Przewidywany czas odpowiedzi:

Moje doświadczenie

Nazywam się Sylwia i jestem dyplomowaną higienistką stomatologiczną.

Należę do sekcji Profilaktyki i Promocji Zdrowia Polskiego Towarzystwa Stomatologicznego.

Posiadam ponad 18-letnie doświadczenie w pracy z Pacjentami, zarówno dorosłymi, jak i z dziećmi.

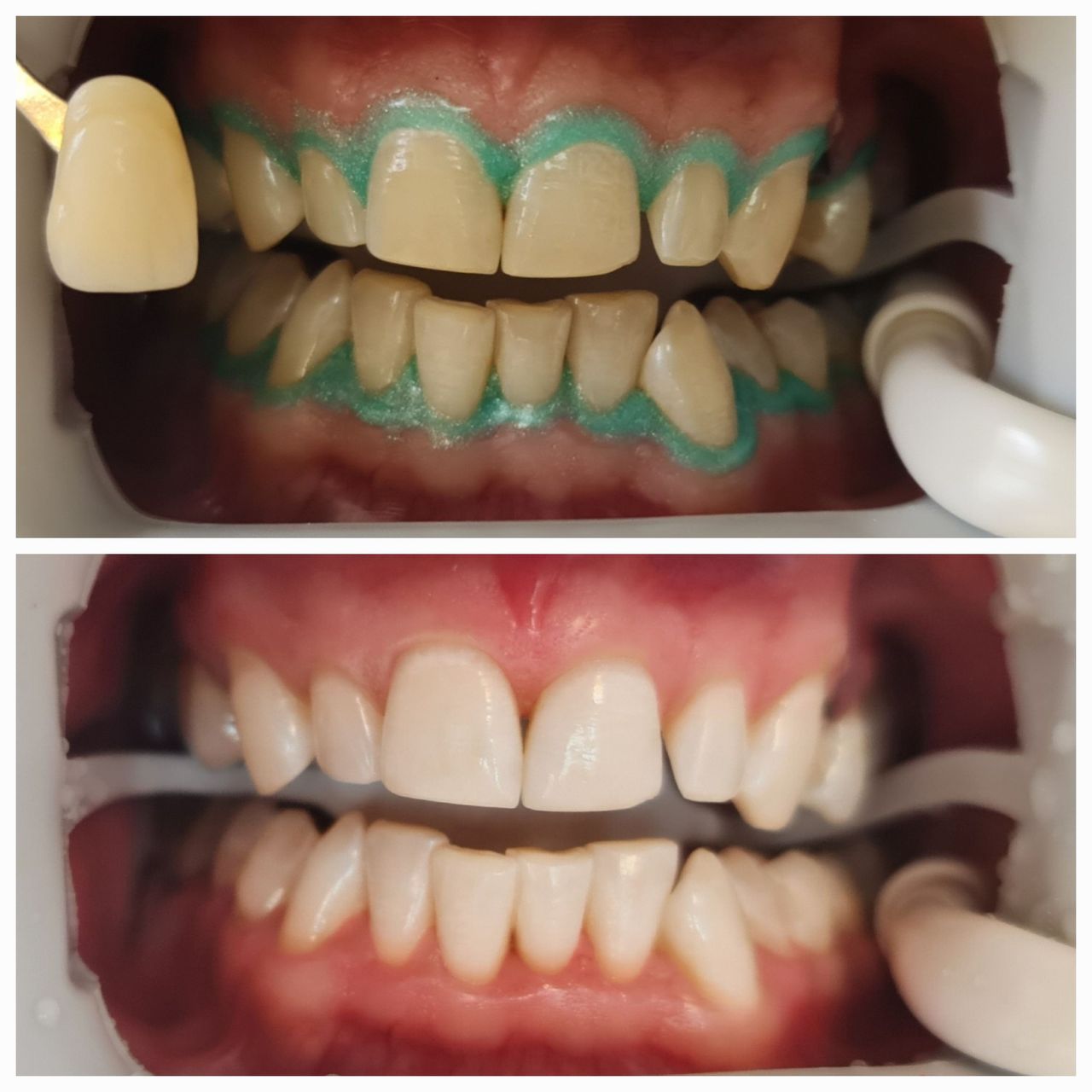
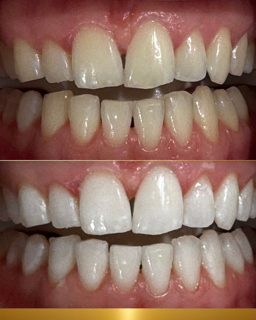
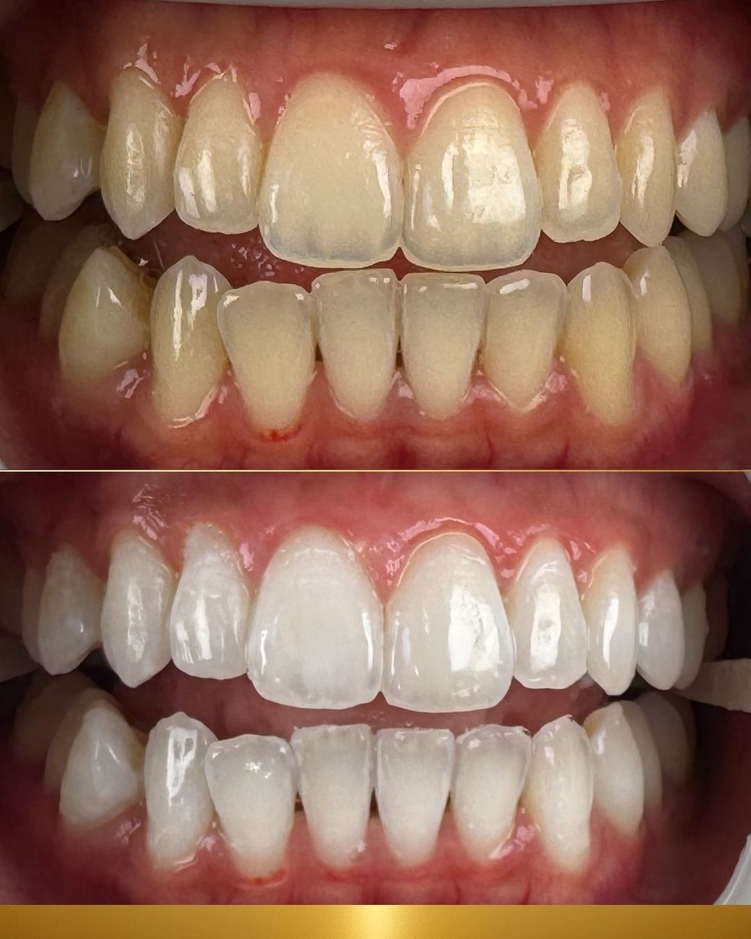
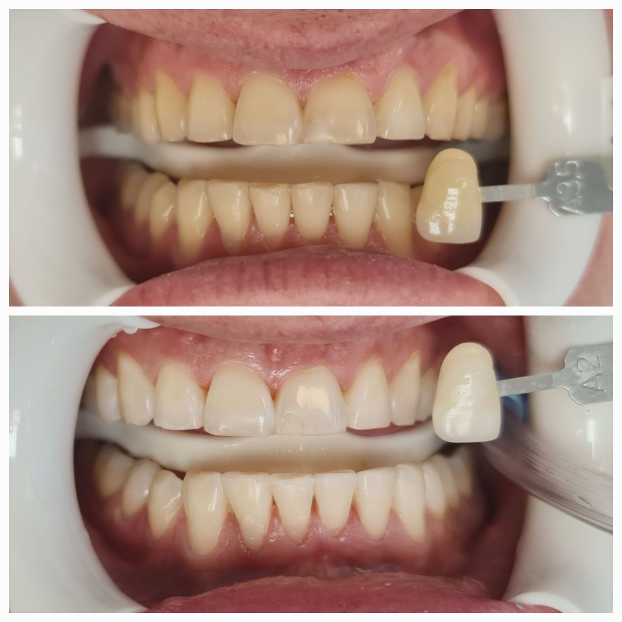
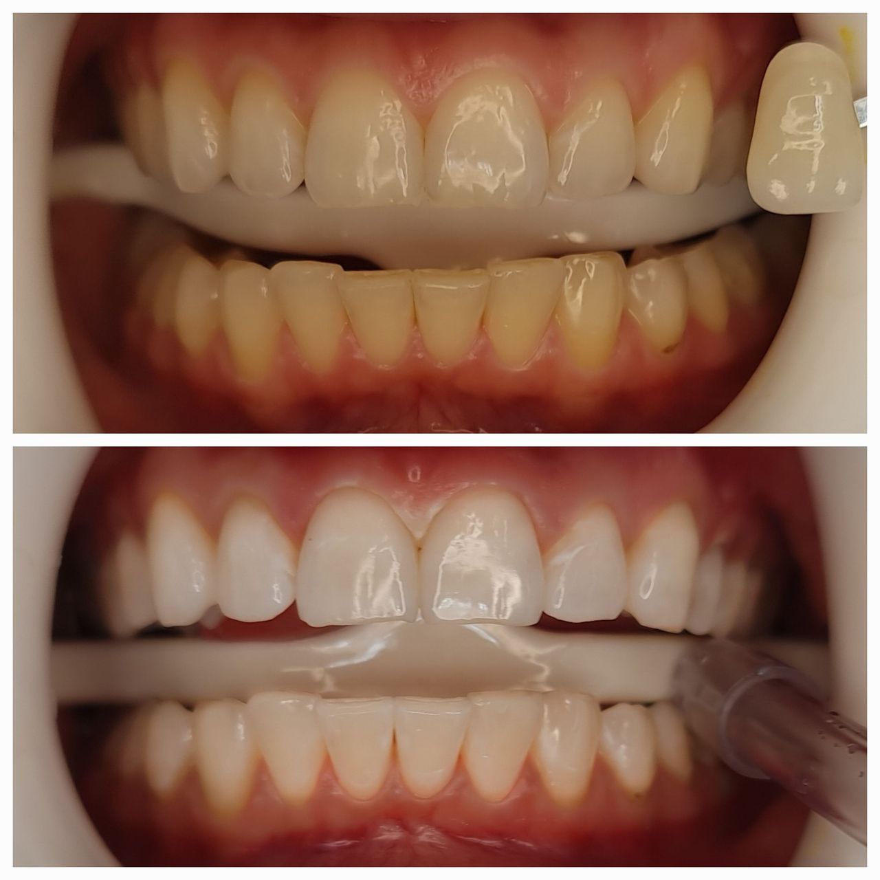
W swojej pracy przykładam dużą wagę do promowania i edukacji w zakresie profilaktyki jamy ustnej. Wykonuje takie zabiegi jak skaling (usuwanie kamienia nazębnego), piaskowanie (usuwanie różnego rodzaju osadów nazębnych), fluoryzacje u dzieci oraz dorosłych, zakładanie biżuterii nazębnej, zdjejmowanie i zakładanie retencji stałej, lakowanie bruzd, leczenie nadwrażliwości zębów, ICON- infiltracja próchnicy na wczesnym etapie jej rozwoju oraz wybielanie nakładkowe oraz gabinetowe. Wykonuje również retencje stałe (nakładki) oraz szyny wybielające:)

