Przewidywany czas odpowiedzi:

Moje doświadczenie

Dyplomowana Higienistka Stomatologiczna oraz Technik Sterylizacji Medycznej 

Zdobyła tytuł dyplomowanej higienistki stomatologicznej na Medycznej szkole policealnej w Nowym Targu oraz tytuł technika sterylizacji na Krakowskiej Szkole medycznej. Egzamin praktyczny i teoretyczny ukończyła z wynikiem 100 % . Od trzynastu lat jej kariera zawodowa jest związana ze stomatologią, a szczególnie z chirurgią stomatologiczną. Nieustannie poszerza swoją wiedzę i kompetencje poprzez udział w licznych kursach, szkoleniach, czy konferencjach. Największą satysfakcję daje jej samodzielna praca z pacjentem, do której podchodzi z pełnym zaangażowaniem i pasją. Preferuje nowoczesne metody higienizacji , wykorzystując między innymi protokół GBT opracowany przez firmę EMS. Wielką wagę przywiązuje do edukacji pacjentów w zakresie profilaktyki stomatologicznej. Kontakt z Pacjentami i udzielenie im fachowej pomocy daje jej największą satysfakcję z pracy. Stara się, by zabieg higienizacji był nie tylko koniecznością, ale tez miłym wspomnieniem. Dba o to, aby pacjent wychodząc z gabinetu, był zmotywowany do prawidłowej higieny i mógł cieszyć się pięknym i zdrowym uśmiechem. Swoją Prace wykonuje w powiększeniu lup.  

Przyjmuje Dorosłych i Dzieci. 

więcej O mnie

Zakres porad

  • Stomatologia ogólna

Rodzaje konsultacji

Zdjęcia i filmy

Logo
Iwona Kapka

Odlewnicza 4, 30-142 Kraków

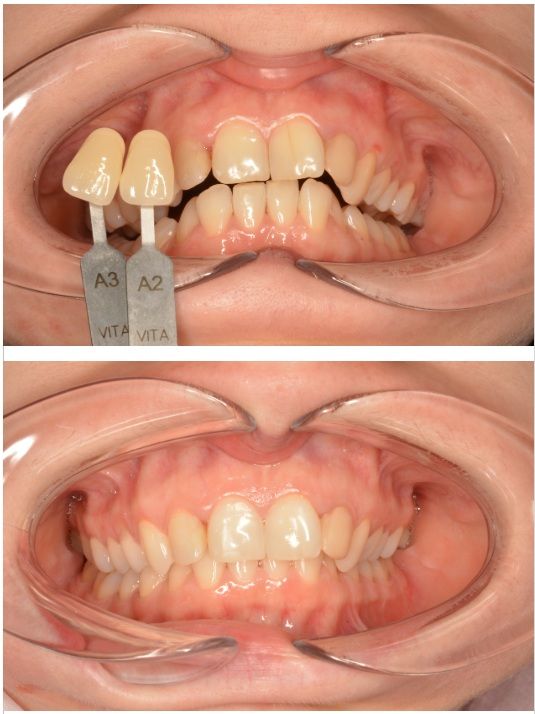
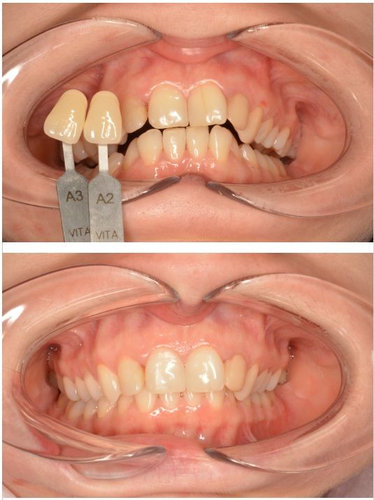
Efekt rozjaśniania zębów bezpośrednio po higienizacji. Nowość w naszym gabinecie!

To idealne rozwiązanie dla osób, które chcą uzyskać świeży, jaśniejszy uśmiech w trakcie jednej wizyty.
Zabieg:
- jest bezpieczny dla szkliwa
- nie powoduje nadwrażliwości
- daje widoczne efekty już po pierwszym razie
- można go powtarzać przy kolejnych higienizacjach dla utrzymania efektu
- zabieg trwa tylko 10 minut

24/03/2026

Usługi i ceny

  • Higienizacja

    450 zł

  • Guided Biofilm Therapy

    420 zł

  • ICON

    Od 300 zł

  • Wybielanie zębów

    2 000 zł

Adres

Powiększ mapę otwiera się w nowej karcie
Stomatologia Kalukin - Endodoncja i Implantologia

Odlewnicza 4, Krowodrza, 30-142 Kraków

Dostępność

Telefon

507 58...

