lek. dent.
Agnieszka Ciesielska
Stomatolog
·
Więcej
O specjalizacjach
Skórzewo 1 adres
Nr PWZ: 4122409
18 opiniiMoje doświadczenie
DRODZY PACJENCI, Uprzejmie prosimy o zwrócenie uwagi na wybór właściwej usługi, aby dobrać odpowiedni czas wizyty do Państwa potrzeby. Prosimy o umieszczenie krótkiego opisu problemu lub celu wizyty.
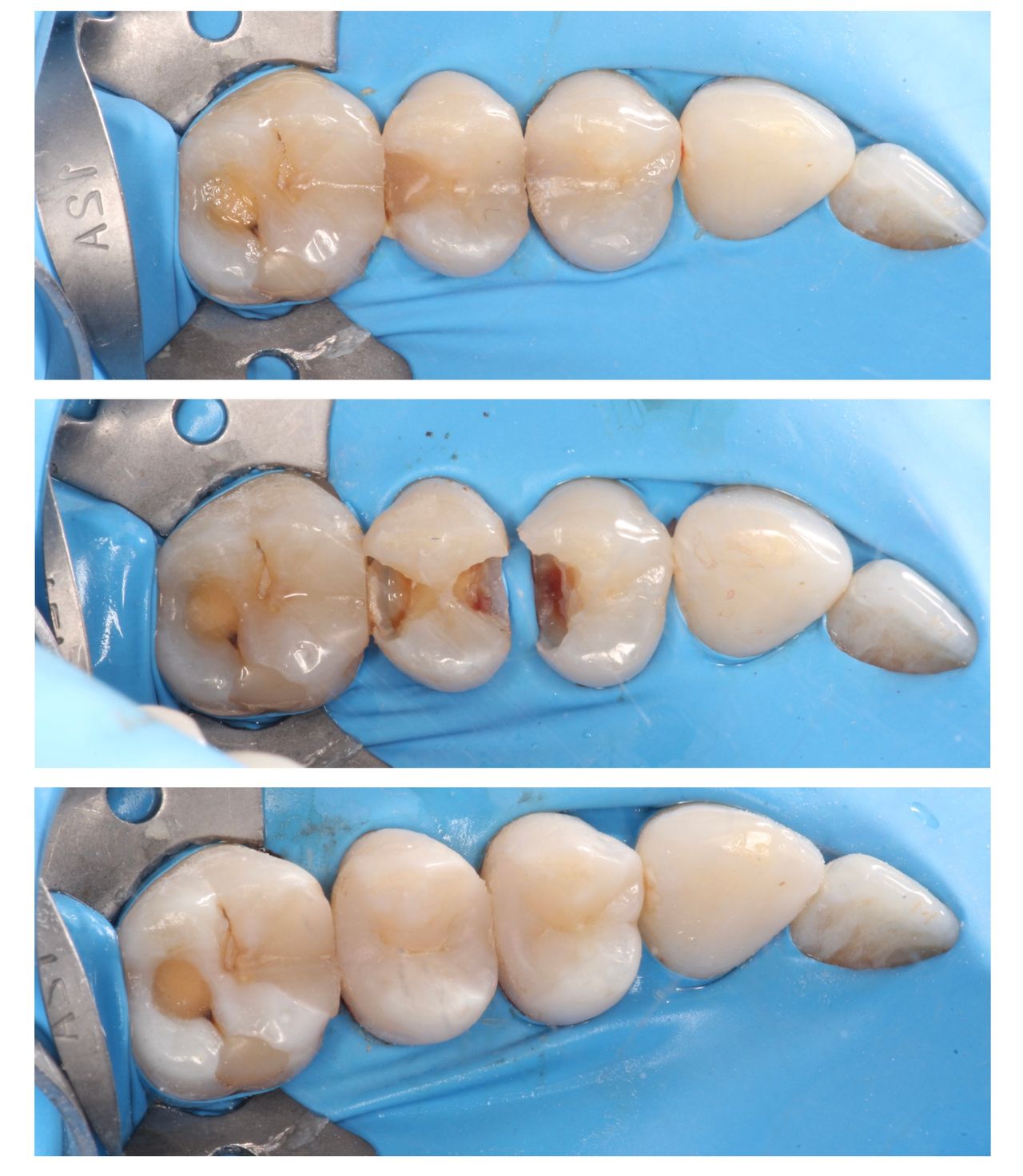
Na co dzień zajmuję się profilaktyką i leczeniem próchnicy, estetycznymi odbudowami zębów, wybielaniem oraz pomagam pacjentom w sytuacjach bólowych. Staram się odczarować złe doświadczenia związane z leczeniem stomatologicznym. Komfort i zdrowie pacjenta są dla mnie najważniejsze. Stosuję metody leczenia zgodne z najnowszymi wytycznymi, poparte badaniami klinicznymi. Bliska jest mi profilaktyka przeciwpróchnicowa, stomatologia nieinwazyjna i minimalnie inwazyjna. Pracuję w powiększeniu mikroskopowym oraz koferdamie (gumie ochronnej/ izolującej), co pozwala mi na zapewnienie pacjentom wysokiej jakości leczenia i dokładności.
Uczestniczę w wielu kursach i szkoleniach, aby stale być na bieżąco i rozwijać swoje umiejętności i wiedzę.
„Fundamenty stomatologii zachowawczej” lek. dent. Aleksandra Łyżwińska
"Success Stairs Sequence" kurs odbudowy zębów w odcinku bocznym lek. dent. Maciej Czerwiński
"Kompozytowe wypełnienia: estetyka i funkcje" lek. dent. Marcin Krupiński
"Essential dentistry – prosta, przewidywalna i niezawodna droga do estetycznej odbudowy w odcinku przednim i bocznym.
