lek. dent.
Magdalena Bińkowska
Stomatolog
·
Protetyk stomatologiczny
Stomatolog dziecięcy
Więcej
O specjalizacjach
Łódź 3 adresy
Nr PWZ: 2325232
54 opinieMoje doświadczenie
Zakres porad
- Stomatologia dziecięca
- Chirurgia stomatologiczna
- Stomatologia ogólna
- Stomatologia zachowawcza z endodoncją
- Protetyka stomatologiczna
Główne obszary pomocy
- Próchnica
- Ból zęba
- Braki zębowe
- Choroby miazgi
- Nadwrażliwość zębów
- +6 a11y_sr_more_diseases
Pacjenci których przyjmuję
Rodzaje konsultacji
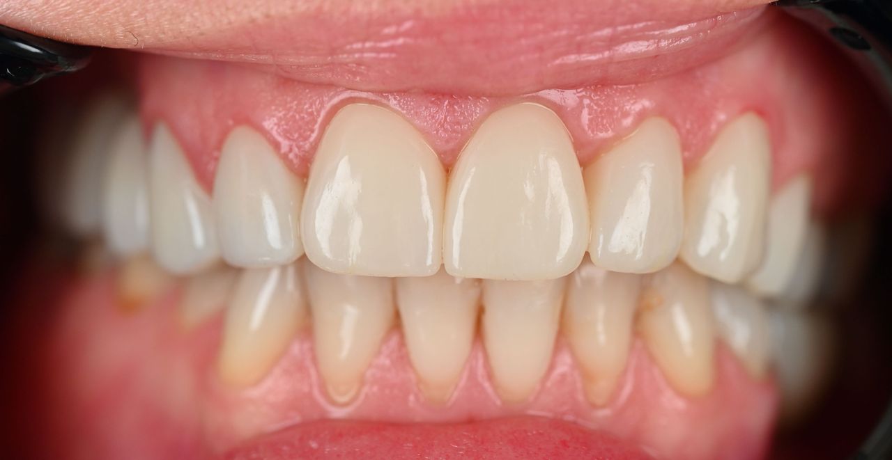
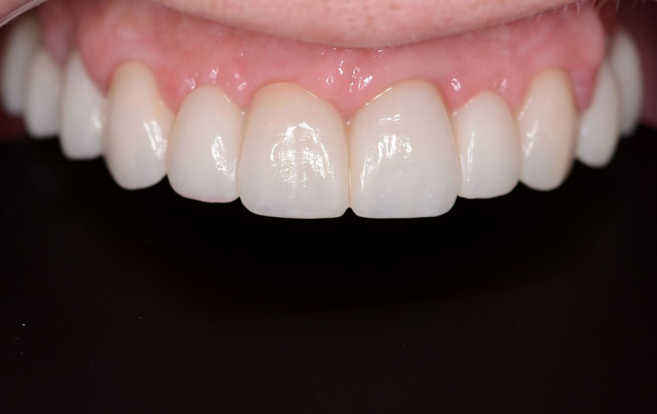
