Podwale 83 (budynek Ovo), 50-414 Wrocław
Zapraszam na konsultacje w Centrum Medycznym Ginemedica!
Dowiedz się więcej07/05/2025
Jelenia Góra 8 adresów
Nr PWZ: 1416281
147 opiniiPodwale 83 (budynek Ovo), 50-414 Wrocław
Zapraszam na konsultacje w Centrum Medycznym Ginemedica!
Dowiedz się więcej07/05/2025
Medycyna jest moją pasją a pomaganie pacjentkom moim powołaniem.
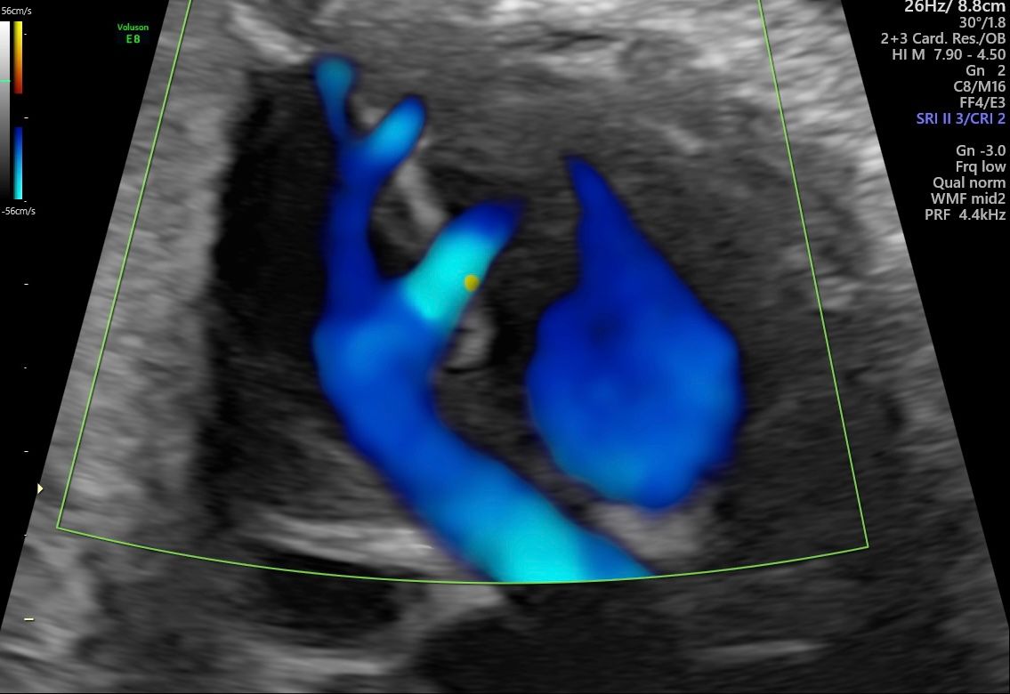
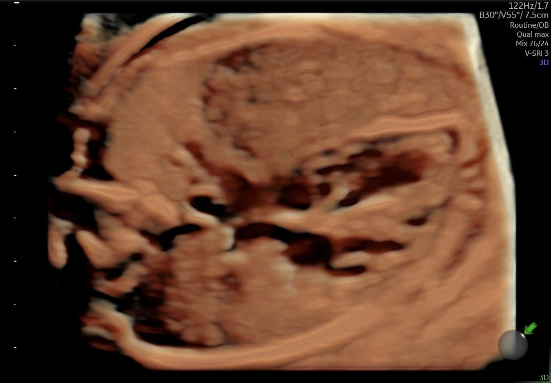
Swoją karierę zawodową związałem z położnictwem i ginekologią i perinatologią. Problematyka ciąży jest mi szczególnie bliska, a diagnostyka prenatalna i ultrasonografia są nie tylko ważną częścią mojej codziennej pracy zawodowej, ale jedną z pasji. Posiadam tyuł specjalisty w zakresie ginekologii i położnictwa oraz perinatologii. Ukoronowaniem zainteresowań była rozprawa doktorska poświęcona ocenie układu krążenia matczynego i płodowego w przypadkach ciąży powikłanej nadciśnieniem tętniczym (2008) oraz od 17 lat akredytację The Fetal Medicine Foundation (FMF)- najważniejszej europejskiej instytucji certyfikującej i nadzorującej specjalistów zajmujących się diagnostyką prenatalną. Posiadam certyfkaty umiejętności Sekcji Ultrasonografii Polskiego Towarzystwa Ginekologicznego w zakresie Diagnostyki Prenatalnej oraz badań serca płodu oraz licencje Fetal Medicine Foundation (FMF) dot. przeprowadzania ultrasonograficznych badań płodu między 11 a 14 tygodniem ciąży, 20-22 tygodniem ciąży, badań serca płodu czy badań dopplerowskich w ciąży. Moje zainteresowania kardiologią prenatalną zostały uwieńczone uzyskaniem certyfikatu umiejętności badania serca płodu Sekcji Echokardiografii i Kardiologii Prenatalnej Polskiego Towarzystwa Ultrasonograficznego, z którego bardzo się cieszę. Wspomnę, że jest dla mnie niewątpliwym wyróżnieniem występowanie w roli prelegenta w konferencjach organizowanych przez tę Sekcję. Możliwość połączenia świata perinatologii, diagnostyki prenatalnej i kardiologii prenatalnej są niezwykle cenne i gwarantują kompleksowość konsultacji. Wysoką jakość wykonywanych badań gwarantują Państwu liczne ukończone krajowe i międzynarodowe kursy oraz staże
