lek. dent.
Zbigniew Mariusz Kapuściński
Stomatolog
·
Protetyk stomatologiczny
Więcej
Gdynia 1 adres
Nr PWZ: 1546874
123 opinieMoje doświadczenie
Założyciel kliniki lek. dent. Zbigniew Mariusz Kapuściński (specjalizacja I st. stomatologia ogólna i protetyka) to lekarz z wieloletnim doświadczeniem, ukierunkowany na leczenie z wykorzystaniem najnowszego sprzętu i innowacyjnych metod.
Specjalizacją doktora jest stomatologia ogólna, protetyka, implantoprotetyka oraz leczenie kanałowe - wykonywane pod mikroskopem, co gwarantuje dokładność i precyzję zabiegów. W Praktyce stomatologicznej 4U Dental Clinic przyjmują również inni lekarze o specjalnościach: chirurgia szczękowa i stomatologiczna, stomatologia zachowawcza i estetyczna, stomatologia dziecięca czy medycyna estetyczna.
Zabiegi z zakresu higienizacji jamy ustnej wykonują dyplomowane higienistki stomatologiczne.
Bazując na wieloletnim doświadczeniu, oferujemy najkorzystniejsze dla każdego pacjenta rozwiązania protetyczne w technice 3D z wykorzystaniem skanera wewnątrzustnego wsparte uprzednią dokładną diagnostyką z użyciem tomografii komputerowej spiralnej. Współpracujemy z wyspecjalizowanym laboratorium, które tworzy prace w protokole DSD (digital smile design).
Oferujemy:
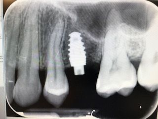
• Odbudowy na implantach Straumann i Neodent.
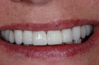
• Licówki porcelanowe
• Korony cerkonowe
• Protezy akrylowe/szkieletowe/nakładkowe/combo na teleskopach
• Protezy na implantach w formule Neo Arch
• Plastykę zatok szczękowych, sterowaną regenerację kości, podcięcie wędzidełka, resekcję wierzchołków korzeni
• Zabiegi wspomagane osoczem bogatopłytkowym z krwi pacjenta
• Bioceramiczne materiały do wypełniania kanałów korzeniowych
Dysponujemy nowoczesnym sprzętem do diagnostyki obrazowej. Wykonasz u nas:
• Zdjęcie pantomograficzne
• Tomografię komuterową 3D
• Zdjęcie RTG punktowe
W naszym gabinecie skorzystasz z systemu finansowania MediRaty oferującego realizację kosztów do 5 tyś zł bez dodatkowych opłat, w systemie: odbierz leczenie zapłać za miesiąc. Wyższe kwoty rozkładane są na dogodne raty.
✔ We speak English
✔ Hablamos espańol
✔ РАЗГОВАРИВАЕМ НА РУССКОМ
UWAGA: RECEPCJA PO UMÓWIONEJ WIZYCIE PRZEZ PORTAL ZNANY LEKARZ ZAWSZE KONTAKTUJE SIĘ TELEFONICZNIE Z PACJENTEM W CELU DOBRANIA ODPOWIEDNIEJ ILOŚCI CZASU PRZEZNACZONEGO NA WIZYTĘ. DATA I GODZINA WIZYTY MOŻE ULEC ZMIANIE. WSZYSTKO W TROSCE O NAJBARDZIEJ KOMPLEKSOWĄ I SZYBKĄ POMOC PACJENTOM. WIZYTA UMÓWIONA, KTÓREJ NIE MOŻEMY POTWIERDZIĆ I ZWERYFIKOWAĆ (NP. PACJENT NIE ODBIERA TELEFONU ) MOŻE ZOSTAĆ ANULOWANA.
Zakres porad
- Stomatologia dziecięca
- Chirurgia stomatologiczna
- Stomatologia ogólna
- Stomatologia zachowawcza z endodoncją
- Protetyka stomatologiczna
Główne obszary pomocy
- Próchnica
- Ból zęba
- Braki zębowe
- Choroby przyzębia
- Choroby miazgi
- +7 a11y_sr_more_diseases
Pacjenci których przyjmuję
Rodzaje konsultacji
Zdjęcia i filmy
Adres
Chwarznieńska 198A, Chwarzno-Wiczlino, 81-602 Gdynia
Dostępność
Płatność online
Akceptowana
Telefon
Dlaczego prosimy Cię o wyrażenie zgody na przetwarzanie danych?
