lek. dent.
Tomasz Kupryś
Stomatolog
·
Więcej
O specjalizacjach
Warszawa 1 adres
Nr PWZ: 2354307
3 opinieMoje doświadczenie
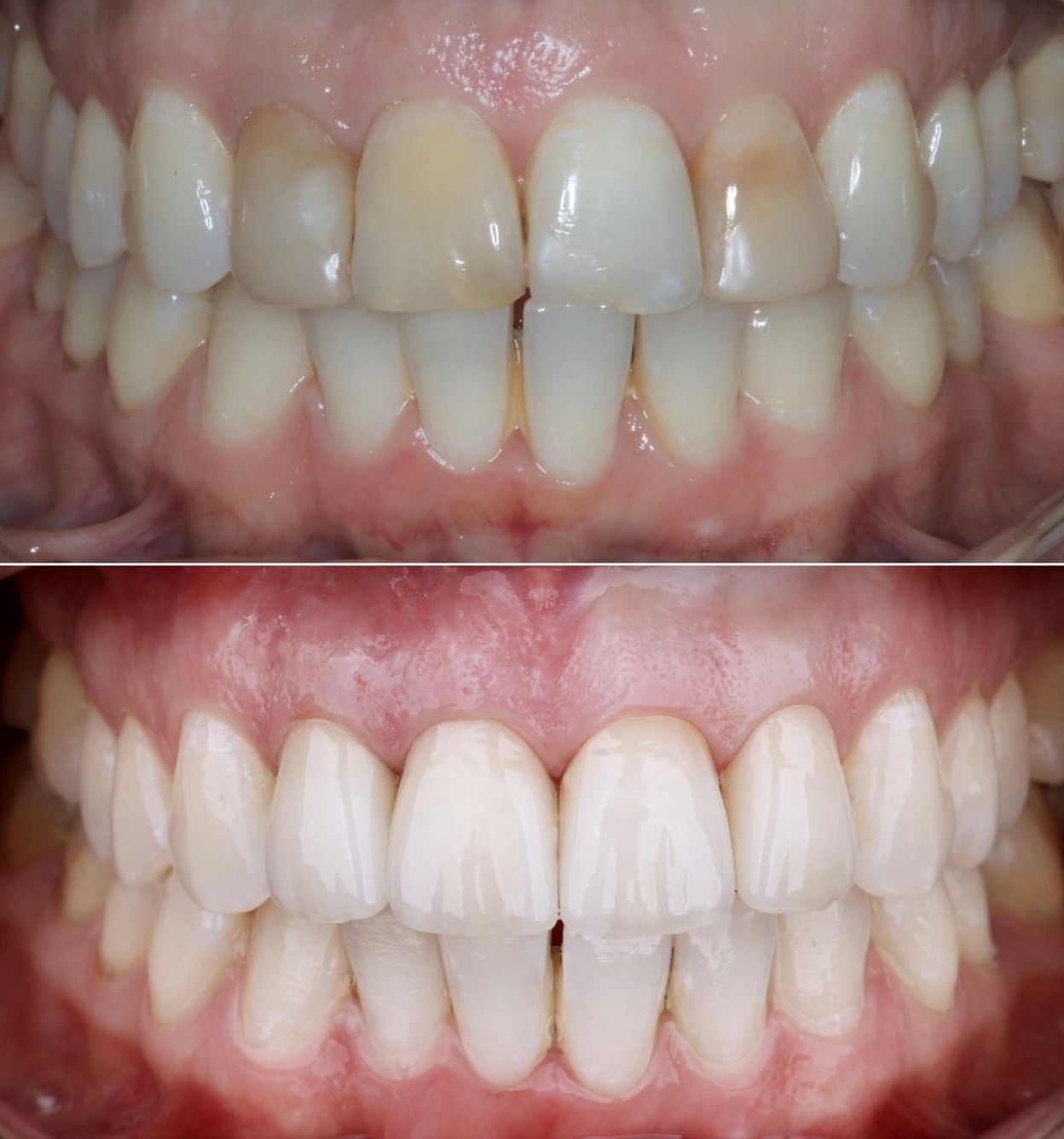
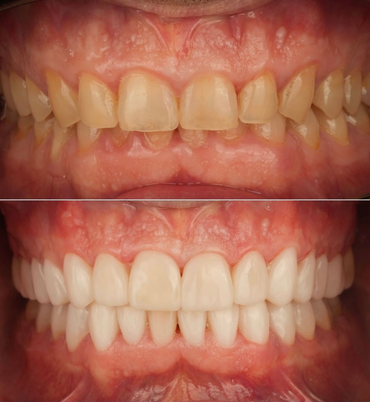
W Kupryś Dental Clinic przeprowadza kompleksowe zabiegi z zakresu protetyki i stomatologii estetycznej. W swojej pracy ceni przyjazną atmosferę zaufania. Przez lata udało mu się zbudować doskonałe relacje z pacjentami. Posiada bardzo duże doświadczenie w pracy ze złożonymi przypadkami, pełnymi rekonstrukcjami zgryzu oraz spektakularnymi metamorfozami uśmiechu. Podejmując walkę o lepsze życie pacjentów, swoją postawę oraz doskonałe umiejętności prezentował w programie telewizyjnym „Sekrety Lekarzy” (emitowanym w telewizji TVN) oraz „Operacja Zdrowie” w TVP2.
