Tetiana Starodubets
Higienistka/higienista stomatologiczny
·
Więcej
O specjalizacjach
Warszawa 1 adres
Moje doświadczenie
PL:
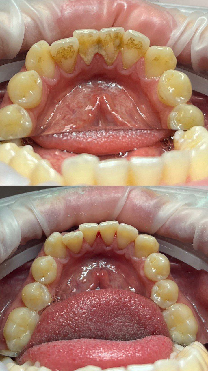
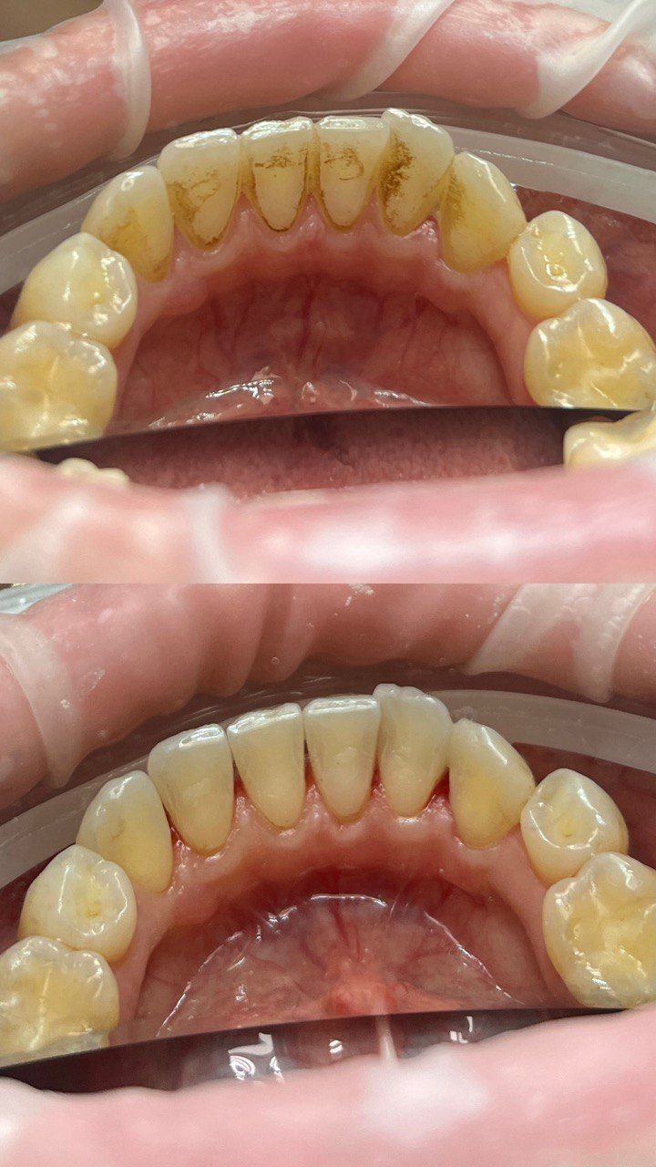
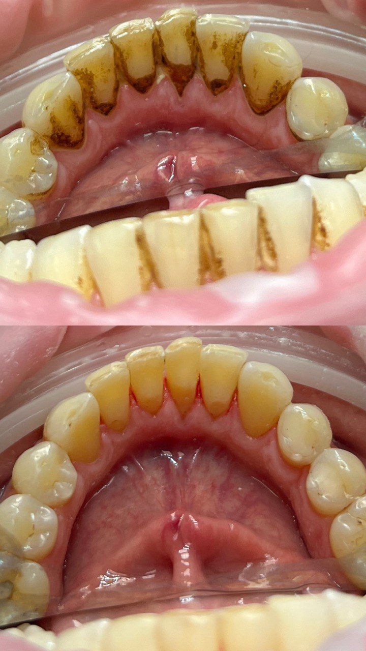
Jestem dyplomowaną higienistką stomatologiczną, specjalizującą się w profilaktyce i profesjonalnym oczyszczaniu zębów. Na co dzień wykonuję zabiegi higienizacyjne: skaling ultradźwiękowy, piaskowanie, polerowanie, fluoryzację. W pracy stawiam na delikatność i indywidualne podejście – zawsze tłumaczę, na czym polega zabieg i dbam, by pacjent czuł się spokojnie i bezpiecznie. Zależy mi, aby wizyta była komfortowa i bezstresowa, zarówno dla dorosłych, jak i dla dzieci. Wierzę, że zdrowy uśmiech zaczyna się od codziennej profilaktyki. Dlatego chętnie dzielę się praktycznymi wskazówkami dotyczącymi higieny jamy ustnej, dopasowanymi do potrzeb pacjenta.