Wykonuje zabiegi u pacjentów ortodontycznych (z aparatami ortodontycznymi), periodontologicznych oraz z uzupełnieniami protetycznymi. Wizyta odbywa się w swobodnej, luźnej atmosferze, bez niepotrzebnego stresu.

Zapraszam serdecznie!

więcej O mnie

Zakres porad

  • Stomatologia ogólna
  • Stomatologia dziecięca

Rodzaje konsultacji

Zdjęcia i filmy

Logo
mgr Sylwia Duszyńska

Śródziemnomorska 43/LU2, 02-758 Warszawa

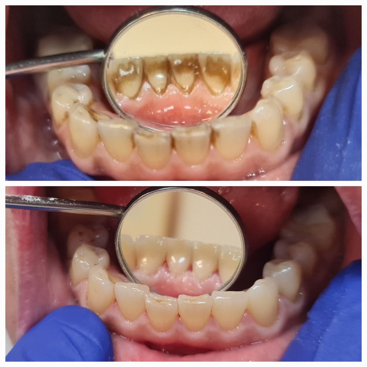
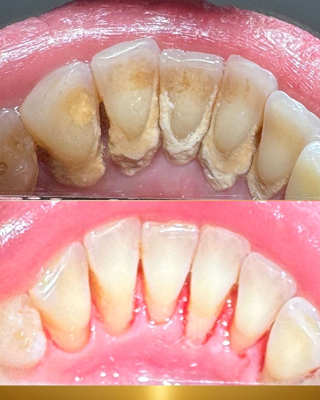
W naszym gabinecie zabieg higienizacji wykonywany jest przy użyciu nowoczesnego urządzenia EMS Airflow Prophylaxis Master, zgodnie z protokołem GBT (Guided Biofilm Therapy).

Dzięki tej metodzie:
- Usuwamy biofilm, przebarwienia i kamień nazębny w sposób bezpieczny i komfortowy
- Redukujemy ryzyko próchnicy i chorób dziąseł
- Zapewniamy skuteczną ochronę implantów i aparatów ortodontycznych
- Minimalizujemy nadwrażliwość dzięki delikatnemu działaniu

Zapraszamy na profesjonalną higienizację!