z zakresu diagnostyki wad płodu, ciąży wielopłodowej, echokardiografii płodowej, zaawansowanych technik dopplerowskich w położnictwie i ginekologii oraz od kilkunastu lat pozytywnie ocenione audyty Fetal Medicine Foundation. Od 2004 roku pracuję w Oddziale Położniczo-Ginekologicznym Wojewódzkiego Centrum Szpitalnego w Jeleniej Górze ( głównie Pododdział Patologii Ciąży), gdzie pełnię funkcję zastępcy Ordynatora. Od 2011 konsultuję w ramach programu badań prenatalnych w Jeleniej Górze oraz we Wrocławiu. W 2022 roku z wielką przyjemnością przyjąłem odpowiedzialną i zaszczytną funkcję edytora sekcji (perinatologia) w renomowanym czasopiśmie „Ginekologia Polska”, a z końcem 2024 roku uhonorowano mnie miejscem w Radzie Naukowej Działu Perinatologii prestiżowego wydawnictwa „Ginekologia i Perinatologia Praktyczna”. Jestem wykładowcą i współprowadzącym warsztaty praktyczne dla kolegów i koleżanek podnoszących swoje umiejętności w diagnostyce prenatalnej, badaniu serca płodu i perinatologii ( m.in. polskie edycje prestiżowego kursu V.I.S.U.S. - Vienna International School of Ultrasound czy warsztaty Voluson User Day) .
W sierpniu 2024 roku zostałem wyróżniony zaproszeniem do współpracy z jednym z wiodących w Polsce Ośrodków Perinatologii - Kliniką Położnictwa i Perinatologii Instytutu MSWiA w Warszawie pod kierownictwem Pana Profesora Mirosława Wielgosia. Czynna współpraca z najlepszymi specjalistami diagnostyki prenatalnej i medycyny matczyno- płodowej w kraju jest dla mnie zaszczytem i elementem ciągłego rozwoju zawodowego oraz gwarantuje ciągłość opieki u pacjentek z poważnymi powikłaniami ciąży .
W kręgu moich zainteresowań i nieukrywaną zawodową miłością jest szeroki zakres minimalnie inwazyjnych operacji endoskopowych (laparoskopia, histeroskopia), które mam możliwość wykonywać zarówno w ramach umowy z NFZ, jak i prywatnie. Mój wkład w rozwój tej gałęzi ginekologii operacyjnej wyróżniono zaproszeniem do prestiżowego programu LapGyn rozwijającego umięjętności w zakresie zaawansowanych laparoskopowych technik operacyjnych.