UA:
Я дипломована стоматологічна гігієністка, спеціалізуюся на профілактиці та професійному очищенні зубів. Щодня виконую гігієнічні процедури: ультразвуковий скейлінг, чищення методом Air Flow (повітряно-водне очищення з використанням спеціального порошку), полірування та покриття зубів фторлаком для зміцнення емалі. У своїй роботі роблю ставку на делікатність та індивідуальний підхід — завжди пояснюю, як проходитиме процедура, і дбаю про те, щоб пацієнт почувався спокійно та безпечно. Мені важливо, щоб візит був комфортним і без стресу — як для дорослих, так і для дітей. Вірю, що здоров’я усмішки починається з щоденної профілактики. Саме тому охоче ділюся практичними порадами з догляду за порожниною рота, адаптованими до індивідуальних потреб кожного пацієнта.
Główne obszary pomocy
- Kamień nazębny
- Nadwrażliwość zębów
- Zapalenie dziąseł
- Przebarwienia zębów
- Stany zapalne dziąseł i błony śluzowej jamy ustnej
- +1 a11y_sr_more_diseases
Rodzaje konsultacji
Zdjęcia i filmy
Usługi i ceny
-
Higienizacja
420 zł -
-
Pakiet higienizacyjny
336 zł - 420 zł -
-
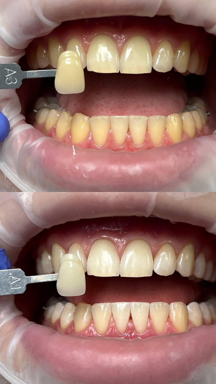
Wybielanie zębów
1 300 zł -
-
Wybielanie zębów lampą
1 000 zł - 1 120 zł -
-
Fluoryzacja zębów
150 zł -
-
-
-
Adres
Aleja Komisji Edukacji Narodowej 36A, lok. U3, Ursynów, 02-797 Warszawa
Dostępność
Telefon
Dlaczego prosimy Cię o wyrażenie zgody na przetwarzanie danych?
Wyrażenie zgody jest niezbędne do umówienia wizyty z wykorzystaniem telerejestracji. Wymagają tego przepisy Ogólnego Rozporządzenie o Ochronie Danych Osobowych - tzw. RODO. Informujemy, że zgoda jest dobrowolna, jednak jej brak uniemożliwi umówienie wizyty. Informujemy rówież, że zgoda może zostać w każdym momencie zostać wycofana. W tym celu wystarczy się skontaktować z nami przez formularz
Kiedy dojdzie do przetwarzania moich danych osobowych?
Do przetwarzania Twoich danych osobowych dojdzie podczas rozmowy telefonicznej z naszym centrum telerejestracji, ale jednak wyłącznie w sytuacji gdy tej rozmowy podasz nam swoje dane osobowe. Przetwarzanie danych osobowych dokonywane jest w celu umówienia wizyty i przekazania danych osobowych wybranemu Profesjonaliście.
Czy moje dane osobowe zostaną przekazane Profesjonaliście do którego chce się umówić na wizytę?
Tak. Udostępnimy wybranemu przez Ciebie Profesjonaliście informacje i dane osobowe które nam przekazałeś podczas rozmowy telefonicznej oraz przekażemy te informacje Profesjonaliście. Dzięki temu Profesjonalista będzie mógł przygotować się na Twoją wizytę.
Kto jest administratorem moich danych osobowych?
Administratorem danych osobowych jest ZnanyLekarz sp. z o.o. z siedzibą w Warszawie przy ul. Kolejowej 5/7. Informujemy, że po przekazaniu przez nas Twoich danych osobowych wybranemu przez Ciebie Profesjonaliście, staje się on również administratorem Twoich danych osobowych i przetwarza je w celach związanych ze świadczeniem usług medycznych lub innych podobnych.
Gdzie mogę uzyskać więcej informacji o moich prawach związanych z przetwarzaniem danych osobowych?
