Przewidywany czas odpowiedzi:

Moje doświadczenie

Jestem specjalistą ortodoncji i protetyki. Studia medyczne ukończyłam w 2004 roku. W Specjalistycznej Lecznicy Stomatologicznej UMB odbyłam szkolenie specjalizacyjne zakończone wysoko zdanym egzaminem uzyskując ocenę bardzo dobrą od komisji egzaminacyjnej. Tym samym uzyskałam tytuł specjalisty protetyka. Następnie rozpoczęłam edukację z zakresu ortodoncji. Ukończyłam prestiżowe 3-letnie studia podyplomowe z zakresu ortodoncji na Uniwersytecie w Austrii. Ukończyłam również specjalizację z ortodoncji w Akademickiej Poliklinice Stomatologicznej we Wrocławiu z wysokim wynikiem. Miałam tam możliwość nauki zarówno tradycyjnych jak i najnowocześniejszych metod leczenia ortodontycznego. Uczestniczyłam w wielu specjalistycznych kursach i szkoleniach z zakresu okluzji i ortodoncji oraz biomechaniki leczenia u światowej klasy wykładowców. Obroniłam również doktorat i jestem na ukończeniu habilitacji. Jestem autorką i współautorką wielu artykułów w prestiżowych naukowych czasopismach z wysokim Impact Factor w zespole konsultanta krajowego z ortodoncji. Połączenie rozległej wiedzy z obu dziedzin ortodoncji i protetyki oraz wieloletnie doświadczenie otworzyło mi możliwość kompleksowego leczenia pacjentów i pełnej diagnostyki ortodontyczno-protetycznej okluzji i wad zgryzu oraz często pomijanych problemów w stawach skroniowo- żuchwowych tj: trzaski, przeskakiwania czy ból, na które skarży się wielu pacjentów, a które wynikają z wymuszonej okluzji niezgodnej z tzw. relacją centralną w SSŻ. Diagnozuję pacjentów w oparciu o najnowocześniejszy artykulator cyfrowy - MODJAW. Dzięki temu wraz z całym zespołem Dental Star udaje mi się pomóc wielu pacjentom z dysfunkcją stawów skroniowo - żuchwowych. Zawsze wykorzystuję potencjał wzrostowy dzieci i nastolatków oraz skupiam się nie tylko na wyeliminowaniu wady zgryzu, ale również przyczyn jej powstania. Nieustannie uczestniczę w licznych kursach i szkoleniach ortodontycznych i protetycznych w kraju i zagranicą oraz korzystam z najnowszej literatury światowej podnosząc swoje kwalifikacje zarówno merytoryczne jak i z zakresu wysokiej jakości obsługi pacjenta. Należę również do Polskiego Towarzystwa Ortodontycznego. Jestem Prezesem Polskiego Towarzystwa Stomatologicznego w Białymstoku, autorem publikacji naukowych oraz wykładowcą na międzynarodowych konferencjach stomatologicznych. Od 2009 roku prowadzę własną poradnię i dbam o najwyższy poziom świadczonych usług. W trakcie swojej kilkunastoletniej pracy ogromny nacisk kładę na jakość wykonywanych usług oraz na indywidualne podejście do pacjenta. Efektem tego jest stale poszerzające się grono zadowolonych pacjentów. Zajmuję się zarówno leczeniem ortodontycznym dzieci, młodzieży jak i dorosłych aparatami stałymi jak i ruchomymi oraz stomatologią estetyczną (licówki kompozytowe metodą flow injection oraz licówki porcelanowe). Zawsze przeprowadzam dokładną diagnostykę, która pozwala na przedstawienie optymalnego dla Pacjenta planu leczenia. Diagnostykę wykonuję w oparciu o wyciski cyfrowe skanerem 3Shape, co eliminuje konieczność nieprzyjemnych wycisków tradycyjnych masą wyciskową. Leczenie prowadzę z poszanowaniem prawidłowej relacji w stawach skroniowo-żuchwowych. W swojej pracy zawsze dążę do odtworzenia naturalnego kształtu zębów, prawidłowej okluzji (zgryzu) oraz postrzegam całokształt problemów jamy ustnej ze wszystkich dziedzin stomatologicznych ujmując je w kompleksowym planie leczenia tak, żeby utrzymać długoczasowo uzyskane efekty leczenia. Możliwość nowoczesnego a zarazem pełnego leczenia oraz zadowolenie pacjentów daje mi ogromną satysfakcję. Wychodząc naprzeciw potrzebom pacjentów w gabinecie Dental Star w Białymstoku umożliwiamy również płatność ratalną za pośrednictwem MediRat.

