lek. dent.
Katarzyna Obara
Stomatolog
·
Więcej
O specjalizacjach
Mikołów 1 adres
Nr PWZ: 2878055
158 opiniiMoje doświadczenie
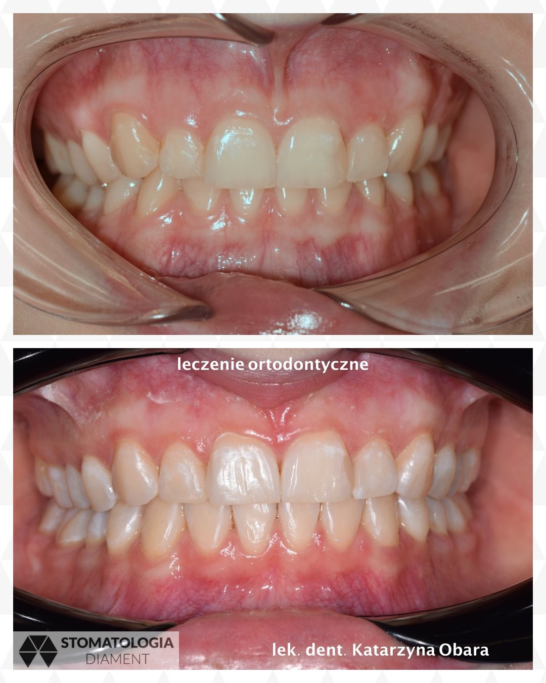
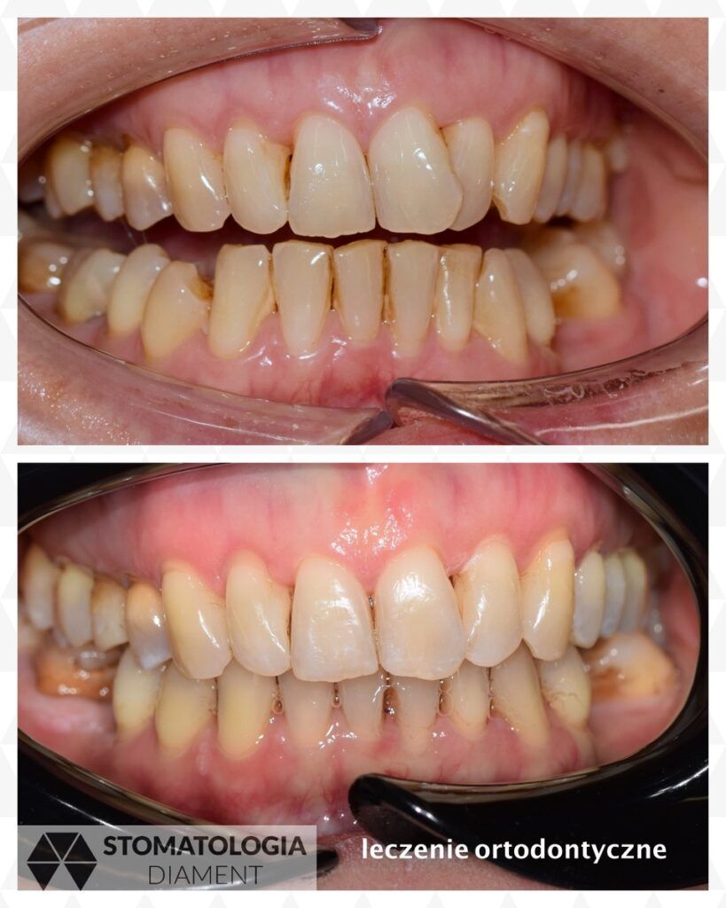
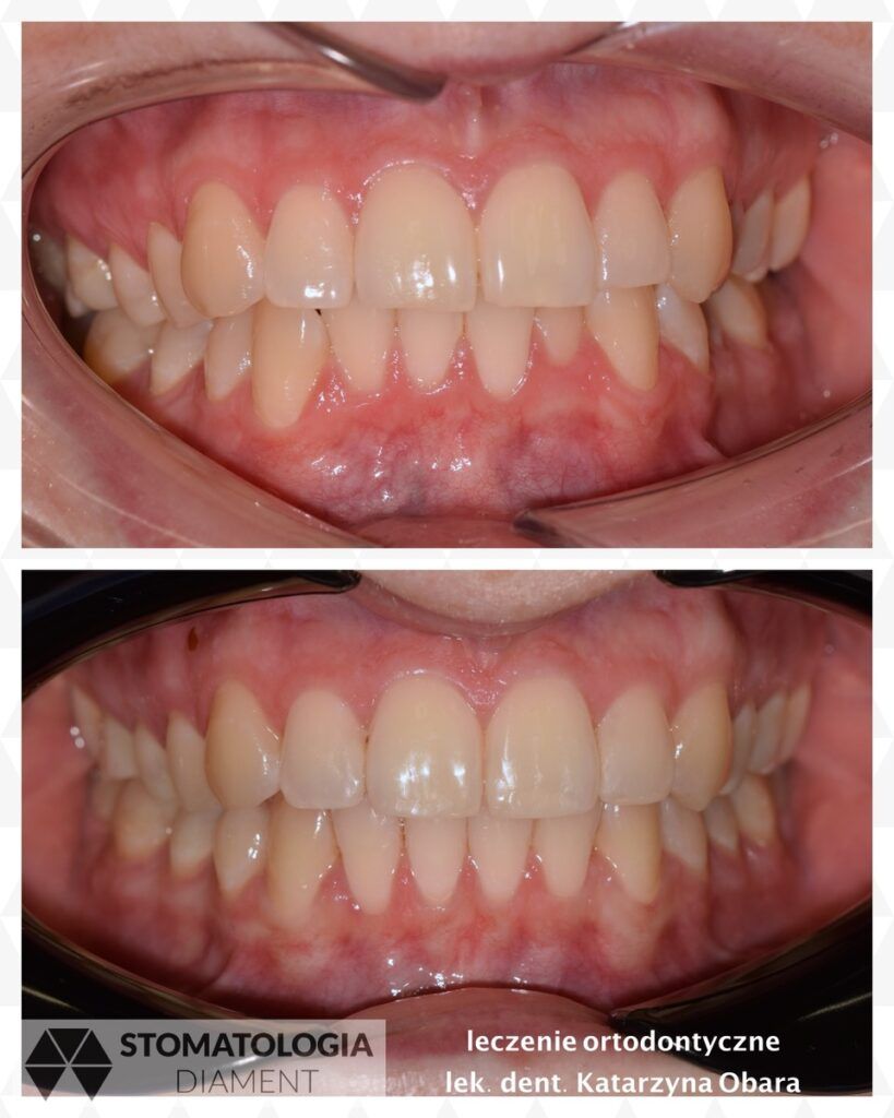
Jestem lekarzem dentystą zajmującym się ortodoncją - zarówno aparatami stałymi jak i nakładkowymi.
