Przewidywany czas odpowiedzi:

Moje doświadczenie

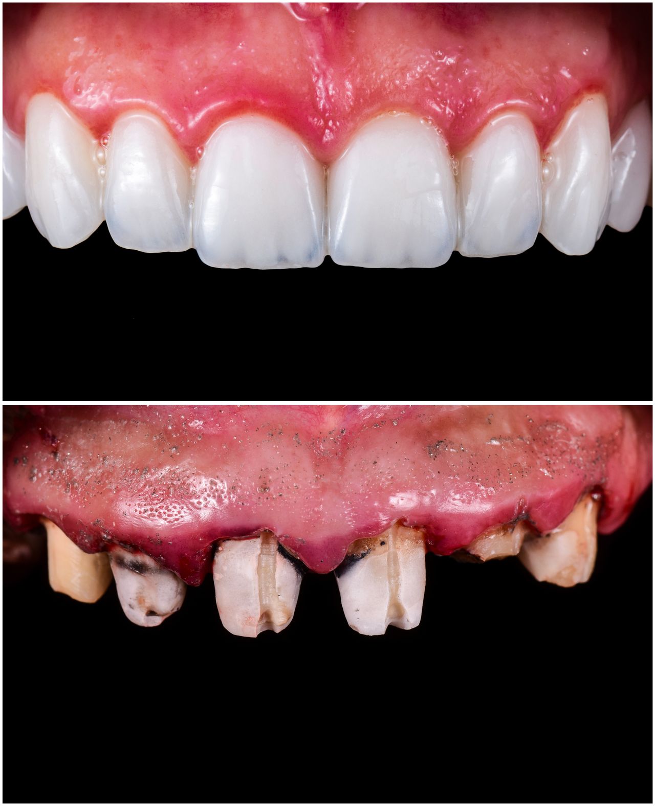
Piękno to coś więcej niż długie nogi, ponętne usta czy młody wygląd. Możemy próbować je zdefiniować, ale ostatecznie liczy się to „coś”, co nie do końca da się uchwycić. Nawet jeśli nie wszystko w nas jest dokładnie takie, jak byśmy tego chcieli, najważniejsze to akceptować siebie w całości. Poczucie pewności siebie, świadomość własnych atutów i uśmiech na co dzień – tyle wystarczy, by oczarować innych. A jeśli chcemy coś zmienić lub poprawić, pomóc może wizyta w Gabinecie Medycyny Estetycznej i Ortodoncji. Wygładzenie zmarszczek, podkreślenie ust, ujędrnienie skóry, wyprostowanie zębw - mimo upływu czasu każdy z nas zasługuje, by wyglądać pięknie i zdrowo. Lekarz medycyny estetycznej powinien skupić się przede wszystkim na podtrzymywaniu młodości skóry, nadawaniu rysom harmonijności czy też wydobywaniu pewnych indywidualnych cech urody a nie na drastycznych zmianach wyglądu pacjenta. Nie warto bezkrytycznie ulegać sezonowym trendom, choć obecnie panująca w medycynie estetycznej MODA NA NATURALNOŚĆ jest godna polecenia. Beata Gibas-Wiszniewska – dyplomowany lekarz medycyny estetycznej, lekarz dentysta, mgr kosmetologii - zajmuję się ortodoncją i estetyką twarzy. Swoją działalność prowadzę od ponad 15 lat. UKOŃCZY ŁAM studia na Wydziale Lekarsko-Dentystycznym w Pomorskiej Akademii Medycznej w Szczecinie. UKOŃCZYŁAM studia magisterskie na Wydziale Nauk o Zdrowiu o Kierunku Kosmetologia w Pomorskiej Akademii Medycznej w Szczecinie. UKOŃCZYŁAM studia podyplomowe z Medycyny Estetycznej w Warszawskim Uniwersytecie Medycznym. JESTEM W TRAKCIE 3-letnich studiów specjalizacyjnych z ortodoncji Master of Sience i Orthodontics w Donau University Krems. UKOŃCZYŁAM roczny cykl kursów Orthodontic Seminars of California prowadzonych przez dr Larego Browna. Jestem członkiem: Polskiego Towarzystwa Medycyny Estetycznej i Antiaging (PTMEiAA) World Society of Antiaging Medicine WOSAAM Polskiego Towarzystwa Ortodontycznego (PTO) European Orthodontic Society (EOS). Pasjonuję się ortodoncją i nowoczesną medycyną regeneracyjną, dlatego z wielką energią i zaangażowaniem nieustannie zgłębiam te dziedziny wiedzy na licznych kursach, kongresach i szkoleniach praktycznych – łącznie UKOŃCZYŁAM ich ponad 200. Ciągle poszerzam swoją wiedzę czerpiąc ze światowych standardów. Wdrażam innowacyjne terapie stosowane na świecie. Dążę do ciągłego samodoskonalenia. Śledzę nowości i trendy światowe by stały się dostępne dla moich Pacjentów. Zależy mi na holistycznym podejściu do całej twarzy Pacjenta dlatego wybrałam te trzy dziedziny nauki, które tak doskonale się uzupełniają, dzięki temu mogę kompleksowo zadbać o moich Pacjentów. W celu uzyskania idealnej estetyki rysów twarzy i prawidłowego zgryzu łączę nowoczesne terapie medycyny estetycznej i unikalne umiejętności ortodontyczne. Jestem zwolennikiem medycyny estetycznej opartej na założeniu, że poprawianie urody powinno wynikać ze stymulowania organizmu do naturalnej regeneracji. W swoim podejściu naukowym hołduje idei medycyny opartej na dowodach naukowych (EBM). Chętnie dzielę się swoją wiedzą i doświadczeniem z lekarzami z zakresu medycyny estetycznej, regeneracyjnej i przeciwstarzeniowej, prowadząc szkolenia i warsztaty. W codziennej praktyce przykładam wagę do wysokiej jakości wykonywanych usług oraz dbam o komfort i satysfakcję Pacjenta. Dla moich Pacjentów przygotowuję indywidualne terapie by efekty były długotrwałe i spektakularne, skrojone na miarę a nie według schematu. Bezpieczeństwo Pacjenta jest dla mnie najważniejsze, dlatego stosuję tylko sprawdzone, certyfikowane sprzęty i produkty najwyższej klasy. Szeroko pojęta medycyna estetyczna, kosmetologia i ortodoncja naturalnie się przenikają i uzupełniają przybierając wyjątkowy wymiar, dzięki czemu moi Pacjenci zyskują wspaniałą urodę i idealne samopoczucie. Wiem co zrobić byś uśmiechał/a się częściej – na tym zależy nam najbardziej! Dołącz do moich szczęśliwych pacjentów, którzy uśmiechają się do życia.

