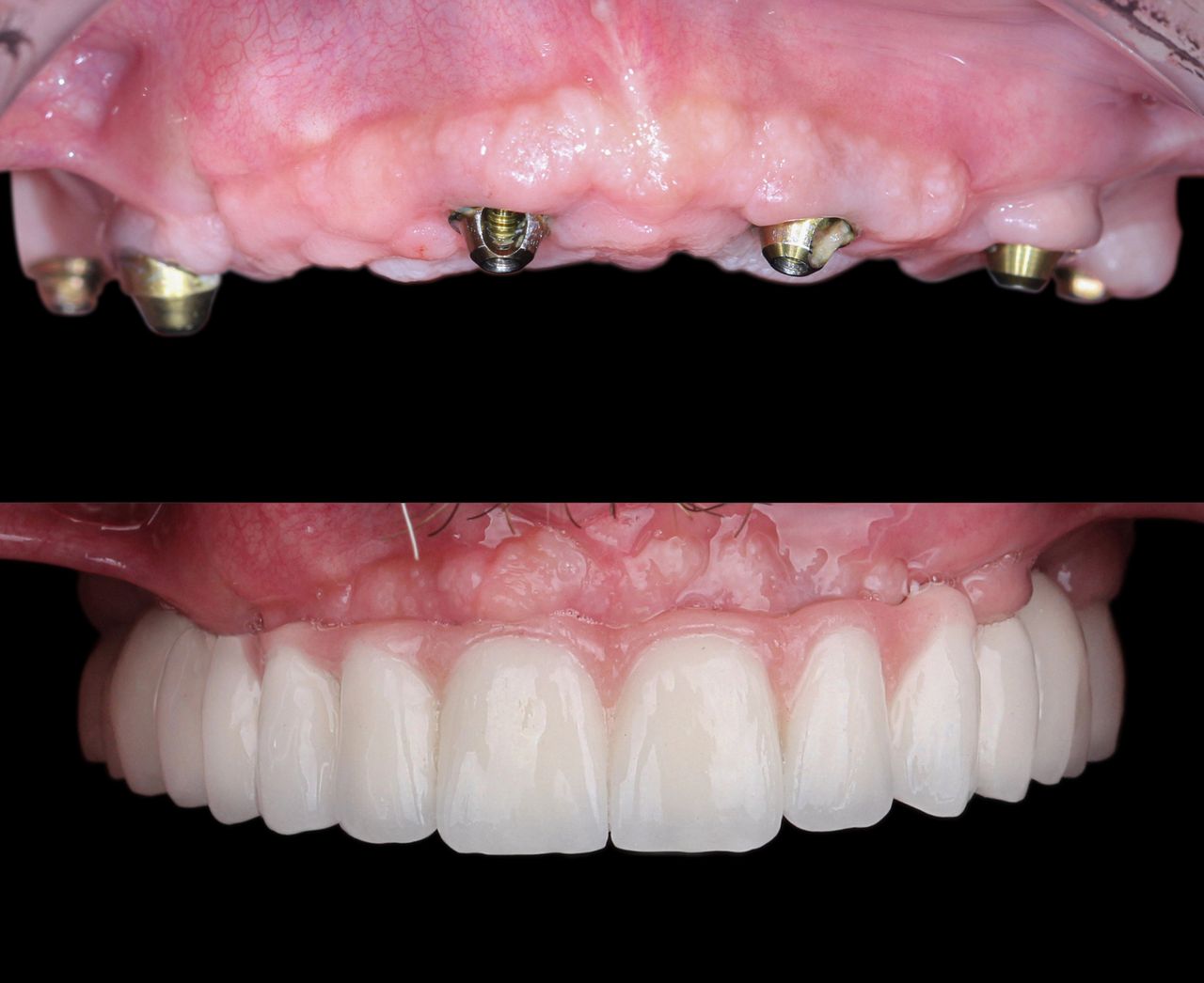
Drugim obszarem jej zainteresować jest mało inwazyjna stomatologia estetyczna, którą łączy z możliwościami dawanymi przez nakładki Invisalign Go! (korekta ustawienia zębów poprzez ich uszeregowanie w odcinku przednim). Aby finalny efekt był jak najlepszy, w ostatniej fazie leczenia często wykonuje wybielanie, estetyczną korektę kształtu zębów materiałem kompozytowym, bonding, czy licówki porcelanowe - tym samym spełniając marzenia o pięknym uśmiechu swoich Pacjentów.