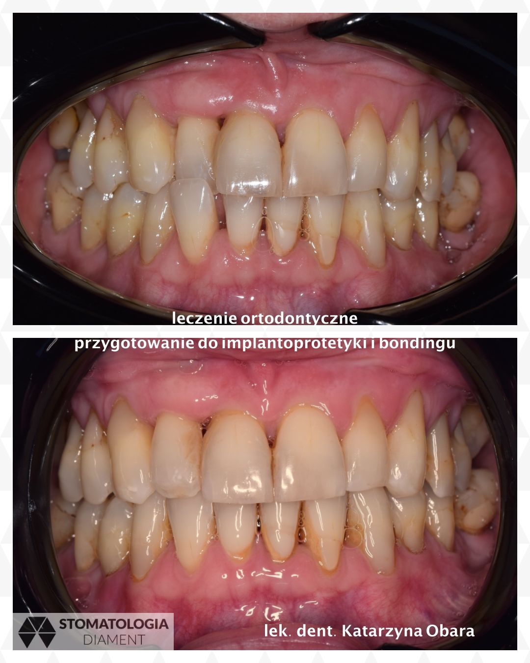
Prowadzę kompleksowe leczenie stomatologiczne – od ortodoncji, przez protetykę i implantologię, aż po kompleksowe metamorfozy uśmiechu. Dzięki temu mogę zaoferować pacjentom pełną ścieżkę terapii w jednym miejscu – bez konieczności wizyt u wielu specjalistów.
