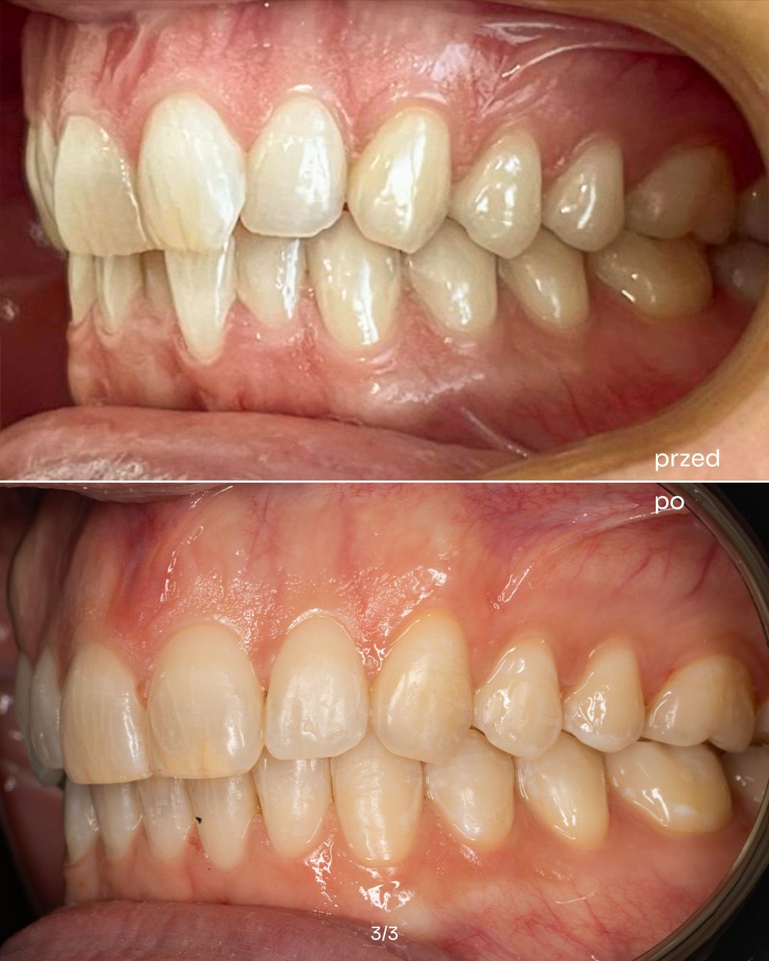
Moje doświadczenie
Lek. dent. Aleksandra Dunikowska, ortodontka i założycielka MIŁO CLINIC®
Swoją przygodę z ortodoncją zaczęła… jako pacjentka! Pierwszy aparat? Założyła jako dziecko.
Na własnych zębach odczuła, jaki ma to wpływ na jakość życia. To właśnie wtedy zrodziło się marzenie, które dziś spełnia każdego dnia. Pomaga innym odzyskać pewność siebie i radość z uśmiechu.
Leczenie ortodontyczne traktuje jako precyzyjne planowanie zmian, a każdy nowy uśmiech to dla niej ogromna satysfakcja.
Profesjonalizm z pasją!
Ma 10 lat doświadczenia w ortodoncji i stale rozwija swoją wiedzę na kursach w Polsce i za granicą. Leczy dzieci i dorosłych, również w trudnych przypadkach.
Zwraca uwagę na każdy szczegół. Dobór metody leczenia zawsze dostosowuje indywidualnie do potrzeb pacjenta.
Zajmuje się leczeniem aparatami stałymi, ruchomymi oraz nakładkami Invisalign – jest certyfikowanym lekarzem tej metody.
Ceni sobie autentyczne relacje, szczerość i uśmiech.
Po godzinach szczęśliwa mama, żona, kobieta… która, szuka wiatru w żaglach, śniegu na stoku i nowych smaków na drugim końcu świata.
