Moje doświadczenie
Pełne prawo do wykonywania zawodu otrzymałam w 2018 roku po odbyciu stażu podyplomowego w Krakowie.
Od Stycznia 2019 pracuję w prywatnym gabinecie stomatologicznym.
W swojej codziennej praktyce zajmuję się stomatologią zachowawczą i odtwórczą. Wykonuję podstawowe zabiegi chirurgii stomatologicznej oraz odbudowy protetyczne. Posiadam doświadczenie w pracy z pacjentami z dentofobią.
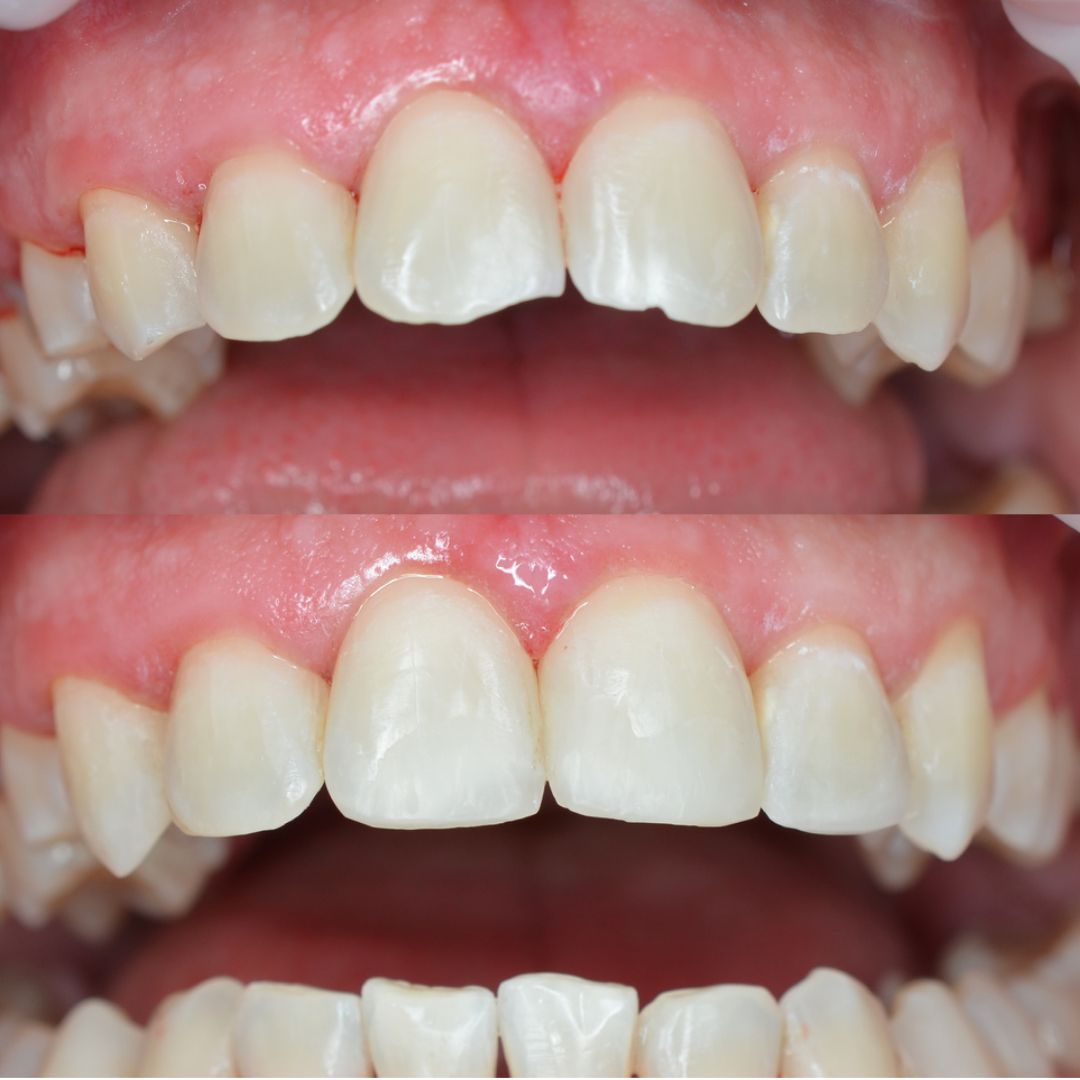
Dzięki indywidualnemu podejściu do każdego pacjenta i przekonaniu, że wizyta powinna przebiegać w atmosferze obustronnego komfortu i spokoju, radzę sobie nawet z najtrudniejszymi przypadkami fobii stomatologicznej. Obecnie zajmuję się głównie stomatologią estetyczną. Wykonuję bonding, licówki, onlay'e i korony protetyczne.
