Moje doświadczenie
Zajmuję się dysfunkcją stawów skroniowo-żuchwowych. Przygotowuję ortodontycznie pacjentów do leczenia protetycznego.
Zakres porad
- Ortodoncja
Pacjenci których przyjmuję
Rodzaje konsultacji
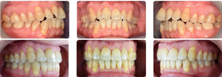
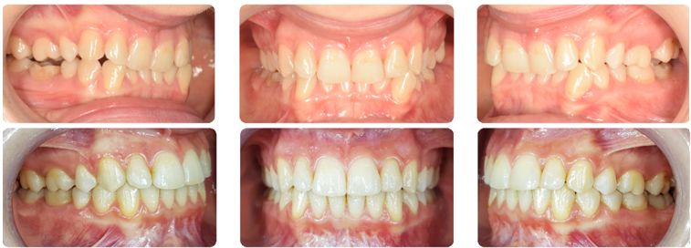
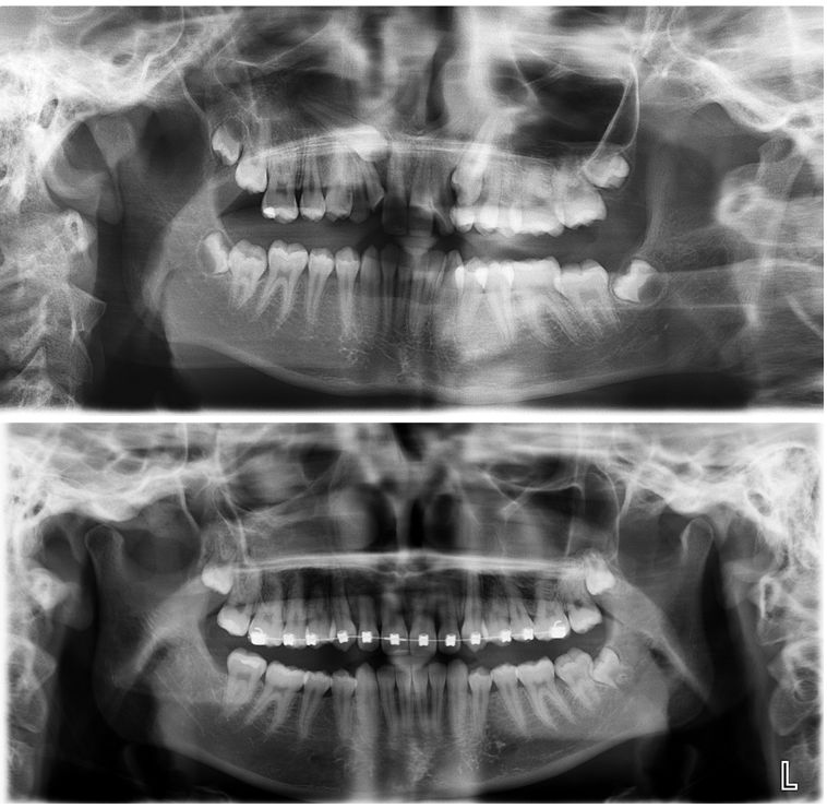
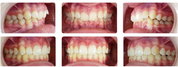
Zdjęcia i filmy
Adresy (4)
Aleja Komisji Edukacji Narodowej 19/99, wejście od ul. płk. Zoltana Balo, Ursynów, 02-797 Warszawa
Dostępność
Telefon
Dlaczego prosimy Cię o wyrażenie zgody na przetwarzanie danych?
Wyrażenie zgody jest niezbędne do umówienia wizyty z wykorzystaniem telerejestracji. Wymagają tego przepisy Ogólnego Rozporządzenie o Ochronie Danych Osobowych - tzw. RODO. Informujemy, że zgoda jest dobrowolna, jednak jej brak uniemożliwi umówienie wizyty. Informujemy rówież, że zgoda może zostać w każdym momencie zostać wycofana. W tym celu wystarczy się skontaktować z nami przez formularz
Kiedy dojdzie do przetwarzania moich danych osobowych?
Do przetwarzania Twoich danych osobowych dojdzie podczas rozmowy telefonicznej z naszym centrum telerejestracji, ale jednak wyłącznie w sytuacji gdy tej rozmowy podasz nam swoje dane osobowe. Przetwarzanie danych osobowych dokonywane jest w celu umówienia wizyty i przekazania danych osobowych wybranemu Profesjonaliście.
Czy moje dane osobowe zostaną przekazane Profesjonaliście do którego chce się umówić na wizytę?