Zakres porad
- Ortodoncja
Pacjenci których przyjmuję
Rodzaje konsultacji
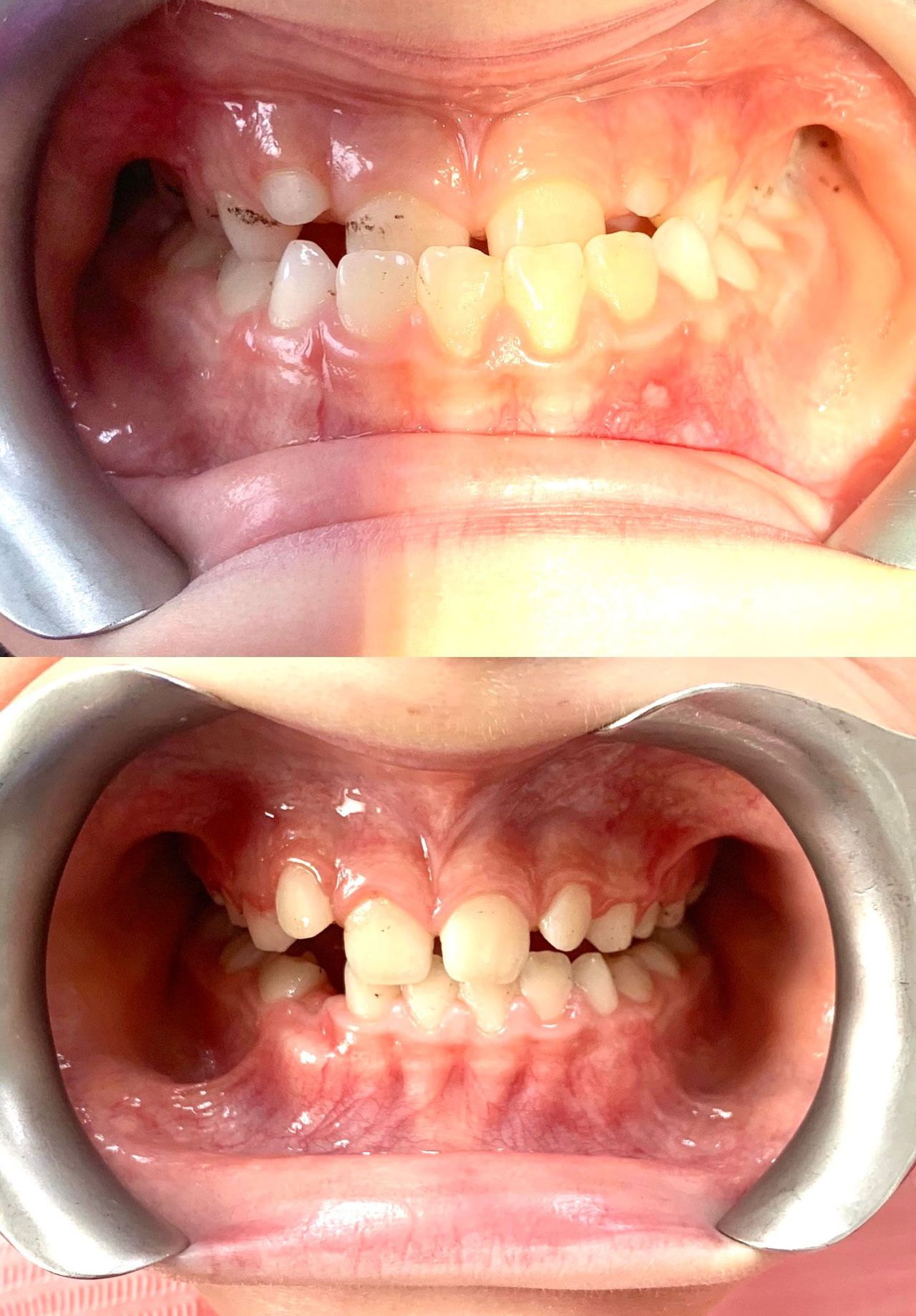
