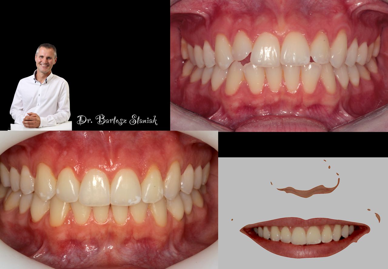
lek. dent. Bartosz Staniak

Stomatolog · Więcej

Poznań 1 adres

60 opinii

Moje doświadczenie

Jeśli chcesz skrócić czas leczenia ortodontycznego z 3 lat do 1 roku, lub kilku miesięcy, umów się na konsultację.
Nowoczesne leczenie ortodontyczne może być krótkie, łatwe i przyjemne.
Bartosz Staniak jest lekarzem medycyny i stomatologii. Kontynuując rodzinne tradycje, studia medyczne ukończył na Uniwersytecie Medycznym w Poznaniu. Pomaga swoim pacjentom uzyskać hollywood smile, żeby mogli osiągnąć swoje zaplanowane cele osobiste i zawodowe. Jego zainteresowania to szeroko pojęte holistyczne podejście do zdrowia, poczucia własnej wartości, samorozwoju i samorealizacji człowieka.
Jako jeden z dwóch lekarzy z Polski, ukończył zaawansowany, dwuletni kurs ortodontyczny Pitts Global Master’s Residency, uzyskując tytuł Master of Orthodontics. Na Uniwersytecie Medycznym Piotra i Marii Curie w Paryżu, uczył się implantologii i odbudowy kości, pod okiem doktora Pascala Valentini.
Jego celem jest połączenie estetyki i funkcji zębów z holistycznym podejściem do problemów pacjenta. Jego mentorem jest guru amerykańskiej ortodoncji estetycznej, Tom Pitts, który opracował autorską metodę leczenia ortodontycznego, Smile Arc Preservation. Dzięki innowacyjnemu podejściu do sposobu pozycjonowania zamków ortodontycznych, pacjent uzyskuje naturalny, szeroki, piękny uśmiech, tzw. hollywood smile, przy zachowaniu prawidłowej funkcji, z dbałością o staw skroniowo-żuchwowy, wykorzystując nowoczesny aparat samoligaturujący.
Leczenia bez usuwania zębów jest jego priorytetem. Uważa, że usuwanie przedtrzonowców nie tylko jest niepotrzebne, ale w wielu przypadkach wręcz szkodzi pacjentom. Zawsze stara się szerzej spojrzeć na problemy pacjentów z zaburzeniami okluzji, którym często towarzyszą, ból głowy i wady postawy. Choroba okluzyjna i bruksizm są coraz bardziej powszechne i praktycznie zawsze wymagają leczenia ortodontycznego i kompleksowego, interdyscyplinarnego podejścia.
Uważa, że ortodoncja XXI wieku powinna być szybka, przewidywalna i wygodna dla pacjenta, dlatego wprowadził do swojej praktyki, nową, metodę leczenia nakładkami Invisalign i komputerowe projektowanie uśmiechu, które cały czas rozwija. Stworzył połączenie ustawienia zębów metody SAP, czyli ochrony naturalnego uśmiechu Toma Pittsa, z aparatem Invisalign.
Kieruje się skutecznością, rozwojem, humanizmem i wolnością. Zawsze oczekuje najlepszego i działa według najwyższych światowych standardów. Jego wizją jest odkrywanie piękna i radości życia. Jednocześnie pokazywanie możliwości zmiany rzeczywistości, poprzez wewnętrzną zmianę siebie, po to by uczynić życie wspaniałym dla siebie i dla innych.
więcej O mnie