Jestem uczestnikiem europejskiego programu certyfikacyjnego GESEA a swoje umiejętności rozwijam uczestnicząc w szkoleniach w kraju oraz najlepszych ośrodkach Europy.
Wierzę, że wiedza, którą pogłębiam systematycznie od 20 lat przynosi wiele satysfakcji również moim pacjentkom. Zapraszam serdecznie do kontaktu.
Wyrażenie zgody jest niezbędne do umówienia wizyty z wykorzystaniem telerejestracji. Wymagają tego przepisy Ogólnego Rozporządzenie o Ochronie Danych Osobowych - tzw. RODO. Informujemy, że zgoda jest dobrowolna, jednak jej brak uniemożliwi umówienie wizyty. Informujemy rówież, że zgoda może zostać w każdym momencie zostać wycofana. W tym celu wystarczy się skontaktować z nami przez formularz
Do przetwarzania Twoich danych osobowych dojdzie podczas rozmowy telefonicznej z naszym centrum telerejestracji, ale jednak wyłącznie w sytuacji gdy tej rozmowy podasz nam swoje dane osobowe. Przetwarzanie danych osobowych dokonywane jest w celu umówienia wizyty i przekazania danych osobowych wybranemu Profesjonaliście.
Tak. Udostępnimy wybranemu przez Ciebie Profesjonaliście informacje i dane osobowe które nam przekazałeś podczas rozmowy telefonicznej oraz przekażemy te informacje Profesjonaliście. Dzięki temu Profesjonalista będzie mógł przygotować się na Twoją wizytę.
Administratorem danych osobowych jest ZnanyLekarz sp. z o.o. z siedzibą w Warszawie przy ul. Kolejowej 5/7. Informujemy, że po przekazaniu przez nas Twoich danych osobowych wybranemu przez Ciebie Profesjonaliście, staje się on również administratorem Twoich danych osobowych i przetwarza je w celach związanych ze świadczeniem usług medycznych lub innych podobnych.
Wyrażenie zgody jest niezbędne do umówienia wizyty z wykorzystaniem telerejestracji. Wymagają tego przepisy Ogólnego Rozporządzenie o Ochronie Danych Osobowych - tzw. RODO. Informujemy, że zgoda jest dobrowolna, jednak jej brak uniemożliwi umówienie wizyty. Informujemy rówież, że zgoda może zostać w każdym momencie zostać wycofana. W tym celu wystarczy się skontaktować z nami przez formularz
Do przetwarzania Twoich danych osobowych dojdzie podczas rozmowy telefonicznej z naszym centrum telerejestracji, ale jednak wyłącznie w sytuacji gdy tej rozmowy podasz nam swoje dane osobowe. Przetwarzanie danych osobowych dokonywane jest w celu umówienia wizyty i przekazania danych osobowych wybranemu Profesjonaliście.
Tak. Udostępnimy wybranemu przez Ciebie Profesjonaliście informacje i dane osobowe które nam przekazałeś podczas rozmowy telefonicznej oraz przekażemy te informacje Profesjonaliście. Dzięki temu Profesjonalista będzie mógł przygotować się na Twoją wizytę.
Administratorem danych osobowych jest ZnanyLekarz sp. z o.o. z siedzibą w Warszawie przy ul. Kolejowej 5/7. Informujemy, że po przekazaniu przez nas Twoich danych osobowych wybranemu przez Ciebie Profesjonaliście, staje się on również administratorem Twoich danych osobowych i przetwarza je w celach związanych ze świadczeniem usług medycznych lub innych podobnych.