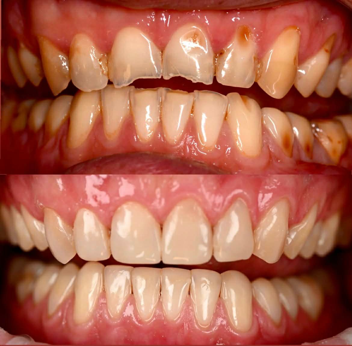
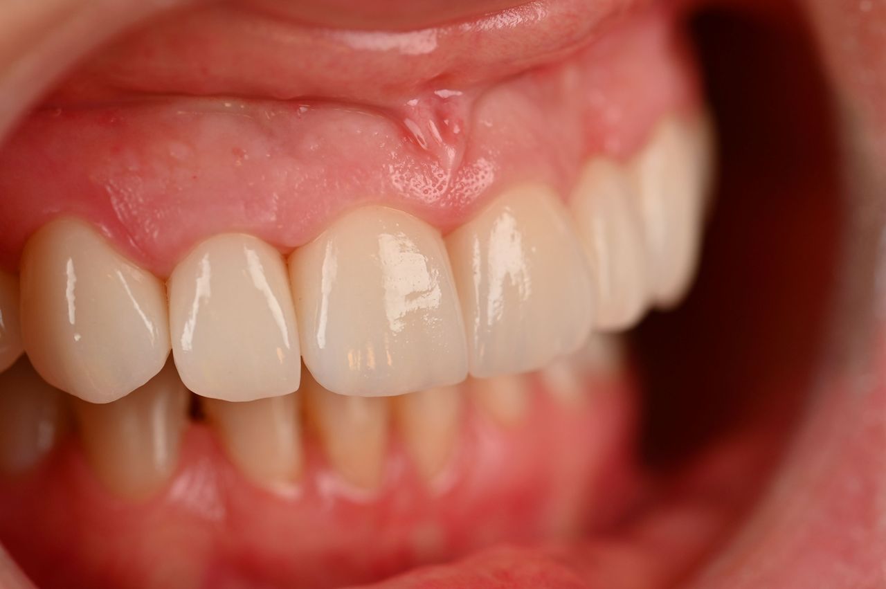
Zdjęcia i filmy
Usługi i ceny
-
Konsultacja protetyczna
200 zł -
-
Odbudowa wysokości zwarcia
-
-
Konsultacja stomatologiczna dzieci
150 zł -
-
Leczenie zachowawcze
Od 300 zł -
-
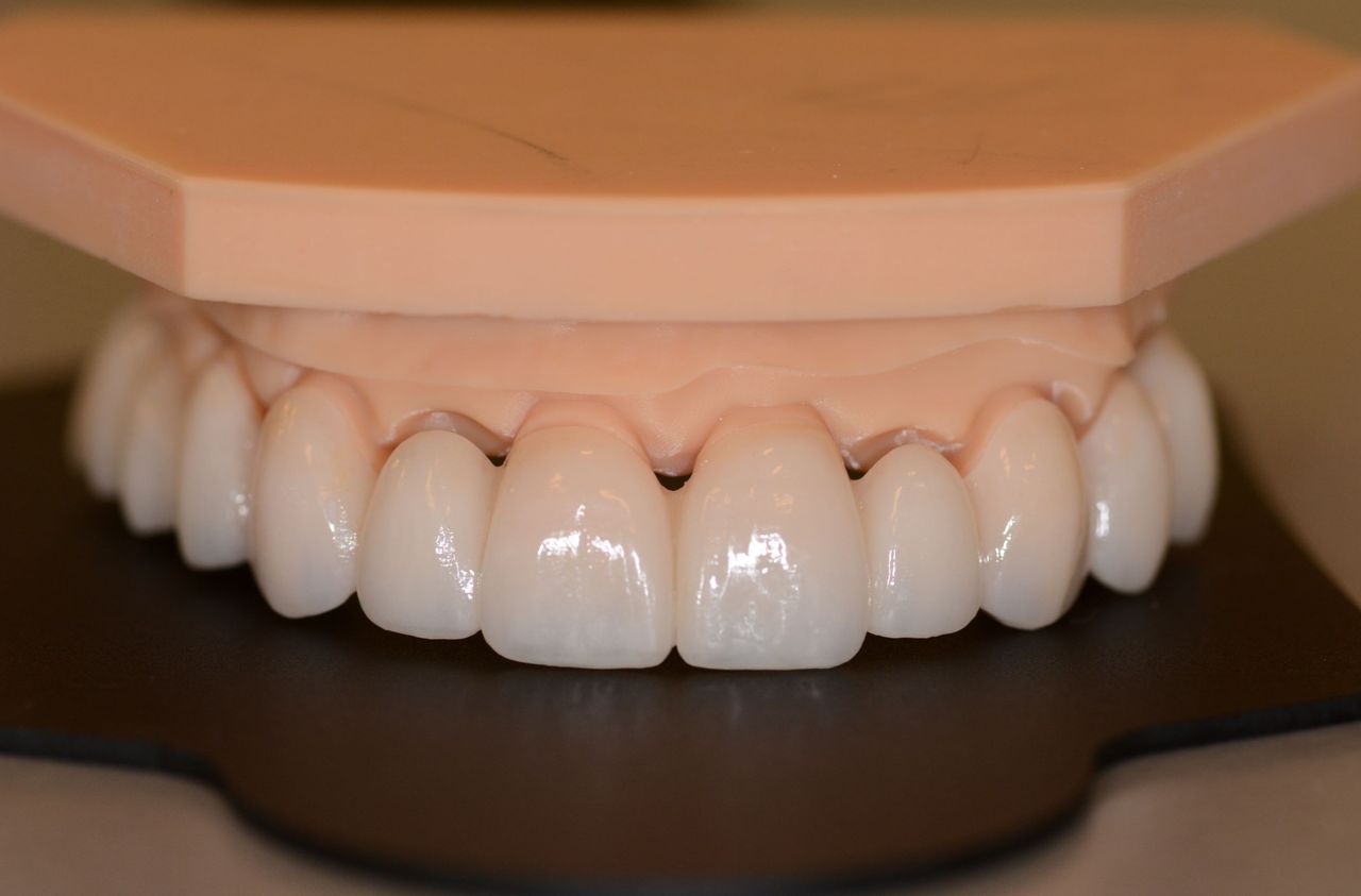
Licówka porcelanowa
1 800 zł -
-
-
-
-
-
-
-
-
-
-
-
-
-
-
-
-
-
-
-
-
-
-
-
-
-
-
-
-
-
-
-
-
-
-
-
-
-
-
-
-
-
-
-
-
-
-
-
-
-
-
-
-
Adresy (3)
Sądecka 44, Widzew, 92-104 Łódź
Dostępność
Telefon
Dlaczego prosimy Cię o wyrażenie zgody na przetwarzanie danych?