" Dr Carlos Fernandez Villares ENDO AKADEMIA
„Endodoncja krok po kroku…najważniejsze podstawy skutecznej terapii” - stopień 1. oraz „Opracowanie maszynowe i dezynfekcja kanałów”–stopień 2. lek. dent. Sławomir Gabryś "Biomateriały - praktyczny kurs przyżyciowego leczenia miazgi + ABC URAZÓW" lek. dent. Aleksandra Łyżwińska
Zakres porad
- Stomatologia dziecięca
- Chirurgia stomatologiczna
- Stomatologia ogólna
- Stomatologia zachowawcza z endodoncją
- Protetyka stomatologiczna
Główne obszary pomocy
- Próchnica
- Ból zęba
- Choroby miazgi
- Braki zębowe
- Nadwrażliwość zębów
- +5 a11y_sr_more_diseases
Rodzaje konsultacji
Zdjęcia i filmy
Usługi i ceny
-
Konsultacja stomatologiczna
150 zł -
-
ICON
350 zł -
-
Wizyta bólowa (zaopatrzenie pacjenta)
Od 300 zł -
-
Usunięcie zęba stałego
Od 300 zł -
-
Usunięcie zęba
Od 300 zł -
-
-
-
-
-
-
-
-
-
-
-
-
-
-
Adres
Poznańska 115, 60-185 Skórzewo
Dostępność
Telefon
Dlaczego prosimy Cię o wyrażenie zgody na przetwarzanie danych?
Wyrażenie zgody jest niezbędne do umówienia wizyty z wykorzystaniem telerejestracji. Wymagają tego przepisy Ogólnego Rozporządzenie o Ochronie Danych Osobowych - tzw. RODO. Informujemy, że zgoda jest dobrowolna, jednak jej brak uniemożliwi umówienie wizyty. Informujemy rówież, że zgoda może zostać w każdym momencie zostać wycofana. W tym celu wystarczy się skontaktować z nami przez formularz
Kiedy dojdzie do przetwarzania moich danych osobowych?