więcej O mnie

Zakres porad

  • Medycyna estetyczna
  • Ortodoncja
  • Stomatologia ogólna

Pacjenci których przyjmuję

Dorośli

Rodzaje konsultacji

Zdjęcia i filmy

Logo
lek. dent. Beata Gibas Wiszniewska

Powstańców Wielkopolskich 81A/U5, 70-110 Szczecin

ZABIEGI MEDYCYNY ESTEYYCZNEJ NIE SĄ BEZPIECZNE!

Czy wiesz, że zbyt częste lub nieodpowiednio dobrane zabiegi mogą powodować przewlekły stan zapalny, który może rozprzestrzeniać się na inne narządy?

NAZYWAM SIĘ BEATA GIBAS-WISZNIEWSKA I JESTEM DYPLOMOWANYM LEKARZEM MEDYCYNY ESTEYCZNEJ, STOMATOLOGIEM KOSMETOLOGIEM I ANALITYKIEM MEDYCZNYM.

Skóra jest bezmyślnie poddawana procedurom często zbędnym a nawet szkodliwym.

W naszym organizmie wszystkie procesy przebiegają w ścisłym powiązaniu ze sobą. Dlatego to, co dzieje się w skórze, ma związek z pozostałymi narządami ciała.
Kluczowe znaczenie ma badanie lekarskie i dobrze dobrany plan zabiegowy.