Ortodontyczne aparaty stałe to moja główna pasja – pozwalają skutecznie korygować wady zgryzu i uzyskać trwały, harmonijny uśmiech.
Szczególną satysfakcję daje mi prowadzenie pacjentów w procesie metamorfozy uśmiechu, gdzie oprócz leczenia ortodontycznego wykorzystujemy dodatkowe możliwości nowoczesnej stomatologii estetycznej.
Każdy pacjent otrzymuje indywidualny plan terapii dopasowany do potrzeb i oczekiwań. Dbam o to, by leczenie było nie tylko skuteczne, ale też komfortowe i przejrzyste na każdym etapie.
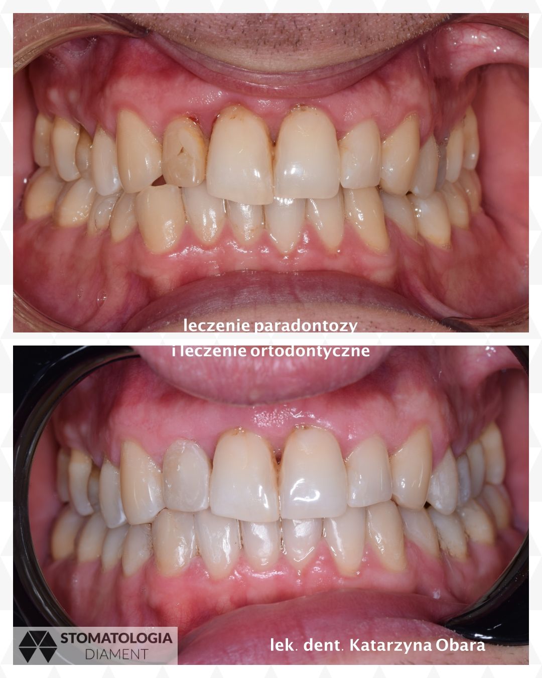
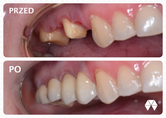
Dzięki doświadczeniu w leczeniu periodontologicznym (pokrywanie odsloniętych szyjek przeszczepem dziąsłowym, plastyka wędzidełka, wyrównywanie linii dziąseł) oraz protetycznym (licówki, korony, mosty) oferuje Pacjentom kompleksowe leczenie w jednym miejscu i przez jendego lekarza.
Należę do Polskiego Towarzystwa Periodontologicznego, Polskiego Towarzystwa Ortodontycznego oraz ukończyłam Curriculum Implantologiczne zakończone międzynarodowym egzaminem DGOI (Deutsche Gesellschaft fur Orale Implantologie).
Zapraszam na konsultację.
Zakres porad
- Ortodoncja
- Periodontologia
- Protetyka stomatologiczna
- Implantologia
Główne obszary pomocy
- Braki zębowe
- Choroby przyzębia
- Paradontoza
- Ruchomość zębów
- Starcie zębów
- +5 a11y_sr_more_diseases
Pacjenci których przyjmuję
Rodzaje konsultacji
Zdjęcia i filmy
Usługi i ceny
-
Implanty
Od 3 000 zł -
-
Konsultacja - ortodoncja nakładkowa
220 zł -
-
Konsultacja ortodontyczna
220 zł -
-
Licówki
Od 2 200 zł -
-
Przeszczepy tkanek w jamie ustnej
220 zł -
-
-
-
-
-
-
-
-
-
-
Adres
Pszczyńska 12A/2, Centrum, 43-190 Mikołów
Dostępność
Telefon
Dlaczego prosimy Cię o wyrażenie zgody na przetwarzanie danych?