więcej O mnie

Zakres porad

  • Ortodoncja
  • Protetyka stomatologiczna

Pacjenci których przyjmuję

Dorośli
Dzieci

Rodzaje konsultacji

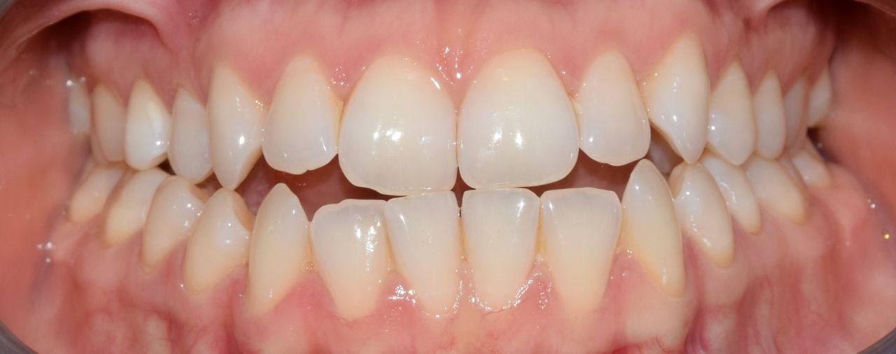
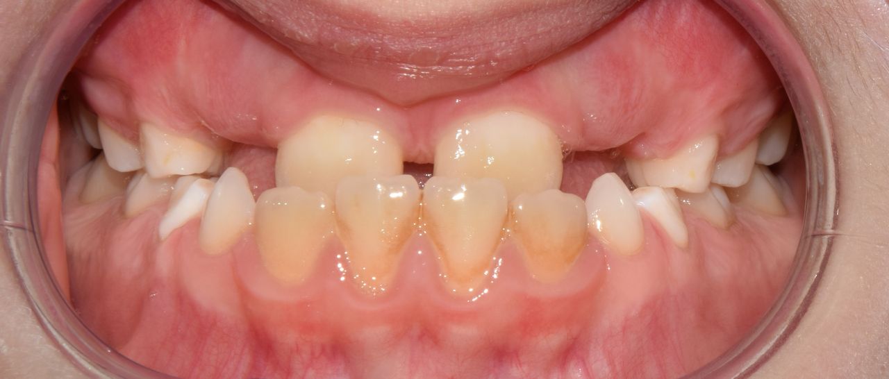