Tak. Udostępnimy wybranemu przez Ciebie Profesjonaliście informacje i dane osobowe które nam przekazałeś podczas rozmowy telefonicznej oraz przekażemy te informacje Profesjonaliście. Dzięki temu Profesjonalista będzie mógł przygotować się na Twoją wizytę.
Kto jest administratorem moich danych osobowych?
Administratorem danych osobowych jest ZnanyLekarz sp. z o.o. z siedzibą w Warszawie przy ul. Kolejowej 5/7. Informujemy, że po przekazaniu przez nas Twoich danych osobowych wybranemu przez Ciebie Profesjonaliście, staje się on również administratorem Twoich danych osobowych i przetwarza je w celach związanych ze świadczeniem usług medycznych lub innych podobnych.
Gdzie mogę uzyskać więcej informacji o moich prawach związanych z przetwarzaniem danych osobowych?
Więcej informacji o przetwarzaniu Twoich danych osobowychTypy przyjmowanych pacjentów
- Pacjenci prywatni (bez ubezpieczenia)
Św. Bonifacego 92, Mokotów, 02-940 Warszawa
Dostępność
W tym gabinecie nie można umawiać wizyt przez internet
Typy przyjmowanych pacjentów
- Pacjenci prywatni (bez ubezpieczenia)
Izbicka 9, 04-838 Warszawa
Dostępność
W tym gabinecie nie można umawiać wizyt przez internet
Typy przyjmowanych pacjentów
- Pacjenci prywatni (bez ubezpieczenia)
Środkowa 17, 05-510 Konstancin-Jeziorna
Dostępność
W tym gabinecie nie można umawiać wizyt przez internet
Typy przyjmowanych pacjentów
- Pacjenci prywatni (bez ubezpieczenia)
Usługi i ceny
-
Konsultacja ortodontyczna
Od 300 zł -
-
Konsultacja - staw skroniowo-żuchwowy
350 zł -
-
Kontrola aparatu stałego
Od 280 zł -
-
Leczenie nakładkowe
-
-
Konsultacja stomatologiczna
-
Opinie
19 opinii
Sprawdzamy wszystkie opinie. Specjaliści nie mogą płacić za modyfikowanie lub usuwanie opinii. Dowiedz się więcej Dowiedz się więcej o opiniach
-
P
Patrycja
Profesjonalnie, rzetelnie i w sposób zrozumiały zostało mi przedstawione leczenie.
• Dental Room • konsultacja ortodontyczna •
lek. dent. Monika Kopeć
Dziękuję
-
LP
Wizyta ortodontyczna przebiegła bardzo pozytywnie. Pani doktor szczegółowo oceniła sytuację i zaproponowała najlepsze rozwiązanie dla pacjentki. Jest osobą bardzo doświadczoną, co daje duże poczucie bezpieczeństwa. Cała wizyta była przyjemna i profesjonalna.
• Dental Room • konsultacja ortodontyczna •
lek. dent. Monika Kopeć
Cieszę się, że mogłam pomóc.
-
W
WW
Bardzo dobry ortodonta.Polecam Panią Doktor Monikę Kopeć.
• Dental Room • kontrola aparatu stałego •
lek. dent. Monika Kopeć
Bardzo dziękuję!
-
M
Mateusz
Z całego serca polecam, Pani Doktor sprawnie wykryła usterki mojego zgryzu i przedstawiła wszystkie możliwości ich rozwiązania. Całe leczenie przebiegło bez zarzutów. Widać doświadczenie i profesjonalizm
• Dental Room • leczenie nakładkowe •
lek. dent. Monika Kopeć
Bardzo dziękuję. Cieszę się, że mogłam pomóc.
-
Wiktoria S.
Profesjonalne podejście. Przyszłam do p. Moniki w celu założenia aparatu. Po przeprowadzonym ze mną wywiadzie p. Monika zasugerowała, że moje problemy z uporczywymi bólami głowy mogą być spowodowane napięciami żuchwy. Dostałam skierowanie również do poradnii fizjoterapeutycznej. Po paru sesjach udało mi się pozbyć dolegliwości, ból głowy minął. Naprawdę polecam p. Doktor, trafnie ocenia dolegliwości i proponuje skuteczne rozwiązania.
• Dental Room • konsultacja ortodontyczna •
lek. dent. Monika Kopeć
Bardzo się cieszę, że mogłam pomóc. Nie udałoby się tego wszystkiego osiągnąć bez stosowania się przez Panią do zaleceń i dyscypliny w trakcie szynoterapii!