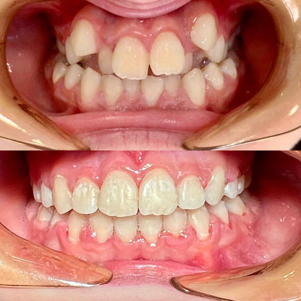
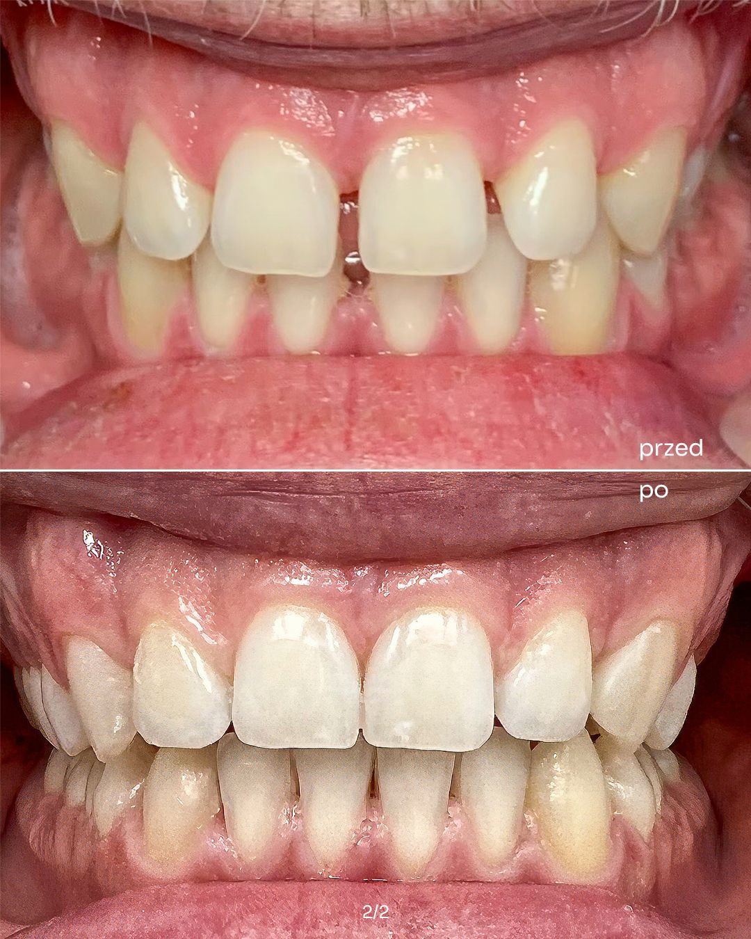
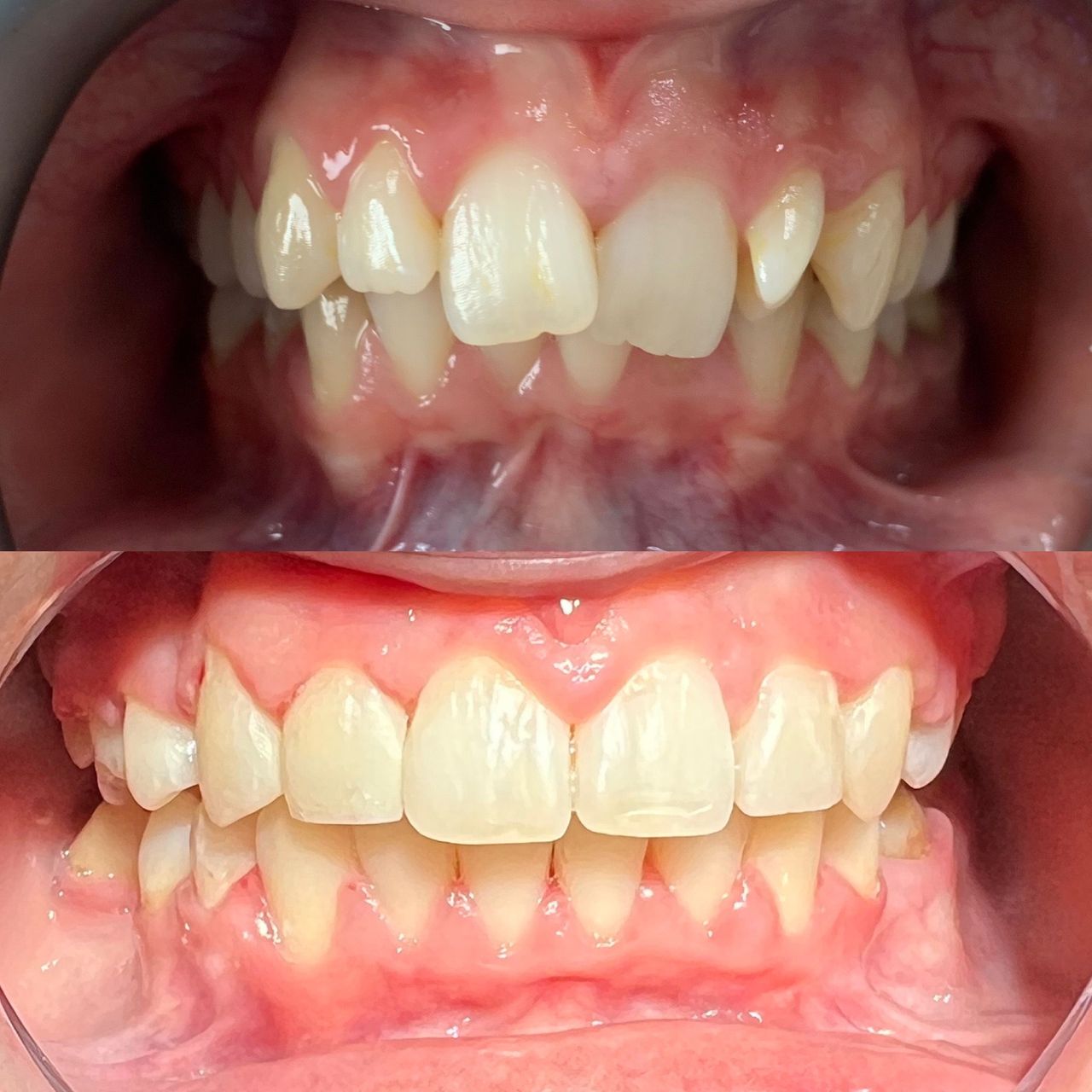
Zdjęcia i filmy
Usługi i ceny
