lek. dent. Arkadiusz Polakowski

Stomatolog · Więcej

Łódź 1 adres

Nr PWZ: 6890471

171 opinii
Przewidywany czas odpowiedzi:

Moje doświadczenie

  • Wyróżnienie za najlepszą jakość opieki medycznej (na podstawie prawdziwych opinii pacjentów).
Ukończyłem Łódzką Akademie Medyczna, na wydziale stomatologicznym . W 2007 roku uzyskałem tytuł specjalisty w dziedzinie protetyki stomatologicznej. Regularnie pogłębiam wiedze z zakresu stomatologii o czym świadczą zdobyte przeze mnie certyfikaty . W chwili obecnej prowadzę NZOZ Duodent , specjalistyczny gabinet protetyczny na Widzewie - wschodzie , przy ul. Gogola 12 . Znajdują sie tu trzy nowocześnie urządzone i wyposażone gabinety stomatologiczne. Pracujemy na sprzęcie Sterna Webera, prestiżowej szwajcarskiej firmy produkującej unity stomatologiczne...W gabinecie znajduje sie skaner wewnątrzustny MEDIR i 500 R , gdyz obecnie gabinet nasz wyspecjalizował sie w PROTETYCE CYFROWEJ
Współpracujemy z cyfrowa pracownia techniczna z Warszawy - SCAN LAB.
. W tym wypadku odległość nie ma znaczenia , gdyż wyciski w formie cyfrowej trafiają internetem do pracowni w ciągu paru sekund po ich uzyskaniu drogą skanowania w ustach pacjenta, bez zniekształceń i deformacji. CAD/CAM to supernowoczesna frezarka komputerowa, wycinająca z bloczku cyrkonu najbardziej precyzyjne elementy .
Są to wiec prace bez metalowe, co w dzisiejszych czasach ma ogromne znaczenie. /np. pacjenci poddawani diagnostycznie częstym zabiegom rezonansu magnetycznego /

W gabinecie znajduje się radiovisiografia firmy Gendex, .pozwalająca na miejscu wykonać zdjęcie radiologiczne zęba..oraz aparat do zdjęć pantomograficznych marki PAPAYA R firmy GENORAY R ,pozwalający wykonać cyfrowe zdjęcia całej szczeki i żuchwy , wszystkich zębów, zatok oraz stawów skroniowo-żuchwowych.....
Pracuje u nas cały zespól specjalistów z rożnych dziedzin stomatologii.. Zapewniamy kompleksowa opiekę dentystyczną.. Serdecznie zapraszamy do skorzystania z naszych usług...
więcej O mnie

Zakres porad

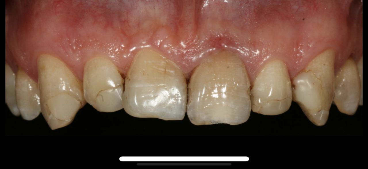
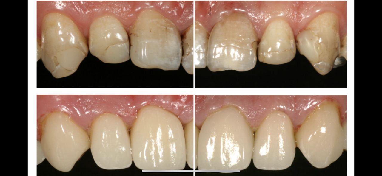
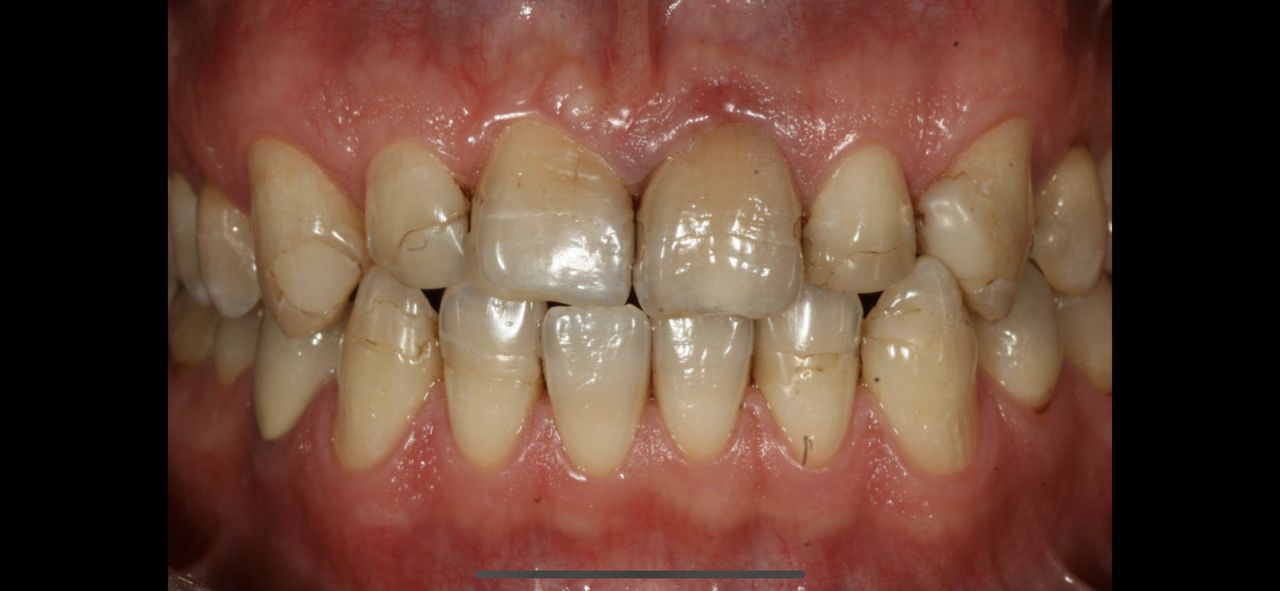
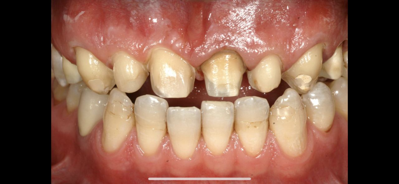
  • Protetyka stomatologiczna