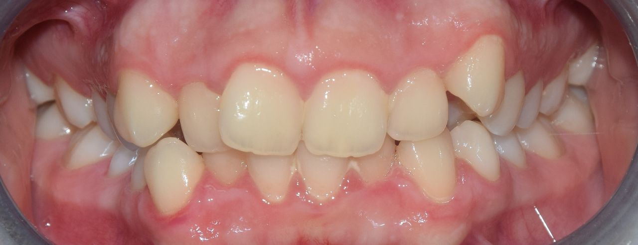
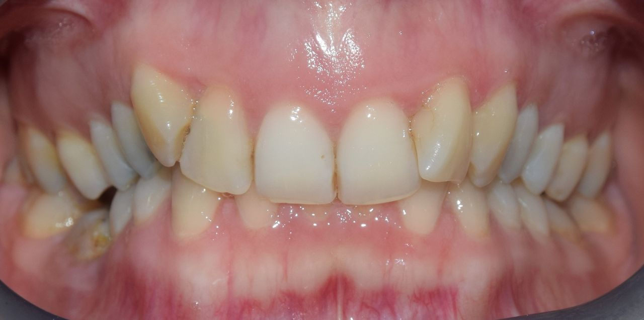
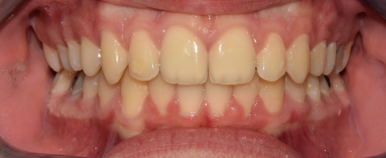
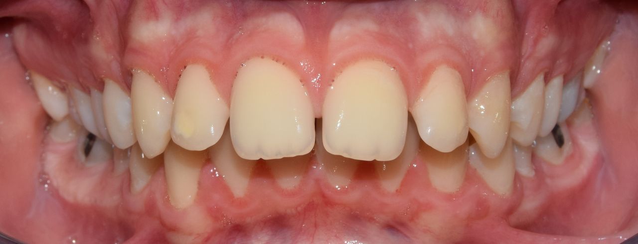
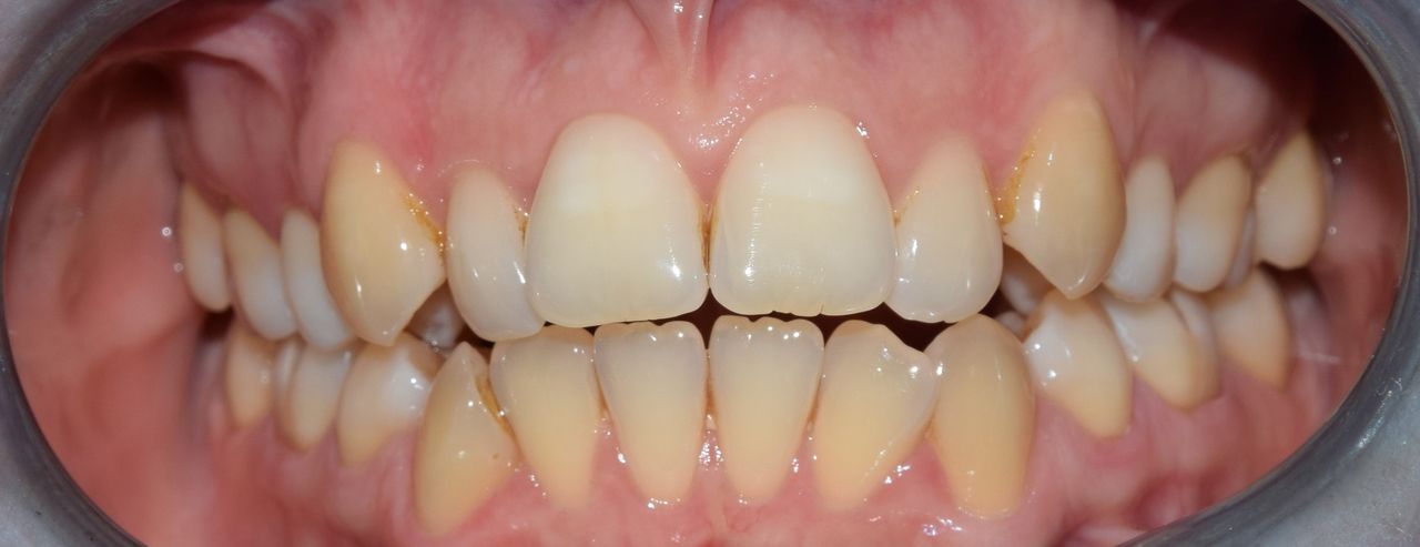
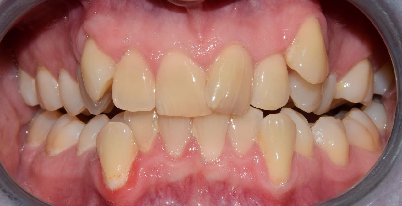
Zdjęcia i filmy