Chętnie udziela sie w mediach jako ekspert( m.in. magazyny:,,Pani”, „Elle”, „Gala, „Glamour”, „Elle Man”, „Gala Men”, a także portale: Onet.pl, Hellozdrowie.pl oraz program: „Pytanie na Śniadanie”TVP ,,Dzień dobry TVN” ,,Mamma Mia”Polsat i „Raport Live” TVN). Pełni funkcję Członka Polskiej Akademii Stomatologicznej PASE , która stanowi doskonałą platformę do wymiany informacji, wiedzy i doświadczeń pomiędzy lekarzami.
Zakres porad
- Stomatologia ogólna
- Protetyka stomatologiczna
- Implantologia
Główne obszary pomocy
- Próchnica
- Braki zębowe
- Nadwrażliwość zębów
- Przebarwienia zębów
- Kamień nazębny
Rodzaje konsultacji
Zdjęcia i filmy
Usługi i ceny
-
Konsultacja stomatologiczna
Od 290 zł -
-
Odbudowa na implancie (korona + łącznik)
-
-
Profilaktyka próchnicy
-
-
Piaskowanie
300 zł -
-
Pakiet higienizacyjny z instruktażem
Od 390 zł -
-
-
-
-
-
-
-
-
-
-
-
-
-
-
-
-
-
-
-
-
-
-
-
-
-
-
-
-
-
-
-
-
-
-
-
-
-
-
-
-
-
-
-
-
-
-
-
-
-
-
-
-
-
-
-
-
-
-
-
-
-
-
-
-
-
-
-
-
-
-
-
-
-
-
-
-
-
-
-
-
-
-
-
-
-
-
-
-
-
-
-
-
-
-
-
-
-
-
-
-
-
-
-
-
-
-
-
-
-
-
-
-
-
-
-
-
-
-
Adres
Kazimierza Brokla 2, Śródmieście, 00-032 Warszawa
Dostępność
Telefon
Dlaczego prosimy Cię o wyrażenie zgody na przetwarzanie danych?
Wyrażenie zgody jest niezbędne do umówienia wizyty z wykorzystaniem telerejestracji. Wymagają tego przepisy Ogólnego Rozporządzenie o Ochronie Danych Osobowych - tzw. RODO. Informujemy, że zgoda jest dobrowolna, jednak jej brak uniemożliwi umówienie wizyty. Informujemy rówież, że zgoda może zostać w każdym momencie zostać wycofana. W tym celu wystarczy się skontaktować z nami przez formularz
Kiedy dojdzie do przetwarzania moich danych osobowych?
Do przetwarzania Twoich danych osobowych dojdzie podczas rozmowy telefonicznej z naszym centrum telerejestracji, ale jednak wyłącznie w sytuacji gdy tej rozmowy podasz nam swoje dane osobowe. Przetwarzanie danych osobowych dokonywane jest w celu umówienia wizyty i przekazania danych osobowych wybranemu Profesjonaliście.
Czy moje dane osobowe zostaną przekazane Profesjonaliście do którego chce się umówić na wizytę?
Tak. Udostępnimy wybranemu przez Ciebie Profesjonaliście informacje i dane osobowe które nam przekazałeś podczas rozmowy telefonicznej oraz przekażemy te informacje Profesjonaliście. Dzięki temu Profesjonalista będzie mógł przygotować się na Twoją wizytę.
Kto jest administratorem moich danych osobowych?
Administratorem danych osobowych jest ZnanyLekarz sp. z o.o. z siedzibą w Warszawie przy ul. Kolejowej 5/7. Informujemy, że po przekazaniu przez nas Twoich danych osobowych wybranemu przez Ciebie Profesjonaliście, staje się on również administratorem Twoich danych osobowych i przetwarza je w celach związanych ze świadczeniem usług medycznych lub innych podobnych.
Gdzie mogę uzyskać więcej informacji o moich prawach związanych z przetwarzaniem danych osobowych?
