lek. dent.
Marta Knopp
Stomatolog
·
Lekarz wykonujący zabiegi medycyny estetycznej
Więcej
O specjalizacjach
Suchy Las 3 adresy
Nr PWZ: 2379747
75 opiniiMoje doświadczenie
jestem Marta i od zawsze wiedziałam, że będę lekarzem :)
Ukończyłam Wydział Lekarsko-Dentystyczny Uniwersytetu Medycznego im. Karola Marcinkowskiego w Poznaniu oraz Studia Podyplomowe z Medycyny Estetycznej na Warszawskim Uniwersytecie Medycznym.
Jako stomatolog pomagam ludziom przełamać wstyd i w atmosferze zrozumienia przywracam zdrowie jamy ustnej, co wznosi ich życie na wyższy poziom. Moim szczególnym zamiłowaniem jest dyskretna ortodoncja nakładkowa, leczenie estetyczne oraz mikroskopowe leczenie kanałowe, które pozwoliło uratować już nie jeden ząb.
Od 4 lat prężnie rozwijam się jako lekarz medycyny estetycznej. Działając zgodnie z filozofią smart-aiging, dbam, aby Pacjenci pozostali sobą w swojej najlepszej wersji.
Należę do Polskiego Towarzystwa Medycyny Estetycznej i Anty-Aiging oraz Polskiego i Europejskiego Towarzystwa Endodontycznego. Rozwój osobisty jest dla mnie niezwykle ważny, a w swojej praktyce stawiam na relacje, zaufanie i kompetencje. Leczę w oparciu o slow medicine, czyli z indywidualnym podejściem, przewidywalnie i rzetelnie, co przynosi piękne i trwałe rezultaty.