Wyrażenie zgody jest niezbędne do umówienia wizyty z wykorzystaniem telerejestracji. Wymagają tego przepisy Ogólnego Rozporządzenie o Ochronie Danych Osobowych - tzw. RODO. Informujemy, że zgoda jest dobrowolna, jednak jej brak uniemożliwi umówienie wizyty. Informujemy rówież, że zgoda może zostać w każdym momencie zostać wycofana. W tym celu wystarczy się skontaktować z nami przez formularz
Kiedy dojdzie do przetwarzania moich danych osobowych?
Do przetwarzania Twoich danych osobowych dojdzie podczas rozmowy telefonicznej z naszym centrum telerejestracji, ale jednak wyłącznie w sytuacji gdy tej rozmowy podasz nam swoje dane osobowe. Przetwarzanie danych osobowych dokonywane jest w celu umówienia wizyty i przekazania danych osobowych wybranemu Profesjonaliście.
Czy moje dane osobowe zostaną przekazane Profesjonaliście do którego chce się umówić na wizytę?
Tak. Udostępnimy wybranemu przez Ciebie Profesjonaliście informacje i dane osobowe które nam przekazałeś podczas rozmowy telefonicznej oraz przekażemy te informacje Profesjonaliście. Dzięki temu Profesjonalista będzie mógł przygotować się na Twoją wizytę.
Kto jest administratorem moich danych osobowych?
Administratorem danych osobowych jest ZnanyLekarz sp. z o.o. z siedzibą w Warszawie przy ul. Kolejowej 5/7. Informujemy, że po przekazaniu przez nas Twoich danych osobowych wybranemu przez Ciebie Profesjonaliście, staje się on również administratorem Twoich danych osobowych i przetwarza je w celach związanych ze świadczeniem usług medycznych lub innych podobnych.
Gdzie mogę uzyskać więcej informacji o moich prawach związanych z przetwarzaniem danych osobowych?
Więcej informacji o przetwarzaniu Twoich danych osobowychTypy przyjmowanych pacjentów
- Pacjenci prywatni (bez ubezpieczenia)
Opinie
158 opinii
Sprawdzamy wszystkie opinie. Moderujemy je zgodnie z naszymi zasadami, dowiedz się więcej o opiniach i sposobie obliczania gwiazdek na Dowiedz się więcej Dowiedz się więcej o opiniach
-
O
Ola
Pani doktor szczegółowo omawia plan leczenia i wyjaśnia poszczególne etapy
• STOMATOLOGIA DIAMENT • konsultacja ortodontyczna •
-
A
Agnieszka
Pierwsza wizyta jak i następne przebiegły w bardzo miłej atmosferze. Pani doktor wyjaśniła dokładnie wszystkie kwestie związane z założeniem aparatu ortodontycznego, przedstawiła szczegółowy plan leczenia, pełen profesjonalizm. Na uznanie zasługuje również pani Martyna - bardzo mila i profesjonalna obsługa. Teraz
czekam tylko na założenie aparatuSzczerze polecam.• STOMATOLOGIA DIAMENT • konsultacja ortodontyczna •
-
P
PR
Pani Doktor wyjaśniła wszystko konkretnie, bardzo dobre podejście do dziecka.