Więcej informacji o przetwarzaniu Twoich danych osobowychTypy przyjmowanych pacjentów
- Pacjenci prywatni (bez ubezpieczenia)
Opinie
3 opinie
Sprawdzamy wszystkie opinie. Moderujemy je zgodnie z naszymi zasadami, dowiedz się więcej o opiniach i sposobie obliczania gwiazdek na Dowiedz się więcej Dowiedz się więcej o opiniach
-
A
Aleksandra
Panicznie bałam się dentysty z powodu traumy z dzieciństwa, dlatego każda wizyta była dla mnie ogromnym stresem. Dr Tomasz Kupryś już od pierwszego spotkania wzbudził we mnie ogromne zaufanie dzięki swojej empatii, spokojowi i bardzo przyjaznemu usposobieniu. Wszystko zawsze dokładnie tłumaczy, a jeśli widzi, że pacjent czegoś nie rozumie – cierpliwie wyjaśnia jeszcze raz. Jest niezwykle zaangażowany w swoją pracę, a od niego samego bije dużo zrozumienia i troski o pacjenta. Dzięki niemu byłam w stanie na jednej wizycie zrobić dwa zęby, co wcześniej było dla mnie nie do pomyślenia. Dziś wizyty u stomatologa przestały być koszmarem, a wręcz stały się przyjemne. Z całego serca polecam dr Kuprysia każdemu, szczególnie osobom bojącym się dentysty.
• Kupryś Dental Clinic • konsultacja + leczenie/usunięcie zęba •
-
A
Adam P
Świetny Lekarz! Bardzo profesjonalnie i przyjaźnie! Świetny wystrój lokalu!
• Kupryś Dental Clinic • Badanie stomatologiczne + leczenie zębów •
-
E
Ewelina P
Polecam dr Kuprysia. Bardzo dobry stomatolog, wyleczył mi zęby. Mam do niego zaufanie. Zawsze jestem zadowolona z wizyty. Dr Kupryś potrafi dobrze doradzić. Poleciłam dr znajomym.
• Kupryś Dental Clinic • Konsultacja stomatologiczna •
Najczęściej zadawane pytania
-
Jaki jest zakres porad oferowanych przez Tomasz Kupryś?Tomasz Kupryś to stomatolog. Na podstawie swojego doświadczenia i wykształcenia Tomasz Kupryś oferuje usługi takie jak: Konsultacja stomatologiczna, korony, Przegląd stomatologiczny, leczenie zachowawcze, Badanie stomatologiczne, Badanie stomatologiczne + leczenie zębów, Wypełnienie, konsultacja protetyczna, leczenie próchnicy, leczenie protetyczne.
-
Gdzie Tomasz Kupryś ma swój gabinet?Tomasz Kupryś przyjmuje pod adresem:
- Kazimierza Brokla 2 Warszawa
-
Czy Tomasz Kupryś przyjmuje online, bez konieczności pojawiania się w placówce?Nie, w tym momencie Tomasz Kupryś nie oferuje konsultacji online.
-
Jak Tomasz Kupryś akceptuje płatności po wizycie?Metody płatności, które akceptuje Tomasz Kupryś to: Gotówka, Karta płatnicza, Przelew na konto, Blik.
-
W jakich językach konsultuje Tomasz Kupryś?Języki, których używa Tomasz Kupryś to angielski.
-
Jak Tomasz Kupryś umawia wizyty?Tomasz Kupryś używa kalendarza ZnanyLekarz, dlatego na stronie widzisz aktualne terminy. Wystarczy, że wybierzesz datę i godzinę, które odpowiadają Ci najbardziej. Umawianie wizyty jest darmowe, a tuż przed terminem wyślemy Ci przypomnienie.
-
W jakich godzinach przyjmuje Tomasz Kupryś?Tomasz Kupryś może mieć dostępne terminy w tym lub w nadchodzącym tygodniu. Terminy, które widzisz w kalendarzu są dostępne, ponieważ aktualizujemy go na bieżąco. Jeśli pierwszy dostępny termin Ci nie odpowiada, sprawdź następny. Rezerwacja terminu jest natychmiastowa, bez dodatkowych opłat.
-
Tomasz Kupryś: co mówią pacjenci?3 osób dodało swoją opinię. Tomasz Kupryś ma średnią ocen 5 (na 5 gwiazdek).
-
Jakie ubezpieczenia akceptuje Tomasz Kupryś?Tomasz Kupryś nie przyjmuje w ramach ubezpieczenia, tylko w ramach płatnych wizyt prywatnych. W razie wątpliwości zalecamy kontakt ze specjalistą.