Więcej informacji o przetwarzaniu Twoich danych osobowychTypy przyjmowanych pacjentów
- Pacjenci prywatni (bez ubezpieczenia)
Opinie
28 opinii
Sprawdzamy wszystkie opinie. Moderujemy je zgodnie z naszymi zasadami, dowiedz się więcej o opiniach i sposobie obliczania gwiazdek na Dowiedz się więcej Dowiedz się więcej o opiniach
-
K
KE
Higienizacja skuteczna, byłem dobrze poinformowany na każdym etapie, przed rozpoczęciem działania. Higienizacja była w miarę bezbolesna i bezstresowa. Czułem się potraktowany z empatią i profesjonalizmem :)
• Smile! Stomatologia Bezstresowa • pakiet higienizacyjny •
Tetiana Starodubets
Bardzo dziękuję za opinię.
Zapraszam ponownie :)
-
M
Marta S
Bardzo polecam Panią Tetiane.
Wizyta odbyła się w przemiłej atmosferze.
Pani Tetiana jest bardzo profesjonalna, i wszystko szczegówoło wyjaśnia.
Przyszłam na higienizację, odbyło sie bezstresowo i bez bólu!
Podczas ostatniej higienizacji u innej osoby krawiły mi dziąsła i później balało, a tym razem nic! Ani krwi, ani nadwrażliwości.
Pomyślałam sobie, że to niemożliwe aby higienizacja była tak bezbolesna!
Naprawdę serdecznie polecam.
Napewno będę regularnie do Pani wracać, i jestem od dzisiaj pozytywnie nastanowiona na higienizacje (cud)!• Smile! Stomatologia Bezstresowa • pakiet higienizacyjny •
Tetiana Starodubets
Pani Marto, dziękuję za tak miłe słowa i zaufanie. Bardzo mi miło czytać tak szczegółową opinię — to dla mnie naprawdę ważne i daje dużą satysfakcję. Serdecznie zapraszam ponownie :)
-
O
Ola
Bardzo polecam wizytę u Pani Tetiany. Higienizacja została przeprowadzona dokładnie i profesjonalnie. Pani Tetiana była bardzo delikatna, wszystko na bieżąco tłumaczyła. Wizyta przebiegła w miłej, spokojnej atmosferze, bez stresu i dyskomfortu. Zdecydowanie wrócę na kolejną wizytę
• Smile! Stomatologia Bezstresowa • pakiet higienizacyjny •
Tetiana Starodubets
Pani Olu, dziękuję za miłą opinię. Cieszę się, że jest Pani zadowolona. Do zobaczenia na kolejnej wizycie! :)
-
M
Michał M.
Jestem mega zadowolony z wizyt u Pani Tetiany. Na higienizacji czuję się bardzo komfortowo, wszystko jest spokojnie i jasno wytłumaczone. Zawsze pełen profesjonalizm, dokładność i świetne, ciepłe podejście do pacjenta. Zdecydowanie polecam! :)
• Smile! Stomatologia Bezstresowa • pakiet higienizacyjny •
Tetiana Starodubets
Panie Michale, bardzo dziękuję za opinię i zaufanie. Cieszę się, że jest Pan zadowolony z wizyty. Zapraszam ponownie :)
-
A
Andrzej
Jestem bardzo zadowolony z efektów higienizacji. Zabieg został wykonany profesjonalnie, dokładnie i w miłej atmosferze. Zdecydowanie polecam i na pewno wrócę na kolejną wizytę.
• Smile! Stomatologia Bezstresowa • pakiet higienizacyjny •
Tetiana Starodubets
Panie Andrzeju, bardzo dziękuję za tak miłe słowa. Zapraszam ponownie! :)
-
L
Laura
Polecam, wszystko dokładnie wytłumaczone, bardzo miła atmosfera
• Smile! Stomatologia Bezstresowa • pakiet higienizacyjny •
Tetiana Starodubets
Pani Lauro, bardzo dziękuję za opinię i polecenie :)
-
Krzysztof Paczkowski
Wspaniała wizyta higienizacyjna z instruktażem. Ząbki wyczyszczone znakomicie - niesamowita precyzja i delikatność, nie ma się czego obawiać (a pytanie: a jaki Pan chce smak fluoru? wiśniowy? rozbiło bank :) ). Wszystko pięknie wytłumaczone - pełna informacja zwrotna: co robimy dobrze, a co warto poprawić w higinie jamy ustnej.
Tego, jak przyjazna jest atmosfera i sama Pani Tetiana nie sposób tak naprawde opisać. Każdemu polecam. Pani Tetiana świetnie też asystuje dentystom przy zabiegach - zapewnia pacjentom super komfort (a naprawdę różnie z tym bywa u innych).
