lek. dent.
Anna Duda
Stomatolog
·
Lekarz wykonujący zabiegi medycyny estetycznej
Więcej
Wrocław 2 adresy
Nr PWZ: 2348294
134 opinieMoje doświadczenie
Już na tym etapie jest mi bardzo miło, że właśnie tutaj zaglądasz.
Tym bardziej się cieszę, ponieważ poniższe słowa opisują kim jestem.
Nazywam się Anna Duda, a Ortodoncja to moja pasja i dziedziną w której się specjalizuję.
Z dumą mogę powiedzieć, że jestem w tym naprawdę dobra.
Co roku, ponad stu pacjentów rozpoczyna u mnie leczenie nakładkami ortodontycznymi, a każdy z nich to dla mnie wyjątkowy przypadek.
Moje doświadczenie w ortodoncji pozwala mi podejść do każdej sytuacji z pełnym profesjonalizmem i pewnością, że możemy osiągnąć najlepsze rezultaty.
Rozumem, że każdy pacjent ma własne cele i oczekiwania w zakresie leczenia ortodontycznego. Dlatego też, niezależnie od skomplikowania problemu, wiem, że mogę pomóc. Moje podejście jest oparte na doświadczeniu, wiedzy, sprawdzonych technikach ortodontycznych i moich autorskich planach leczenia, które we wsparciu zaawansowanych technologii wdrażam z sukcesami w życie i indywidualne planowanie leczenia, aby osiągnąć piękny i zdrowy uśmiech, którego zawsze pragniecie.
Jednym z moich priorytetów jest zapewnienie pacjentom maksymalnego komfortu i skróconego czasu leczenia. Rozumiem, że każdy ma intensywny styl życia.
