lek. dent.
Olga Petruszka
Stomatolog
·
Chirurg
Protetyk stomatologiczny
Więcej
O specjalizacjach
Warszawa 1 adres
Nr PWZ: 1884809
16 opiniiMoje doświadczenie
IMPLANTACJA NATYCHMIASTOWA
ALL ON X
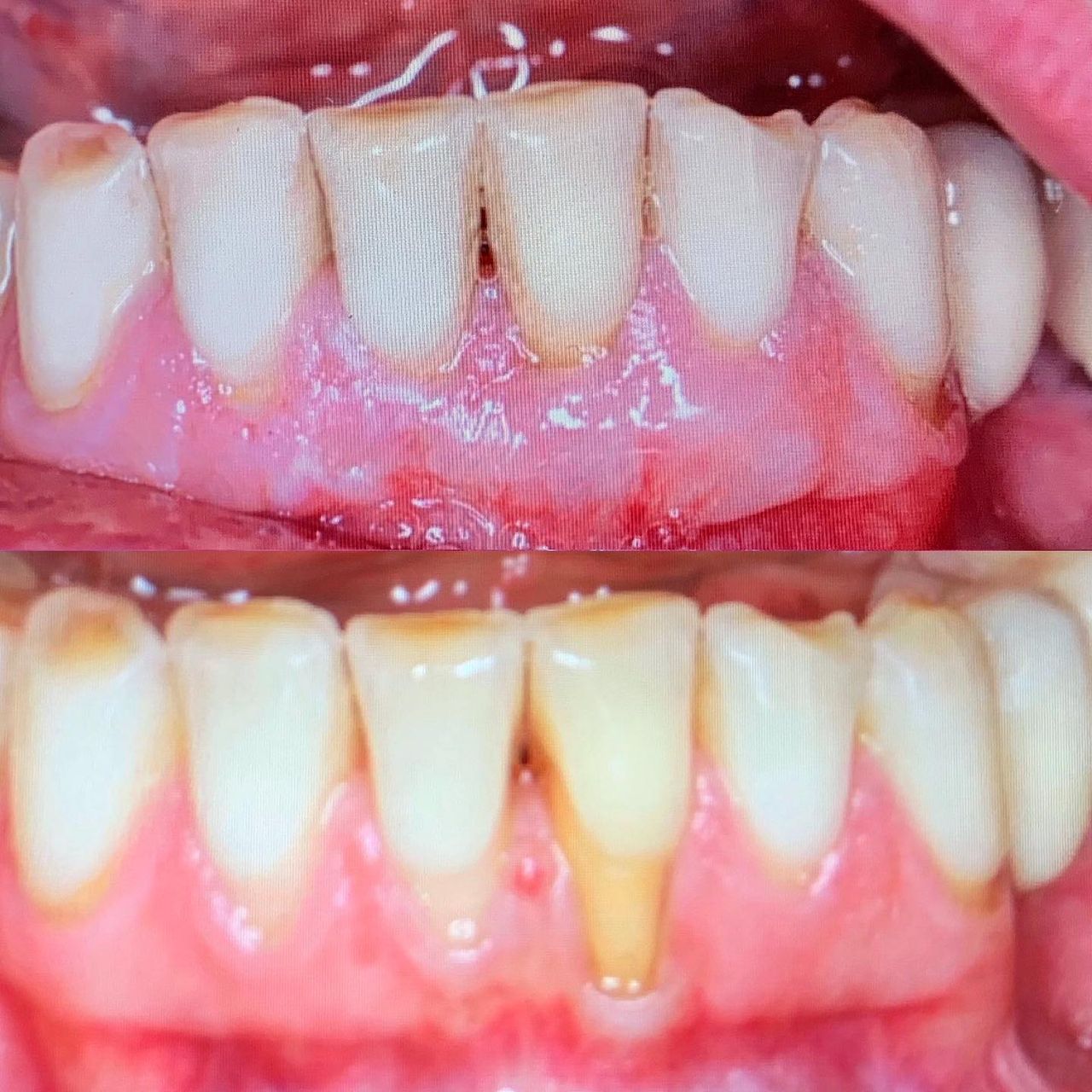
MIKROCHIRURGIA-CHIRURGIA PLASTYCZNA DZIĄSEŁ
POKRYWANIE RECESJI DZIĄSŁOWYCH
NEOARCH/ PROARCH
Specjalizuje się w chirurgii stomatologicznej, implantologii, periodontologii oraz protetyce. W klinice przeprowadzam zabiegi chirurgiczno – implantologiczne oraz skomplikowne rekonstrukcje kości wyrostków zębodołowych w sedacji.