Zapraszam! Umów wizytę, porozmawiamy. Zrób tylko to. Z resztą Ci pomogę. Krok po kroku przeprowadzę w kierunku zdrowia, zadowolenia i pewności siebie :) Odwagi!
Zakres porad
- Medycyna estetyczna
- Ortodoncja
- Protetyka stomatologiczna
- Stomatologia ogólna
- Stomatologia zachowawcza z endodoncją
Główne obszary pomocy
- Przebarwienia zębów
- Braki zębowe
- Bruksizm
- Nadwrażliwość zębów
- Złogi nazębne
- +25 a11y_sr_more_diseases
Pacjenci których przyjmuję
Rodzaje konsultacji
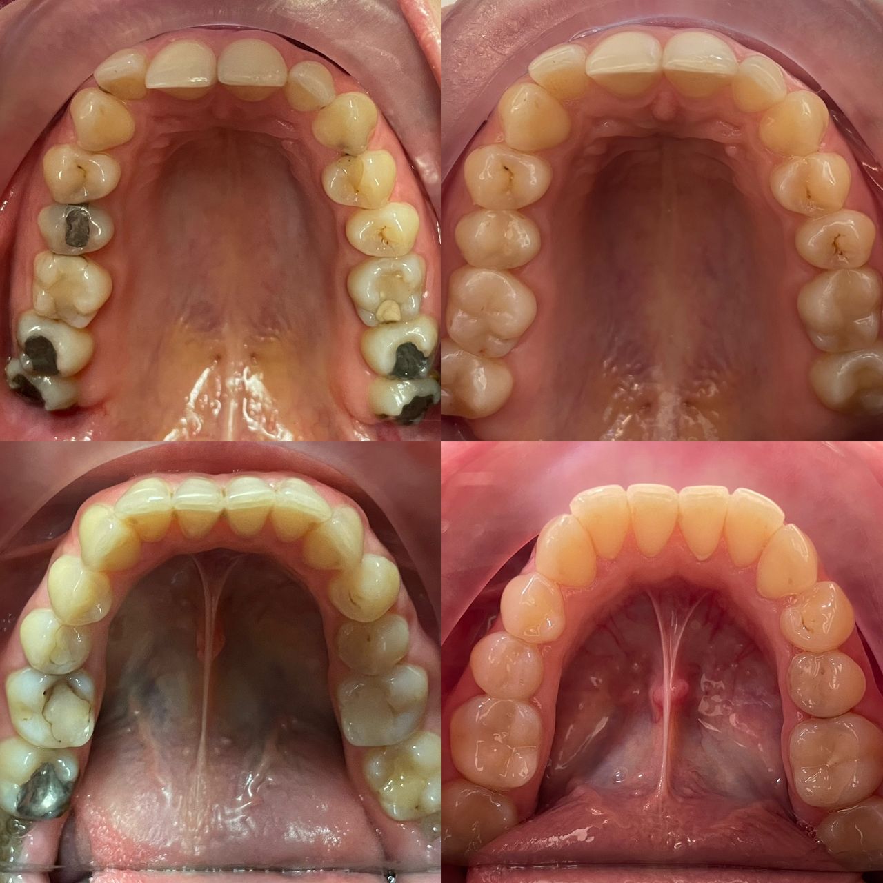
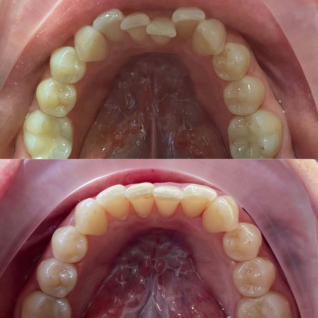
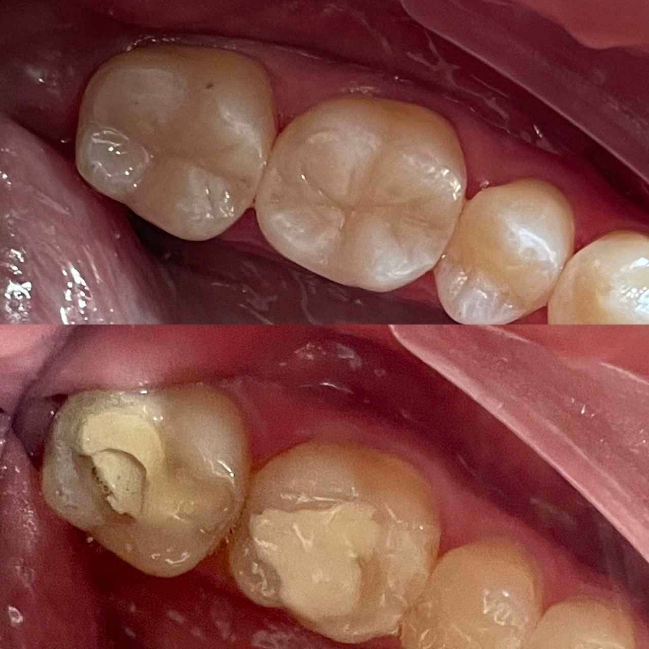
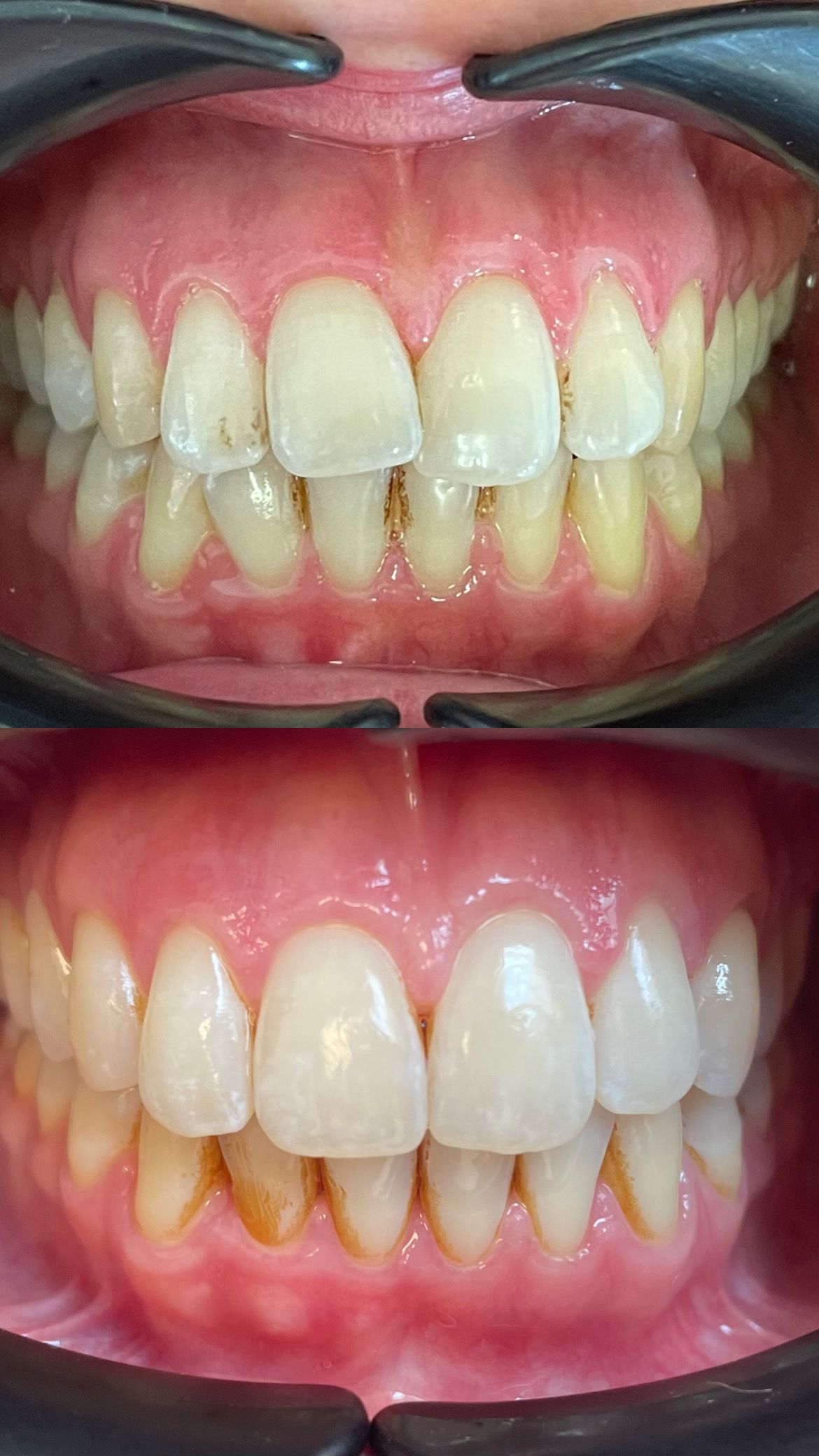
Zdjęcia i filmy
Usługi i ceny
-
Konsultacja stomatologiczna
350 zł -
-
Likwidacja diastemy
-
-
Modelowanie ust
Od 1 000 zł -
-
Modelowanie policzków
Od 1 300 zł -
-
Modelowanie brody 1ml
Od 1 200 zł -
-
-
-
-
-
-
-
-
-
-
-
-
-
-
-
-
-
-
-
-
-
-
-
-
-
-
-
-
-
-
-
-
-
-
-
-
-
-
-
-
-
-
-
-
-
-
-
-
-
-
-
-
-
-
-
-
-
-
-
-
-
-
-
-
-
-
-
-
-
-
-
-
-
-
-
-
-
-
-
-
-
-
-
-
-
-
-
-
-
-
-
-
-
-
-
-
-
-
-
-
-
-
-
-
-
-
-
-
-
-
-
-
-
-
-
-
-
-
-
-
-
-
-
-
-
-
-
-
-
Adresy (3)
Kubackiego 50, 62-002 Suchy Las
Dostępność
Typy przyjmowanych pacjentów
- Pacjenci prywatni (bez ubezpieczenia)
Śniadeckich 10A, Grunwald, 60-774 Poznań
Dostępność
Typy przyjmowanych pacjentów
- Pacjenci prywatni (bez ubezpieczenia)
Złotowska 51b/4, Grunwald, 60-184 Poznań
Dostępność
