lek. dent.
Natalia Rosa
Stomatolog
·
Ortodonta
Więcej
O specjalizacjach
Warszawa 1 adres
Nr PWZ: 2450660
106 opiniiMoje doświadczenie
W wolnych chwilach szyje na maszynie kreacje dla swoich małych księżniczek- Lenki i Ali
Zakres porad
- Ortodoncja
Główne obszary pomocy
- Ból stawu skroniowo-żuchwowego
- Wady zębów
- Wady zgryzu
- +4 a11y_sr_more_diseases
Pacjenci których przyjmuję
Rodzaje konsultacji
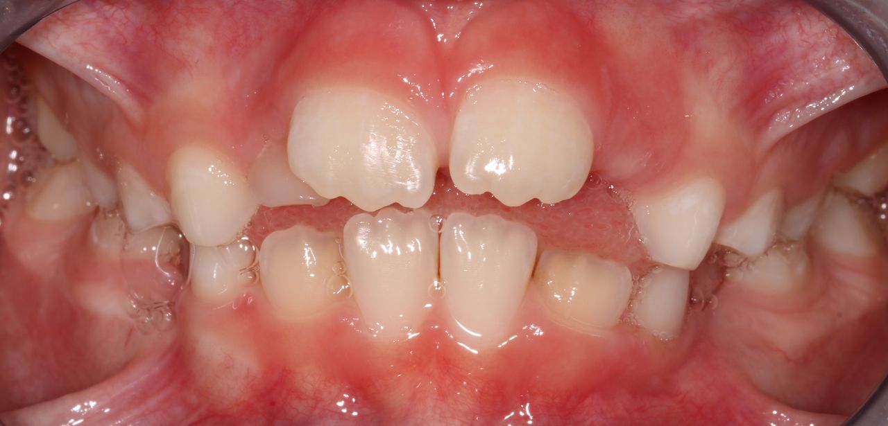
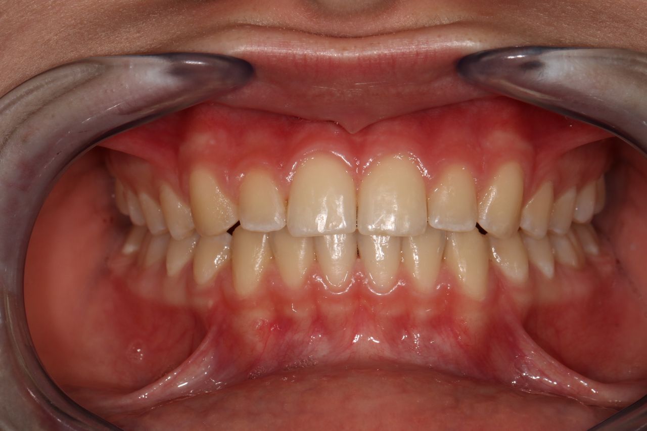
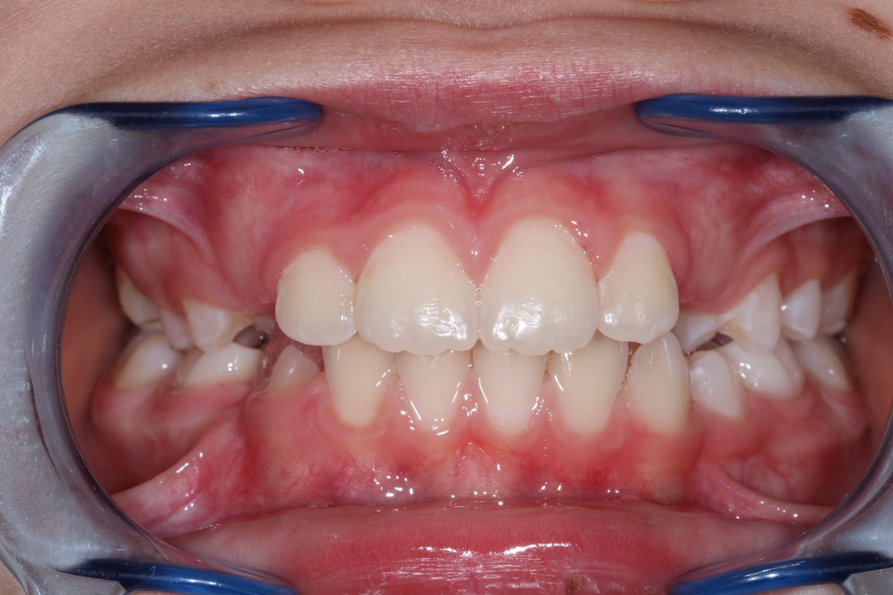
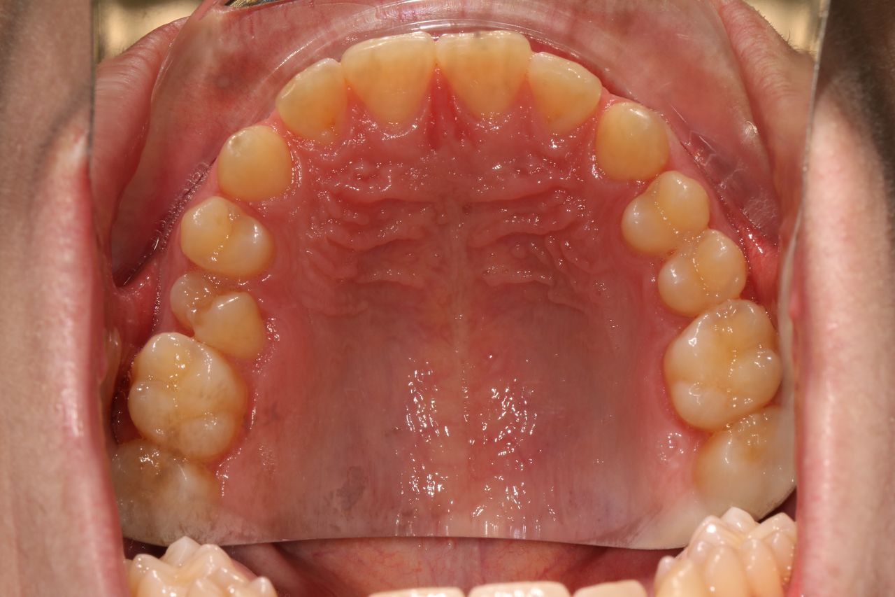
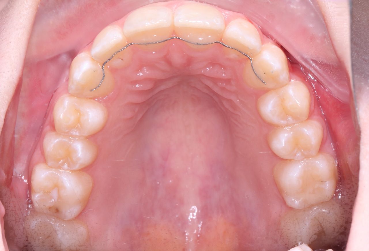
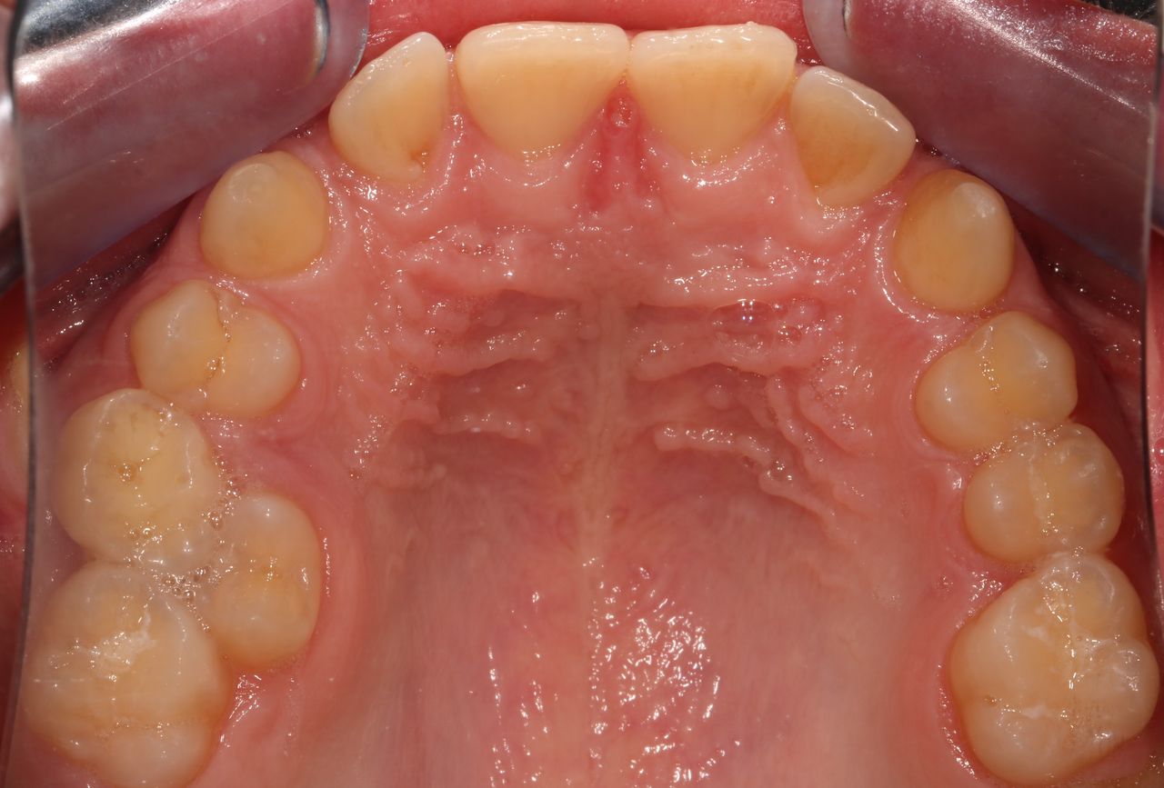
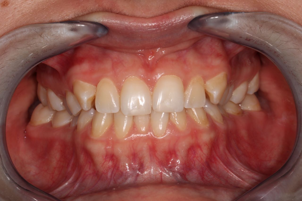
Zdjęcia i filmy
Usługi i ceny
-
Konsultacja ortodontyczna
300 zł -
-
Ortodoncja dzieci i dorosłych
Od 250 zł -
-
Aparaty ruchome
Od 600 zł -
-
Aparaty stałe
Od 2 000 zł -