W 2003 roku ukończyłam wydział stomatologii na Warszawskim Uniwersytecie Medycznym. Staże i praktyki odbyłam w klinice DRRUSS w Toronto w Kanadzie.
Posiadam wieloletnie doświadczenie w implantologii, chirurgii stomatologicznej i periodontologii . Z Centrum Stomatologicznym Eurodental?Grupa Luxmed związana jestem od 2004 r, gdzie od początku praktyki specjalizowałam się w minimalnie inwazyjnych technikach operacyjnych, mikrochirurgii i pracy w powiększeniu.
Stale podnoszę swoje kwalifikacje biorąc udział w międzynarodowych konferencjach i szkoleniach na całym świecie, ucząc się od największych autorytetów w tej dziedzinie jak Marcus Huerzeler, Jonas Wachtel czy Giovanni Zucchelli.
Jest międzynarodowym wykładowcą w dziedzinie implantologii i nauczycielem akademickim w Zakładzie Periodontologii i Chorób Przyzębia na Uniwersytecie Medycznym w Lublinie
Specjalizuje się w implantologii natychmiastowej. W 2018 rozpoczęłam studia doktoranckie na Uniwersytecie w Luxemburgu w dziedzinie cyfrowych technik w Implantologii I Periodontologii. Studia zakończyłam z wyróżnieniem, obroną pracy na temat koncepcji odbudowy braków zębowych w technice ALL ON 4
Jestem członkiem prestiżowych organizacji International Team for Implantology ITI oraz Women in Implantology WIN
Biegle mówię w języku angielskim.
Serdecznie zapraszam do kontaktu !
Zakres porad
- Periodontologia
Główne obszary pomocy
- Braki zębowe
- Choroby przyzębia
- Choroby dziąseł
- Paradontoza
- Zęby zatrzymane
Pacjenci których przyjmuję
Rodzaje konsultacji
Zdjęcia i filmy
Usługi i ceny
-
Konsultacja stomatologiczna
-
-
Konsultacja chirurga stomatologicznego
Od 150 zł -
Adres
Nowowiejska 37, Ochota, 02-010 Warszawa
Dostępność
Typy przyjmowanych pacjentów
- Pacjenci prywatni (bez ubezpieczenia)
Opinie
16 opinii
Sprawdzamy wszystkie opinie. Moderujemy je zgodnie z naszymi zasadami, dowiedz się więcej o opiniach i sposobie obliczania gwiazdek na Dowiedz się więcej Dowiedz się więcej o opiniach
-
M
Magda
Pani Doktor reprezentuje najwyższe standardy- jako człowiek i jako profesjonalistka w swojej dziedzinie. Nie sądziłam, że są tacy lekarze. Anioł w ciele człowieka. Dostałam od Pani doktor nie tylko ekspercki poziom usługi stomatologicznej, ale też empatie i zrozumienie dla stresującej dla mnie sytuacji. Pani Doktor wszystko mi wytłumaczyła, odpowiedziała na każdą moją wątpliwość a potem przeprowadziła zabieg z najwieksza starannością. Nie mogłam trafić lepiej. Najwyższy poziom, najwyższa klasa. Dziękuję.• Centrum Medyczne LUX MED Stomatologia Warszawa - Nowowiejska 37 • Inny •
-
KT
Pani doktor jest bardzo ciepłą osobą. Cierpliwie odpowiadała na moje pytania oraz nakreśliła plan dalszego leczenia. Podczas wizyty dał się odczuć pełen profesjonalizm Pani doktor. Gabinet opuściłam dużo spokojniejsza, z nadzieją na dalsze, udane leczenie.