W skali o 1 do 10: 11 :)• Smile! Stomatologia Bezstresowa • pakiet higienizacyjny •
Tetiana Starodubets
Panie Krzysztofie, bardzo serdecznie dziękuję za tak miłą i szczegółową opinię. Ogromnie się cieszę, że był Pan zadowolony z wizyty — takie słowa są dla mnie ogromną motywacją. Miło mi również, że docenił Pan moją pracę przy asyście :)
Dziękuję za zaufanie i do zobaczenia na kolejnej wizycie!
-
J
Joanna
Higienizacja idealna :) Bez bólu, z dużą uważnością na pacjenta, bez pośpiechu, starannie. Pani Tetiana wszystko dokładnie wyjaśnia i daje dużo cennych porad na przyszłość. Czułam się w pełni zaopiekowana. Serdecznie polecam :)
• Smile! Stomatologia Bezstresowa • pakiet higienizacyjny •
Tetiana Starodubets
Pani Joanno, bardzo dziękuję za tak miłe słowa. To dla mnie ogromna motywacja do dalszej pracy. Zapraszam ponownie :)
-
J
Jadwiga
Komfortowy zabieg i świetne podejście do pacjenta. Polecam
• Smile! Stomatologia Bezstresowa • higienizacja •
Tetiana Starodubets
Pani Jadwigo, dziękuję serdecznie za opinię! :)
-
G
Gabriel Verne
Szczegółowa, delikatna, wyczulona i przyjazna. 11/10!
• Smile! Stomatologia Bezstresowa • higienizacja •
Tetiana Starodubets
Bardzo dziękuję za miłe słowa! :)
Najczęściej zadawane pytania
-
Jaki jest zakres porad oferowanych przez Tetiana Starodubets?Tetiana Starodubets to higienistka/higienista stomatologiczny. Na podstawie swojego doświadczenia i wykształcenia Tetiana Starodubets oferuje usługi takie jak: scaling, piaskowanie, pakiet higienizacyjny, higienizacja, trening higieny z instruktażem, wybielanie zębów lampą, Wybielanie zębów, fluoryzacja zębów.
-
Gdzie Tetiana Starodubets ma swój gabinet?Tetiana Starodubets przyjmuje pod adresem:
- Aleja Komisji Edukacji Narodowej 36A, lok. U3 Warszawa
-
Czy Tetiana Starodubets przyjmuje online, bez konieczności pojawiania się w placówce?Nie, w tym momencie Tetiana Starodubets nie oferuje konsultacji online.
-
Jak Tetiana Starodubets akceptuje płatności po wizycie?Metody płatności, które akceptuje Tetiana Starodubets to: Gotówka, Karta płatnicza, Przelew na konto, Płatność ratalna.
-
W jakich językach konsultuje Tetiana Starodubets?Języki, których używa Tetiana Starodubets to polski, ukraiński, rosyjski.
-
Jak Tetiana Starodubets umawia wizyty?Tetiana Starodubets używa kalendarza ZnanyLekarz, dlatego na stronie widzisz aktualne terminy. Wystarczy, że wybierzesz datę i godzinę, które odpowiadają Ci najbardziej. Umawianie wizyty jest darmowe, a tuż przed terminem wyślemy Ci przypomnienie.
-
W jakich godzinach przyjmuje Tetiana Starodubets?Tetiana Starodubets może mieć dostępne terminy w tym lub w nadchodzącym tygodniu. Terminy, które widzisz w kalendarzu są dostępne, ponieważ aktualizujemy go na bieżąco. Jeśli pierwszy dostępny termin Ci nie odpowiada, sprawdź następny. Rezerwacja terminu jest natychmiastowa, bez dodatkowych opłat.
-
Tetiana Starodubets: co mówią pacjenci?28 osób dodało swoją opinię. Tetiana Starodubets ma średnią ocen 5 (na 5 gwiazdek).
-
Jakie ubezpieczenia akceptuje Tetiana Starodubets?Tetiana Starodubets nie przyjmuje w ramach ubezpieczenia, tylko w ramach płatnych wizyt prywatnych. W razie wątpliwości zalecamy kontakt ze specjalistą.
- Higienistki/higieniści stomatologiczni z INTER Polska w Warszawie
- Higienistki/higieniści stomatologiczni z Allianz w Warszawie
- Higienistki/higieniści stomatologiczni z Signal Iduna w Warszawie
- Higienistki/higieniści stomatologiczni z Compensa w Warszawie
- Higienistki/higieniści stomatologiczni z POLMED w Warszawie