Wyrażenie zgody jest niezbędne do umówienia wizyty z wykorzystaniem telerejestracji. Wymagają tego przepisy Ogólnego Rozporządzenie o Ochronie Danych Osobowych - tzw. RODO. Informujemy, że zgoda jest dobrowolna, jednak jej brak uniemożliwi umówienie wizyty. Informujemy rówież, że zgoda może zostać w każdym momencie zostać wycofana. W tym celu wystarczy się skontaktować z nami przez formularz
Kiedy dojdzie do przetwarzania moich danych osobowych?
Do przetwarzania Twoich danych osobowych dojdzie podczas rozmowy telefonicznej z naszym centrum telerejestracji, ale jednak wyłącznie w sytuacji gdy tej rozmowy podasz nam swoje dane osobowe. Przetwarzanie danych osobowych dokonywane jest w celu umówienia wizyty i przekazania danych osobowych wybranemu Profesjonaliście.
Czy moje dane osobowe zostaną przekazane Profesjonaliście do którego chce się umówić na wizytę?
Tak. Udostępnimy wybranemu przez Ciebie Profesjonaliście informacje i dane osobowe które nam przekazałeś podczas rozmowy telefonicznej oraz przekażemy te informacje Profesjonaliście. Dzięki temu Profesjonalista będzie mógł przygotować się na Twoją wizytę.
Kto jest administratorem moich danych osobowych?
Administratorem danych osobowych jest ZnanyLekarz sp. z o.o. z siedzibą w Warszawie przy ul. Kolejowej 5/7. Informujemy, że po przekazaniu przez nas Twoich danych osobowych wybranemu przez Ciebie Profesjonaliście, staje się on również administratorem Twoich danych osobowych i przetwarza je w celach związanych ze świadczeniem usług medycznych lub innych podobnych.
Gdzie mogę uzyskać więcej informacji o moich prawach związanych z przetwarzaniem danych osobowych?
Więcej informacji o przetwarzaniu Twoich danych osobowychTypy przyjmowanych pacjentów
- Pacjenci prywatni (bez ubezpieczenia)
Usługi i ceny
-
Konsultacja protetyczna
200 zł -
-
Konsultacja implantologiczna + CBCT
200 zł -
-
Wypełnienie kompozytowe
200 zł -
-
Stomatologia zachowawcza
200 zł -
-
Stomatologia estetyczna
200 zł -
-
-
-
-
-
-
-
-
-
-
-
-
-
-
-
-
-
-
-
-
-
-
Opinie
123 opinie
Sprawdzamy wszystkie opinie. Specjaliści nie mogą płacić za modyfikowanie lub usuwanie opinii. Dowiedz się więcej Dowiedz się więcej o opiniach
-
E
Ewa Sienkiewicz
Kompleksowo i profesjonalnie bez zbędnej bufoniady.
• 4U Dental Clinic • Badanie stomatologiczne + leczenie zębów •
4U Dental Clinic
Bardzo dziękuję pani Ewo. Do usług
-
R
Ryszard
Dobry lekarz, gabinet świetnie "uzbrojony" w możliwości diagnostyczne, z których Pan Doktor aktywnie korzysta objaśniając aktualny stan uzębienia pacjenta i perspektywy leczenia.
Dziękuję!• 4U Dental Clinic • Badanie stomatologiczne + leczenie zębów •
4U Dental Clinic
Bardzo dziękuję. Państwa opinie są bardzo motywujące.
-
A
Anna
Bardzo rzetelna konsultacja, szczegółowe wyjaśnienie wszystkich aspektów i obiektywne doradzenie najlepszego rozwiązania.
• 4U Dental Clinic • konsultacja protetyczna •
4U Dental Clinic
Dziękujemy Pani Anno za pozytywną opinię. Do zobaczenia
-
O
Oktawia K.