W mojej pracy cenię sobie możliwość ciągłego rozwoju, umiejętność wykorzystywania kreatywnego i nieszablonowego myślenia oraz kontakt z drugim człowiekiem. Uważam, że podstawą dobrego leczenia jest prawidłowa diagnostyka oraz powtarzalność, którą my lekarze, nabywamy wraz z doświadczeniem.
Jestem w trakcie kształcenia z dziedziny leczenia zaburzeń w stawie skroniowo - żuchwowym.
Prywatnie jestem mamą Aleksandra i Mikołaja. W wolnych chwilach lubię podróżować, eksperymentować w kuchni i spędzać czas w gronie znajomych.
Serdecznie zapraszam do kontaktu.
Zakres porad
- Stomatologia ogólna
- Protetyka stomatologiczna
Główne obszary pomocy
- Dentofobia
- Ból zęba
- Próchnica
- Choroby miazgi
- Braki zębowe
- +7 a11y_sr_more_diseases
Pacjenci których przyjmuję
Rodzaje konsultacji
Zdjęcia i filmy
Adresy (2)
Prądnicka 87, Prądnik Biały, 30-129 Kraków
Dostępność
Typy przyjmowanych pacjentów
- Pacjenci prywatni (bez ubezpieczenia)
ul. Balicka 73, 30-149 Kraków
Dostępność
W tym gabinecie nie można umawiać wizyt przez internet
Typy przyjmowanych pacjentów
- Pacjenci prywatni (bez ubezpieczenia)
Usługi i ceny
-
Konsultacja stomatologiczna
Od 150 zł -
-
Leczenie kanałowe
Od 800 zł -
-
Wypełnienie kompozytowe
Od 350 zł -
-
Wizyta interwencyjna
Od 250 zł -
-
Usuwanie kamienia nazębnego
Od 200 zł -
-
-
-
-
-
-
-
-
-
-
-
-
-
-
-
-
-
-
-
-
-
-
-
-
-
-
-
-
-
-
-
-
-
-
-
Opinie
60 opinii
Sprawdzamy wszystkie opinie. Specjaliści nie mogą płacić za modyfikowanie lub usuwanie opinii. Dowiedz się więcej Dowiedz się więcej o opiniach
-
M
Monika Ślęczka
Jestem w szoku Pani doktor chyba z powołania została dentysta ,bardzo miła ,uprzejma i co lepsze to 1 wizyta na której się nietrzeslam przy robieniu zęba.Napewno wrócę .Polecam z całego serca.
• Przychodnia Stomatologiczna S.C. Jacek Piwowarczyk i Anna German • konsultacja stomatologiczna (pierwsza wizyta) •
lek. dent. Anna German
Bardzo dziękuję za opinię:)
-
A
Agnieszka
Pani Doktor jest profesjonalna i staranna, jestem niezmiernie zadowolona z wizyty.
• Przychodnia Stomatologiczna S.C. Jacek Piwowarczyk i Anna German • wizyta w związku z bólem zęba •
lek. dent. Anna German
Dziękuję i pozdrawiam:)
-
G
Grzegorz
Profesjonalna i bardzo miła obsługa. Polecam.
• Przychodnia Stomatologiczna S.C. Jacek Piwowarczyk i Anna German • Konsultacja stomatologiczna •
lek. dent. Anna German
Dziękuję :)
-
J
Janina K
Polecam Panią Doktor.Jest kompetentną osobą.Do pacjenta podchodzi ze zrozumieniem .Ja jestem zadowolona z usług.