-
Aparaty stałe estetyczne
Od 2 500 zł -
-
-
-
-
Adres
Oś Królewska 18/U2, Wilanów, 02-972 Warszawa
Dostępność
Telefon
Dlaczego prosimy Cię o wyrażenie zgody na przetwarzanie danych?
Wyrażenie zgody jest niezbędne do umówienia wizyty z wykorzystaniem telerejestracji. Wymagają tego przepisy Ogólnego Rozporządzenie o Ochronie Danych Osobowych - tzw. RODO. Informujemy, że zgoda jest dobrowolna, jednak jej brak uniemożliwi umówienie wizyty. Informujemy rówież, że zgoda może zostać w każdym momencie zostać wycofana. W tym celu wystarczy się skontaktować z nami przez formularz
Kiedy dojdzie do przetwarzania moich danych osobowych?
Do przetwarzania Twoich danych osobowych dojdzie podczas rozmowy telefonicznej z naszym centrum telerejestracji, ale jednak wyłącznie w sytuacji gdy tej rozmowy podasz nam swoje dane osobowe. Przetwarzanie danych osobowych dokonywane jest w celu umówienia wizyty i przekazania danych osobowych wybranemu Profesjonaliście.
Czy moje dane osobowe zostaną przekazane Profesjonaliście do którego chce się umówić na wizytę?
Tak. Udostępnimy wybranemu przez Ciebie Profesjonaliście informacje i dane osobowe które nam przekazałeś podczas rozmowy telefonicznej oraz przekażemy te informacje Profesjonaliście. Dzięki temu Profesjonalista będzie mógł przygotować się na Twoją wizytę.
Kto jest administratorem moich danych osobowych?
Administratorem danych osobowych jest ZnanyLekarz sp. z o.o. z siedzibą w Warszawie przy ul. Kolejowej 5/7. Informujemy, że po przekazaniu przez nas Twoich danych osobowych wybranemu przez Ciebie Profesjonaliście, staje się on również administratorem Twoich danych osobowych i przetwarza je w celach związanych ze świadczeniem usług medycznych lub innych podobnych.