Typy przyjmowanych pacjentów

  • Pacjenci prywatni (bez ubezpieczenia)
Powiększ mapę otwiera się w nowej karcie

15 opinii

Sprawdzamy wszystkie opinie. Moderujemy je zgodnie z naszymi zasadami, dowiedz się więcej o opiniach i sposobie obliczania gwiazdek na Dowiedz się więcej Dowiedz się więcej o opiniach

  • F

    Chciałabym serdecznie polecić higienizację wykonaną przez Panią Iwonę! Zabieg został przeprowadzony niezwykle profesjonalnie, dokładnie i z ogromną dbałością o mój komfort. Cały proces – od skalingu, przez piaskowanie, aż po fluoryzację – przebiegł sprawnie i bezboleśnie. Widać, że Pani Iwona ma ogromną wiedzę, doświadczenie i pasję do swojej pracy. Do tego wszystkiego jej podejście do pacjenta jest pełne empatii i życzliwości, co sprawia, że nawet osoby z dentofobią poczują się przy niej bezpiecznie i spokojnie. Jej profesjonalizm i serdeczność sprawiają, że zabieg przebiega w miłej, bezstresowej atmosferze, a efekty są naprawdę rewelacyjne – zęby lśnią czystością, a cała jama ustna jest odświeżona. Z całego serca polecam każdemu wizytę u Iwony – to nie tylko świetna specjalistka, ale też cudowna osoba! Napewno do zobaczenia!

     • Stomatologia Kalukin - Endodoncja i Implantologia higienizacja  • 

  • K

    Jestem bardzo zadowolona z profesjonalnej higienizacji jamy ustnej! Zabieg przebiegł starannie, bezboleśnie i maksymalnie komfortowo. Pani szczegółowo wyjaśniała każdy etap — usuwanie kamienia i czyszczenie. Po zabiegu zęby stały się wyraźnie jaśniejsze, a uczucie czystości i gładkości utrzymuje się do teraz. Chciałabym również podkreślić uważne i delikatne podejście. Z pewnością będę przychodzić regularnie i polecać klinikę znajomym.

     • Stomatologia Kalukin - Endodoncja i Implantologia higienizacja  • 

  • K


    Bardzo polecam wizytę u Iwony ! Profesjonalna, delikatna i niezwykle miła. Zabieg wykonany dokładnie i bez stresu, a wszystkie etapy zostały jasno wyjaśnione. Zdecydowanie wrócę na kolejną higienizacje !

     • Stomatologia Kalukin - Endodoncja i Implantologia Guided Biofilm Therapy  • 

  • K

    Pełen profesjonalizm, bezboleśnie przeprowadzony zabieg

     • Stomatologia Kalukin - Endodoncja i Implantologia higienizacja  • 

  • M

    Jestem bardzo zadowolona z wizyty u Pani Iwony. Pełen profesjonalizm, ogromna wiedza i indywidualne podejście do pacjenta. Wizyta przebiegła sprawnie i bez stresu, a atmosfera była bardzo przyjazna. Pani Iwona dokładnie wszystko wyjaśnia i dba o komfort pacjenta. Zdecydowanie polecam!

     • Stomatologia Kalukin - Endodoncja i Implantologia higienizacja  • 

  • F

    Szukałem kogoś z polecenia i nie zawiodłem się. Pani Iwona to pasjonatka w swoim fachu! Oprócz perfekcyjnie wykonanego czyszczenia, otrzymałem mnóstwo praktycznych wskazówek dotyczących codziennej higieny i doboru odpowiednich szczoteczek. Podejście do pacjenta na najwyższym poziomie – z ogromną cierpliwością i uśmiechem. Na pewno będę wracać regularnie!

     • Stomatologia Kalukin - Endodoncja i Implantologia higienizacja  • 

  • D

    Bardzo polecam Panią Iwonę. Profesjonalna, a przy tym mega sympatyczna i spokojna. Od razu człowiek czuje się zaopiekowany. Zabieg wykonany dokładnie i delikatnie, wszystko było na bieżąco tłumaczone, zero stresu. Widać doświadczenie i podejście do pacjenta. Na pewno wrócę i będę polecać dalej.

     • Stomatologia Kalukin - Endodoncja i Implantologia higienizacja  • 

  • A

    Bardzo polecam Panią Iwonę! Przemiła, delikatna i co najważniejsze niezwykle dokładna.

     • Stomatologia Kalukin - Endodoncja i Implantologia Guided Biofilm Therapy  • 

  • A

    Pełen profesjonalizm i doświadczenie. Pani Iwona z dokładnością wytłumaczyła każdy etap w zabiegu higienizacji i wykonała go z delikatnością. Byłam bardzo zaopiekowana a po wizycie dostałam pełen instruktaż jak dbać o swoje ząbki w domu. Polecam z całego serca

     • Stomatologia Kalukin - Endodoncja i Implantologia Guided Biofilm Therapy  • 

  • A

    Profesjonalnie i bezboleśnie. Będę stałą pacjentką.

     • Stomatologia Kalukin Inny  • 

Wystąpił błąd, spróbuj jeszcze raz

Najczęściej zadawane pytania