Nakładki są wyjątkowo wygodne i praktycznie niewidoczne w codziennym użytkowaniu. To oznacza, że możecie prowadzić normalne życie, bez zakłócania przez tradycyjne aparaty.
Ponadto, dzięki precyzyjnemu planowaniu i dostosowywaniu nakładek do potrzeb pacjenta, jesteśmy ( ja, jako lekarz prowadzący i pacjent) w stanie osiągnąć spektakularne wyniki w krótkim czasie.
W mojej praktyce zawsze stawiam na indywidualne podejście. Wiem, że każdy przypadek jest inny, dlatego diagnozuję i planuję leczenie dokładnie tak, aby dostosować je do Waszych potrzeb i oczekiwań..
Dlatego też każdy z Was może być pewny, że jestem tu, aby pomóc Wam osiągnąć wymarzony uśmiech.
Jeśli szukasz ortodontki, która jest doskonała w tym, co robi, dba o Twój komfort, oferuje skrócony czas leczenia i podejście oparte na indywidualnych potrzebach pacjenta, to jestem tutaj, aby Ci pomóc. Skontaktuj się ze mną, a razem osiągniemy spektakularne rezultaty, zachowując pełną wygodę i swobodę w codziennym życiu.
Zakres porad
- Medycyna estetyczna
- Ortodoncja
Pacjenci których przyjmuję
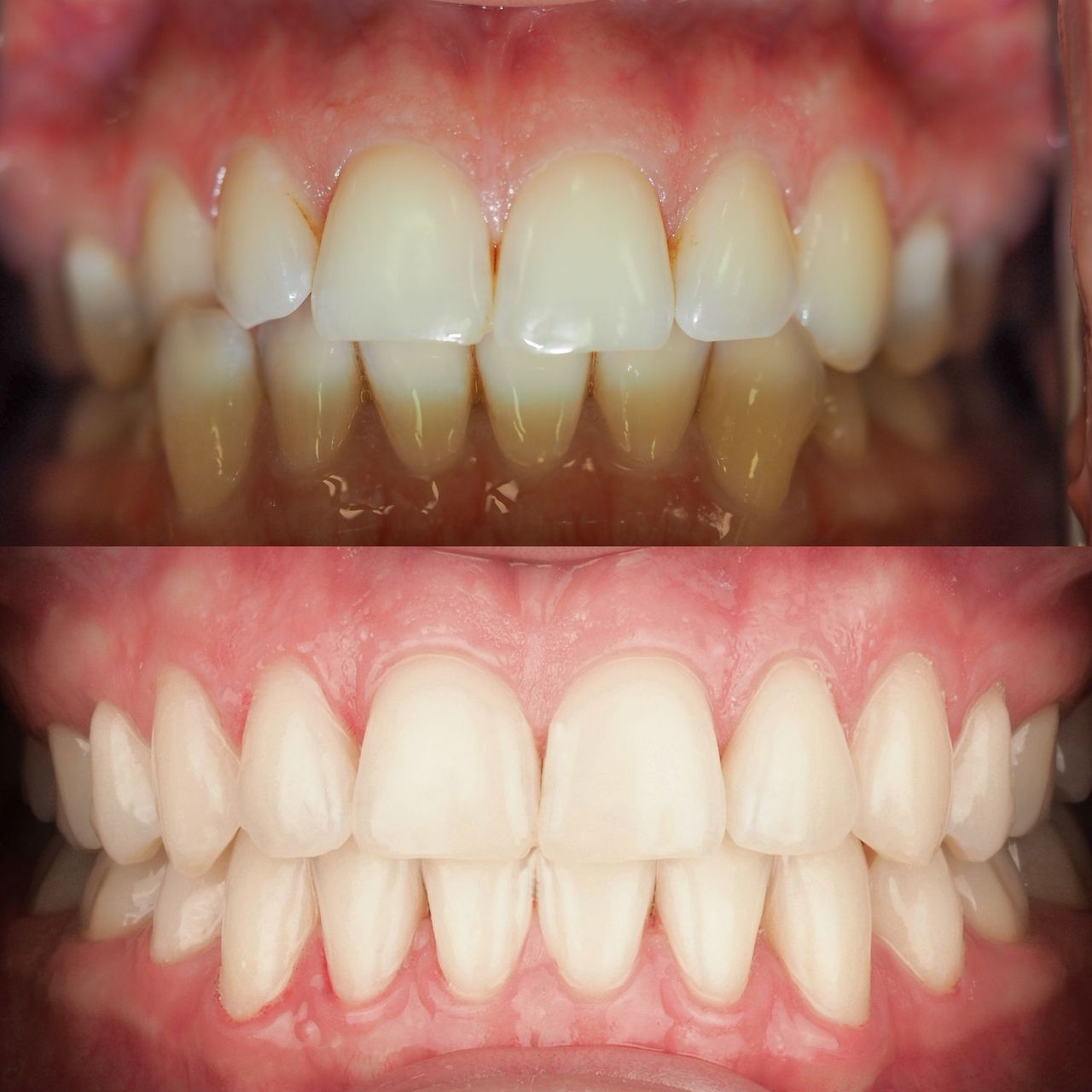
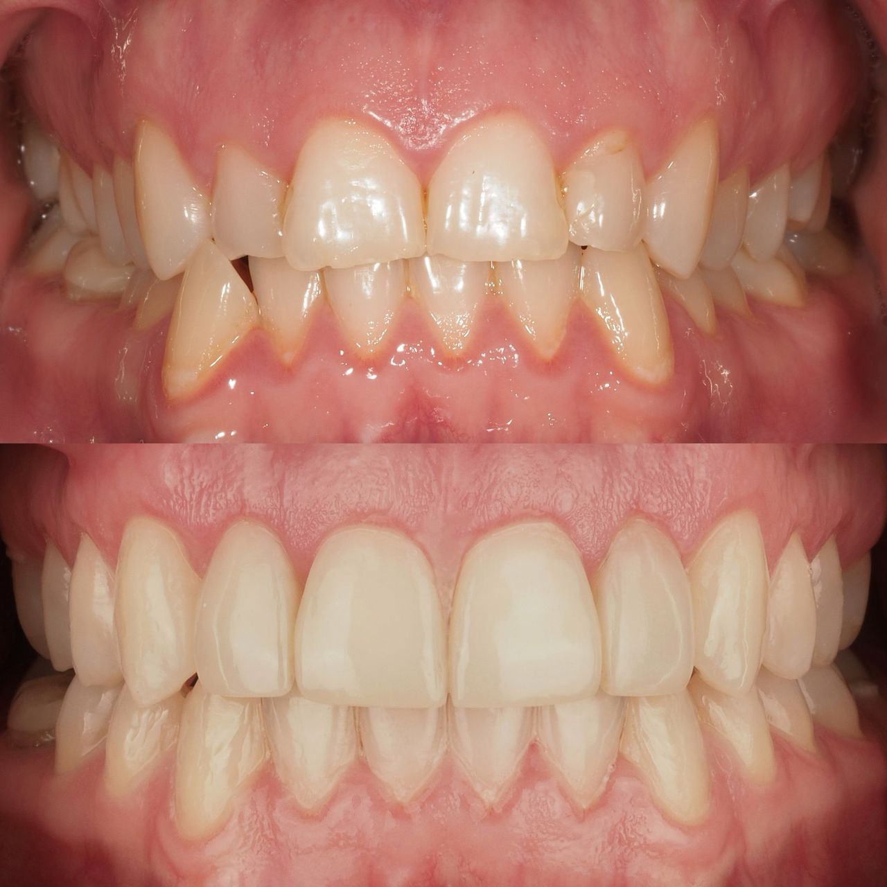
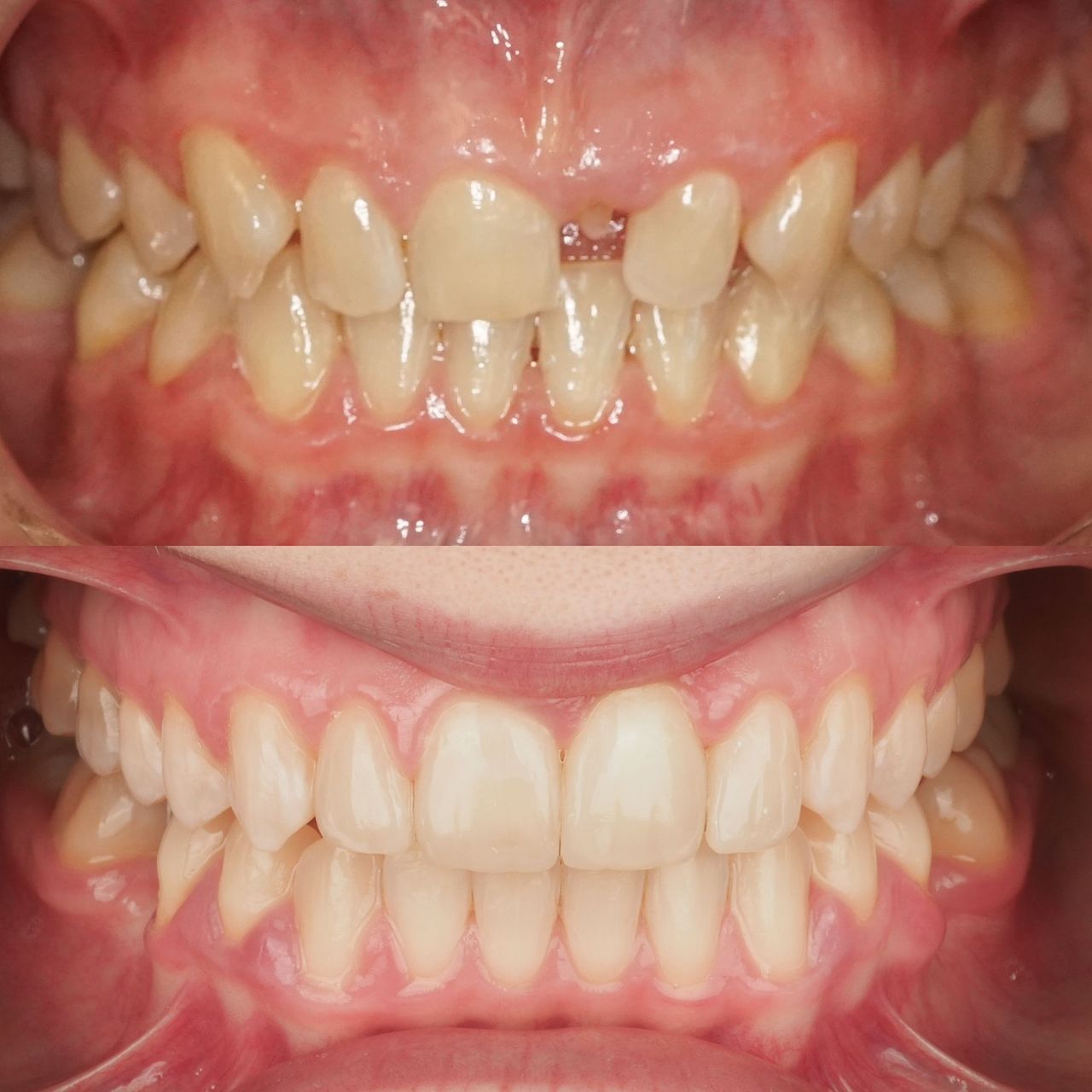
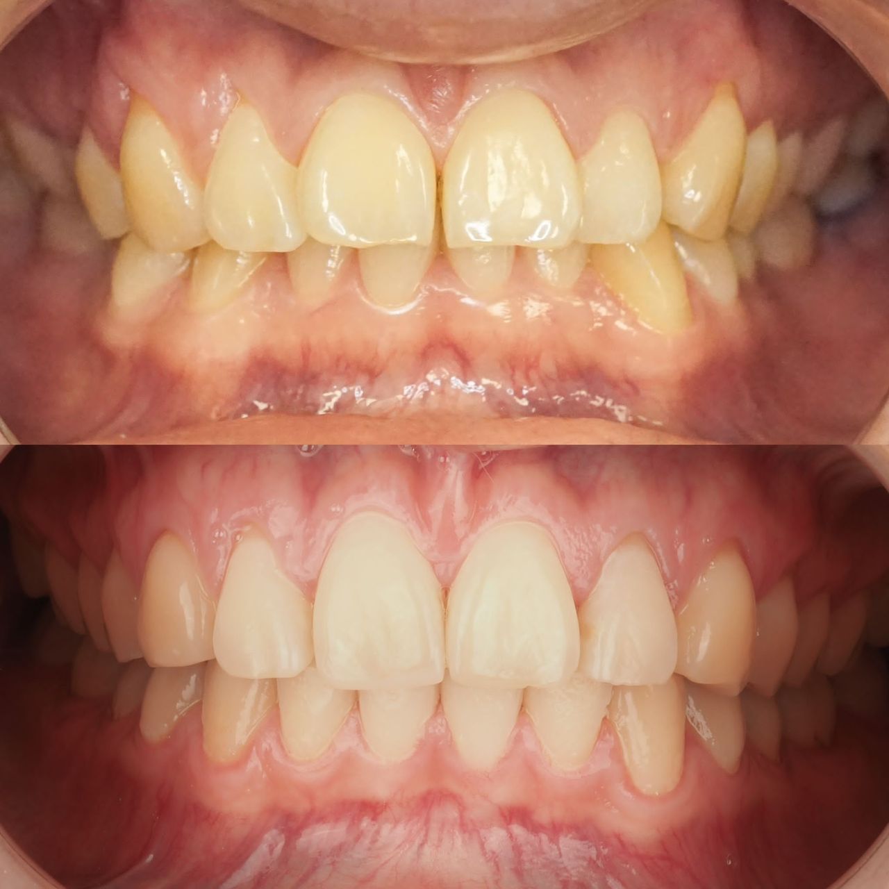
Zdjęcia i filmy
Usługi i ceny
-
Konsultacja z zakresu medycyny estetycznej
150 zł -
-
Mezoterapia mikroigłowa Dermapen 4
650 zł -
-
Kwas hialuronowy
