Moje doświadczenie
Jestem ortodontką, absolwentką Narodowego Uniwersytetu Medycznego im. O. O. Bohomolca w Kijowie. Od 2022 roku pracuję w Polsce jako lekarka dentystka, m.in. w Gdańsku, Warszawie i Złotowie.
Pomagam dzieciom i dorosłym osiągnąć zdrowy oraz piękny uśmiech, łącząc klasyczne metody z najnowszymi technologiami.
Pracuję w oparciu o cyfrowe protokoły, dzięki którym plan leczenia jest precyzyjny i przewidywalny. Prowadzę terapie aparatami stałymi oraz przezroczystymi nakładkami Invisalign.
Szczególną uwagę zwracam na stomatologię funkcjonalną – dbam nie tylko o estetykę, ale również o prawidłowe działanie całego układu zgryzowego.
Każdą wizytę staram się prowadzić w przyjaznej atmosferze, tak aby pacjenci czuli, że są w dobrych rękach.
Zakres porad
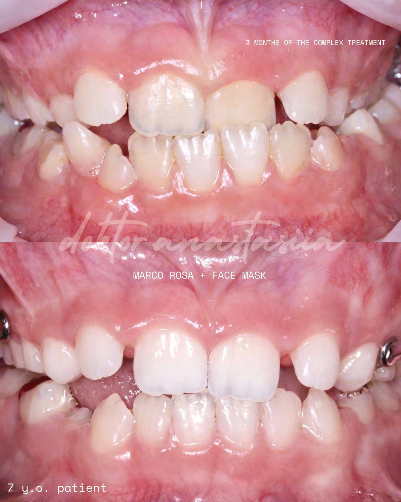
- Ortodoncja
Główne obszary pomocy
- Bóle stawów
- Bruksizm
- +6 a11y_sr_more_diseases
Pacjenci których przyjmuję
Rodzaje konsultacji
Zdjęcia i filmy
Usługi i ceny
-
Konsultacja ortodontyczna
Od 249 zł -
-
Konsultacja Invisalign
249 zł -
-
Konsultacja stomatologiczna
Od 200 zł -
-
Aparaty ruchome
Od 1 500 zł -
-
Aparaty stałe
Od 3 500 zł -
-
-
-
-
-
-
-
Adresy (5)
Różana 8/10, Mokotów, 02-548 Warszawa
Dostępność
Telefon
Dlaczego prosimy Cię o wyrażenie zgody na przetwarzanie danych?
Wyrażenie zgody jest niezbędne do umówienia wizyty z wykorzystaniem telerejestracji. Wymagają tego przepisy Ogólnego Rozporządzenie o Ochronie Danych Osobowych - tzw. RODO. Informujemy, że zgoda jest dobrowolna, jednak jej brak uniemożliwi umówienie wizyty. Informujemy rówież, że zgoda może zostać w każdym momencie zostać wycofana. W tym celu wystarczy się skontaktować z nami przez formularz
Kiedy dojdzie do przetwarzania moich danych osobowych?
Do przetwarzania Twoich danych osobowych dojdzie podczas rozmowy telefonicznej z naszym centrum telerejestracji, ale jednak wyłącznie w sytuacji gdy tej rozmowy podasz nam swoje dane osobowe. Przetwarzanie danych osobowych dokonywane jest w celu umówienia wizyty i przekazania danych osobowych wybranemu Profesjonaliście.
Czy moje dane osobowe zostaną przekazane Profesjonaliście do którego chce się umówić na wizytę?
Tak. Udostępnimy wybranemu przez Ciebie Profesjonaliście informacje i dane osobowe które nam przekazałeś podczas rozmowy telefonicznej oraz przekażemy te informacje Profesjonaliście. Dzięki temu Profesjonalista będzie mógł przygotować się na Twoją wizytę.
Kto jest administratorem moich danych osobowych?
Administratorem danych osobowych jest ZnanyLekarz sp. z o.o. z siedzibą w Warszawie przy ul. Kolejowej 5/7. Informujemy, że po przekazaniu przez nas Twoich danych osobowych wybranemu przez Ciebie Profesjonaliście, staje się on również administratorem Twoich danych osobowych i przetwarza je w celach związanych ze świadczeniem usług medycznych lub innych podobnych.
Gdzie mogę uzyskać więcej informacji o moich prawach związanych z przetwarzaniem danych osobowych?
Więcej informacji o przetwarzaniu Twoich danych osobowychTypy przyjmowanych pacjentów
- Pacjenci prywatni (bez ubezpieczenia)
Prosta 36, Wola, 00-838 Warszawa
Dostępność
Telefon
Dlaczego prosimy Cię o wyrażenie zgody na przetwarzanie danych?