• Przychodnia Stomatologiczna S.C. Jacek Piwowarczyk i Anna German • odbudowa zębów •
-
S
SB
Miła atmosfera, sympatyczna dentystka,sprawne leczenie.
• Przychodnia Stomatologiczna S.C. Jacek Piwowarczyk i Anna German • leczenie próchnicy •
-
M
MG
Gorąco polecam, Pani Doktor ma bardzo profesjonalne podejście do pacjenta
• Centrum Stomatologiczne Albusdent • Konsultacja stomatologiczna •
-
MG
Polecam Panią Doktor, kompetentna, dokładna, a do tego przemiła.
• Przychodnia Stomatologiczna S.C. Jacek Piwowarczyk i Anna German • leczenie próchnicy •
lek. dent. Anna German
Bardzo dziękuję :)
-
M
Marta K.
Cudowna Pani doktor, która pięknie odbudowała mojego przedniego zęba po wypadku. Wszystko zostało szczegółowo wyjaśnione na każdym etapie. Panią Annę cechuje delikatność w podejściu do pacjenta oraz empatia, a przy tym pełen profesjonalizm. Polecam z całego serca.
• Przychodnia Stomatologiczna S.C. Jacek Piwowarczyk i Anna German • odbudowa zębów •
lek. dent. Anna German
Dziękuję za opinię :)
-
Ł
Łukasz
Jak zawsze pełen profesjonalizm. Polecam z całego serca :)
• Przychodnia Stomatologiczna S.C. Jacek Piwowarczyk i Anna German • leczenie próchnicy •
lek. dent. Anna German
Bardzo dziękuję :)
-
P
Piotr
Wizyta zaskakująco na plus. Uśmiecham się teraz bardzo szeroko. Polecam.
• Przychodnia Stomatologiczna S.C. Jacek Piwowarczyk i Anna German • Stomatologia zachowawcza •
lek. dent. Anna German
Bardzo mi miło, dziękuję :)
Najczęściej zadawane pytania
-
Jaki jest zakres porad oferowanych przez Anna German?Anna German to stomatolog. Na podstawie swojego doświadczenia i wykształcenia Anna German oferuje usługi takie jak: konsultacja protetyczna, badania stomatologiczne, chirurgia stomatologiczna, kwalifikacja do operacji, odbudowa zębów, leczenie kanałowe, leczenie próchnicy, Konsultacja stomatologiczna, usuwanie kamienia nazębnego, stomatologia estetyczna.
-
Gdzie Anna German ma swój gabinet?Anna German przyjmuje pod adresem:
- Prądnicka 87 Kraków
- ul. Balicka 73 Kraków
-
Czy Anna German przyjmuje online, bez konieczności pojawiania się w placówce?Nie, w tym momencie Anna German nie oferuje konsultacji online.
-
Jak Anna German akceptuje płatności po wizycie?Metody płatności, które akceptuje Anna German to: Gotówka, Karta płatnicza, Przelew na konto, Blik.
-
W jakich językach konsultuje Anna German?Języki, których używa Anna German to angielski, polski.
-
Jak Anna German umawia wizyty?Anna German używa kalendarza ZnanyLekarz, dlatego na stronie widzisz aktualne terminy. Wystarczy, że wybierzesz datę i godzinę, które odpowiadają Ci najbardziej. Umawianie wizyty jest darmowe, a tuż przed terminem wyślemy Ci przypomnienie.
-
W jakich godzinach przyjmuje Anna German?Anna German może mieć dostępne terminy w tym lub w nadchodzącym tygodniu. Terminy, które widzisz w kalendarzu są dostępne, ponieważ aktualizujemy go na bieżąco. Jeśli pierwszy dostępny termin Ci nie odpowiada, sprawdź następny. Rezerwacja terminu jest natychmiastowa, bez dodatkowych opłat.
-
Anna German: co mówią pacjenci?60 osób dodało swoją opinię. Anna German ma średnią ocen 5 (na 5 gwiazdek).
-
Jakie ubezpieczenia akceptuje Anna German?Anna German nie przyjmuje w ramach ubezpieczenia, tylko w ramach płatnych wizyt prywatnych. W razie wątpliwości zalecamy kontakt ze specjalistą.