Logo
dr n. med. Anna Kuc

Krakowska 4, 15-875 Białystok

Pacjenci pierwszorazowi proszeni są o wybieranie usługi - konsultacja ortodontyczna oraz zjawienie się ok 10 min wcześniej w celu wypełnienia niezbędnych dokumentów. Pacjenci którzy mają już założony aparat stały proszeni są o wybieranie opcji wizyta kontrolna z aparatem stałym. Natomiast dzieci z aparatami zdejmowanymi lub aparatami typu Hyrax proszeni są o wybieranie opcji wizyta kontrolna z aparatem zdejmowanym. W celu zmiany terminu wizyty należy użyć opcji przełóż wizytę, zamiast umawiana nowej nieodwoławszy starej.

03/11/2024

Usługi i ceny

  • Konsultacja ortodontyczna dzieci

    300 zł

  • Konsultacja ortodontyczna

    300 zł

  • Kontrola aparatu stałego


  • Kontrola aparatu zdejmowanego


  • Aparaty stałe

    Od 2 800 zł

Adres

Powiększ mapę otwiera się w nowej karcie
Dental Star Specjalistyczne Centrum Ortodoncji

Krakowska 4, Przydworcowe, 15-875 Białystok

Dostępność

Telefon

85 585...

Typy przyjmowanych pacjentów

  • Pacjenci prywatni (bez ubezpieczenia)
Powiększ mapę otwiera się w nowej karcie

435 opinii

Sprawdzamy wszystkie opinie. Specjaliści nie mogą płacić za modyfikowanie lub usuwanie opinii. Dowiedz się więcej Dowiedz się więcej o opiniach

  • E

    Polecam . Gabinet przyjazny dzieciom. Personel miły i pomocny.

     • Dental Star Specjalistyczne Centrum Ortodoncji konsultacja ortodontyczna dzieci  • 

  • E

    Z całego serca polecam ortodoncję Dental Star. Pani doktor Anna Kuc to specjalistka z ogromną wiedzą i profesjonalnym podejściem. Noszenie aparatu trwało u mnie niecałe dwa lata -zęby się wyprostowały, jednak diastema między jedynkami, ze względu na ich kształt, wymagała dodatkowego rozwiązania. Zdecydowałam się na bonding, bo bardzo zależało mi na idealnym, harmonijnym uśmiechu. Pani doktor Maria zaprojektowała i wykonała go perfekcyjnie. Efekt przerósł moje oczekiwania- zęby wyglądają naturalnie, nie widać, że są „dorabiane”, a kolor jest idealnie dopasowany. Jestem niezwykle szczęśliwa, to mój wymarzony prezent świąteczny. Cieszę się, że trafiłam do Dental Star. Zdecydowanie polecam każdemu, kto marzy o idealnym uśmiechu.

     • Dental Star Specjalistyczne Centrum Ortodoncji aparaty stałe  • 

    dr n. med. Anna Kuc

    Jest nam bardzo miło słyszeć takie słowa tym bardziej że zawsze zadowolenie pacjenta i prawidłową okluzję i estetykę uśmiechu stawiamy na pierwszym miejscu. Serdecznie dziękujemy.


  • A

    Pełen profesjonalizm i zaangażowanie. Wspaniałe podejście do dzieci — moja córka nie stresowała się żadną z wizyt. Plan leczenia konkretny i dokładnie wyjaśniony. Serdecznie dziekuję, pani Doktor !

     • Dental Star Specjalistyczne Centrum Ortodoncji konsultacja ortodontyczna dzieci  • 

    dr n. med. Anna Kuc

    Serdecznie dziękuję. Jestem całym sercem z Wami!


  • K

    Polecam wizyty u Pani doktor. Wszystko wyjaśnione jak trzeba, na każde pytanie uzyskałam odpowiedź. Leczenie przyniosło skutki, syn z cofnięta szczęka po roku leczenia ma bardzo dużą poprawę.

     • Dental Star Specjalistyczne Centrum Ortodoncji kontrola aparatu zdejmowanego  • 

    dr n. med. Anna Kuc

    Bardzo dziękuję. To ogromna satysfakcja móc pomagać.


  • B

    To moja pierwsza wizyta- miejsce nowoczesne i przyjazne dla pacjenta w każdym aspekcie (estetyczne, czyste, bardzo atrakcyjny kącik dla dzieci, kawa dla rodziców). W gabinecie natomiast pełny profesjonalizm na poziomie, który zaskoczył mnie nowoczesnością, odbiegającą daleko od tradycyjnego wyobrażenia. Serdeczne przyjęcie, miła obsługa. Polecam.

     • Dental Star Specjalistyczne Centrum Ortodoncji konsultacja ortodontyczna  • 

    dr n. med. Anna Kuc

    Dziękujemy!


  • D

    Miła i przyjemna wizyta, Pani doktor wszystko wyjaśniła mi to co chciałam wiedzieć

     • Dental Star Specjalistyczne Centrum Ortodoncji konsultacja ortodontyczna  • 

  • K

    Diagnostykę Pani Doktor rozpoczęła sekundowym zerknięciem w buzię i stwierdzeniem na tej podstawie że potrzebny jest aparat. Po czym zleciła RTG. Po badaniu usłyszałam jedynie że mam za długą szczękę i Pani Doktor pobiegła do drugiego gabinetu. Generalnie biegała od pacjenta do pacjenta. Zero wyjaśnień, a o czasie żeby o cokolwiek zapytać to można pomarzyć. Za całość zapłaciłam 800zł.