Wyrażenie zgody jest niezbędne do umówienia wizyty z wykorzystaniem telerejestracji. Wymagają tego przepisy Ogólnego Rozporządzenie o Ochronie Danych Osobowych - tzw. RODO. Informujemy, że zgoda jest dobrowolna, jednak jej brak uniemożliwi umówienie wizyty. Informujemy rówież, że zgoda może zostać w każdym momencie zostać wycofana. W tym celu wystarczy się skontaktować z nami przez formularz
Kiedy dojdzie do przetwarzania moich danych osobowych?
Do przetwarzania Twoich danych osobowych dojdzie podczas rozmowy telefonicznej z naszym centrum telerejestracji, ale jednak wyłącznie w sytuacji gdy tej rozmowy podasz nam swoje dane osobowe. Przetwarzanie danych osobowych dokonywane jest w celu umówienia wizyty i przekazania danych osobowych wybranemu Profesjonaliście.
Czy moje dane osobowe zostaną przekazane Profesjonaliście do którego chce się umówić na wizytę?
Tak. Udostępnimy wybranemu przez Ciebie Profesjonaliście informacje i dane osobowe które nam przekazałeś podczas rozmowy telefonicznej oraz przekażemy te informacje Profesjonaliście. Dzięki temu Profesjonalista będzie mógł przygotować się na Twoją wizytę.
Kto jest administratorem moich danych osobowych?
Administratorem danych osobowych jest ZnanyLekarz sp. z o.o. z siedzibą w Warszawie przy ul. Kolejowej 5/7. Informujemy, że po przekazaniu przez nas Twoich danych osobowych wybranemu przez Ciebie Profesjonaliście, staje się on również administratorem Twoich danych osobowych i przetwarza je w celach związanych ze świadczeniem usług medycznych lub innych podobnych.
Gdzie mogę uzyskać więcej informacji o moich prawach związanych z przetwarzaniem danych osobowych?
Więcej informacji o przetwarzaniu Twoich danych osobowychDlaczego prosimy Cię o wyrażenie zgody na przetwarzanie danych?
Wyrażenie zgody jest niezbędne do umówienia wizyty z wykorzystaniem telerejestracji. Wymagają tego przepisy Ogólnego Rozporządzenie o Ochronie Danych Osobowych - tzw. RODO. Informujemy, że zgoda jest dobrowolna, jednak jej brak uniemożliwi umówienie wizyty. Informujemy rówież, że zgoda może zostać w każdym momencie zostać wycofana. W tym celu wystarczy się skontaktować z nami przez formularz
Kiedy dojdzie do przetwarzania moich danych osobowych?
Do przetwarzania Twoich danych osobowych dojdzie podczas rozmowy telefonicznej z naszym centrum telerejestracji, ale jednak wyłącznie w sytuacji gdy tej rozmowy podasz nam swoje dane osobowe. Przetwarzanie danych osobowych dokonywane jest w celu umówienia wizyty i przekazania danych osobowych wybranemu Profesjonaliście.
Czy moje dane osobowe zostaną przekazane Profesjonaliście do którego chce się umówić na wizytę?
Tak. Udostępnimy wybranemu przez Ciebie Profesjonaliście informacje i dane osobowe które nam przekazałeś podczas rozmowy telefonicznej oraz przekażemy te informacje Profesjonaliście. Dzięki temu Profesjonalista będzie mógł przygotować się na Twoją wizytę.
Kto jest administratorem moich danych osobowych?
Administratorem danych osobowych jest ZnanyLekarz sp. z o.o. z siedzibą w Warszawie przy ul. Kolejowej 5/7. Informujemy, że po przekazaniu przez nas Twoich danych osobowych wybranemu przez Ciebie Profesjonaliście, staje się on również administratorem Twoich danych osobowych i przetwarza je w celach związanych ze świadczeniem usług medycznych lub innych podobnych.
Gdzie mogę uzyskać więcej informacji o moich prawach związanych z przetwarzaniem danych osobowych?
