lek. dent. Piotr Puchała

Stomatolog · Więcej O specjalizacjach

Katowice 1 adres

Nr PWZ: 2327518

94 opinie
Przewidywany czas odpowiedzi:

Moje doświadczenie

Dziedziny, które pasjonują mnie najbardziej to nowoczesna endodoncja mikroskopowa, implantologia, stomatologia estetyczna i mikrochirurgia stomatologiczna, stąd też większość moich specjalistycznych kursów i szkoleń praktycznych dotyczy właśnie tej tematyki.

W 2012 i 2017 roku otrzymałem decyzją Pacjentów tytuł Dentysty Roku.
W 2017 roku mój Post pokazujący przypadek leczenia Pacjenta został uznany za jeden z najlepszych na świecie!!! Wyróżnienie przyznano w grupie Style Italiano Endodontics, która łączy 65000 stomatologów z całego świata.

W swojej pracy opieram się na bogatym doświadczeniu oraz wszechstronnym wykształceniu. Ukończyłem studia medyczne na Wydziale Lekarskim z Oddziałem Lekarsko-Dentystycznym Śląskiej Akademii Medycznej. Staż podyplomowy odbyłem w Akademickim Centrum Stomatologii i Medycyny Specjalistycznej w Bytomiu m.in. na Katedrze Stomatologii Zachowawczej z Endodoncją oraz Katedrze Chirurgii Stomatologicznej.

Od 2006 roku wykonuję leczenie endodontyczne pod mikroskopem. W codziennej pracy wykorzystuję najbardziej zaawansowany technologicznie mikroskop stomatologiczny OPMI PROergo oraz lupy zabiegowe EyeMag Pro S firmy Carl Zeiss. Praca w powiększeniu jest niezbędna podczas wszystkich zabiegów stomatologicznych.

Od 2006 roku przeprowadzam zabiegi niechirurgicznego leczenia chorób przyzębia metodą VECTOR.
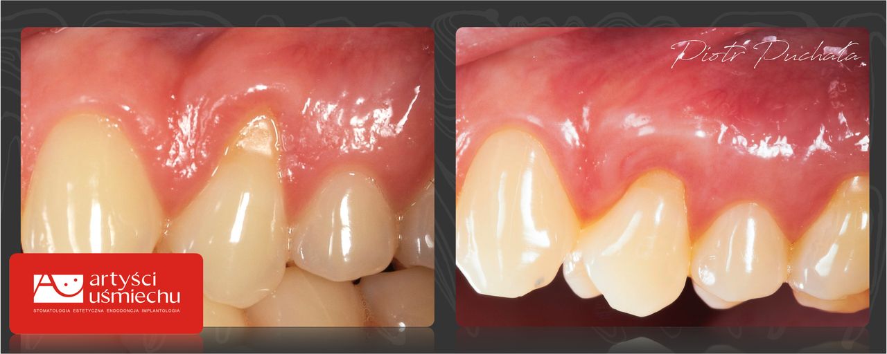
Zajmuję się mikrochirurgią periodontologiczną obejmującą estetyczne korekty kształtu dziąsła oraz przeszczepy i regenerację tkanek.

Jako jeden z pierwszych w Polsce i jedyny na Śląsku ukończyłem Autorski Podyplomowy Program Curriculum Peiodontologiczno - Implantologiczego Profesora Markusa Hürzelera z Monachium.
Do swego dorobku zawodowego mogę zaliczyć liczne publikacje stomatologiczne.

Prowadzę specjalistyczne szkolenia dla lekarzy.
Jestem twórcą koncepcji leczenia i szkoleń praktycznych "kreatywna endodoncja".

Prywatnie jestem tatą Franka i Liliany, pasjonatem sportów wodnych, modelarstwa i fotografii.
więcej O mnie

Zakres porad

  • Chirurgia stomatologiczna
  • Stomatologia ogólna
  • Stomatologia zachowawcza z endodoncją
  • Periodontologia
  • Protetyka stomatologiczna
Pokaż więcej

Pacjenci których przyjmuję

Dorośli
Dzieci

Rodzaje konsultacji

Zdjęcia i filmy

Logo
lek. dent. Piotr Puchała

Chorzowska 216F, 40-101 Katowice

Nowy uśmiech w 1 dzień?!
TAK, bo bonding stomatologiczny wykonany przez eksperta w dziedzinie dopasowywania kształtu, koloru i materiału wygląda w 100% naturalnie. To zęby jak prawdziwe, a nie jak hollywoodzka karykatura!
TAK, bo bonding stomatologiczny to nieinwazyjna, przyjazna pacjentowi technika. Nie wymaga usuwania znacznej ilości naturalnej struktury zębów. Jest genialną alternatywą dla licówek porcelanowych.
TAK, bo bonding stomatologiczny to wyjątkowa szybka technika poprawiania uśmiechu.