Do przetwarzania Twoich danych osobowych dojdzie podczas rozmowy telefonicznej z naszym centrum telerejestracji, ale jednak wyłącznie w sytuacji gdy tej rozmowy podasz nam swoje dane osobowe. Przetwarzanie danych osobowych dokonywane jest w celu umówienia wizyty i przekazania danych osobowych wybranemu Profesjonaliście.
Czy moje dane osobowe zostaną przekazane Profesjonaliście do którego chce się umówić na wizytę?
Tak. Udostępnimy wybranemu przez Ciebie Profesjonaliście informacje i dane osobowe które nam przekazałeś podczas rozmowy telefonicznej oraz przekażemy te informacje Profesjonaliście. Dzięki temu Profesjonalista będzie mógł przygotować się na Twoją wizytę.
Kto jest administratorem moich danych osobowych?
Administratorem danych osobowych jest ZnanyLekarz sp. z o.o. z siedzibą w Warszawie przy ul. Kolejowej 5/7. Informujemy, że po przekazaniu przez nas Twoich danych osobowych wybranemu przez Ciebie Profesjonaliście, staje się on również administratorem Twoich danych osobowych i przetwarza je w celach związanych ze świadczeniem usług medycznych lub innych podobnych.
Gdzie mogę uzyskać więcej informacji o moich prawach związanych z przetwarzaniem danych osobowych?
Więcej informacji o przetwarzaniu Twoich danych osobowychTypy przyjmowanych pacjentów
- Pacjenci prywatni (bez ubezpieczenia)
Opinie
18 opinii
Sprawdzamy wszystkie opinie. Moderujemy je zgodnie z naszymi zasadami, dowiedz się więcej o opiniach i sposobie obliczania gwiazdek na Dowiedz się więcej Dowiedz się więcej o opiniach
-
A
Asia
Bardzo profesjonalna pani doktor, wszystko szczegółowo mi wyjaśniła i ustaliła plan leczenia. Czuję się zaopiekowana :)
• Primadent Stomatologia • kompleksowe badanie stomatologiczne + plan leczenia •
-
J
Jakub
Super Pani doktor. Wszystko przebiegło profesjonalnie i bez bólu
• Primadent Stomatologia • usunięcie zęba stałego •
lek. dent. Agnieszka Ciesielska
Bardzo dziękuję :)
-
J
Joanna
Pani doktor uratowała sytuacje - pełen profesjonalizm a przy tym serdeczność.
Napewno pierwsza ale nie oostatniamoja wizyta u tego specjalisty.
• Primadent Stomatologia • Bonding zębów •
lek. dent. Agnieszka Ciesielska
Dziękuję serdecznie :)
-
J
Joanna
Jestem bardzo zadowolona z wizyty u Pani Doktor, szczegółowo wyjaśniono mi problem związany z kruszeniem się jedynki oraz zostało to bezproblemowo rozwiązane. Przede wszystkim jako pacjentka poczułam się wysłuchana i udzielono mi porady dotyczącej higienizacji zębów, której nie usłyszałam od innych lekarzy. Bardzo polecam Panią doktor.
• Primadent Stomatologia • wypełnienie kompozytowe •
lek. dent. Agnieszka Ciesielska
Pani Joanno, dziękuję uprzejmie za miłe słowa i zaufanie. Do zobaczenia :)
-
P
Piotr
Bardzo profesjonalne badanie, ale także po badaniu pani doktor szczegółowo wyjaśnia sposób dalszego postępowania.
• Primadent Stomatologia • Konsultacja stomatologiczna •
lek. dent. Agnieszka Ciesielska
Bardzo dziękuję :)
-
P
Przemysław
Pani doktor przeprowadziła diagnostykę, skrupulatnie wykonała leczenie. Bardzo polecam
• Primadent Stomatologia • •
lek. dent. Agnieszka Ciesielska
Dziękuję. :)
-
T
Tomasz
Bardzo szczegółowa i kompleksowa wizyta. Bardzo polecam.