Uroda i lepszy wygląd – tak! Ale nie za wszelką cenę.
Skóra to nie worek treningowy, który wytrzyma wszystko co mu się w imię urody zafunduje.

Niektórzy lekarze, skupiają się na technice zabiegu i nie analizują możliwych skutków długofalowych. Stale utrzymujący się trend to: brak jakiegokolwiek planu terapii, przesadna ilość podawanych preparatów oraz nadmierna częstotliwość ingerencji w skórę, a co najgorsze BRAK OCENY OGÓLNEGO STANU ZDROWIA PACJENTA.

Wybierając specjalistę upewnij się czy będziesz miał pełną opiekę i wsparcie przed i po każdym zabiegu.

04/12/2023

Usługi i ceny

  • Konsultacja z zakresu medycyny estetycznej

    200 zł

  • Piaskowanie

    350 zł

  • Lifting twarzy

    1 000 zł

  • Liposukcja brzucha

    650 zł

  • Liposukcja podbródka

    550 zł

Adresy (2)

Powiększ mapę otwiera się w nowej karcie
DR WISZNIEWSKA - MEDYCYNA ESTETYCZNA I ORTODONCJA

Powstańców Wielkopolskich 81A/U5, 70-110 Szczecin

Dostępność

Płatność online

Akceptowana

Typy przyjmowanych pacjentów

  • Pacjenci prywatni (bez ubezpieczenia)
Powiększ mapę otwiera się w nowej karcie
Powiększ mapę otwiera się w nowej karcie
Harmonia Dent

aleja Wyścigowa 4, lok.B-U4, Mokotów, 02-681 Warszawa

Dostępność

Płatność online

Akceptowana

Typy przyjmowanych pacjentów

  • Pacjenci prywatni (bez ubezpieczenia)
Powiększ mapę otwiera się w nowej karcie

9 opinii

Najczęściej wymieniane przez pacjentów

  • Zaangażowanie lekarza
  • Szczegółowe wyjaśnienia
  • Przyjazny gabinet

Sprawdzamy wszystkie opinie. Moderujemy je zgodnie z naszymi zasadami, dowiedz się więcej o opiniach i sposobie obliczania gwiazdek na Dowiedz się więcej Dowiedz się więcej o opiniach

  • K

    Zabieg usunięcia włókniaka z powieki przebiegł bardzo sprawnie, gorąco polecam panią Wiszniewską

    • Zaangażowanie lekarza
    • Szczegółowe wyjaśnienia
    • Przyjazny gabinet
     • DR WISZNIEWSKA - MEDYCYNA ESTETYCZNA I ORTODONCJA usuwanie włókniaków  • 

  • W

    Pani Beata pomogła mi, gdy nie spodziewałem się, że ktoś się tego podejmie. Bardzo dobre podejście do pacjenta.

    • Zaangażowanie lekarza
    • Szczegółowe wyjaśnienia
    • Przyjazny gabinet
    • Punktualność
     • DR WISZNIEWSKA - MEDYCYNA ESTETYCZNA I ORTODONCJA usuwanie kamienia nazębnego  • 

  • H

    Jestem bardzo zadowolona z wizyty. Pani Beata bardzo szczegółowo wyjaśniła jaką mam wadę oraz przedstawiła krok po kroku jak przebiega leczenie wraz z kosztami. Widać, że lekarka posiada dużą wiedzę w swojej profesji.

    • Zaangażowanie lekarza
    • Szczegółowe wyjaśnienia
    • Punktualność
     • DR WISZNIEWSKA - MEDYCYNA ESTETYCZNA I ORTODONCJA konsultacja ortodontyczna  • 

  • I

    Adres dla wymagających :)
    Profesjonalne podejście pani doktor, kompleksowe omówienie i wyjaśnienie zabiegu, troskliwa opieka w trakcie. Przyjazne miejsce, sterylna czystość, nowoczesny zadbany sprzęt. Wszystko godne polecenia i rekomendacji

    • Zaangażowanie lekarza
    • Szczegółowe wyjaśnienia
    • Skuteczność leczenia
    • Przyjazny gabinet
    • Punktualność
     • DR WISZNIEWSKA - MEDYCYNA ESTETYCZNA I ORTODONCJA Inny  • 