Zarówno badanie, jak i leczenie zachowawcze (opracowywanie i wypełnianie ubytków) przeprowadza z użyciem mikroskopu. Wszystkie procedury wykonywane są w osłonie koferdamu (specjalnej izolacji) - tak aby każdy zabieg wykonany był minimalnie inwazyjnie, z maksymalną dbałością o szczegóły.
Do swojej pracy podchodzi z pasją i zaangażowaniem, a trudne przypadki stanowią dla niej wyzwanie i motywację do dalszego rozwoju. Stale podnosi swoje kwalifikacje, uczestnicząc w konferencjach i kursach z poszczególnych dziedzin stomatologii. Członek Polskiego Towarzystwa Endodontycznego, Europejskiego Towarzystwa Endodontycznego i Polskiego Towarzystwa Stomatologicznego.
więcej O mnie

Zakres porad

  • Stomatologia ogólna
  • Stomatologia zachowawcza z endodoncją
  • Protetyka stomatologiczna

Pacjenci których przyjmuję

Dorośli

Rodzaje konsultacji

Zdjęcia i filmy

Aktualności

lek. dent. Anna Glanc (Kaczor)

Zakopiańska 62B, 30-418 Kraków

Nowy standard diagnostyki w Centrum Stomatologicznym Zakopianka. Bo „zwykły przegląd” to za mało.

W Centrum Stomatologicznym Zakopianka wierzymy, że skutecznie można leczyć tylko to, co się dokładnie widzi. Dlatego zerwaliśmy z tradycyjnym modelem badania, opartym wyłącznie na lusterku stomatologicznym.

Wprowadziliśmy Standard Pełnej Diagnostyki, który obowiązuje podczas wizyt przeglądowych. Łączymy w nim precyzję optyczną z zaawansowaną technologią cyfrową:

Badanie pod mikroskopem: Każdy przegląd wykonujemy w powiększeniu. Pozwala nam to dostrzec nieszczelności wypełnień, mikropęknięcia szkliwa i początki próchnicy niewidoczne gołym okiem.

Radiologia cyfrowa (RTG): Nie zgadujemy, co dzieje się wewnątrz zęba. Rutynowo wykonujemy:

Zdjęcia skrzydłowo-zgryzowe: By wykryć próchnicę ukrytą na stykach zębów.

Panoramę: By ocenić stan kości i ogólną kondycję jamy ustnej.

Tomografię komputerową (CBCT): Gdy sytuacja wymaga obrazowania 3D.

Wybierając przegląd w Centrum Stomatologicznym Zakopianka, masz pewność, że Twój uśmiech został zbadany kompleksowo – od powierzchni szkliwa, aż po korzenie.

04/12/2025

Usługi i ceny

  • Konsultacja stomatologiczna

    Od 250 zł

  • Pierwotne leczenie kanałowe pod mikroskopem

    Od 1 400 zł

  • Leczenie endodontyczne ząb dwukanałowy

    Od 2 100 zł

  • Leczenie endodontyczne ząb jednokanałowy

    1 600 zł

  • Leczenie kanałowe

    Od 1 600 zł

Adres

Metody płatności (wizyty prywatne)

  • Gotówka
  • Karta płatnicza
  • Blik
  • Revolut

Telefon

12 370...

73 opinie

Najczęściej wymieniane przez pacjentów

  • Zaangażowanie lekarza
  • Szczegółowe wyjaśnienia
  • Przyjazny gabinet

Sprawdzamy wszystkie opinie. Moderujemy je zgodnie z naszymi zasadami, dowiedz się więcej o opiniach i sposobie obliczania gwiazdek na Dowiedz się więcej Dowiedz się więcej o opiniach

  • W

    Ze szczerego serca polecam panią stomatolog oraz klinikę za profesjonalizm,skuteczność i niezeykle miłe i ciepłe podejście do pacjenta. Stawiam za te wszystkie pozytywy szóstkę z plusem.

     • Centrum Stomatologiczne Zakopianka wypełnienie kompozytowe  • 

  • M

    Profesjonalna, kontaktowa, cierpliwa, chętna do wyjaśniania wątpliwości...
    SERDECZNIE DZIĘKUJĘ
    Pani Doktor Annie Glanc
    za moje dwie protezy szkieletowe
    i za wszystkie miłe wizyty w Centrum Stomatologicznym Zakopianka

     • Centrum Stomatologiczne Zakopianka protezy szkieletowe  • 

  • M

    Dr Anna bardzo sympatyczną osobąwyjaśniła wszystko po kolei opracowała plan leczenia oraz podała koszty.Z zaangażowaniem i zainteresowaniem podeszła do problemu.Jak wcześniej wspomniałam wyjaśniła wszystko po kolei bez pośpiechu i na każde moje pytanie uzyskałam odpowiedź

     • Centrum Stomatologiczne Zakopianka wizyta w związku z bólem zęba  • 

  • N

    Narzędzie zostało wypchnięte poza kanał, doszło do perforacji wierzchołka korzenia. W dalszej perspektywie może prowadzić do ponownego leczenia kanałowego. Z tego względu odradzam wizytę w tej placówce. Korona została dobrze opracowana, lecz wynik endodoncji pozostawia wiele do życzenia, biorąc pod uwagę to że sprzedałem własne rzeczy i wydałem całe oszczędności mojego życia by mieć uratowany ząb. Niestety skończyłem z następującym powikłaniem i już nic nie mogę z tym zrobić.