-
P
Pacjent
Nie podjęłam jeszcze leczenia, dziś wizyta po plan leczenia, od początku zaopiekowana się czułam, rzeczowe wyjasnienia, naświetlenie problemu, rozwiązań etc. Mam nadzieję, na dalszą super współpracę w zakresie aparatu i opieki podczas i po:)
• Dental Room • konsultacja ortodontyczna •
lek. dent. Monika Kopeć
Dziękuję bardzo:)
-
A
Agnieszka
Pani Doktor leczyła ortodontycznie dwójkę moich dzieci. Zawsze dostawałem wyczerpujące informacje, najpierw na temat planowanego leczenia, a później jego postępów. Pani Doktor jest zawsze profesjonalna, spokojna i cierpliwa. Godny polecenia specjalista!
• Centrum Ortodontyczno-Implantologiczne Astermed • Inny •
lek. dent. Monika Kopeć
Dziękuję:)
-
A
Adrianna
Super podejście do pacjenta, na wszystkie pytania Pani Monika zawsze odpowiada, efekty również świetne, bardzo polecam
• Centrum Ortodontyczno-Implantologiczne Astermed • Inny •
lek. dent. Monika Kopeć
Bardzo dziękuję
-
M
Monika
Moja 16 letnia córka jest pod opieką ortodontyczną pani doktor od 7 mcy. Plan leczenia nakładkami invisalign został na początku b. dokładnie wyjaśniony. Na każdej wizycie możemy dokładnie śledzić postępy leczenia, które są nadzwyczajne. Nie spodziewałyśmy się tak szybkiej poprawy. Efekty mamy prezentowane na bieżące w formie wizualizacji 3D. Pełen profesjonalizm i miła atmosfera. Dodam, że ja również byłam pacjentką pani doktor, ale dawno (w 1997r), kiedy dopiero rozpoczynała swoją drogę zawodową. Cieszę się, że spotkałyśmy się po 26 latach.
• Dental Room • leczenie nakładkowe •
lek. dent. Monika Kopeć
Bardzo dziękuję:)
-
K
Karolina
leczenie aparatem invisalign, na pierwszej wizycie zostało dokładnie wszystko objaśnione, leczenie sprawne, efekt 100 % satysfakcjonujący, profesjonalne podejście, zdecydowanie POLECAM
• Centrum Ortodontyczno-Implantologiczne Astermed • Inny •
lek. dent. Monika Kopeć
Bardzo dziękuję!
Najczęściej zadawane pytania
-
Jaki jest zakres porad oferowanych przez Monika Kopeć?Monika Kopeć to stomatolog, ortodonta. Na podstawie swojego doświadczenia i wykształcenia Monika Kopeć oferuje usługi takie jak: Konsultacja stomatologiczna, konsultacja ortodontyczna, kontrola aparatu stałego, leczenie nakładkowe, Konsultacja - staw skroniowo-żuchwowy.
-
Gdzie Monika Kopeć ma swój gabinet?Monika Kopeć przyjmuje pod adresem:
- Św. Bonifacego 92 Warszawa
- Izbicka 9 Warszawa
- Środkowa 17 Konstancin-Jeziorna
- Aleja Komisji Edukacji Narodowej 19/99, wejście od ul. płk. Zoltana Balo Warszawa
-
Czy Monika Kopeć przyjmuje online, bez konieczności pojawiania się w placówce?Nie, w tym momencie Monika Kopeć nie oferuje konsultacji online.
-
Jak Monika Kopeć akceptuje płatności po wizycie?Metody płatności, które akceptuje Monika Kopeć to: Gotówka, Karta płatnicza, Blik, Płatność ratalna.
-
W jakich językach konsultuje Monika Kopeć?Języki, których używa Monika Kopeć to angielski.
-
Jak Monika Kopeć umawia wizyty?Monika Kopeć używa kalendarza ZnanyLekarz, dlatego na stronie widzisz aktualne terminy. Wystarczy, że wybierzesz datę i godzinę, które odpowiadają Ci najbardziej. Umawianie wizyty jest darmowe, a tuż przed terminem wyślemy Ci przypomnienie.
-
W jakich godzinach przyjmuje Monika Kopeć?Monika Kopeć może mieć dostępne terminy w tym lub w nadchodzącym tygodniu. Terminy, które widzisz w kalendarzu są dostępne, ponieważ aktualizujemy go na bieżąco. Jeśli pierwszy dostępny termin Ci nie odpowiada, sprawdź następny. Rezerwacja terminu jest natychmiastowa, bez dodatkowych opłat.
-
Monika Kopeć: co mówią pacjenci?19 osób dodało swoją opinię. Monika Kopeć ma średnią ocen 5 (na 5 gwiazdek).
-
Jakie ubezpieczenia akceptuje Monika Kopeć?Monika Kopeć nie przyjmuje w ramach ubezpieczenia, tylko w ramach płatnych wizyt prywatnych. W razie wątpliwości zalecamy kontakt ze specjalistą.