Gdzie mogę uzyskać więcej informacji o moich prawach związanych z przetwarzaniem danych osobowych?
Więcej informacji o przetwarzaniu Twoich danych osobowychTypy przyjmowanych pacjentów
- Pacjenci prywatni (bez ubezpieczenia)
Opinie
106 opinii
Sprawdzamy wszystkie opinie. Moderujemy je zgodnie z naszymi zasadami, dowiedz się więcej o opiniach i sposobie obliczania gwiazdek na Dowiedz się więcej Dowiedz się więcej o opiniach
-
N
Nevruz Eryılmaz
Wspaniali ludzie, przyjaźni i niesamowicie uważni.
• Dentistree S.C. • konsultacja ortodontyczna •
lek. dent. Natalia Rosa
Bardzo dziękujemy za miłe słowa. Staramy się zawsze traktować każdego Pacjenta tak jak sami chcielibyśmy być traktowani. Pozdrawiam
-
D
Daria
Pani doktor bardzo miła, wszystko zostało świetnie wytłumaczone :))
• Dentistree S.C. • konsultacja ortodontyczna •
lek. dent. Natalia Rosa
Bardzo dziękuję. Pozdrawiam
-
Z
Zofia
Jestem bardzo zadowolona z leczenia u Pani Doktor. Polecam kazdemu
• Dentistree S.C. • ortodoncja dzieci i dorosłych •
lek. dent. Natalia Rosa
Bardzo dziękuję Pani Zosiu za miłe słowa. Bardzo się cieszę, że jest Pani zadowolona. Pozdrawiam
-
M
Marta
Pani Doktor sprawia wrażenie bardzo kompetentnego i dobrego lekarza. Wizyta upłynęła w dobrej atmosferze, wszystko zostało sprawdzone pod kątem prawidłowości zgryzu. Brawa za bezpośredni kontakt z dzieckiem. Nie wdrażamy póki co leczenia ortodontycznego (na szczęście), niemniej pani doktor zwraca uwagę również na inne aspekty niż samo ułożenie zębów. Wydaje się, że holistycznie podchodzi do pacjenta, co bardzo cenię.
• Dentistree S.C. • konsultacja ortodontyczna •
lek. dent. Natalia Rosa
Bardzo dziękuję za uznanie. Do zobaczenia
-
A
AK
Pierwsza wizyta konsultacyjna, ale zdecydowanie wrócę. Szczegółowy wywiad, problem omówiony dokładnie, ustalony plan działania.
Pani doktor bardzo sympatyczna.
• Dentistree S.C. • konsultacja ortodontyczna •
-
Julita
Umówiłam się na leczenie wad zgryzu. A mianowicie odkleił mi się retainer z jednego zęba. Zrobiła mi się delikatna szczelina między zębami. Ale nie na tyle duża żeby mi przeszkadzała. Chciałam przykleić istniejący drucik do tego zęba. Pani doktor zaproponowała opcje dużo droższą(1000zł) Zdjęcie drucika, oczyszczenie nadbudowę zęba żeby nie było szczeliny i założenie nowego. Ja natomiast prosiłam żeby tylko ten drucik przykleić spowrotem żeby zęby dalej się nie rozchodziły. Pani doktor stwierdziła ze może mi go jedynie odciąć. Na co się nie zgodziłam. Biorąc pod uwagę fakt ze po kilku dniach zęby zaczęły zmieniać pozycje. Istniała duża szansa ze po zdjęciu drucika i oczekiwaniu na nowy (około tygodnia) zęby pokrzywią się jeszcze bardziej. Wtedy koszt byłby jeszcze większy. Jeszcze tego samego dnia dostałam się do innego dentysty, który bez problemu przykleił mi ten drucik. Niestety za konsultacje, która trwała 3 minuty u pani ortodonty zapłaciłam 250zł i wyszłam z niczym . Kiedyś takich praktyk się nie stosowało u dentysty. Pieniążki przyjmowało się za wykonana usługę. Teraz czuje się po prostu oszukana. W to miejsce mogłam naprawić inny ząb i zapłaciłabym za wykonana usługę. A tak przyjechałam do pani dentysty z innego miasta zapłaciłam za nic i wyszłam z niczym. Po czym pojechałam do innego ortodonty i zapłaciłam jeszcze raz ale tym razem już za wykonaną usługę. Może pani doktor chciała dobrze bo chciała pozbyć się szczeliny ale mi ona nie przeszkadza na tyle mocno zeby płacić za to 1000zł. No nie każdy zarabia 250zl na minutę.