• Centrum Medyczne LUX MED Stomatologia Warszawa - Nowowiejska 37 • konsultacja implantologiczna •
-
P
Pacjent
Wizyta trwała 3 minuty, oczekiwałam wnikliwego obejrzenia problemu w jamie ustnej, konkretnych informacji co z czego wynika i co dokładnie robić, żeby zapobiec problemom, usłyszałam, że teraz jest wszystko ok i w zasadzie to wszystko, nie było żadnej analizy problemu i wskazówek do dalszego postępowania. Koszt wizyty za usłyszenie zdania wszystko ok, to 199 zł . Do Stomatologów - Periodontologów chodzę regularnie od paru lat, pierwszy raz spotkałam się z takim brakiem zainteresowania pacjentem i chęcią jak najszybszego zakończenia wizyty.
• Centrum Medyczne EURODENTAL– Warszawa, ul. Nowowiejska 37 • Konsultacja periodontologiczna •
lek. dent. Olga Petruszka
W sytuacji gdy higiena u pacjenta jest na poziomie uniemożliwiającym pełne i miarodajne badanie periodontologiczne, jest on w pierwszej kolejności kierowany na wizytę higienizacyjną do higienistki. Taka sytuacja była w Pani przypadku. Higienistka po usunięciu złogów i kamienia wytłumaczy w jaki sposób czyścić zęby i jak korzystać z nici, szczoteczek międzyzębowych i wyciorkow. W następnej kolejności, gdy pacjent już umie utrzymać higienę, mozemy przejść do właściwego leczenia przyzębia. Pozdrawiam i życzę wytrwałości!
-
W.K.
Tak powinna wyglądać każda wizyta u specjalisty! Bardzo polecam.
• Centrum Medyczne EURODENTAL– Warszawa, ul. Nowowiejska 37 • konsultacja implantologiczna •
-
A .M
Bardzo kompetentna lekarz rzeczowe omówienie problemu i ustalenie kosztorysu leczenia
• Centrum Medyczne EURODENTAL– Warszawa, ul. Nowowiejska 37 • konsultacja protetyczna •
-
P
P.W.
Konsultacja u Pani Doktor była prawdziwą przyjemnością. Dziękuję Pani Doktor, za profesjonalne i empatyczne podejście do pacjenta.
• Centrum Medyczne EURODENTAL– Warszawa, ul. Nowowiejska 37 • konsultacja protetyczna •
-
K
K.M.
Najlepszy stomatolog który mnie leczył. Doktor w pełni godna zaufania, leczenie przebiegło bez problemów ani komplikacji.
• Centrum Medyczne EURODENTAL– Warszawa, ul. Nowowiejska 37 • konsultacja implantologiczna •
-
M
Marcin S.
Po raz kolejny korzystałem z usługi Pani Doktor i po raz kolejny się nie zawiodłem.
Pani Doktor jest ponadprzeciętnym lekarzem ,ktory potrafi wysłuchać omówić dany problem, pomóc.
Jeszcze raz serdecznie dziękuję za okazały spokój i bardzo fachowe wykonanie uslugi.
Pozdrawiam Marcin S.• Centrum Medyczne EURODENTAL– Warszawa, ul. Nowowiejska 37 • konsultacja implantologiczna •
-
K
Kuba
Bardzo profesjonalne podejście. Bardzo rzeczowa pani doktor która zna się na swojej profesji. Polecam każdemu.
• Centrum Medyczne EURODENTAL– Warszawa, ul. Nowowiejska 37 • konsultacja chirurga szczękowego •
lek. dent. Olga Petruszka
Panie Jakubie bardzo dziękuję za tak miłe słowa. Pozdrawiam i do zobaczenia! :-)
-
M
Marcin S.
Pani Olga Petruszka jest naprawdę bardzo dobrym specjalistą w swojej dziedzinie miałem wstawiane 2 szt. implantów wszystko w jak najlepszym porządku, bardzo miła i kontaktowa zawsze chętna do pomocy.
polecam.• Centrum Medyczne EURODENTAL– Warszawa, ul. Nowowiejska 37 • konsultacja implantologiczna •
lek. dent. Olga Petruszka
Panie Marcinie, leczenie pacjentów takich jak Pan to czysta przyjemność. Dziękuję za słowa uznania i do zobaczenia!