W tym gabinecie nie można umawiać wizyt przez internet
Typy przyjmowanych pacjentów
- Pacjenci prywatni (bez ubezpieczenia)
Opinie
75 opinii
Sprawdzamy wszystkie opinie. Moderujemy je zgodnie z naszymi zasadami, dowiedz się więcej o opiniach i sposobie obliczania gwiazdek na Dowiedz się więcej Dowiedz się więcej o opiniach
-
M
Monika
Pani Marta jest przemiłą, kompetentną lekarką i świetnie, z dużym wyczuciem i delikatnością posługuje się igłą. Polecam każdej kobiecie i mężczyźnie wizytę u Pani Marty. Poza tym sama uroda lekarki i poękny uśmiech jest wizytówką firmy;)
• Esthea • Botoks - lwia zmarszczka •
-
W
Wioletta
Przyjemna atmosfera, Pani Marta przedstawiła w sposób zrozumiały przebieg zabiegu, profesjonalnie omawia wszelkie wątpliwości. Wysoka jakość podanych preparatów.
• Esthea • Botoks - lwia zmarszczka •
-
J
Justyna Pytko Kaczmarek
Niezwykle ciepła Pani doktor ..Zabieg usuwania kurzajki przebiegł spokojnie chociaż córka bardzo się bała .Pani doktor wszystko wyjaśniła i odpowiedziała na wszystkie pytania, piękny gabinet ciepło i komfortowo .
• Esthea • Laser CO2- laser frakcyjny •
-
D
Danka
Polecam pełen profesjonalizm wszystko wyjaśnione. Plan działania gotowy
• Esthea • kontrola po zabiegu •
lek. dent. Marta Knopp
Plan działania to podstawa! :)
Bardzo dziękuję, do zobaczenia w gabinecie
-
M
Marzena