Wyrażenie zgody jest niezbędne do umówienia wizyty z wykorzystaniem telerejestracji. Wymagają tego przepisy Ogólnego Rozporządzenie o Ochronie Danych Osobowych - tzw. RODO. Informujemy, że zgoda jest dobrowolna, jednak jej brak uniemożliwi umówienie wizyty. Informujemy rówież, że zgoda może zostać w każdym momencie zostać wycofana. W tym celu wystarczy się skontaktować z nami przez formularz
Kiedy dojdzie do przetwarzania moich danych osobowych?
Do przetwarzania Twoich danych osobowych dojdzie podczas rozmowy telefonicznej z naszym centrum telerejestracji, ale jednak wyłącznie w sytuacji gdy tej rozmowy podasz nam swoje dane osobowe. Przetwarzanie danych osobowych dokonywane jest w celu umówienia wizyty i przekazania danych osobowych wybranemu Profesjonaliście.
Czy moje dane osobowe zostaną przekazane Profesjonaliście do którego chce się umówić na wizytę?
Tak. Udostępnimy wybranemu przez Ciebie Profesjonaliście informacje i dane osobowe które nam przekazałeś podczas rozmowy telefonicznej oraz przekażemy te informacje Profesjonaliście. Dzięki temu Profesjonalista będzie mógł przygotować się na Twoją wizytę.
Kto jest administratorem moich danych osobowych?
Administratorem danych osobowych jest ZnanyLekarz sp. z o.o. z siedzibą w Warszawie przy ul. Kolejowej 5/7. Informujemy, że po przekazaniu przez nas Twoich danych osobowych wybranemu przez Ciebie Profesjonaliście, staje się on również administratorem Twoich danych osobowych i przetwarza je w celach związanych ze świadczeniem usług medycznych lub innych podobnych.
Gdzie mogę uzyskać więcej informacji o moich prawach związanych z przetwarzaniem danych osobowych?
Więcej informacji o przetwarzaniu Twoich danych osobowychTypy przyjmowanych pacjentów
- Pacjenci prywatni (bez ubezpieczenia)
Dostępność
W tym gabinecie nie można umawiać wizyt przez internet
Telefon
Dlaczego prosimy Cię o wyrażenie zgody na przetwarzanie danych?
Wyrażenie zgody jest niezbędne do umówienia wizyty z wykorzystaniem telerejestracji. Wymagają tego przepisy Ogólnego Rozporządzenie o Ochronie Danych Osobowych - tzw. RODO. Informujemy, że zgoda jest dobrowolna, jednak jej brak uniemożliwi umówienie wizyty. Informujemy rówież, że zgoda może zostać w każdym momencie zostać wycofana. W tym celu wystarczy się skontaktować z nami przez formularz
Kiedy dojdzie do przetwarzania moich danych osobowych?
Do przetwarzania Twoich danych osobowych dojdzie podczas rozmowy telefonicznej z naszym centrum telerejestracji, ale jednak wyłącznie w sytuacji gdy tej rozmowy podasz nam swoje dane osobowe. Przetwarzanie danych osobowych dokonywane jest w celu umówienia wizyty i przekazania danych osobowych wybranemu Profesjonaliście.
Czy moje dane osobowe zostaną przekazane Profesjonaliście do którego chce się umówić na wizytę?