Rodzaje konsultacji

Zdjęcia i filmy

Adres

Powiększ mapę otwiera się w nowej karcie
Duo-Dent

Gogola 12, Widzew, 92-513 Łódź

Dostępność

Telefon

42 293...

Typy przyjmowanych pacjentów

  • Pacjenci prywatni (bez ubezpieczenia)
Powiększ mapę otwiera się w nowej karcie

Usługi i ceny

  • Badania stomatologiczne


  • Implanty

    2 500 zł

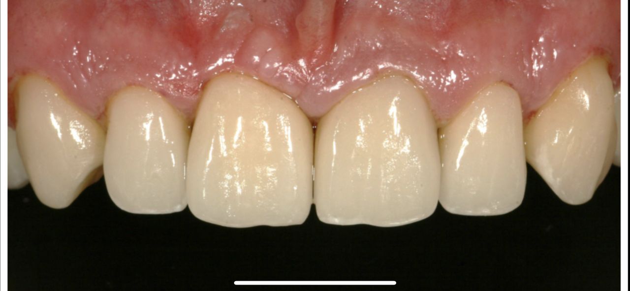
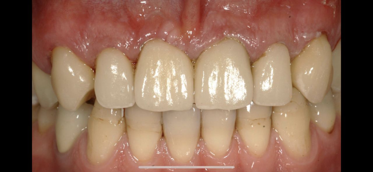
  • Korony cyrkonowe

    Od 1 600 zł

  • Korony pełnoceramiczne

    Od 1 200 zł

  • Piaskowanie

    250 zł

171 opinii

Sprawdzamy wszystkie opinie. Specjaliści nie mogą płacić za modyfikowanie lub usuwanie opinii. Dowiedz się więcej Dowiedz się więcej o opiniach

  • A

    Serdecznie polecam Pana Doktora. Trafiłam do gabinetu z protezą szkieletową, która nie była wykonywana na miejscu, a mimo to otrzymałam ogromną pomoc i pełen profesjonalizm. Lekarz poświęcil cząs na dokładne dopasowanie protezy, wszystko zostało spokojnie wyjaśnione, a efekt przerósł moje oczekiwania. Od tamtej pory mogę normalnie nosić protezę. Bardzo dziękuję za życzliwe podejście, empatię i prawdziwą chęć pomocy pacjentowi. Zdecydowanie polecam ten gabinet.

     • Duo-Dent protezy  • 

  • T

    Z pełnym przekonaniem polecam leczenie protetyczne w tym gabinecie. Wykonane korony porcelanowo-cyrkonowe spełniły moje oczekiwania zarówno pod względem estetycznym, jak i funkcjonalnym. Efekt końcowy jest bardzo naturalny, korony są idealnie dopasowane i komfortowe w codziennym użytkowaniu. Cały proces leczenia przebiegał sprawnie, z dokładnym omówieniem planu oraz poszczególnych etapów. Lekarz wykazał się dużą wiedzą, precyzją i dbałością o detale, co w protetyce ma kluczowe znaczenie. Dodatkowo czułem się zaopiekowany i spokojny, co zdecydowanie podnosi komfort leczenia.