30/03/2024

Usługi i ceny

  • Konsultacja bruksizmu

    300 zł

  • Konsultacja z leczenia bólu

    300 zł

  • Konsultacja endodontyczna

    300 zł

  • Konsultacja implantologiczna

    300 zł

  • Konsultacja stomatologiczna (pierwsza wizyta)

    300 zł

Adres

Powiększ mapę otwiera się w nowej karcie
Artyści Uśmiechu Stomatologia Estetyczna Endodoncja Implantologia

Chorzowska 216F, 40-101 Katowice

Dostępność

Telefon

32 758...
Powiększ mapę otwiera się w nowej karcie

Ubezpieczenia nieakceptowane

Specjalista przyjmuje tylko pacjentów prywatnych. Możesz zapłacić z własnej kieszeni lub znaleźć innego specjalistę, który akceptuje Twoje ubezpieczenie.

94 opinie

Najczęściej wymieniane przez pacjentów

  • Szczegółowe wyjaśnienia
  • Przyjazny gabinet
  • Punktualność

Sprawdzamy wszystkie opinie. Moderujemy je zgodnie z naszymi zasadami, dowiedz się więcej o opiniach i sposobie obliczania gwiazdek na Dowiedz się więcej Dowiedz się więcej o opiniach

  • P

    Bardzo dobra atmosfera, komunikatywność i zaangażowanie wszystkich osób tam pracujących.

    • Zaangażowanie lekarza
    • Szczegółowe wyjaśnienia
    • Przyjazny gabinet
    • Punktualność
     • Artyści Uśmiechu Stomatologia Estetyczna Endodoncja Implantologia konsultacja endodontyczna  • 

  • A

    Szczerze mówiąc, nie spodziewałem się niczego innego. Piotr Puchała należy do ścisłej czołówki w swojej dziedzinie – jeśli ktoś jeszcze o nim nie słyszał, to warto to nadrobić! Wizyta była bardzo przyjemna. Od samego wejścia pełna organizacja, wsparcie, konsultacja, rozmowa – wszystko profesjonalnie przygotowane pod potrzeby pacjenta.
    Krótko mówiąc – polecam!

    • Zaangażowanie lekarza
    • Szczegółowe wyjaśnienia
    • Skuteczność leczenia
    • Przyjazny gabinet
    • Punktualność
     • Artyści Uśmiechu Stomatologia Estetyczna Endodoncja Implantologia konsultacja bruksizmu  • 

  • B

    Dr.Piotr Puchała jest lekarzem z powołania bardzo profesjonalny oraz dokładny daje nie tylko pacjentą uśmiech ale nadzieję że w jego gabinecie zdarzają się cuda,ktore robi z zębami gorąco polecam jest poprostu najlepszy

    • Zaangażowanie lekarza
    • Szczegółowe wyjaśnienia
     • Artyści Uśmiechu Stomatologia Estetyczna Endodoncja Implantologia badanie RTG  • 

  • E

    It was painless and I like how punctual and polite he was

    • Szczegółowe wyjaśnienia
    • Przyjazny gabinet
    • Punktualność
     • Artyści Uśmiechu Stomatologia Estetyczna Endodoncja Implantologia badanie RTG  • 

  • J

    Całkowicie polecam Doktora Piotra Puchałę. Bardzo profesjonalne podejście oraz wyjątkowo miły i empatyczny człowiek. Kilka zębów miałam leczonych kanałowo, były to poprawki po dawnym leczeniu w innych gabinetach. Doktor usunął również jednego zęba, wszystko odbyło się totalnie bezboleśnie, szybko i sprawnie. Jestem bardzo zadowolona z tych usług stomatologicznych. Klinika posiada bardzo dobry sprzęt. Panie w rejestracji są również miłe i pomocne.

    • Zaangażowanie lekarza
    • Szczegółowe wyjaśnienia
    • Skuteczność leczenia
    • Przyjazny gabinet
    • Punktualność
     • Artyści Uśmiechu Stomatologia Estetyczna Endodoncja Implantologia Powtórne leczenie kanałowe pod mikroskopem  • 

  • A

    Pan dr Piotr Puchała jest znakomitym i bardzo doświadczonym specjalistą w dziedzinie szeroko rozumianej stomatologii. Niezwykle zaangażowany w problemy zdrowotne pacjenta. Mój trudny przypadek został przez Pana doktora bardzo szybko zdiagnozowany. Natychmiastowa reakcja oraz zalecone leczenie znacząco poprawiły stan mojego zdrowia. Dziękuję Panie Doktorze za okazaną życzliwość i pomoc. Mój zgryz poprawił się, a dolegliwości bólowe stawu żuchwowo- skroniowego ustąpiły.