Od 1 300 zł -
-
Leczenie bruksizmu
Od 1 500 zł -
-
Leczenie bruksizmu toksyną botulinową
Od 1 500 zł -
-
-
-
-
-
-
-
-
-
-
-
-
-
-
-
-
-
-
-
-
-
-
-
-
-
-
-
-
-
-
-
-
-
-
-
-
-
-
-
-
-
-
-
-
-
-
-
-
-
-
Adresy (3)
Powstańców Śląskich 60, Krzyki, 53-333 Wrocław
Dostępność
Telefon
Dlaczego prosimy Cię o wyrażenie zgody na przetwarzanie danych?
Wyrażenie zgody jest niezbędne do umówienia wizyty z wykorzystaniem telerejestracji. Wymagają tego przepisy Ogólnego Rozporządzenie o Ochronie Danych Osobowych - tzw. RODO. Informujemy, że zgoda jest dobrowolna, jednak jej brak uniemożliwi umówienie wizyty. Informujemy rówież, że zgoda może zostać w każdym momencie zostać wycofana. W tym celu wystarczy się skontaktować z nami przez formularz
Kiedy dojdzie do przetwarzania moich danych osobowych?
Do przetwarzania Twoich danych osobowych dojdzie podczas rozmowy telefonicznej z naszym centrum telerejestracji, ale jednak wyłącznie w sytuacji gdy tej rozmowy podasz nam swoje dane osobowe. Przetwarzanie danych osobowych dokonywane jest w celu umówienia wizyty i przekazania danych osobowych wybranemu Profesjonaliście.
Czy moje dane osobowe zostaną przekazane Profesjonaliście do którego chce się umówić na wizytę?