  • J

    Polecam serdecznie. Wszystko było bardzo szczegółowo wyjaśnione, zostałam dokładnie przepytana przed diagnozą oraz zostały mi opisane następne kroki leczenia. Pani jest naprawdę sympatyczną osobą i napewno zna się na tym co robi

    • Zaangażowanie lekarza
    • Szczegółowe wyjaśnienia
    • Przyjazny gabinet
    • Punktualność
     • DR WISZNIEWSKA MEDYCYNA ESTETYCZNA I ORTODONCJA konsultacja ortodontyczna  • 

  • M

    Jestem ogromnie zadowolona z efektów leczenia w gabinecie.
    Pani Beata to serdeczna, ciepła i pełna empatii osoba, bardzo profesjonalne podejście do pacjenta. Plan leczenia jest realny, bez zbędnego wydłużania czasu leczenia i obdzierania pacjenta z pieniędzy.
    Profesjonalny i nowoczesny sprzęt, świetnie dobrane leczenie, zwracanie uwagi na szczegóły i estetykę.

    Polecam wszystkim, którzy maja jakiekolwiek wątpliwości co do wyboru ortodonty.

    • Zaangażowanie lekarza
    • Szczegółowe wyjaśnienia
    • Skuteczność leczenia
    • Przyjazny gabinet
    • Punktualność
     • DR WISZNIEWSKA MEDYCYNA ESTETYCZNA I ORTODONCJA konsultacja ortodontyczna  • 

  • M

    Bardzo duże zaangażowanie lekarza, nowoczesne wyposażenie gabinetu, profesjonalne podejście, polecam serdecznie.

    • Zaangażowanie lekarza
    • Szczegółowe wyjaśnienia
    • Skuteczność leczenia
    • Przyjazny gabinet
    • Punktualność
     • DR WISZNIEWSKA MEDYCYNA ESTETYCZNA I ORTODONCJA  • 

  • M

    Wszystko profesjonalne i zgodnie ze sztuką. Polecam

    • Zaangażowanie lekarza
    • Szczegółowe wyjaśnienia
    • Przyjazny gabinet
     • DR WISZNIEWSKA - MEDYCYNA ESTETYCZNA I ORTODONCJA Inny  • 

  • N

    Pełen profesjonalizm. Lekarz z powołania. Szczegółowo wytłumaczony przebieg zabiegu, zabieg idealnie dopasowany do potrzeb pacjenta. Z czystym sumieniem polecam.

    • Zaangażowanie lekarza
    • Szczegółowe wyjaśnienia
    • Skuteczność leczenia
    • Przyjazny gabinet
    • Punktualność
     • DR WISZNIEWSKA - MEDYCYNA ESTETYCZNA I ORTODONCJA Konsultacja z zakresu medycyny estetycznej  • 

Wystąpił błąd, spróbuj jeszcze raz

Odpowiedzi na pytania

1 odpowiedzi udzielonych przez lekarza na pytania pacjentów na ZnanyLekarz.pl

Czy jest możliwość usunięcia kamienia nazębnego przy przyklejonym na zębach od środka druciku retencyjnym?

Tak, usunięcie kamienia nazębnego przy obecności retainera stałego jest jak najbardziej możliwe i zdecydowanie zalecane.

W okolicy dolnych zębów siecznych kamień nazębny gromadzi się szczególnie często, a obecność retencji dodatkowo sprzyja jego odkładaniu się, ponieważ płytka bakteryjna ma więcej miejsc do przylegania.

Nieleczony i nieusuwany kamień może prowadzić do rozwoju próchnicy, stanów zapalnych dziąseł i przyzębia, a także do odklejenia się retainera, co w konsekwencji może skutkować nawrotem wady zgryzu.

lek. dent. Beata Gibas Wiszniewska

Wszystkie treści, w szczególności pytania i odpowiedzi, dotyczące tematyki medycznej mają charakter informacyjny i w żadnym wypadku nie mogą zastąpić diagnozy medycznej.

Najczęściej zadawane pytania