Odpowiedzi na pytania
4 odpowiedzi udzielonych przez lekarza na pytania pacjentów na ZnanyLekarz.pl
4 dni temu miałam usuwana ósemke dolna. Trudna ekstrakcja, godzinę szarpanina i nacisku na zuchwe, kilka szwów . Nie dostałam antybiotyku od razu tylko dopiero dziś po 4 dniach . Stan zapalny jest już ogromnych rozmiarów zaatakowane są węzły chłonne pod żuchwa, za uszami, opuchnieta jest krtan i cała szyja, widać wyraźny obrzęk od szczęki po klatkę piersiowa. nie mogę przełknąć śliny, nie jem nic od 4 dni. Czy przemieszxzajacy się w dół obrzęk jest niebezpieczny? Czy powinnam jechać na pogotowie? Czy czekać na działanie antybiotyku?
Narastający obrzęk i naciekanie w kierunku klatki piersiowej jest wskazaniem do interwencji więcej niż ambulatoryjnej. Proszę zgłosić się do szpitala z oddziałem chirurgii twarzowo-szczękowej.
Witam myślałam że boli mnie staw żuchwy nie mogłam jesc mówić pulsowało do ucha . Tabletki lekko łagodziły. Pomyślałam że włoże sobie wacik nasaczony amolem . Włożyłam piekło trzymałam 3 minutki po wyciągnięciu na waciku byla ropa to jednak 8 tak bolala i byla przy niej ropa . Ale nie o to chodzi moje poliko od środka zrobiło się pomarszczone białe jestem przerażona. Czy tak juz zostanie? płukam azulanem i smaruje dezaftanem .
Dzień dobry, wszystko wskazuje na zaburzone wyrzynanie zęba trzeciego trzonowego czyli zwyczajowo "ósemki".Zazwyczaj jedyną możliwością leczenia jest jej chirurgiczne usunięcie. Zmiany na błonie śluzowej policzka są wynikiem przedlużonego kontaktu z wysoskoprocentowym roztworem alkoholu jakim jest Amol. Niestety poza tym że samo przykładanie wacika nasączonego Amolem bardzo drażni śluzówkę jest też nieskuteczne. Proszę się nie niepokoić, podrażnienie samo ustąpi ;-) a z samym zębem proszę sie udać nakonsultacje chirurgiczną w celu usunięcia. Pozdrawiam.
Wszystkie treści, w szczególności pytania i odpowiedzi, dotyczące tematyki medycznej mają charakter informacyjny i w żadnym wypadku nie mogą zastąpić diagnozy medycznej.
Najczęściej zadawane pytania
-
Jaki jest zakres porad oferowanych przez Olga Petruszka?Olga Petruszka to stomatolog, chirurg, protetyk stomatologiczny. Na podstawie swojego doświadczenia i wykształcenia Olga Petruszka oferuje usługi takie jak: Konsultacja stomatologiczna, konsultacja chirurga stomatologicznego.
-
Gdzie Olga Petruszka ma swój gabinet?Olga Petruszka przyjmuje pod adresem:
- Nowowiejska 37 Warszawa
-
Czy Olga Petruszka przyjmuje online, bez konieczności pojawiania się w placówce?Nie, w tym momencie Olga Petruszka nie oferuje konsultacji online.
-
Jak Olga Petruszka akceptuje płatności po wizycie?Metody płatności, które akceptuje Olga Petruszka to: Gotówka, Karta płatnicza, Blik.
-
W jakich językach konsultuje Olga Petruszka?Języki, których używa Olga Petruszka to polski, angielski.
-
Jak Olga Petruszka umawia wizyty?Olga Petruszka używa kalendarza ZnanyLekarz, dlatego na stronie widzisz aktualne terminy. Wystarczy, że wybierzesz datę i godzinę, które odpowiadają Ci najbardziej. Umawianie wizyty jest darmowe, a tuż przed terminem wyślemy Ci przypomnienie.
-
W jakich godzinach przyjmuje Olga Petruszka?Obecnie Olga Petruszka nie ma żadnych dostępnych terminów w najbliższych tygodniach. Skontaktuj się bezpośrednio, jeśli chcesz zapytać o listę rezerwową lub umówić wizytę w późniejszym terminie.
-
Olga Petruszka: co mówią pacjenci?16 osób dodało swoją opinię. Olga Petruszka ma średnią ocen 4.5 (na 5 gwiazdek).
-
Jakie ubezpieczenia akceptuje Olga Petruszka?Olga Petruszka nie przyjmuje w ramach ubezpieczenia, tylko w ramach płatnych wizyt prywatnych. W razie wątpliwości zalecamy kontakt ze specjalistą.