Tak. Udostępnimy wybranemu przez Ciebie Profesjonaliście informacje i dane osobowe które nam przekazałeś podczas rozmowy telefonicznej oraz przekażemy te informacje Profesjonaliście. Dzięki temu Profesjonalista będzie mógł przygotować się na Twoją wizytę.
Kto jest administratorem moich danych osobowych?
Administratorem danych osobowych jest ZnanyLekarz sp. z o.o. z siedzibą w Warszawie przy ul. Kolejowej 5/7. Informujemy, że po przekazaniu przez nas Twoich danych osobowych wybranemu przez Ciebie Profesjonaliście, staje się on również administratorem Twoich danych osobowych i przetwarza je w celach związanych ze świadczeniem usług medycznych lub innych podobnych.
Gdzie mogę uzyskać więcej informacji o moich prawach związanych z przetwarzaniem danych osobowych?
Więcej informacji o przetwarzaniu Twoich danych osobowychTypy przyjmowanych pacjentów
- Pacjenci prywatni (bez ubezpieczenia)
Powstańców Śląskich 60, Krzyki, 53-333 Wrocław
Dostępność
Telefon
Dlaczego prosimy Cię o wyrażenie zgody na przetwarzanie danych?
Wyrażenie zgody jest niezbędne do umówienia wizyty z wykorzystaniem telerejestracji. Wymagają tego przepisy Ogólnego Rozporządzenie o Ochronie Danych Osobowych - tzw. RODO. Informujemy, że zgoda jest dobrowolna, jednak jej brak uniemożliwi umówienie wizyty. Informujemy rówież, że zgoda może zostać w każdym momencie zostać wycofana. W tym celu wystarczy się skontaktować z nami przez formularz
Kiedy dojdzie do przetwarzania moich danych osobowych?