Tak. Udostępnimy wybranemu przez Ciebie Profesjonaliście informacje i dane osobowe które nam przekazałeś podczas rozmowy telefonicznej oraz przekażemy te informacje Profesjonaliście. Dzięki temu Profesjonalista będzie mógł przygotować się na Twoją wizytę.
Kto jest administratorem moich danych osobowych?
Administratorem danych osobowych jest ZnanyLekarz sp. z o.o. z siedzibą w Warszawie przy ul. Kolejowej 5/7. Informujemy, że po przekazaniu przez nas Twoich danych osobowych wybranemu przez Ciebie Profesjonaliście, staje się on również administratorem Twoich danych osobowych i przetwarza je w celach związanych ze świadczeniem usług medycznych lub innych podobnych.
Gdzie mogę uzyskać więcej informacji o moich prawach związanych z przetwarzaniem danych osobowych?
Więcej informacji o przetwarzaniu Twoich danych osobowychTypy przyjmowanych pacjentów
- Pacjenci prywatni (bez ubezpieczenia)
Drewnowska 58, Bałuty, 90-001 Łódź
Dostępność
W tym gabinecie nie można umawiać wizyt przez internet
Typy przyjmowanych pacjentów
- Pacjenci prywatni (bez ubezpieczenia)
Opinie
54 opinie
Sprawdzamy wszystkie opinie. Moderujemy je zgodnie z naszymi zasadami, dowiedz się więcej o opiniach i sposobie obliczania gwiazdek na Dowiedz się więcej Dowiedz się więcej o opiniach
-
A
Aleksander
Bardzo przyjemna i profesjonalna wizyta, Pani stomatolog odpowiedziała na wszystkie moje pytania i rozwiała wszelkie wątpliwości, serdecznie polecam.
• Prywatny gabinet • konsultacja protetyczna •
-
R
RK
To moja pierwsza wizyta i przebiegła super. Profesjonalnie, na temat.
• Prywatny gabinet • konsultacja stomatologiczna (pierwsza wizyta) •
-
A
AMK
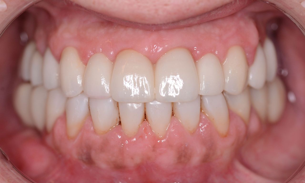
Świetny efekt bondingu zebow. Estetyka znacząco poprawiona, a jednocześnie zachowany maksymalnie naturalny wygląd. Ogromnym plusem jest to, że bonding jest moim zdaniem rozwiązaniem znacznie mniej inwazyjnym niż licówki, bez niepotrzebnej ingerencji w strukturę zęba. Precyzja, wyczucie estetyki i pełen profesjonalizm – zdecydowanie polecam. Dziękuję!
• Prywatny gabinet • bonding •
-
S
Sławek
Bardzo polecam wizytę u pani doktor. Życzliwa i miła
• Prywatny gabinet • konsultacja stomatologiczna (pierwsza wizyta) •
-
B
Bożena
Pani doktor Bińkowska działa bardzo profesjonalnie , jestem w pełni usatysfakcjonowana rezultatem wizyt w Jej gabinecie. Ponadto Pani doktor jest osobą bardzo sympatyczną o wysokiej kulturze osobistej.
• Prywatny gabinet • odbudowa estetyczna zębów w odcinku przednim •
-
P
Piotr
Zdecydowanie polecam Panią dr Bińkowską. Profesjonalne podejście i doskonała atmosfera sprawiły, że wizyta była komfortowa i bezstresowa. Znakomita opieka, 10/10.
• Prywatny gabinet • wypełnienie kompozytowe •
-
W
Wiktoria
Miałam wykonane wypełnienie estetyczne w zębach przednich i jestem bardzo zadowolona z efektu. Doktor Magda wykazała się dużą precyzją, starannością i estetycznym podejściem do pracy. Kolor wypełnienia został idealnie dobrany do naturalnego odcienia moich zębów, dzięki czemu efekt końcowy wygląda bardzo naturalnie i estetycznie. Sam zabieg przebiegł bezboleśnie, w miłej i profesjonalnej atmosferze. Serdecznie polecam każdemu, kto szuka fachowej opieki stomatologicznej i zależy mu na pięknym uśmiechu.