• Dentistree S.C. • Leczenie ortodontyczne Invisalign® •
-
Joanna
Polecam serdecznie wizytę u Pani Doktor. Profesjonalizm, zaangażowanie, wizyta w przyjaznej atmosferze.
• Dentistree S.C. • konsultacja ortodontyczna •
-
J
Joanna
Świetne podejście do dzieci! U innego lekarza córka nawet nie otworzyła buzi… Bardzo dokładne wyjaśnienia. Polecamy panią Natalię!
• Dentistree S.C. • Inny •
-
K
Kasia
Jak zawsze wizyta u Pani Doktor była miła i profesjonalna, serdecznie polecam innym pacjentom........
• Dentistree S.C. • konsultacja ortodontyczna •
-
M
Marek B.
Kreatywna ortodoncja! To fantastyczne jak P. Doktor znalazła rozwiązanie moich problemów. Jestem zachwycony stosunkiem do pacjenta, fachowością, a przede wszystkim kreatywnością. To co było możliwe zostało zrobione natychmiast
Na "niemożliwe" jesteśmy umówieni na następny raz Jestem pod wielkim wrażeniem. Dziękuję, i bardzo polecam.• Dentistree S.C. • konsultacja ortodontyczna •
Odpowiedzi na pytania
4 odpowiedzi udzielonych przez lekarza na pytania pacjentów na ZnanyLekarz.pl
mam pytanie chciała bym założyć aparat ortodontyczny ale na gorze nie mam - po jednej stronie 6 <8 mam> po drugiej nie mam 5 i 6 .
a na dole jest gorzej bo nie mam 6 i 7 i 8 a po drugiej 6 i 7 . 8 jest.
przy takim brak jest szansa na aparat , czy jest to za duzy brak ??
Możliwe jest założenie aparatu nawet przy brakach zębowych.Serdecznie zapreaszam
Witam! Strasznie szybko wykrzywiaja mi sie przednie dolne zeby, nie wiem czym to jest spowodowane, czy bede musiala zalozyc aparat i jakie badanie potrzebuje wykonac zeby dowiedziec sie co dalej? Z gory dziekuje za odpowiedz pozdrawiam.
Tłoczenie się, czyli wykrzywianie zębów dolnych nie zawsze ma związek z wyrzynającymi się ósemkami. Często jest to tzw. resztkowy wzrost żuchwy. Pacjenci, którzy nie mają nawet zawiązków 8, często borykają się z krzywymi dolnymi zębami. Jeśli chce je Pani wyprostować jedynym sposobem jest założenie aparatu ortodontycznego a po zakończonym leczeniu podklejenie drutu retencyjnego, który będzie trzymał zęby w nowych pozycjach. Pozdrawiam
Wszystkie treści, w szczególności pytania i odpowiedzi, dotyczące tematyki medycznej mają charakter informacyjny i w żadnym wypadku nie mogą zastąpić diagnozy medycznej.