Do przetwarzania Twoich danych osobowych dojdzie podczas rozmowy telefonicznej z naszym centrum telerejestracji, ale jednak wyłącznie w sytuacji gdy tej rozmowy podasz nam swoje dane osobowe. Przetwarzanie danych osobowych dokonywane jest w celu umówienia wizyty i przekazania danych osobowych wybranemu Profesjonaliście.
Czy moje dane osobowe zostaną przekazane Profesjonaliście do którego chce się umówić na wizytę?
Tak. Udostępnimy wybranemu przez Ciebie Profesjonaliście informacje i dane osobowe które nam przekazałeś podczas rozmowy telefonicznej oraz przekażemy te informacje Profesjonaliście. Dzięki temu Profesjonalista będzie mógł przygotować się na Twoją wizytę.
Kto jest administratorem moich danych osobowych?
Administratorem danych osobowych jest ZnanyLekarz sp. z o.o. z siedzibą w Warszawie przy ul. Kolejowej 5/7. Informujemy, że po przekazaniu przez nas Twoich danych osobowych wybranemu przez Ciebie Profesjonaliście, staje się on również administratorem Twoich danych osobowych i przetwarza je w celach związanych ze świadczeniem usług medycznych lub innych podobnych.
Gdzie mogę uzyskać więcej informacji o moich prawach związanych z przetwarzaniem danych osobowych?
Więcej informacji o przetwarzaniu Twoich danych osobowychTypy przyjmowanych pacjentów
- Pacjenci prywatni (bez ubezpieczenia)
- Pacjenci ubezpieczeni
Dostępność
Telefon
Dlaczego prosimy Cię o wyrażenie zgody na przetwarzanie danych?
Wyrażenie zgody jest niezbędne do umówienia wizyty z wykorzystaniem telerejestracji. Wymagają tego przepisy Ogólnego Rozporządzenie o Ochronie Danych Osobowych - tzw. RODO. Informujemy, że zgoda jest dobrowolna, jednak jej brak uniemożliwi umówienie wizyty. Informujemy rówież, że zgoda może zostać w każdym momencie zostać wycofana. W tym celu wystarczy się skontaktować z nami przez formularz
Kiedy dojdzie do przetwarzania moich danych osobowych?
Do przetwarzania Twoich danych osobowych dojdzie podczas rozmowy telefonicznej z naszym centrum telerejestracji, ale jednak wyłącznie w sytuacji gdy tej rozmowy podasz nam swoje dane osobowe. Przetwarzanie danych osobowych dokonywane jest w celu umówienia wizyty i przekazania danych osobowych wybranemu Profesjonaliście.
Czy moje dane osobowe zostaną przekazane Profesjonaliście do którego chce się umówić na wizytę?
Tak. Udostępnimy wybranemu przez Ciebie Profesjonaliście informacje i dane osobowe które nam przekazałeś podczas rozmowy telefonicznej oraz przekażemy te informacje Profesjonaliście. Dzięki temu Profesjonalista będzie mógł przygotować się na Twoją wizytę.
Kto jest administratorem moich danych osobowych?
Administratorem danych osobowych jest ZnanyLekarz sp. z o.o. z siedzibą w Warszawie przy ul. Kolejowej 5/7. Informujemy, że po przekazaniu przez nas Twoich danych osobowych wybranemu przez Ciebie Profesjonaliście, staje się on również administratorem Twoich danych osobowych i przetwarza je w celach związanych ze świadczeniem usług medycznych lub innych podobnych.
Gdzie mogę uzyskać więcej informacji o moich prawach związanych z przetwarzaniem danych osobowych?
Więcej informacji o przetwarzaniu Twoich danych osobowychTypy przyjmowanych pacjentów
- Pacjenci prywatni (bez ubezpieczenia)
Opinie
134 opinie
Sprawdzamy wszystkie opinie. Moderujemy je zgodnie z naszymi zasadami, dowiedz się więcej o opiniach i sposobie obliczania gwiazdek na Dowiedz się więcej Dowiedz się więcej o opiniach
-
K
Katarzyna
Stomatolog pani Anna oraz wszystkie panie w gabinecie bardzo miłe i zaangażowane, mają dobre podejście do dziecka. Na pierwszej wizycie wszystko wyjaśniły i wytłumaczyły. Wszystko przedstawione jasno i klarownie. A przede wszystkim dziecko zadowolone i spokojne. Gabinet jak najbardziej przyjazny dzieciom:)
• STOMO Clinic | Implantologia, Ortodoncja, Stomatologia Estetyczna, Stomatologia Dziecięca, Protetyka • konsultacja ortodontyczna dzieci •
-
P
Paweł
Konkretna,szybka konsultacja oraz duża wiedzy przekazana.