     • Dental Star Specjalistyczne Centrum Ortodoncji konsultacja ortodontyczna  • 

    dr n. med. Anna Kuc

    Pani Kamilo to dopiero konsultacja, na najbliższej wizycie będzie bardzo szczegółowo omawiana diagnoza i plan leczenia. Badania które pani miała wykonane to niezbędnik do ułożenia planu leczenia. Badaniem klinicznym nie widać tego co możemy policzyć na modelach i przeanalizować na zdjęciach rtg. Na pewno po najniższej wizycie zrozumie pani dlaczego to tak istotne. Cena którą pani zapłaciła zawiera kolejną wizytę z przedstawieniem planu leczenia. Nasza klinika to zgrany zespół w którym każdy ma swoje zadania. Do zobaczenia!


  • A

    Pani doktor jest bardzo miła, otwarta, widać że zna się na rzeczy. Personel też bardzo miły i fachowy. Co do efektów, zobaczymy po 2-3 latach. Na teraz jesteśmy bardzo zadowoleni.

     • Dental Star Specjalistyczne Centrum Ortodoncji aparaty stałe  • 

    dr n. med. Anna Kuc

    Bardzo dziękuję!


  • K

    Szczegółowo, konkretnie, profesjonalnie, duże doświadczenie w leczeniu trudnych wad zgryzu.

     • Dental Star Specjalistyczne Centrum Ortodoncji Inny  • 

    dr n. med. Anna Kuc

    Dziękujemy i pozdrawiamy!


  • T

    Polecam,fachowe doradztwo,tylko cztery gwiazdki bo ceny usług szybko rosnał,ale nowy lokal to może tak musi być

     • Dental Star Specjalistyczne Centrum Ortodoncji kontrola aparatu zdejmowanego  • 

Wystąpił błąd, spróbuj jeszcze raz

Odpowiedzi na pytania

8 odpowiedzi udzielonych przez lekarza na pytania pacjentów na ZnanyLekarz.pl

Witam, posiadam odbudowę flow injection na górnym łuku od 1-4, czy wyklucza mnie to z leczenia ortodontycznego invisalign lub aparatem stałym? Dodam tez ze mam 32 lata i jako nastolatka nosiłam aparat ortodontyczny stały, jednak niestety leczenie nie zostało wtedy prawidłowo przeprowadzone :( z góry dziękuję za odpowiedź :)

Licówki nie wykluczają możliwości leczenia ortodontycznego - natomiast należy liczyć się koniecznością ich korekty lub wymiany po leczeniu ortodontycznym.

dr n. med. Anna Kuc

Córka lat 12, wada tyłozgryz oraz brak zawiązki dolnej piątki. Dwóch ortodontów dwa plany leczenia.
1. Aparat stały góra i dół. Piatka-mleczak do usunięcia i rozsuwamy zęby. Czy jest możliwe przesuniecie pozostałych zebów na taką przestrzeń?
2. Najpierw aparat Herbst na tyłozgryz, ten ortodonta stwierdziła, że zeby rotują więc uważa, że kolejny trezba załozyc aparat Beneslider, na końcu aparat stały. Retencja do końca życia. Utrzymujemy piatke i docelowo implant.
Dodam, że córka od 1,5 roku juz nie rośnie. pierwsze zeby zaczęły wypadac jak miała 5,5 roku.
który z tych planów leczennia ma sznasę powodzenia? Czy istnieją jeszcze inne mozliwości leczenia?

Plan leczenia zawsze opiera się na pełnej diagnostyce. W zależności od wielu parametrów możliwe są różne rozwiązania ortodontyczne - zwykle każde z nich ma swoje wady i zalety. Decyduje o tym na przykład obecność zawiązków zębów ósmych, które czasem można autotransplantować na miejsce brakującego zęba, kierunek wzrostu twarzy,wymiar pionowy twarzy i wiele innych. Wada klasy II może wynikać z niedorozwoju żuchwy, prognatycznej szczeki lub połączenia obydwu czynników - plan leczenia musi być zatem zindywidualizowany. Nie da się jednoznacznie odpowiedzieć, który plan jest lepszy bez wyników badań diagnostycznych. Pozdrawiam Anna Kuc

dr n. med. Anna Kuc
Zobacz wszystkie odpowiedzi

Wszystkie treści, w szczególności pytania i odpowiedzi, dotyczące tematyki medycznej mają charakter informacyjny i w żadnym wypadku nie mogą zastąpić diagnozy medycznej.

Najczęściej zadawane pytania