Jestem po pierwszej wizycie u Pani Doktor i myślę że był to dobry wybór (a szukałam dobrego gabinetu dosyć długo) Pani Doktor przemiła, profesjonalna, dokładnie wytłumaczyła jakie zabiegi najlepiej dobrać w moim przypadku Atmosfera w gabinecie bardzo przyjazna (Asystentka Pani Doktor i Pani w recepcji również przemiłe i bardzo przyjazne) dzięki czemu mój ogromny stres, trochę wstyd i nerwy udało się zażegnać. Plan zabiegów ustalony tak że czekam z niecierpliwością na następne wizyty i mam nadzieję na piękne efekty.
• DentaSpot • Konsultacja z zakresu medycyny estetycznej •
lek. dent. Marta Knopp
Bardzo dziękuję, w swoim imieniu i całego Zespołu, za miłe słowa. Cieszymy się, że czuję się Pani u nas należycie zaopiekowana. Do zobaczenia! :)
-
J
Joanna
Cudowna Pani Doktor, empatyczna, wrażliwa, delikatna, a przede wszystkim kompetentna.
• Esthea • Inny •
-
A
Agnieszka
Jestem po konsultacji z Panią doktor i już wiem, że świetnie trafiłam. Pani doktor jest osobą niesamowicie sympatyczną, profesjonalną, wzbudzającą ogromne zaufanie, wspaniale tłumaczy na czym polegać będą zabiegi i potrafi z ogromną gracją rozwiać wszelkie wątpliwości. Dziękuję za konsultację i cierpliwie czekam na zabieg.
• Esthea • usuwanie zmarszczek •
-
I
Iwona
Kompetentna i miła osoba. Szczegółowo wyjasnione wszystkie zabiegi. Polecam Panią Doktor!