Najczęściej zadawane pytania
-
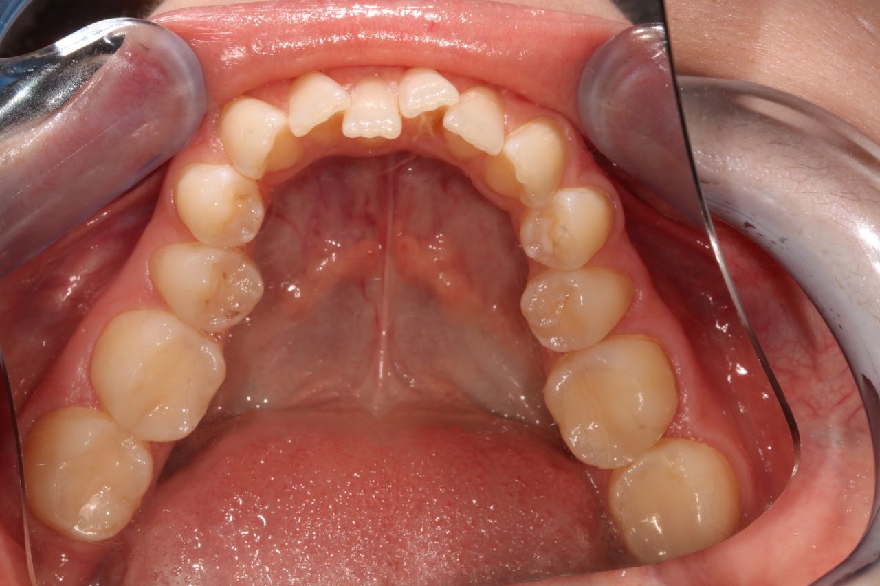
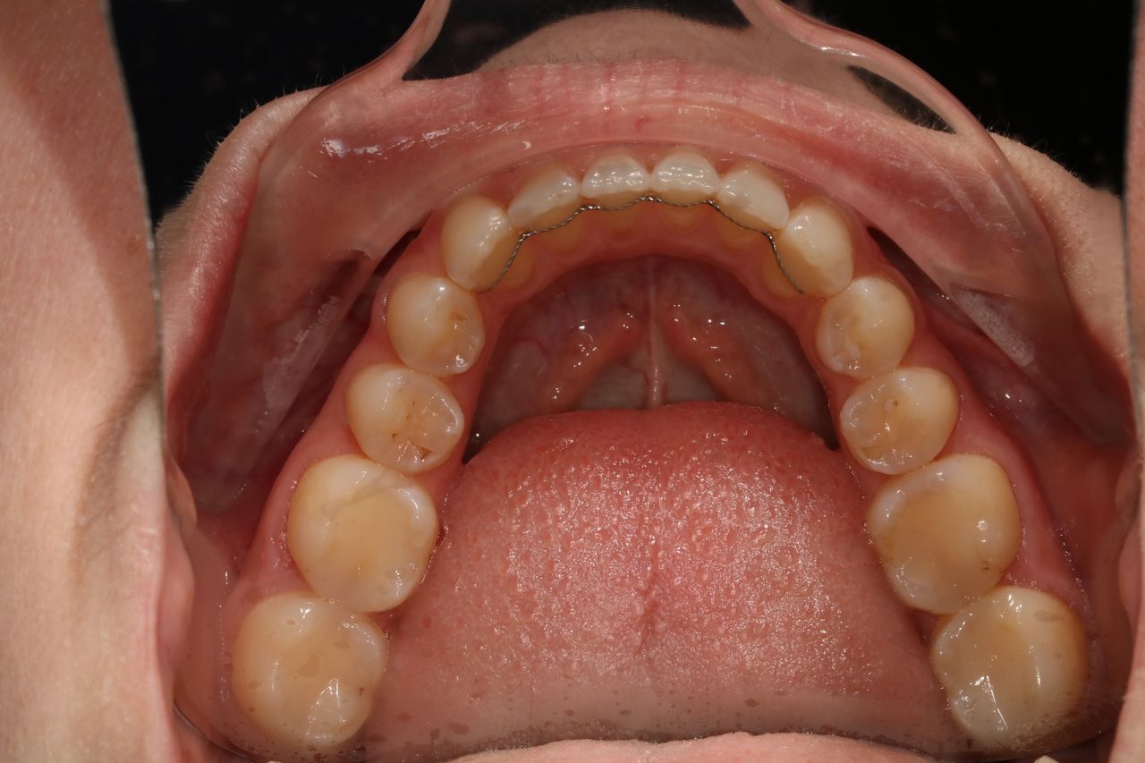
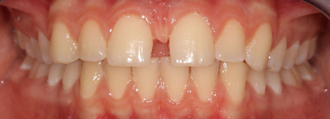
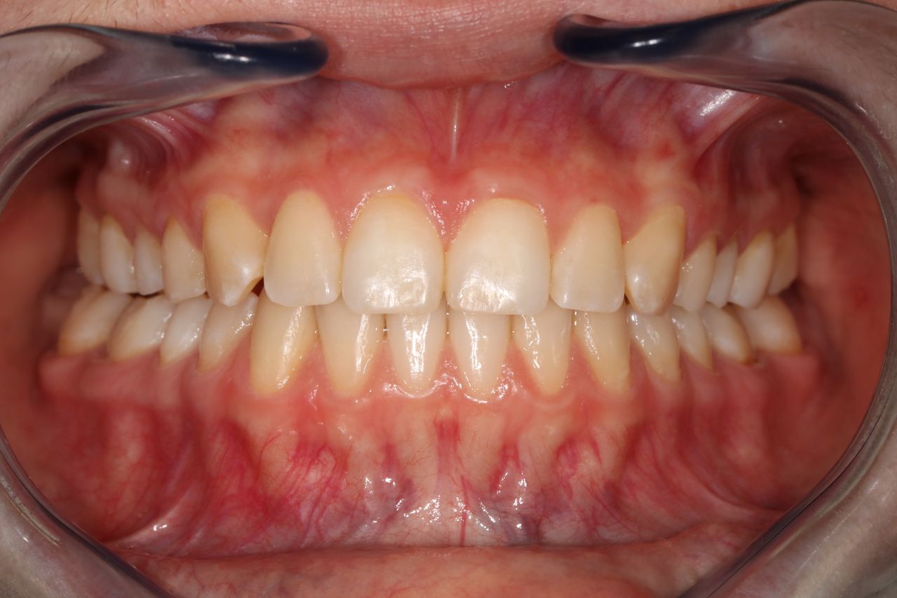
Jaki jest zakres porad oferowanych przez Natalia Rosa?Natalia Rosa to stomatolog, ortodonta. Na podstawie swojego doświadczenia i wykształcenia Natalia Rosa oferuje usługi takie jak: aparaty stałe, aparaty ruchome, konsultacja ortodontyczna, aparaty stałe estetyczne, ortodoncja dzieci i dorosłych, leczenie wad zgryzu, badanie stawu skroniowo-żuchwowego, Leczenie ortodontyczne Invisalign®, Invisalign.
-
Gdzie Natalia Rosa ma swój gabinet?Natalia Rosa przyjmuje pod adresem:
- Oś Królewska 18/U2 Warszawa
-
Czy Natalia Rosa przyjmuje online, bez konieczności pojawiania się w placówce?Nie, w tym momencie Natalia Rosa nie oferuje konsultacji online.
-
Jak Natalia Rosa akceptuje płatności po wizycie?Metody płatności, które akceptuje Natalia Rosa to: Gotówka.
-