Więcej informacji o przetwarzaniu Twoich danych osobowychTypy przyjmowanych pacjentów
- Pacjenci prywatni (bez ubezpieczenia)
Marii Zientara-Malewskiej 7, 77-400 Złotów, 77-400 Złotów
Dostępność
W tym gabinecie nie można umawiać wizyt przez internet
Typy przyjmowanych pacjentów
- Pacjenci prywatni (bez ubezpieczenia)
Gen. Klemensa Stanisława Rudnickiego 3A/lok. 7H, Bielany, 01-858 Warszawa
Dostępność
W tym gabinecie nie można umawiać wizyt przez internet
Typy przyjmowanych pacjentów
- Pacjenci prywatni (bez ubezpieczenia)
Żelazna 51/53, Wola, 00-841 Warszawa
Dostępność
W tym gabinecie nie można umawiać wizyt przez internet
Typy przyjmowanych pacjentów
- Pacjenci prywatni (bez ubezpieczenia)
Opinie
13 opinii
Sprawdzamy wszystkie opinie. Moderujemy je zgodnie z naszymi zasadami, dowiedz się więcej o opiniach i sposobie obliczania gwiazdek na Dowiedz się więcej Dowiedz się więcej o opiniach
-
Ł
Łukasz
Pani doktor Anastasiia Malkina to absolutna profesjonalistka. Konsultacja ortodontyczna przebiegła w bardzo miłej i spokojnej atmosferze. Pani doktor wszystko dokładnie wyjaśniła, cierpliwie odpowiedziała na każde pytanie i zaproponowała kilka możliwych rozwiązań, jasno omawiając ich plusy i minusy. Widać ogromną wiedzę, doświadczenie i indywidualne podejście do pacjenta. Czułem się zaopiekowany i w pełni poinformowany na każdym etapie wizyty. Zdecydowanie polecam każdemu, kto szuka rzetelnej i empatycznej konsultacji ortodontycznej oraz leczenia
• Dental Fraternity International • konsultacja ortodontyczna •
lek. dent. Anastasiia Malkina
Bardzo dziękuje! :)
-
O
Oksana N.
Z całego serca polecam Panią doktor — Anastasiia Malkina Od pierwszych chwil wizyty czułam, że jestem w dobrych rękach — Pani doktor z ogromną uważnością i troską podchodziła do mnie oraz do każdego etapu leczenia.
Przez cały czas dbała o mój komfort, uważnie reagowała na moje potrzeby i dokładnie wyjaśniała każdy krok, dzięki czemu czułam się spokojnie i bezpiecznie. Jej podejście było pełne empatii i zaangażowania, a ja miałam poczucie, że naprawdę ktoś się o mnie troszczy!
Zabieg przebiegł bardzo komfortowo i bez stresu — był to zdecydowanie najprzyjemniejszy wizyta u stomatologa, jaką kiedykolwiek miałam :)
Jestem ogromnie wdzięczna za tak profesjonalną i ludzką opiekę. Z pełnym przekonaniem polecam Panią doktor!
• Dental Fraternity International • Inny •
lek. dent. Anastasiia Malkina
Pani Oksano, bardzo-bardzo dziękuje za ciepłe słowa!
-
M
Michał
Pani doktor Anastasia wykazała się wysokim poziomem profesjonalizmu oraz ogromną wiedzą specjalistyczną w zakresie ortodoncji i kompleksowego planowania leczenia. Mój przypadek był trudny i wieloetapowy – obejmował m.in. most w górnej szczęce, konieczność odbudowy kości, wykonanie dwóch implantów oraz wymianę istniejących koron.
Plan leczenia został przygotowany w sposób bardzo dokładny, logiczny i przemyślany, z uwzględnieniem zarówno aspektów funkcjonalnych, jak i estetycznych. Pani doktor szczegółowo wyjaśniła wszystkie etapy terapii, możliwe warianty postępowania oraz ich konsekwencje, co dało mi pełne poczucie bezpieczeństwa i zaufania.
Na szczególne uznanie zasługuje holistyczne podejście do leczenia, doskonała komunikacja oraz umiejętność koordynacji działań wymagających współpracy z innymi specjalistami. Z pełnym przekonaniem polecam panią doktor Anastasię jako ortodontę do prowadzenia nawet najbardziej wymagających przypadków klinicznych.• Stomatologia Medicover Różana • Inny •
-
Aleksandra
Gorąco polecam Panią Doktor!
Konkretna, rzeczowa i profesjonalna!!! Leczenie to czysta przyjemność. Polecam Panią Doktor z pełną odpowiedzialnością.• Dental Fraternity International • konsultacja ortodontyczna •
lek. dent. Anastasiia Malkina
Bardzo dziękuję, Pani Aleksandro!
-
J
Julia
Profesjonalne podejście do pacjenta! Bardzo miła atmosfera, polecam gorąco!
• Lula Clinic • Konsultacja stomatologiczna •
lek. dent. Anastasiia Malkina
Bardzo dziękuję, Pani Julio :)
-
V
Veniamin
Jestem bardzo zadowolony z wizyt u Pani ortodontki Anastasiii. Profesjonalne podejście, dokładne wyjaśnienia i miła atmosfera sprawiają, że czuję się w pełni zaopiekowany. Dzięki temu mam pełne zaufanie do dalszego leczenia i mogę z czystym sumieniem polecić Panią Anastasię każdemu, kto szuka dobrego specjalisty.
• Stomatologia Medicover Różana • Inny •
lek. dent. Anastasiia Malkina
Bardzo dziękuję i cieszę się że został Pan zadowolony:)
-
K
Konstantyn
Wszystko było dobrze, lekarz bardzo miła i skuteczna w swojej sprawie.