• OSOM Clinic | Medycyna Estetyczna | Botoks | Usta | Wolumetria • Inny •
OSOM Clinic | Medycyna Estetyczna | Botoks | Usta | Wolumetria
Serdecznie dziękujemy za opinie.
-
M
Marta
Wizyta przypominała spotkanie z obwoźnym sprzedawcą aparatów ortodontycznych. Generalnie miałam wrażenie że chodzi mi o wciśnięcie zakupu aparatu. Czułam się jak na prezentacji temomixa. Masakra.
• STOMO Clinic | Implantologia, Ortodoncja, Stomatologia Estetyczna, Stomatologia Dziecięca, Protetyka • konsultacja ortodontyczna dzieci •
STOMO Clinic | Implantologia, Ortodoncja, Stomatologia Estetyczna, Stomatologia Dziecięca, Protetyka
Szanowna Pani Marto,
Na początku chciałabym odnieść się do Pani porównania i zapewnić, że w naszej codziennej pracy ogromny nacisk kładziemy na szacunek – zarówno wobec pacjentów, jak i wobec każdej osoby wykonującej swoją pracę, niezależnie od branży. Cenię ludzi, którzy z pasją prezentują swoje produkty, niezależnie od tego, czy sprzedają warzywa na targu, czy urządzenia kuchenne – każdy z nas zasługuje na szacunek.
Mając na uwadze Pani komentarz, mogę stwierdzić, że obraziła Pani już na wstępie jakieś 10 mln osób - bo tyle osób kupiło na świecie Termomixa.
A teraz pozwolę sobie odnieść się do konkretów, by przedstawić Pani również nasz punkt widzenia.
Pani Marto,
Umówiła się Pani na konsultację ortodontyczną w godzinach przedpołudniowych, kiedy nasz zespół stomatologów w całej klinice prowadził w większości długie zabiegi. Z tego powodu w poczekalni oraz na korytarzach było mało osób.
Wizyta rozpoczęła się o czasie, od wykonania nowoczesnego skanu 3D zębów, za który nie była pobrana opłata. Uważamy, że precyzyjna diagnostyka już na początku procesu leczenia jest fundamentem skutecznej terapii.
Następnie odbyła się pełna konsultacja ortodontyczna, podczas której dokładnie omówiłam z Panią Pani wadę zgryzu ( bazując na wcześniej wykonanym skanie ) oraz dostępne możliwości leczenia.
Cieszyłam się, że w trakcie rozmowy reagowała Pani w sposób wskazujący w moim odczuciu, że znalazłyśmy wspólny język i że przedstawione informacje były dla Pani jasne i wartościowe.
Dodatkowo, w ramach tej samej wizyty, zaproponowałam Pani porady z zakresu medycyny estetycznej, którą traktujemy jako uzupełnienie kompleksowej opieki nad pacjentem.
Po części medycznej nasza koordynatorka szczegółowo przedstawiła Pani harmonogram leczenia wraz z pełnym kosztorysem – bez żadnych ukrytych opłat, które mogłyby Panią zaskoczyć na kolejnych etapach terapii.
Przedstawiliśmy także dostępne formy płatności, w tym raty 0% rozłożone nawet na 30 miesięcy oraz warunki ewentualnego rabatu, który pacjent może otrzymać w przypadku jednorazowej płatności.
Zależy mi na tym, by pacjenci mieli pełną swobodę wyboru, dostosowaną do swoich możliwości i preferencji.
Całość wizyty trwała około 45 minut i była prowadzona przez trzy osoby z naszego zespołu – każda z nich zaangażowała się w to, by wizyta przebiegła w sposób rzetelny, spokojny i profesjonalny.
Każda z tych osób dysponowała dla Pani taką ilością czasu, jak była przez Panią oczekiwana.
Na zakończenie wizyty potwierdziła Pani, że wszystkie informacje są dla Pani zrozumiałe – tym bardziej zaskoczyła nas późniejsza opinia, w której zestawia Pani naszą konsultację z prezentacji sprzętu AGD.
Chcemy jasno podkreślić: nigdy nie stosujemy praktyk sprzedażowych, które miałyby wywoływać u pacjentów presję. Podczas konsultacji ortodontycznej nie ma żadnych dokumentów, które by Panią zobowiązywały do rozpoczęcia leczenia ortodontycznego - to czy decyduje się Pani na leczenie w naszej placówce czy w innej jest to tylko Pani decyzja
Naszą misją jest oferowanie kompleksowej opieki stomatologicznej na najwyższym poziomie oraz udzielanie pacjentom pełnej i przejrzystej informacji – zarówno w zakresie leczenia, jak i związanych z nim kosztów.