     • Centrum Stomatologiczne Zakopianka Endodoncja mikroskopowa  • 

    lek. dent. Anna Glanc (Kaczor)

    Panie Nikodemie, przykro mi, że jest Pan niezadowolony z wizyty. Przepchnięcie materiału poza wierzchołek jest jedną z rzeczy, które mogą się zdarzyć podczas leczenia kanałowego - jest to ryzyko wpisane w zabieg, o czym był Pan informowany przed jego rozpoczęciem.
    Co ważne, nie świadczy to o niepowodzeniu - tutaj najistotniejsze jest wystąpienie gojenia zapalenia, które było przyczyną bólu.
    Zaistniałą sytuację omówiliśmy po leczeniu, została również zalecona kontrola żeby upewnić się, że z zębem wszystko jest w porządku. Niestety nigdy się Pan na nią nie zgłosił,

    pozdrawiam,
    Anna Glanc


  • M

    Gorąco polecam Panią dr Annę Glanc. Tłumaczy wszystko zwięźle, bez zbytniego lania przysłowiowej wody. Samo leczenie też bez zastrzeżeń, numer jeden jeżeli chodzi o rekonstrukcje!!!

     • Centrum Stomatologiczne Zakopianka Konsultacja stomatologiczna  • 

  • W

    Pełne zaangażowanie, dobry kontakt z pacjentem i empatia. Pani Doktor rozwiała moje wątpliwości odnośnie znieczuleń, za co jeszcze raz serdecznie dziękuję! Polecam i pozdrawiam

     • Centrum Stomatologiczne Zakopianka wizyta w związku z bólem zęba  • 

  • A

    Zawsze można uzyskać odpowiedzi na pytania, polecam

     • Centrum Stomatologiczne Zakopianka leczenie stomatologiczne pod mikroskopem  • 

  • A

    Wizyta miła i kompetentna .Mam pieknie odbudowana jedynke

     • Centrum Stomatologiczne Zakopianka wizyta w związku z bólem zęba  • 

  • W

    Polecam Panią Doktor, wszystko dokładnie zostało wytłumaczone, nie zostałam zlekceważona, a wysłuchana i uspokojona. Teraz czekam na pozytywne efekty!

     • Centrum Stomatologiczne Zakopianka Powtórne leczenie kanałowe pod mikroskopem  • 

  • T

    Pani dr Anna Glanc to wspaniały specjalista – profesjonalna, dokładna i bardzo życzliwa. Leczenie kanałowe przebiegło całkowicie bezboleśnie, a wszystkie etapy zostały mi szczegółowo i zrozumiale wyjaśnione. Czułem się zaopiekowany i spokojny od początku do końca wizyty. Z pełnym przekonaniem polecam Panią doktor każdemu, kto szuka stomatologa z prawdziwym powołaniem i świetnym podejściem do pacjenta.

     • Centrum Stomatologiczne Zakopianka leczenie kanałowe pod mikroskopem  • 

Wystąpił błąd, spróbuj jeszcze raz

Odpowiedzi na pytania

12 odpowiedzi udzielonych przez lekarza na pytania pacjentów na ZnanyLekarz.pl

Witam. Co może być powodem lekkiej opuchlizny i bólu podczas dotyku okolic nad ustami/ pod nosem i po boku nosa. Odczuwam tez lekkie pulsowanie nad dziąsłem. Nie odczuwam żadnego bólu zębów.

Dzień dobry,
Opisane objawy mogą wskazywać na tworzący się ropień. Być może któryś z zębów jest martwy (przez co sam ząb nie daje dolegliwości), a infekcja przeniosła się poza korzeń, na otaczające tkanki, wywołując opuchliznę i pulsujący ból. Najlepiej jak najszybciej udać się na konsultację do stomatologa, który ustali przyczynę i wdroży odpowiednie leczenie.
Pozdrawiam serdecznie

lek. dent. Anna Glanc (Kaczor)

Witam, od dłuższego czasu mam problem z zębami, właściwie z dziąsłami. Pomiędzy szóstkami a siódemkami dolnymi gdy jem wchodzi mi pokarm powodując ból, oczyszczam nićmi dentystycznymi ale problem polega na tym że nie mogę później jeść, dziąsła puchną, są bardzo bolesne odchylają się lekko od zęba a dziś nawet już zaczęło z jednej strony krawić. Pytanie brzmi czy to już początki paradontozy? czy mogę się jeszcze z tego wyleczyć czy już tak będę się męczyć? jak mam jeść jak mi to sprawia ból? Mam 30 lat i nigdy nie miałam wcześniej aż takich problemów z zębami.

Dzień dobry,
W takiej sytuacji najlepiej zgłosić sie do stomatologa, który sprawdzi, czy między szóstkami, a siódemkami nie ma zbyt dużych przestrzeni (mogą być one spowodowane próchnicą lub utratą wypełnienia) lub poszuka innej przyczyny dolegliwości. Być może, aby problem ustąpił, wystarczy założyć wypełnienie, które zamknie przestrzeń i uniemożliwi dostawanie sie do niej jedzenia.
Pozdrawiam serdecznie

lek. dent. Anna Glanc (Kaczor)
Zobacz wszystkie odpowiedzi

Wszystkie treści, w szczególności pytania i odpowiedzi, dotyczące tematyki medycznej mają charakter informacyjny i w żadnym wypadku nie mogą zastąpić diagnozy medycznej.

Najczęściej zadawane pytania