Wyrażenie zgody jest niezbędne do umówienia wizyty z wykorzystaniem telerejestracji. Wymagają tego przepisy Ogólnego Rozporządzenie o Ochronie Danych Osobowych - tzw. RODO. Informujemy, że zgoda jest dobrowolna, jednak jej brak uniemożliwi umówienie wizyty. Informujemy rówież, że zgoda może zostać w każdym momencie zostać wycofana. W tym celu wystarczy się skontaktować z nami przez formularz
Do przetwarzania Twoich danych osobowych dojdzie podczas rozmowy telefonicznej z naszym centrum telerejestracji, ale jednak wyłącznie w sytuacji gdy tej rozmowy podasz nam swoje dane osobowe. Przetwarzanie danych osobowych dokonywane jest w celu umówienia wizyty i przekazania danych osobowych wybranemu Profesjonaliście.
Tak. Udostępnimy wybranemu przez Ciebie Profesjonaliście informacje i dane osobowe które nam przekazałeś podczas rozmowy telefonicznej oraz przekażemy te informacje Profesjonaliście. Dzięki temu Profesjonalista będzie mógł przygotować się na Twoją wizytę.
Administratorem danych osobowych jest ZnanyLekarz sp. z o.o. z siedzibą w Warszawie przy ul. Kolejowej 5/7. Informujemy, że po przekazaniu przez nas Twoich danych osobowych wybranemu przez Ciebie Profesjonaliście, staje się on również administratorem Twoich danych osobowych i przetwarza je w celach związanych ze świadczeniem usług medycznych lub innych podobnych.
Przyjmuje na NFZ
W tym gabinecie nie można umawiać wizyt przez internet
W tym gabinecie nie można umawiać wizyt przez internet
Przyjmuje na NFZ
W tym gabinecie nie można umawiać wizyt przez internet
Przyjmuje na NFZ
W tym gabinecie nie można umawiać wizyt przez internet
W tym gabinecie nie można umawiać wizyt przez internet
147 opinii
Sprawdzamy wszystkie opinie. Specjaliści nie mogą płacić za modyfikowanie lub usuwanie opinii. Dowiedz się więcej Dowiedz się więcej o opiniach
Podczas badania prenatalnego II trymestru u innego lekarza usłyszeliśmy, że płód ma spory obrzęk, który został rzekomo przeoczony przez innych specjalistów i dziecko z ogromną pewnością urodzi się z wadą. Opowiadał przy tym o przypadkach w jego karierze, gdzie dzieci umierały w niedługim czasie po urodzeniu - można sobie wyobrazić, co wtedy czuliśmy.. Wydawało mi się to nieprawdopodobne, dlatego postanowiłem zasięgnąć opinii innego lekarza i w ten sposób z końca Polski wylądowaliśmy u dr Bielasika. Dokładnie zbadał żonę i maluszka, był taktowny, a przy tym jednoznacznie stwierdził, że żadnego obrzęku nie ma (badanie było wykonane 3 dni po uprzednim). Przywrócił nam radość z ciąży i zaprosił na badanie prenatalne III trymestru, które również przebiegło prawidłowo. Gorąco polecam i na pewno w przypadku drugiej ciąży od początku zgłosimy się do dr Bielasika, aby wszystkie badania diagnostyczne były na najwyższym poziomie.
Cudowny, empatyczny człowiek! Dawno nie miałam do czynienia z lekarzem tak zainteresowanym pacjentem. Przejechaliśmy do Pana Doktora prawie 200 km- niech to będzie dowód jak wielkie zaufanie w nas wzbudził już poprzez kontakt meilowy. Samo badanie BARDZO szczegółowe. Wisieńką na torcie było pytanie ze strony Pana Doktora: „czy już zna Pani odpowiedź na wszystkie pytania? Czy jest Pani spokojna?”. Polecam każdej mamie która ma w sobie cień wątpliwości co do dobrostanu swojego maluszka.
dr n. med. Karol Bielasik
Dziękuję ślicznie.
Bardzo się cieszę, że mogłem pomóc.