W jakich językach konsultuje Natalia Rosa?Języki, których używa Natalia Rosa to angielski.
-
Jak Natalia Rosa umawia wizyty?Natalia Rosa używa kalendarza ZnanyLekarz, dlatego na stronie widzisz aktualne terminy. Wystarczy, że wybierzesz datę i godzinę, które odpowiadają Ci najbardziej. Umawianie wizyty jest darmowe, a tuż przed terminem wyślemy Ci przypomnienie.
-
W jakich godzinach przyjmuje Natalia Rosa?Natalia Rosa może mieć dostępne terminy w tym lub w nadchodzącym tygodniu. Terminy, które widzisz w kalendarzu są dostępne, ponieważ aktualizujemy go na bieżąco. Jeśli pierwszy dostępny termin Ci nie odpowiada, sprawdź następny. Rezerwacja terminu jest natychmiastowa, bez dodatkowych opłat.
-
Natalia Rosa: co mówią pacjenci?106 osób dodało swoją opinię. Natalia Rosa ma średnią ocen 5 (na 5 gwiazdek).
-
Jakie ubezpieczenia akceptuje Natalia Rosa?Natalia Rosa nie przyjmuje w ramach ubezpieczenia, tylko w ramach płatnych wizyt prywatnych. W razie wątpliwości zalecamy kontakt ze specjalistą.