• STOMATOLOGIA DIAMENT • Aparat ortodontyczny •
-
M
Magdalena
Genialna dentystka. Idealne podejście do pacjenta
• STOMATOLOGIA DIAMENT • usuwanie zębów •
-
Monika
Profesjonalna obsługa, wyjaśnienie szczegółowo problemu. Bardzo empatyczne podejście do pacjenta. Pani doktor bardzo sympatyczna. Polecam ;)
• STOMATOLOGIA DIAMENT • konsultacja ortodontyczna •
-
Liliana
Pełny profesjonalizm, empatia w stosunku do pacjenta. Szczerze polecam.
• STOMATOLOGIA DIAMENT • konsultacja protetyczna •
-
A
A&M O
Gorąco polecam Panią stomatolog Katarzynę Obara w szczególności osobom z dentafobia. Pełen profesjonalizm i moc empatii.
• STOMATOLOGIA DIAMENT • usuwanie zębów •
-
A.G.
Pani doktor Obara to zdecydowanie najlepszy stomatolog, u jakiego byłam. Profesjonalna w każdym calu, wszystko szczegółowo wyjaśnia podczas każdej wizyty, do tego szczegółowo ułożony plan leczenia. I te wszystkie niby drobne rzeczy, które tak umilają wizytę i sprawiają, że czuje się widziana i zaopiekowana jak punktualność przyjęcia, poduszka pod głową na fotelu dentystycznym, żel znieczulający, aby znieczulenie w zastrzyku nie bolało, okulary, aby światło na fotelu nie świeciło prosto w oczy, wazelina na usta, żeby nie popękały od szerokiego otwierania. Dostępne terminy, profesjonalny sprzęt. Polecam z całego serca.
• STOMATOLOGIA DIAMENT • kompleksowe badanie stomatologiczne + plan leczenia •
-
K
KH
Pełen profesjonalizm i podejście do pacjentki, serdecznie polecam
• STOMATOLOGIA DIAMENT • usuwanie zębów •
-
S
Sandra Kudrel
Choć wizyta u stomatologa nie należy do najmilszych momentów w życiu człowieka to znajdując się w tym miejscu człowiek czuje się bezpiecznie. Bardzo profesjonalne podejście do pacjenta, zawsze jestem poinformowana i w pełni świadoma procesu leczenia oraz kosztów, przemiła atmosfera. Do tej pory wszystko na najwyższym poziomie.
• STOMATOLOGIA DIAMENT • kompleksowe badanie stomatologiczne + plan leczenia •
Odpowiedzi na pytania
2 odpowiedzi udzielonych przez lekarza na pytania pacjentów na ZnanyLekarz.pl
Mam problem z zębem jedynką od kilku dni mnie pobolewała w sobote rano spuchła mi twarz bylam w pomocy doraźne nic nie zrobili i antybiotyk dalacin c 300 który okazał sie nie dobry dla mnie wiec w niedziele rano znowu sie udałam do tej placówki byla inna pani doktor otworzyła mi jedynkę i opuchlizna miala zejść i zmiana antybiotyku na duomox niestety nadal jest bardzo opuchnięta twarz aż pod oko lewe nic nie schodzi zimne i ziołowe okłady nie pomagają i nie czuje przez tą dziurkę w jedynce zeby coś wylatywało.
Pomocy co robic ????
Obrzęk jest wywołany stanem zapalnym toczącym się w zębie i tkankach poza korzeniem. Konieczne jest wykonanie zdjęcia rentgenowskiego do oceny stanu zaawansowania zmiany zapalnej oraz udrożnienie kanału korzeniowego z przeprowadzeniem pełnego leczenia kanałowego. Jeżeli wytworzył się ropień, może być konieczne uwolnienie treści ropnej przez śluzówkę. Proszę również pamiętać, że antybiotyk nie działa tak jak leki przeciwbólowe, które dają efekt działania po krótkim czasie. Antybiotyk zaczyna zwykle działać po około 2-3 dniach zażywania.