Polecam Pana doktora z całego serca, za profesjonalizm, za podejście do pacjenta, za poczucie humoru i wiele innych rzeczy. Wychodząc od Pana doktora z gabinetu czuję się właściwie zaopiekowana i wiem, że nie muszę już szukać innego stomatologa.
• 4U Dental Clinic • Badanie stomatologiczne + leczenie zębów •
4U Dental Clinic
Dziękujemy Pani Oktawio. Pozdrawiamy i do zobaczenia.
-
A
Ania
Pan Doktor jest bardzo serdecznym i sympatycznym człowiekiem. Szczegółowo wyjaśnił i precyzyjnie wykonał całe leczenie zębów. Od razu widać, ze ma wieloletnie doświadczenie i fach w ręku :)
Polecam serdecznie !• 4U Dental Clinic • Badanie stomatologiczne + leczenie zębów •
4U Dental Clinic
Dziękujemy Pani Aniu w imieniu Doktora. Do zobaczenia
-
D
Danuta
Z wizyty jestem bardzo zadowolona.
Doktor najpierw wyjaśnił mi sprawę, którą byłam zainteresowana, czyli bonding, a później przystąpił do działania. Jestem usatysfakcjonowana wykonaną usługą, za co doktorowi i jego asystentce bardzo dziękuję.• 4U Dental Clinic • Konsultacja stomatologiczna •
4U Dental Clinic
Dziękujemy Pani Danuto i do usłyszenia.
-
T
Tomasz
Z czystym sumieniem Pana doktora Kapuścińskiego. Lekarz z powołania, pełen profesjonalizm
• 4U Dental Clinic • Badanie stomatologiczne + leczenie zębów •
4U Dental Clinic
Dziękujemy Panie Tomaszu za pozytywną opinię. To wielka przyjemność leczyć tak sympatycznego pacjenta !!!!
-
Magda
Bardzo sympatyczny Pan doktor. Dziękuję za wizytę.
• 4U Dental Clinic • Konsultacja stomatologiczna •
4U Dental Clinic
Dziękujemy Pani Magdo i do zobaczenia !
-
M
Martin Braun
Super podejscie do pacjenta .Bardzo mila atmosfera Super wykonanie (wypelnienie ukruruszonej jedynki) Z pelna odpowiedzialnoscia polecam
• 4U Dental Clinic • Konsultacja stomatologiczna •
4U Dental Clinic
Dziękujemy Panu i mamy nadzieję, że ukruszona jedynka będzie Panu służyła długo....Pozdrawiamy
-
M
Maciej
Szukałem specjalistów z którymi mógłbym się związać na dłużej i właśnie znalazłem. Po pierwszej wizycie traumy z przeszłości zniknęły a zaangażowanie personelu w to aby człowiek polubił się ze stomatologiem jest niesamowite. Ogromna empatia, zaangażowanie, objaśnianie właściwie wszystkiego od przyczyn poczynając, poprzez sposoby leczenia, na "efektach końcowych" kończąc. No i szukanie optymalnych rozwiązań jest super. Jestem zachwycony i chyba nie przesadzę jeśli napiszę, że odczucia bardziej przypominają te ze SPA niż z gabinetu stomatologicznego. Podsumowując:
+ Empatia 100%
+ Profesjonalizm 100%
+ Przyjazna i miła atmosfera 100%
+ Optymalizacja sposobów i ścieżki leczenia 100%
+ Ból 0%
+ Strach 0%
Niestety nie dostałem ani lizaka ani plakietki "Dzielny pacjent". No ale nie można mieć wszystkiego. W końcu w SPA też nie dają plakietek ani lizaków... A ja znowu taki bardzo dzielny to też nie jestem :D
Pozdrawiam :)• 4U Dental Clinic • ekstrakcja zęba •
4U Dental Clinic
Dziękujemy Panie Macieju i zapraszamy
Odpowiedzi na pytania
9 odpowiedzi udzielonych przez lekarza na pytania pacjentów na ZnanyLekarz.pl
Witam mam zęba do leczenia kanałowego dzisiaj byłam u stomatologa z tego co się orjetuje miałm wyjete nerwy z zęba i mam włożone lekarstwo a ząb mnie boli jak długo utrzymuje się ból po zatrciu zęba
Trzeba zapytać dokładnie lekarza leczącego co zostało założone do kanałów, gdyż z powyższego zapytania wynika, że nerwy zostały wyjęte, a pytanie dotyczy zatrucia nerwów. To sprzeczność
Wyżej udzielone odpowiedzi są bardzo rzeczowe
Został mi wybity ząb górna jedynka. Na chwilę obecną mam protezę. Nie czuję się z nią dobrze. Jakie może być inne rozwiązanie?