• Corten Dental Gdynia • Inny •
lek. dent. Anastasiia Malkina
Bardzo dziękuję za ciepłe słowa! :)
-
A
Anastazja
Bardzo dziękuję Pani Doktor Anastazji! Pełen profesjonalizm i ogromna troska o pacjenta. Wszystko zostało dokładnie wyjaśnione, a samo leczenie przebiegło spokojnie i bezboleśnie. Czułam się zaopiekowana i bez stresu. Jestem bardzo zadowolona z efektu i z całego przebiegu wizyty. Polecam z całego serca!
• Corten Dental Gdynia • Inny •
lek. dent. Anastasiia Malkina
Pani Anastazjo, bardzo mi miło, serdecznie dziękuję i do zobaczenia w gabinecie! :)
-
N
Natalia
Anastazja to Świetny lekarz, nic mnie nie bolało, mimo moich obaw wszystko wyjaśniła tak, że czułam się bardzo komfortowo.
Na pewno przyjdę ponownie• W innym miejscu • Inny •
lek. dent. Anastasiia Malkina
Pani Natalio, bardzo dziękuję! Zapraszam serdecznie :)
-
M
Margarita
Chciałabym serdecznie podziękować mojej ortodontce za profesjonalizm i ciepłe podejście. Podczas wizyty wszystko zostało dokładnie wyjaśnione, a plan leczenia przedstawiony w sposób jasny i zrozumiały. Atmosfera w gabinecie jest bardzo przyjazna, a ja czuję się naprawdę zaopiekowana. Cieszę się, że trafiłam właśnie do takiej specjalistki!
• Corten Dental Gdynia • Inny •
lek. dent. Anastasiia Malkina
Pani Margarito, ja też zawsze z niecierpliwoscią czekam na nasze wizyty! Pozdrawiam i do zobaczenia w gabinecie :)
Najczęściej zadawane pytania
-
Jaki jest zakres porad oferowanych przez Anastasiia Malkina?Anastasiia Malkina to stomatolog. Na podstawie swojego doświadczenia i wykształcenia Anastasiia Malkina oferuje usługi takie jak: konsultacja ortodontyczna, Konsultacja stomatologiczna, aparaty stałe, aparaty stałe estetyczne, Leczenie ortodontyczne Invisalign®, kompleksowe badanie stomatologiczne + plan leczenia + zdjęcie pantomograficzne, aparaty ruchome, Invisalign, Konsultacja Invisalign, konsultacja ortodontyczna dzieci.
-
Gdzie Anastasiia Malkina ma swój gabinet?Anastasiia Malkina przyjmuje pod adresem:
- Różana 8/10 Warszawa
- Marii Zientara-Malewskiej 7, 77-400 Złotów Złotów
- Gen. Klemensa Stanisława Rudnickiego 3A/lok. 7H Warszawa
- Żelazna 51/53 Warszawa
- Prosta 36 Warszawa
-
Czy Anastasiia Malkina przyjmuje online, bez konieczności pojawiania się w placówce?Nie, w tym momencie Anastasiia Malkina nie oferuje konsultacji online.
-
Jak Anastasiia Malkina akceptuje płatności po wizycie?Metody płatności, które akceptuje Anastasiia Malkina to: Gotówka, Karta płatnicza, Przelew na konto, Płatność ratalna, Blik.
-
W jakich językach konsultuje Anastasiia Malkina?Języki, których używa Anastasiia Malkina to angielski, polski, rosyjski, ukraiński.
-
Jak Anastasiia Malkina umawia wizyty?Anastasiia Malkina używa kalendarza ZnanyLekarz, dlatego na stronie widzisz aktualne terminy. Wystarczy, że wybierzesz datę i godzinę, które odpowiadają Ci najbardziej. Umawianie wizyty jest darmowe, a tuż przed terminem wyślemy Ci przypomnienie.
-
W jakich godzinach przyjmuje Anastasiia Malkina?Anastasiia Malkina może mieć dostępne terminy w tym lub w nadchodzącym tygodniu. Terminy, które widzisz w kalendarzu są dostępne, ponieważ aktualizujemy go na bieżąco. Jeśli pierwszy dostępny termin Ci nie odpowiada, sprawdź następny. Rezerwacja terminu jest natychmiastowa, bez dodatkowych opłat.
-
Anastasiia Malkina: co mówią pacjenci?13 osób dodało swoją opinię. Anastasiia Malkina ma średnią ocen 5 (na 5 gwiazdek).
-
Jakie ubezpieczenia akceptuje Anastasiia Malkina?Anastasiia Malkina nie przyjmuje w ramach ubezpieczenia, tylko w ramach płatnych wizyt prywatnych. W razie wątpliwości zalecamy kontakt ze specjalistą.