     • Duo-Dent korony cyrkonowe  • 

  • E

    Pan doktor Arek jest profesjonalistą, wizyta przebiegła szybko i bezboleśnie. Atrakcyjne ceny.

     • Duo-Dent korony pełnoceramiczne  • 

  • E

    Specjalista od nieskomplikowanych "przypadków", nie polecam.

     • Duo-Dent badania stomatologiczne  • 

    lek. dent. Arkadiusz Polakowski

    Proszę Pani, Pani przypadek nie był zbyt trudny ani skomplikowany …. Wręcz przeciwnie, most porcelana na cyrkonie to zabieg jakich wykonuje bardzo dużo w moim gabinecie - jestem specjalistą protetyki. U Pani zresztą wykonałem 12 lat temu dwa duże mosty w szczęce, u góry, na implantach - wszystko działa i jak sama Pani relacjonowała , czuła się Pani z nimi przez te wszystkie lata jak z własnymi zębami ….
    Teraz, po latach wróciła Pani do gabinetu wykonać most na dole, w żuchwie / potwierdza to niejako pani zadowolenie z wykonanych prac, w przeciwnym razie nie wróciłaby Pani /. Do wykonania tego mostu niezbędne jest jednak przygotowanie chirurgiczne podłoża , które wiąże się np. z odstawieniem leków rozrzedzających krew . Pani stan zdrowia nie pozwala na wykonanie tego zabiegu w gabinecie - ambulatoryjnie…. Wypis ze szpitala który pani przyniosła ze sobą na wizytę, NIE POZWALA na to.
    / wymaga Pani leczenia w warunkach szpitalnych / Kontakt który nawiązałem z pani lekarzem prowadzącym - kardiologiem - upewnił mnie że podjąłem słuszną decyzję odmawiając wykonania tego zabiegu w moim gabinecie. Nie wyraził on zgody na leczenie ambulatoryjne w Pani przypadku, o którą poprosilem. Bardzo mi przykro z tego powodu . Nie podejmę się tego leczenia tylko i wyłącznie w obawie o Pani zdrowie i życie....
    Nie z uwagi na stopień trudności ...
    Życzę Pani pełnego powrotu do zdrowia
    Pozdrawiam


  • J

    Zawsze bałam się dentystów, gdy zostałam zaproszona do gabinetu z uśmiechem przyjął mnie Doktor Arkadiusz, opowiedziałam mu o sytuacji swojej i szczegółowo wszystko mi wyjaśnił na temat mojego zęba jeszcze dziś podjął kroki aby było mi lżej z zębem leczenie będzie trwało ale z uśmiechem na twarzy :)

     • Duo-Dent badania stomatologiczne  • 

  • I

    Lekarz godny polecenia. Pełen profesjonalizm, pasja i kultura. Na pierwszej wizycie mamy pełną, czytelną informację o przebiegu leczenia.

     • Duo-Dent korony cyrkonowe  • 

  • M

    Bardzo rzeczowo, konkretnie i fachowo, mogę tylko polecić.

     • Duo-Dent leczenie kanałowe  • 

  • M

    Profesjonalne podejście pod każdym względem. Praca protetyczna wykonana szybko i bardzo ładnie. Gorąco polecam Pana Arkadiusza!

     • Duo-Dent korony cyrkonowe  • 

  • E

    Pan doktor jest profesjonalny, a jego podejście do pacjenta bardzo empatyczne. Przyjazna atmosfera, gabinet czysty i dobrze wyposażony, a obsługa miła.Podczas wizyty wszystko dobrze mi wyjaśniono, i zadbano o to bym poczuła się komfortowo. Polecam z czystym sumieniem.

     • Duo-Dent Inny  • 

  • D

    Pan dok.Polakowski to profesjonalista, tam gdzie nikt nie chciał zająć się moimi zębami
    P.dok wyczarowal piękny uśmiech.
    Dziękuję, i z czystym sumieniem mogę polecić każdemu kto ma problemy z zębami.

     • Duo-Dent odbudowa zębów  • 

Wystąpił błąd, spróbuj jeszcze raz

Najczęściej zadawane pytania