Zakres porad

  • Ortodoncja

Pacjenci których przyjmuję

Dorośli
Dzieci

Rodzaje konsultacji

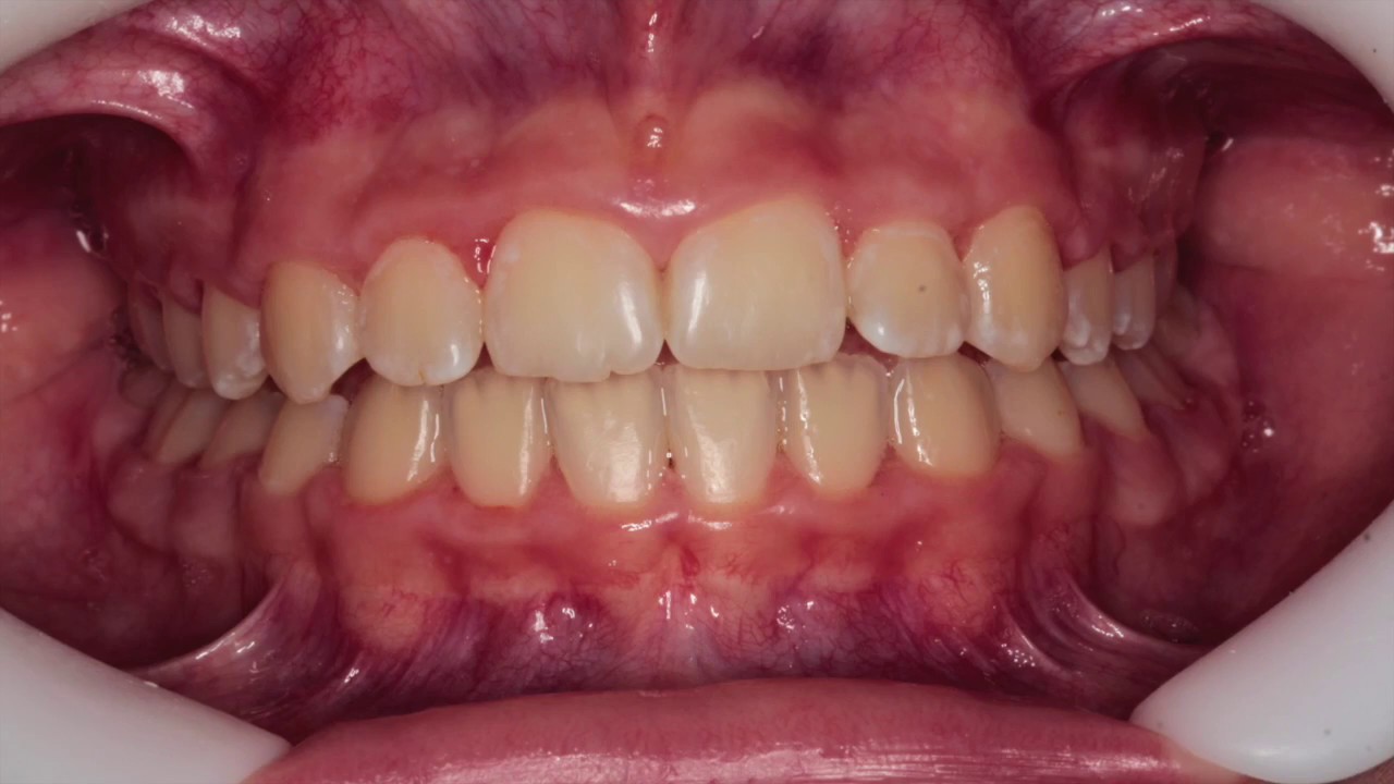
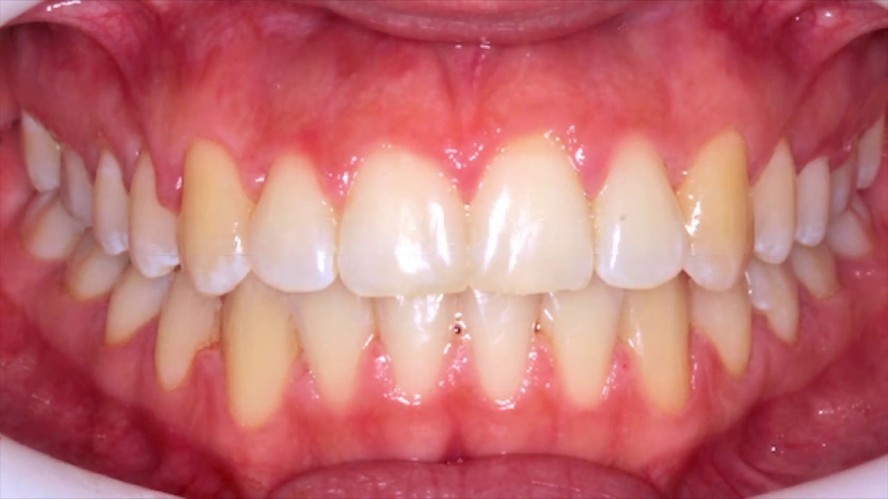
Zdjęcia i filmy

Logo
lek. dent. Bartosz Staniak

Ławica 2, 60-186 Poznań

Pierwsza wizyta jest tylko wizytą konsultacyjną. Na pierwszą wizytę proszę przyjść 10 min wcześniej żeby się zarejestrować. Na wizycie konsultacyjnej omawiam z pacjentem jego wadę zgryzu i plan leczenia. Nie wykonuję żadnych procedur typu naprawa retainera, wymiana ligatur itp.
Kolejne wizyty po wizycie konsultacyjnej są umawiane tylko przez recepcję gabinetu.