• Esthea • Inny •
-
M
MBW
Bardzo dokładne informacje dotyczące zabiegu jak i przebiegu i zalecenia po zabiegu. Pani doktor dobiera leczenie indywidualnie do pacjenta. Polecam każdemu kto chce się znaleźć w rękach profesjonalisty.
• Esthea • biostymulatory tkankowe •
Esthea
Bardzo dziękujemy w imieniu Pani Doktor :)
-
D
DP
Bardzo polecam profesjonalizm i podejście do pacjenta.
• DentaSpot • Botoks •
Odpowiedzi na pytania
1 odpowiedzi udzielonych przez lekarza na pytania pacjentów na ZnanyLekarz.pl
Witam serdecznie. W jakiej cenie leczenie kanałowe górnej piątki? Poproszę też o cenę leczenia pod mikroskopem.
Z góry dziękuję i pozdrawiam
Witam,
leczenie kanałowe w gabinecie DentaSpot odbywa się wyłącznie przy użyciu mikroskopu zabiegowego. Cena od 500zł. Żeby dokładnie wycenić zabieg, potrzebuję zbadać pacjenta i wykonać badania dodatkowe np. zdjęcie rentgenowskie. Zapraszam na wizytę konsultacyjną. Pozdrawiam.
Wszystkie treści, w szczególności pytania i odpowiedzi, dotyczące tematyki medycznej mają charakter informacyjny i w żadnym wypadku nie mogą zastąpić diagnozy medycznej.
Najczęściej zadawane pytania
-
Jaki jest zakres porad oferowanych przez Marta Knopp?Marta Knopp to stomatolog, lekarz wykonujący zabiegi medycyny estetycznej. Na podstawie swojego doświadczenia i wykształcenia Marta Knopp oferuje usługi takie jak: konsultacja ortodontyczna, aparaty ruchome, badania stomatologiczne, badanie RTG, chirurgia stomatologiczna, chirurgiczne usuwanie zębów, Endodoncja mikroskopowa, kamera wewnątrzustna, Konsultacja chirurgiczna, konsultacja endodontyczna.
-
Gdzie Marta Knopp ma swój gabinet?Marta Knopp przyjmuje pod adresem:
- Kubackiego 50 Suchy Las
- Śniadeckich 10A Poznań
- Złotowska 51b/4 Poznań
-
Czy Marta Knopp przyjmuje online, bez konieczności pojawiania się w placówce?Nie, w tym momencie Marta Knopp nie oferuje konsultacji online.
-
Jak Marta Knopp akceptuje płatności po wizycie?Metody płatności, które akceptuje Marta Knopp to: Gotówka, Karta płatnicza, Przelew na konto, Płatność ratalna, Blik.
-
Jak Marta Knopp umawia wizyty?Marta Knopp używa kalendarza ZnanyLekarz, dlatego na stronie widzisz aktualne terminy. Wystarczy, że wybierzesz datę i godzinę, które odpowiadają Ci najbardziej. Umawianie wizyty jest darmowe, a tuż przed terminem wyślemy Ci przypomnienie.
-
W jakich godzinach przyjmuje Marta Knopp?Marta Knopp może mieć dostępne terminy w tym lub w nadchodzącym tygodniu. Terminy, które widzisz w kalendarzu są dostępne, ponieważ aktualizujemy go na bieżąco. Jeśli pierwszy dostępny termin Ci nie odpowiada, sprawdź następny. Rezerwacja terminu jest natychmiastowa, bez dodatkowych opłat.
-
Marta Knopp: co mówią pacjenci?75 osób dodało swoją opinię. Marta Knopp ma średnią ocen 5 (na 5 gwiazdek).
-
Jakie ubezpieczenia akceptuje Marta Knopp?Marta Knopp nie przyjmuje w ramach ubezpieczenia, tylko w ramach płatnych wizyt prywatnych. W razie wątpliwości zalecamy kontakt ze specjalistą.