Witam. W lutym tego roku leczyłam kanałowo górną szóstkę. W międzyczasie pomiędzy tą szóstką a siódemką pojawiła mi się kieszonka dziąsłowa (badanie wskazuje na 3mm). Byłam u kilku periodontologów, został wykonany skaling, do kieszonki zostały założone leki (nie zliczę już ile razy), a ból nadal się utrzymuje. Dodam, że zastosowałam się do wszystkich zaleceń dot. higieny jamy ustnej - specjalne pasty i płyny z chlorhesydyną, nitkowanie, irygator oraz szczoteczki międzyzębowe nadal nie pomagają. Ból utrudnia mi codzienne funkcjonowania i zastanawiam się na ekstrakcją szóstki. Moje pytanie brzmi - czy po wyrwaniu zęba ból dziąsła (kieszonki) zniknie?
Dzień dobry, kieszonka dziąsłowa na 3 mm rzadko kiedy daje dolegliwości bólowe. Konieczna jest diagnostyka rentgenowska, aby znaleźć przyczynę dolegliwości. Leczeniem przy kieszonkach do 5 mm jest najczęściej kiretaż zamknięty, ale po głębokim skalingu i prawidłowym dbaniu o to miejsce powinna Pani odczuć ulgę. Odpowiadając na Pani pytanie - przed tak nieodwracalną decyzją jak usunięcie zęba konieczna jest szersza diagnostyka. Jeśli źródło bólu leży poza tą szóstką to ból może nie zniknąć.
Wszystkie treści, w szczególności pytania i odpowiedzi, dotyczące tematyki medycznej mają charakter informacyjny i w żadnym wypadku nie mogą zastąpić diagnozy medycznej.
Najczęściej zadawane pytania
-
Jaki jest zakres porad oferowanych przez Katarzyna Obara?Katarzyna Obara to stomatolog. Na podstawie swojego doświadczenia i wykształcenia Katarzyna Obara oferuje usługi takie jak: korony pełnoceramiczne, korony porcelanowe, licówki, usuwanie zębów, regeneracja kości, pokrycie recesji, konsultacja protetyczna, implanty, przeszczepy tkanek w jamie ustnej, konsultacja ortodontyczna.
-
Gdzie Katarzyna Obara ma swój gabinet?Katarzyna Obara przyjmuje pod adresem:
- Pszczyńska 12A/2 Mikołów
-
Czy Katarzyna Obara przyjmuje online, bez konieczności pojawiania się w placówce?Nie, w tym momencie Katarzyna Obara nie oferuje konsultacji online.
-
Jak Katarzyna Obara akceptuje płatności po wizycie?Metody płatności, które akceptuje Katarzyna Obara to: Gotówka, Karta płatnicza.
-
W jakich językach konsultuje Katarzyna Obara?Języki, których używa Katarzyna Obara to angielski.
-
Jak Katarzyna Obara umawia wizyty?Katarzyna Obara używa kalendarza ZnanyLekarz, dlatego na stronie widzisz aktualne terminy. Wystarczy, że wybierzesz datę i godzinę, które odpowiadają Ci najbardziej. Umawianie wizyty jest darmowe, a tuż przed terminem wyślemy Ci przypomnienie.
-
W jakich godzinach przyjmuje Katarzyna Obara?Katarzyna Obara może mieć dostępne terminy w tym lub w nadchodzącym tygodniu. Terminy, które widzisz w kalendarzu są dostępne, ponieważ aktualizujemy go na bieżąco. Jeśli pierwszy dostępny termin Ci nie odpowiada, sprawdź następny. Rezerwacja terminu jest natychmiastowa, bez dodatkowych opłat.
-
Katarzyna Obara: co mówią pacjenci?158 osób dodało swoją opinię. Katarzyna Obara ma średnią ocen 5 (na 5 gwiazdek).
-
Jakie ubezpieczenia akceptuje Katarzyna Obara?Katarzyna Obara nie przyjmuje w ramach ubezpieczenia, tylko w ramach płatnych wizyt prywatnych. W razie wątpliwości zalecamy kontakt ze specjalistą.