    • Zaangażowanie lekarza
    • Szczegółowe wyjaśnienia
    • Skuteczność leczenia
    • Przyjazny gabinet
    • Punktualność
     • Artyści Uśmiechu Stomatologia Estetyczna Endodoncja Implantologia  • 

  • A

    Bardzo miła i sympatyczna obsługa. Najbardziej obawiałam się, że będzie mnie bolało, ale okazało się, że moje obawy były niepotrzebne. Na wizycie byłam z mamą bo mam niecałe 16 lat. Okazało się, że wizyta była bezbolesna i bardzo sympatyczna. Pan doktor zalecił usunięcie ósemek, które jeszcze nie wyrosły, bo mam mało miejsca. Ponieważ wiem, jak fajne było leczenie, bez strachu przyjadę je usunąć :))

    • Zaangażowanie lekarza
    • Szczegółowe wyjaśnienia
    • Skuteczność leczenia
    • Przyjazny gabinet
    • Punktualność
     • Artyści Uśmiechu Stomatologia Estetyczna Endodoncja Implantologia ratowanie zębów przed usunięciem ®  • 

  • U

    Całkowicie polecam doktora Piotra Puchała wszystkim, którzy szukają wysokiej jakości opieki stomatologicznej. Miałam leczonych kilka zębów i wszystko odbyło się bezboleśnie. Jeszcze raz bardzo dziękuję.

    • Zaangażowanie lekarza
    • Szczegółowe wyjaśnienia
    • Skuteczność leczenia
    • Przyjazny gabinet
    • Punktualność
     • Artyści Uśmiechu Stomatologia Estetyczna Endodoncja Implantologia ratowanie zębów przed usunięciem ®  • 

  • A

    Doktor Puchała podszedł do mojego planu leczenia bardzo profesjonalnie, wszystko dokładnie wyjaśnił. Z pewnością skorzystam z usług tej Kliniki, polecam wszystkim którzy mają dylemat lub traumę spowodowaną wcześniejszymi wizytami w gabinecie dentystycznym. Przyjazny gabinet od samego wejścia :)

    • Zaangażowanie lekarza
    • Szczegółowe wyjaśnienia
    • Przyjazny gabinet
    • Punktualność
     • Artyści Uśmiechu Stomatologia Estetyczna Endodoncja Implantologia  • 

  • I

    Doktor Piotr uratował mi zęba jedynkę górną już kilka lat temu. Teraz byłem na kontroli RTG i wszystko jest super. Ząb który kilka osób chciało usunąć został uratowany i odbudowany koroną. Wygląda pięknie i nic mnie nie boli. Dziękuję.

    • Zaangażowanie lekarza
    • Szczegółowe wyjaśnienia
    • Skuteczność leczenia
    • Przyjazny gabinet
    • Punktualność
     • Artyści Uśmiechu Stomatologia Estetyczna Endodoncja Implantologia ratowanie zębów przed usunięciem ®  • 

Wystąpił błąd, spróbuj jeszcze raz

Odpowiedzi na pytania

750 odpowiedzi udzielonych przez lekarza na pytania pacjentów na ZnanyLekarz.pl

Witam.Szukam stomatologa,ktòry zajmuje się profesjonalnym leczeniem parodontozy.

Zapraszam do Katowic. Chętnie przeprowadzę pełną diagnostykę oraz leczenie.

lek. dent. Piotr Puchała

Witam. Jakiś czas temu leżąc na łóżku cos mi strzeliło w szczęce po prawej stronie. Jedyn obiaw jaki był to ból po tamtej stronie który trwa z 2 dni po wszystkim bol ustal lecz co noc budze się z zatkanym uchem (gdy spie na prawej stronie) aby odetkać musze tak jakby "pogłaskać" się właśnie za tym uchem. To jednym obiaw jaki pozostal. Co może być przyczyną i jak zminimalizować objaw zatykającego się ucha w nocy?

Jest to problem ze stawem skroniowo żuchwowym. Trzeba wykonać pełną diagnostykę oraz prawdopodobnie szybę relaksacyjną. Przyczyn bruksizmru może być wiele, wszystko jest do oceny w gabinecie podczas konsultacji.

lek. dent. Piotr Puchała
Zobacz wszystkie odpowiedzi

Wszystkie treści, w szczególności pytania i odpowiedzi, dotyczące tematyki medycznej mają charakter informacyjny i w żadnym wypadku nie mogą zastąpić diagnozy medycznej.

Najczęściej zadawane pytania