Wszystkiego najlepszego :)
Trzymam kciuki
Pan Doktor Karol okazał się prawdziwym lekarzem premium – i to nie tylko dlatego, że tak nazwał naszego „premium” bobasa podczas badania. :) Echo serca płodu wykonane w 24 tc z ogromną empatią, życzliwością i wrażliwością na to, że cukrzyca typu 1 matki potrafi dodać przyszłym rodzicom stresu o stan ciąży. Był dociekliwy, spokojnie tłumaczył każdy etap badania i upewnił się po badaniu, że zarówno ja, jak i mój mąż wszystko dobrze rozumiemy. Czuliśmy się zaopiekowani od pierwszej do ostatniej minuty. Z całego serca polecamy!
dr n. med. Karol Bielasik
Dziękuję ślicznie
Było mi bardzo miło się z Państwem spotkać.
Wszystkiego dobrego !
Pozdrawiam
Jestem nizwykle wdzięczna losowi, że dr Bielasik pojawił się na mojej drodze. Niezwykle empatyczny profesjonalista w swojej dziedzinie. Skupiony na zadaniu i na pacjentce. Nie zostawi pacjentki samej sobie. DZIĘKUJĘ
dr n. med. Karol Bielasik
Bardzo dziękuję :)
Wszystkiego dobrego.
Serdecznie pozdrawiam
Dr Karol Bielasik to wyjątkowy specjalista z ogromną wiedzą i doświadczeniem w dziedzinie ginekologii. Wyróżnia się profesjonalizmem, empatycznym podejściem do pacjentek oraz wysoką kulturą osobistą. Każda wizyta przebiega w atmosferze zaufania, a informacje medyczne są przekazywane w sposób jasny i zrozumiały. Czułam się zaopiekowana i wysłuchana. Z pełnym przekonaniem polecam dr Bielasika jako lekarza z powołaniem
dr n. med. Karol Bielasik
Ślicznie dziękuję za miłe słowa.
Pozdrawiam :)
Dr bardzo miły i grzeczny, wszystko dokładnie omówił. Polecam
dr n. med. Karol Bielasik
Bardzo mi miło :)
Dziękuję i pozdrawiam.
Z czystym sercem Polecam dr byłam na echo serca plodu w 1 i 3 trymestrze. Dr zrobił bardzo szczegółowe badania, wszystko było na bieżąco wyjaśniane. Dużo empati i szeroka wiedza.polecam więcej takich lekarzy. pozdrawiam
dr n. med. Karol Bielasik
Dziękuję za miłe słowa :)
Wszystkiego najlepszego !
KB
Taki Lekarz to skarb! Jestem pacjentką od prawie 10 lat, nigdy się nie zawiodłam na Doktorze Bielasiku. Profesjonalista o gołębim sercu. Rzeczowy, empatyczny, z ogromem wiedzy i kulturą jakiej może pozazrościć niejeden kolega po fachu. Zawsze wychodzę spokojniejsza i zaopiekowana. Polecam i polecać będę, bo takich lekarzy to ze świecą szukać. Dziękuję za wszystko ;)
dr n. med. Karol Bielasik
Bardzo dziękuję Pani Justynko.
Jest mi bardzo przyjemnie.
Ciepło pozdrawiam :)
Polecam z całego serca Pana Doktora.Najlepszy ekspert w swojej dziedzinie i dobry człowiek.Na wizycie Doktor ze spokojem i dużym zaangażowaniem tłumaczy każdy etap badania oraz chętnie odpowiada na nurtujące nas pytania.Z gabinetu wyszłam zadowolona i spokojna o zdrowie swojego dziecka.Pełen profesjonalizm!Dziękuję i do zobaczenia kiedyś…
dr n. med. Karol Bielasik
Dziękuję za bardzo miłe słowa.
Pozdrawiam :)
Bardzo polecam pan doktor wszystko zbadał u malucha wraz z serduszkiem mimo że było to badanie echa serca płodu i dostaliśmy ładne zdjęcia córki z badania
dr n. med. Karol Bielasik
Ślicznie dziękuję i nisko się kłaniam :)