Oczywiście, rozwiązaniem tego problemu może być wszczepienie implantu, który jest zastępstwem dla naturalnego korzenia. Po wygojeniu na wszczepiony implant prosto mówiąc mocuje się koronę, która niczym nie odbiega od wyglądu naturalnego zęba.
Wszystkie treści, w szczególności pytania i odpowiedzi, dotyczące tematyki medycznej mają charakter informacyjny i w żadnym wypadku nie mogą zastąpić diagnozy medycznej.
Najczęściej zadawane pytania
-
Jaki jest zakres porad oferowanych przez Zbigniew Mariusz Kapuściński?Zbigniew Mariusz Kapuściński to stomatolog, protetyk stomatologiczny. Na podstawie swojego doświadczenia i wykształcenia Zbigniew Mariusz Kapuściński oferuje usługi takie jak: Konsultacja stomatologiczna, konsultacja protetyczna, Badanie stomatologiczne, Badanie i skanowanie zębów, wykonanie projektu cyfrowego, konsultacja endodontyczna, konsultacja implantologiczna + CBCT, Konsultacja implantologiczna i chirurgiczna, Konsultacja implantologiczna z planem leczenia, korony cyrkonowe, Licówka kompozytowa wykonana w gabinecie.
-
Gdzie Zbigniew Mariusz Kapuściński ma swój gabinet?Zbigniew Mariusz Kapuściński przyjmuje pod adresem:
- Chwarznieńska 198A Gdynia
-
Czy Zbigniew Mariusz Kapuściński przyjmuje online, bez konieczności pojawiania się w placówce?Nie, w tym momencie Zbigniew Mariusz Kapuściński nie oferuje konsultacji online.
-
Jak Zbigniew Mariusz Kapuściński akceptuje płatności po wizycie?Metody płatności, które akceptuje Zbigniew Mariusz Kapuściński to: Gotówka, Karta płatnicza, Przelew na konto, Płatność ratalna, Blik.
-
W jakich językach konsultuje Zbigniew Mariusz Kapuściński?Języki, których używa Zbigniew Mariusz Kapuściński to angielski, hiszpański, rosyjski, białoruski, ukraiński.
-
Jak Zbigniew Mariusz Kapuściński umawia wizyty?Zbigniew Mariusz Kapuściński używa kalendarza ZnanyLekarz, dlatego na stronie widzisz aktualne terminy. Wystarczy, że wybierzesz datę i godzinę, które odpowiadają Ci najbardziej. Umawianie wizyty jest darmowe, a tuż przed terminem wyślemy Ci przypomnienie.
-
W jakich godzinach przyjmuje Zbigniew Mariusz Kapuściński?Zbigniew Mariusz Kapuściński może mieć dostępne terminy w tym lub w nadchodzącym tygodniu. Terminy, które widzisz w kalendarzu są dostępne, ponieważ aktualizujemy go na bieżąco. Jeśli pierwszy dostępny termin Ci nie odpowiada, sprawdź następny. Rezerwacja terminu jest natychmiastowa, bez dodatkowych opłat.
-
Zbigniew Mariusz Kapuściński: co mówią pacjenci?123 osób dodało swoją opinię. Zbigniew Mariusz Kapuściński ma średnią ocen 5 (na 5 gwiazdek).
-
Jakie ubezpieczenia akceptuje Zbigniew Mariusz Kapuściński?Zbigniew Mariusz Kapuściński nie przyjmuje w ramach ubezpieczenia, tylko w ramach płatnych wizyt prywatnych. W razie wątpliwości zalecamy kontakt ze specjalistą.