01/04/2025

Usługi i ceny

  • Higienizacja

    Od 350 zł

  • Nakładkowe wybielanie zębów

    900 zł

  • Wybielanie zębów

    1 400 zł

  • Usuwanie kamienia nazębnego

    380 zł

  • Szyna relaksacyjna

    600 zł

Adres

Powiększ mapę otwiera się w nowej karcie
QTSmile

Śródziemnomorska 43/LU2, Mokotów, 02-758 Warszawa

Dostępność

Telefon

575 05...

Typy przyjmowanych pacjentów

  • Pacjenci prywatni (bez ubezpieczenia)
Powiększ mapę otwiera się w nowej karcie

126 opinii

Sprawdzamy wszystkie opinie. Moderujemy je zgodnie z naszymi zasadami, dowiedz się więcej o opiniach i sposobie obliczania gwiazdek na Dowiedz się więcej Dowiedz się więcej o opiniach

  • A

    Jak zawsze wszystko wspaniale, Pani Sylwia jest niezastąpiona! :)

     • QTSmile higienizacja  • 

  • K

    Polecam, bardzo miła i kompetentna Pani. Dokładnie i w miłej atmosferze.

     • QTSmile higienizacja  • 

  • A

    Byłam na wybielaniu lampa, efekt jest bardzo zadowalający. Pani Sylwia wszystko wyjaśniła, pytała się czy wszystko w porządku podczas zabiegu. Wykazała się profesjonalizmem.

     • QTSmile wybielanie zębów lampą  • 

    mgr Sylwia Duszyńska

    Bardzo dziękuje za miłą opinię:-)
    Do zobaczenia ponownie:-)


  • D

    Bardzo polecam Pani Sylwię! Po zabiegu ICON moje zęby znów wróciły do pięknego koloru i wyglądu!

     • QTSmile ICON  • 

    mgr Sylwia Duszyńska

    Bardzo dziękuje za miłą opinię:-)
    Do zobaczenia ponownie:-)


  • A

    Spokojnie, dokładnie i z wyczuciem. Bardzo dobry efekt po zabiegu.

     • QTSmile higienizacja  • 

    mgr Sylwia Duszyńska

    Bardzo dziękuję za miłą opinie;)
    Do zobaczenia na kolejnej wizycie;)


  • W

    Profesjonalnie, bezboleśnie i z super efektem, bardzo polecam!

     • QTSmile higienizacja + wybielanie  • 

    mgr Sylwia Duszyńska

    Dziękuję bardzo za miłą opinię;)
    Do zobaczenia ponownie;)


  • M

    Bardzo polecam.Efekt super.Profesjonalne podejście

     • QTSmile higienizacja + wybielanie  • 

    mgr Sylwia Duszyńska

    Bardzo dziękuję za miłą opinie;)
    Do zobaczenia ponownie;)


  • M

    Serdecznie polecam Panią Sylwię, mam dosyć nieprzyjemne wspomnienia z zabiegu higienizacji wykonanego w innej klinice. Tutaj wszystko przebiegło bezboleśnie, Pani Sylwia jest bardzo delikatna i dodatkowo otrzymałem poradę w kwestii "pozostałości" po retencji, gdzie nikt inny wcześniej nie zwrócił na to uwagi. Pani Sylwia to profesjonalista w swoich fachu. Polecam!

     • QTSmile pakiet higienizacyjny  • 

    mgr Sylwia Duszyńska

    Bardzo dziękuję za miłą opinię ;)
    Do zobaczenia na kolejnej wizycie;)


  • M

    Serdecznie polecam Panią Sylwię,zabieg ,który na ogół jest nieprzyjemny -w wykonaniu Pani Sylwii okazał się całkowitym odprężeniem.To profesjonalistka,która łączy doświadczenie z delikatnością i dokładnością oraz zaangażowaniem.

     • QTSmile pakiet higienizacyjny  • 

    mgr Sylwia Duszyńska

    Bardzo dziękuję za miłą opinię ;)
    Do zobaczenia na kolejnej wizycie;)


  • L

    Polecam! Wszystko super, przyjemna atmosfera.
    Usunięcie biżuterii nazębnej poszło sprawnie i bezboleśnie :)

     • QTSmile biżuteria nazębna  • 

    mgr Sylwia Duszyńska

    Bardzo dziękuję za miłą opinię ;)
    Do zobaczenia na kolejnej wizycie;)


Wystąpił błąd, spróbuj jeszcze raz

Najczęściej zadawane pytania