Pani opinia jest dla nas cenna, choć przyznam, że trudno jest nam wyciągnąć z niej konkretne wskazówki, co do tego, co moglibyśmy w naszym procesie poprawić. Tym bardziej, że opłata za wizytę wyniosła 150 zł, co – w porównaniu do średnich cen konsultacji ortodontycznych w Polsce – jest propozycją dość mocno konkurencyjną, a mogłabym nawet powiedzieć, że jedną z niższych.
Co jeszcze bardziej nas zastanawia to Pani ocena po zakończonej wizycie w ramach przeprowadzonej ankiety przez Stomo Clinic - Pani ocena za moją konsultację to 10/10 - bez żadnych komentarzy.
Pani Marto, czy wystawiona ocena przez Panią dotyczy właśnie tej konkretnej wizyty, którą odbyła Pani w Stomo Clinic ? - czy może jednak innej ?
Z wyrazami szacunku,
Anna Duda
Master of Science in Orthodontics
-
Julia
Niestety nie jestem zadowolona z opieki ortodontycznej pani Anny w Stomo Clinic. W czasie mojego półtorarocznego leczenia aparatem nakładkowym ortodontę widziałam 2 razy i każda z tych wizyt była opóźniona godzinę, a sama wizyta trwała maksymalnie 10 minut. Pierwszy raz spotkałyśmy się na konsultacji przed założeniem aparatu (pani Anna bardzo się spieszyła, mówiła głównie o kwotach i zachwala swoją metodę leczenia), a drugi raz pod koniec leczenia, gdzie stwierdziła, że wszystko jest ok. Na wizyty kontrolne i wydanie nowych nakładek byłam umawiana do higienistek stomatologicznych (różnych, ponieważ personel się zmieniał w ciagu tego czasu dwukrotnie). Kontrola retencji również jest umawiana do pani higienistki, co wywołuje mój niepokój. Myślałam, ze wybierając to miejsce i płacąc więcej mogę spodziewać się też obsługi na wyższym poziomie, niestety tak się nie stało.
• STOMO Clinic | Implantologia, Ortodoncja, Stomatologia Estetyczna, Stomatologia Dziecięca, Protetyka • Aparat nakładkowy •
lek. dent. Anna Duda
Szanowna Pani,
Bardzo mi przykro z powodu Pani komentarza, ale nie jest On zgodny z prawdą i bardzo mi przykro z tego powodu, że zamieszcza Pani nieprawdziwe informacje.
----
Kontaktowałam się z naszym opiekunem z serwisu znany lekarz celem poznania Pani pełnych danych kontaktowych i wyjaśnieniem Pani komentarza, niestety Serwis Znany Lekarz odmawia przekazania informacji o Pani danych kontaktowych, co niestety powoduje, że bezpośredni kontakt z Panią nie jest możliwy.
----
Zgodnie z informacją ze znanego lekarza - zgłoszenie 97174 : W kwestii zabezpieczenia danych teleinformatycznych informujemy, że zgodnie z obowiązującymi przepisami prawnymi, wszelkie dane mogą zostać udostępnione wyłącznie na wniosek odpowiednich organów, takich jak sąd czy prokuratura.
---
Mając na uwadze powyższe, bardzo bym prosiła o kontakt lub o aktualizację danych wyświetlających się w ramach nazwy konta, abyśmy mogli poznać Pani dane, abyśmy mogli skontaktować się z Panią i wyjaśnić cała sytuację.
z poważaniem,
Anna Duda
-
Y
Yauheniya Dzyachenka
Wszystkie informacje otrzymałam od lekarza. Bardzo podobała mi się zgrabna rozmowa z moim synem. Jego pierwsza wizyta okazała się bardzo udana
• STOMO Clinic | Implantologia, Ortodoncja, Stomatologia Estetyczna, Stomatologia Dziecięca, Protetyka • konsultacja ortodontyczna •
lek. dent. Anna Duda
Serdecznie dziękuję za pozytywny komentarz.
Cieszę się, że wizyta była dla Państwa udana.
pozdrawiam,
Anna Duda
-
M
To była nasza pierwsza wizyta i córka jest zachwycona.
• STOMO Clinic | Implantologia, Ortodoncja, Stomatologia Estetyczna, Stomatologia Dziecięca, Protetyka • konsultacja ortodontyczna dzieci •
lek. dent. Anna Duda
Dziękuję za komentarz i za rozmowę.
Pozdrawiam
Anna Duda
-
M
Magda
Jestem pod ogromnym wrażeniem, profesjonalnej obsługi jaką się spotkałam. Wizyta przebiegła bardzo sprawnie. Płynnie skoordynowana współpraca różnych osób odpowiedzialnych za poszczególne etapy diagnozy, kulturalnie z uśmiechem i bardzo rzeczowo przedstawione poszczególne etapy leczenia powodują, że nie mogę inaczej Państwa ocenić jak na fantastycznie :)
• STOMO Clinic | Implantologia, Ortodoncja, Stomatologia Estetyczna, Stomatologia Dziecięca, Protetyka • konsultacja ortodontyczna •
STOMO Clinic | Implantologia, Ortodoncja, Stomatologia Estetyczna, Stomatologia Dziecięca, Protetyka
Serdecznie dziękujemy.