• Primadent Stomatologia • Konsultacja stomatologiczna •
lek. dent. Agnieszka Ciesielska
Dziękuję. :)
-
A
Agnieszka
Pani Doktor zajmowała się moimi zębami kilkukrotnie. Każda wizyta odbywała się w przemiłej atmosferze, z dbałością o komfort pacjenta, a wszystkie zalecenia przekazywane były w sposób prosty i zrozumiały. Z całego serca polecam i na pewno w razie potrzeby przyjdę ponownie.
• Primadent Stomatologia • Inny •
lek. dent. Agnieszka Ciesielska
Bardzo dziękuję. Do zobaczenia :)
-
J
Joanna
Polecam serdecznie bardzo miła obsługa . Dokładnie wytłumaczone leczenie . Polecam
• Primadent Stomatologia • usunięcie zęba •
lek. dent. Agnieszka Ciesielska
Dziękuję uprzejmie :D
-
K
Kamila
Bardzo dokładnie i z szacunkiem wyjaśniony plan działania, a na dodatek bardzo uprzejma i kompetentna.
• Primadent Stomatologia • Konsultacja stomatologiczna •
lek. dent. Agnieszka Ciesielska
Bardzo dziękuję za miłe słowa :) do zobaczenia
Najczęściej zadawane pytania
-
Jaki jest zakres porad oferowanych przez Agnieszka Ciesielska?Agnieszka Ciesielska to stomatolog. Na podstawie swojego doświadczenia i wykształcenia Agnieszka Ciesielska oferuje usługi takie jak: Odbudowa zęba do leczenia kanałowego, nakładkowe wybielanie zębów, ICON, konsultacja do bondingu, Bonding zębów, licówka kompozytowa, usunięcie zęba, usunięcie zęba stałego, wypełnienie kompozytowe, Wypełnienie Glass Ionomerowe - tymczasowe.
-
Gdzie Agnieszka Ciesielska ma swój gabinet?Agnieszka Ciesielska przyjmuje pod adresem:
- Poznańska 115 Skórzewo
-
Czy Agnieszka Ciesielska przyjmuje online, bez konieczności pojawiania się w placówce?Nie, w tym momencie Agnieszka Ciesielska nie oferuje konsultacji online.
-
Jak Agnieszka Ciesielska akceptuje płatności po wizycie?Metody płatności, które akceptuje Agnieszka Ciesielska to: Gotówka, Karta płatnicza, Blik.
-
W jakich językach konsultuje Agnieszka Ciesielska?Języki, których używa Agnieszka Ciesielska to polski, angielski.
-
Jak Agnieszka Ciesielska umawia wizyty?Agnieszka Ciesielska używa kalendarza ZnanyLekarz, dlatego na stronie widzisz aktualne terminy. Wystarczy, że wybierzesz datę i godzinę, które odpowiadają Ci najbardziej. Umawianie wizyty jest darmowe, a tuż przed terminem wyślemy Ci przypomnienie.
-
W jakich godzinach przyjmuje Agnieszka Ciesielska?Agnieszka Ciesielska może mieć dostępne terminy w tym lub w nadchodzącym tygodniu. Terminy, które widzisz w kalendarzu są dostępne, ponieważ aktualizujemy go na bieżąco. Jeśli pierwszy dostępny termin Ci nie odpowiada, sprawdź następny. Rezerwacja terminu jest natychmiastowa, bez dodatkowych opłat.
-
Agnieszka Ciesielska: co mówią pacjenci?18 osób dodało swoją opinię. Agnieszka Ciesielska ma średnią ocen 5 (na 5 gwiazdek).
-
Jakie ubezpieczenia akceptuje Agnieszka Ciesielska?Agnieszka Ciesielska nie przyjmuje w ramach ubezpieczenia, tylko w ramach płatnych wizyt prywatnych. W razie wątpliwości zalecamy kontakt ze specjalistą.