• Prywatny gabinet • wypełnienie kompozytowe •
-
W
Wojciech
Jestem bardzo zadowolony z kompleksowego leczenia u dr Magdaleny Bińkowskiej – od standardowych zabiegów, przez wymianę wypełnień, aż po podwyższenie zgryzu i odbudowę startych zębów. Dzięki jej pracy znowu mogę szeroko się uśmiechać, bez wstydu i dyskomfortu. Profesjonalizm, dokładność i fantastyczne podejście do pacjenta. Polecam z całego serca!
• Prywatny gabinet • Odbudowa startych zębów •
-
S
Sandra
Pani Doktor to wyjątkowo kompetentna i empatyczna specjalistka. Cały proces leczenia przebiegał w spokojnej, przyjaznej atmosferze. Zawsze była miła, cierpliwa i zwracała uwagę na to, że jestem osobą wrażliwą, dzięki czemu każda wizyta była dla mnie komfortowa.
Moje zęby zostały wykonane perfekcyjnie — wszystkie problemy zostały wyleczone dokładnie i z dbałością o każdy szczegół. Jestem ogromnie zadowolona z efektów i z podejścia, z jakim byłam leczona.• Prywatny gabinet • Odbudowa startych zębów •
-
K
Konrad
Z prawdziwym bólem serca to piszę, ale każda wydana złotówka u Pani Magdaleny była tego warta. Po leczeniu u tej dentystki mam poczucie, że oddałem swoje zęby w naprawdę pewne ręce. Pani stomatolog spokojnie z wyczuciem i taktownie prowadzi przez cały proces, dzięki czemu człowiek przestaje się stresować. Pani Magdalena skutecznie wyleczyła mi zęby i stworzyła uśmiech, który wygląda jak z okładki, a zarazem świeżo i naturalnie. To specjalista, któremu można zaufać bez wahania, bo widać, że traktuje swoją pracę z prawdziwą dbałością i profesjonalnym spokojem.
• Prywatny gabinet • odbudowa estetyczna zębów w odcinku przednim •
Najczęściej zadawane pytania
-
Jaki jest zakres porad oferowanych przez Magdalena Bińkowska?Magdalena Bińkowska to stomatolog, protetyk stomatologiczny, stomatolog dziecięcy. Na podstawie swojego doświadczenia i wykształcenia Magdalena Bińkowska oferuje usługi takie jak: konsultacja stomatologiczna (pierwsza wizyta), badanie RTG, badanie stawu skroniowo-żuchwowego, implanty, konsultacja endodontyczna, Konsultacja periodontologiczna, konsultacja protetyczna, korekta kształtu zębów, lakowanie zębów, znieczulenie przewodowe.
-
Gdzie Magdalena Bińkowska ma swój gabinet?Magdalena Bińkowska przyjmuje pod adresem:
- Sądecka 44 Łódź
- Drewnowska 58 Łódź
-
Czy Magdalena Bińkowska przyjmuje online, bez konieczności pojawiania się w placówce?Nie, w tym momencie Magdalena Bińkowska nie oferuje konsultacji online.
-
Jak Magdalena Bińkowska akceptuje płatności po wizycie?Metody płatności, które akceptuje Magdalena Bińkowska to: Gotówka, Karta płatnicza.
-
W jakich językach konsultuje Magdalena Bińkowska?Języki, których używa Magdalena Bińkowska to angielski.
-
Jak Magdalena Bińkowska umawia wizyty?Magdalena Bińkowska używa kalendarza ZnanyLekarz, dlatego na stronie widzisz aktualne terminy. Wystarczy, że wybierzesz datę i godzinę, które odpowiadają Ci najbardziej. Umawianie wizyty jest darmowe, a tuż przed terminem wyślemy Ci przypomnienie.
-
W jakich godzinach przyjmuje Magdalena Bińkowska?Magdalena Bińkowska może mieć dostępne terminy w tym lub w nadchodzącym tygodniu. Terminy, które widzisz w kalendarzu są dostępne, ponieważ aktualizujemy go na bieżąco. Jeśli pierwszy dostępny termin Ci nie odpowiada, sprawdź następny. Rezerwacja terminu jest natychmiastowa, bez dodatkowych opłat.
-
Magdalena Bińkowska: co mówią pacjenci?54 osób dodało swoją opinię. Magdalena Bińkowska ma średnią ocen 5 (na 5 gwiazdek).
-
Jakie ubezpieczenia akceptuje Magdalena Bińkowska?Magdalena Bińkowska nie przyjmuje w ramach ubezpieczenia, tylko w ramach płatnych wizyt prywatnych. W razie wątpliwości zalecamy kontakt ze specjalistą.