Cieszymy się, ze mogliśmy pomóc.
Pozdrawiamy,
Zespół Stomo Clinic
-
A
Podejście do dzieci na bardzo wysokim poziomie
Wszystko szczegółowo sprawdzone i opisane
Na pewno wrócimy jak już będzie pora• STOMO Clinic | Implantologia, Ortodoncja, Stomatologia Estetyczna, Stomatologia Dziecięca, Protetyka • konsultacja ortodontyczna dzieci •
lek. dent. Anna Duda
Dzień dobry,
Dziękuję za opinię.
Do zobaczenia.
Pozdrawiam
Anna Duda
Master of Science in Ortodontics
-
Mama Wojtka
Pani Doktor ma podejście do Dzieci. Przekonała bardzo opornego Pacjenta do leczenia zębów
• STOMO Clinic | Implantologia, Ortodoncja, Stomatologia Estetyczna, Stomatologia Dziecięca, Protetyka • konsultacja ortodontyczna •
lek. dent. Anna Duda
Serdecznie dziękuję.
Ciesze się, że finał jest pozytywny.
Do zobaczenia.
-
Bartosz
Byłem tylko na 1 wizycie - konsultacji. Pozytywne zaskoczenie, bo spodziewałem się tylko sesji pytań i odpowiedzi, a przeszedłem przez holistyczny proces wyjaśnienia "za i przeciw" potencjalnej korekcji uzębienia.
• STOMO Clinic | Implantologia, Ortodoncja, Stomatologia Estetyczna, Stomatologia Dziecięca, Protetyka • konsultacja ortodontyczna •
lek. dent. Anna Duda
Dzień dobry,
Serdecznie dziękuję za opinię.
Ciesze się, że mogłam pozytywnie zaskoczyć.
Pozdrawiam,
Anna Duda
Najczęściej zadawane pytania
-
Jaki jest zakres porad oferowanych przez Anna Duda?Anna Duda to stomatolog, lekarz wykonujący zabiegi medycyny estetycznej. Na podstawie swojego doświadczenia i wykształcenia Anna Duda oferuje usługi takie jak: aparaty ruchome, konsultacja ortodontyczna, ortodoncja dzieci i dorosłych, Osocze bogatopłytkowe, konsultacja ortodontyczna dzieci, aparat ortodontyczny Clear Aligner, Leczenie ortodontyczne Invisalign®, aparaty przezroczyste, plan leczenia ortodontycznego, ortodoncja.
-
Gdzie Anna Duda ma swój gabinet?Anna Duda przyjmuje pod adresem:
- Powstańców Śląskich 60 Wrocław
- Powstańców Śląskich 60 Wrocław
-
Czy Anna Duda przyjmuje online, bez konieczności pojawiania się w placówce?Tak, Anna Duda oferuje konsultacje online. Wybierz opcję „konsultacja online” przy umawianiu wizyty, a zobaczysz dostępne terminy.
-
Jak Anna Duda akceptuje płatności po wizycie?Metody płatności, które akceptuje Anna Duda to: Gotówka, Karta płatnicza, Przelew na konto, Płatność ratalna, Blik, Revolut.
-
W jakich językach konsultuje Anna Duda?Języki, których używa Anna Duda to polski, angielski.
-
Jak Anna Duda umawia wizyty?Anna Duda używa kalendarza ZnanyLekarz, dlatego na stronie widzisz aktualne terminy. Wystarczy, że wybierzesz datę i godzinę, które odpowiadają Ci najbardziej. Umawianie wizyty jest darmowe, a tuż przed terminem wyślemy Ci przypomnienie.
-
W jakich godzinach przyjmuje Anna Duda?Anna Duda może mieć dostępne terminy w tym lub w nadchodzącym tygodniu. Terminy, które widzisz w kalendarzu są dostępne, ponieważ aktualizujemy go na bieżąco. Jeśli pierwszy dostępny termin Ci nie odpowiada, sprawdź następny. Rezerwacja terminu jest natychmiastowa, bez dodatkowych opłat.
-
Anna Duda: co mówią pacjenci?134 osób dodało swoją opinię. Anna Duda ma średnią ocen 5 (na 5 gwiazdek).
-
Jakie ubezpieczenia akceptuje Anna Duda?Anna Duda nie przyjmuje w ramach ubezpieczenia, tylko w ramach płatnych wizyt prywatnych. W razie wątpliwości zalecamy kontakt ze specjalistą.