15/05/2025

Usługi i ceny

  • Konsultacja ortodontyczna

    200 zł

Adres

Powiększ mapę otwiera się w nowej karcie
Dental Comfort - Ortodonta Implantolog Stomatolog Protetyk

Ławica 2, Grunwald, 60-186 Poznań

Dostępność

Typy przyjmowanych pacjentów

  • Pacjenci prywatni (bez ubezpieczenia)
Powiększ mapę otwiera się w nowej karcie

60 opinii

Sprawdzamy wszystkie opinie. Specjaliści nie mogą płacić za modyfikowanie lub usuwanie opinii. Dowiedz się więcej Dowiedz się więcej o opiniach

  • P

    Bardzo szczegółowe wyjaśnienie sprawy. Wiemy jakie kroki podjąć przed założeniem aparatu.

     • Dental Comfort - Ortodonta Implantolog Stomatolog Protetyk konsultacja ortodontyczna  • 

  • B

    Udało się dowiedzieć wszystko na temat możliwości leczenia ortodontycznego. Dostałam odpowiedź na każde z pytań.

     • Dental Comfort - Ortodonta Implantolog Stomatolog Protetyk konsultacja ortodontyczna  • 

  • D

    wiedza merytoryczna i analityczne podejście do złożonego przypadku ortodontycznego

     • Dental Comfort - Ortodonta Implantolog Stomatolog Protetyk konsultacja ortodontyczna  • 

  • M

    Bardzo cierpliwy i sympatyczny lekarz. Wszystko świetnie wyjasnione.

     • Dental Comfort - Ortodonta Implantolog Stomatolog Protetyk konsultacja ortodontyczna  • 

  • K

    Pan doktor pewnie jest bardzo dobrym specjalistą. Nie rozumiem jednak, dlaczego na portalu znany lekarz jest informacja ze przyjmuje dzieci. Często korzystam z tej formy umawiania wizyt I jeśli sa jakieś ograniczenia wiekowe pacjentow, to jest pytanie o wiek i na tej podstawie umowienie wizyty jest mozliwe lub też nie. Myślę że to blad ze strony kliniki, że nie zadbala o to by to było weryfikowane, strata czasu nasza i lekarza. Ponieważ nie udalo się przeprowadzic zabiegu na synu, pan doktor nie pobral od nas zadnej oplaty, co było bardzo uczciwe i fair- wiele razy zdarzyło mi się już tak płacić “za nic” u innych specjalistow także to zdecydowanie duży plus. Polecam zmienic forme kwalifikowania pacjentow do pana doktora- na pewno obie strony na tym skorzystaja, bo ewidentnie nie ma chemii między tak malymi pacjentami a panem doktorem, co ogólnie szanuje i rozumiem, ale nie powinno się zdarzac.

     • Dental Comfort - Ortodonta Implantolog Stomatolog Protetyk konsultacja ortodontyczna  • 

  • A

    Wizyta dokladna, wszystko było wyjaśnione, otrzymalam plan leczenia, i ómówilam się po wizycie na leczenie zachowawcze zębów i inne czynności, przydatne w moim przypadku. Jestem zadowolona, będę stałym pacjentem Pana Doktora, bo planuję też zacząć zalożenie aparatu, żeby cieszyć się póżniej zdrowym, pięknym uśmiechem.

     • Dental Comfort - Ortodonta Implantolog Stomatolog Protetyk konsultacja ortodontyczna  • 

  • K

    Super wizyta
    Wszystko wyjaśnione tak jak się należy
    Polecam

     • Dental Comfort - Ortodonta Implantolog Stomatolog Protetyk konsultacja ortodontyczna  • 

  • A

    Wszystko w porządku! Miły lekarz, wyjaśnił dalsze kroki działania.

     • Dental Comfort - Ortodonta Implantolog Stomatolog Protetyk konsultacja ortodontyczna  • 

  • O

    Пан Бартош може і дуже гарний та відомий лікар, але я не розумію чого я повинен чекати годину свого візиту, якщо я його запланував на конкретний час, та мені зателефонували з лікарні та попросили перенести на 1.5 години. Я приїхав вчасно - та ще після цього чекав годину! Це дуже непрофесійно з боку лікарів, та вони не поважають час своїх клієнтів

     • Dental Comfort - Ortodonta Implantolog Stomatolog Protetyk Konsultacja stomatologiczna  • 

  • Z całego serca polecam! Profesjonalne podejście do pacjenta, bardzo konkretny lekarz.

     • Dental Comfort - Ortodonta Implantolog Stomatolog Protetyk konsultacja ortodontyczna  • 

Wystąpił błąd, spróbuj jeszcze raz

Najczęściej zadawane pytania