-
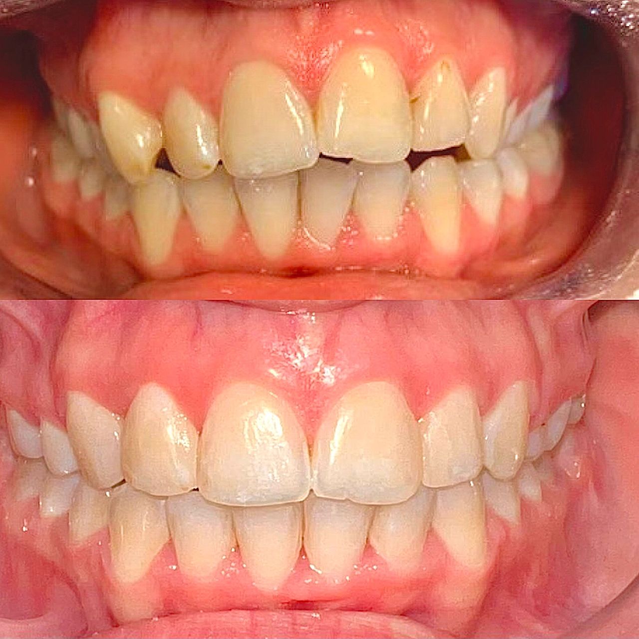
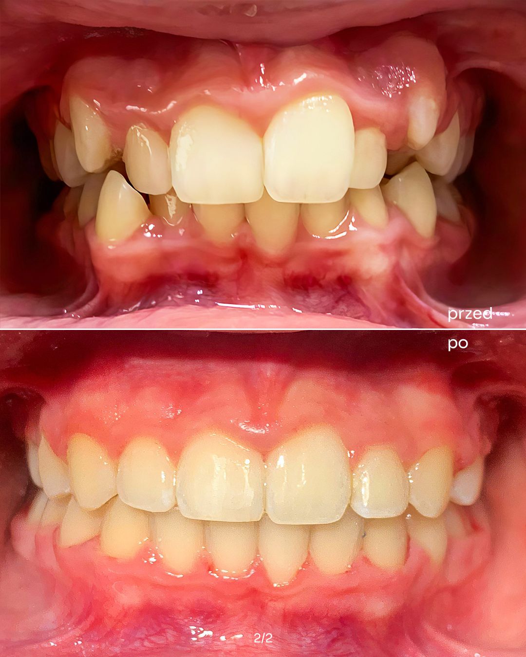
Aparat ortodontyczny
850 zł - 3 900 zł -
-
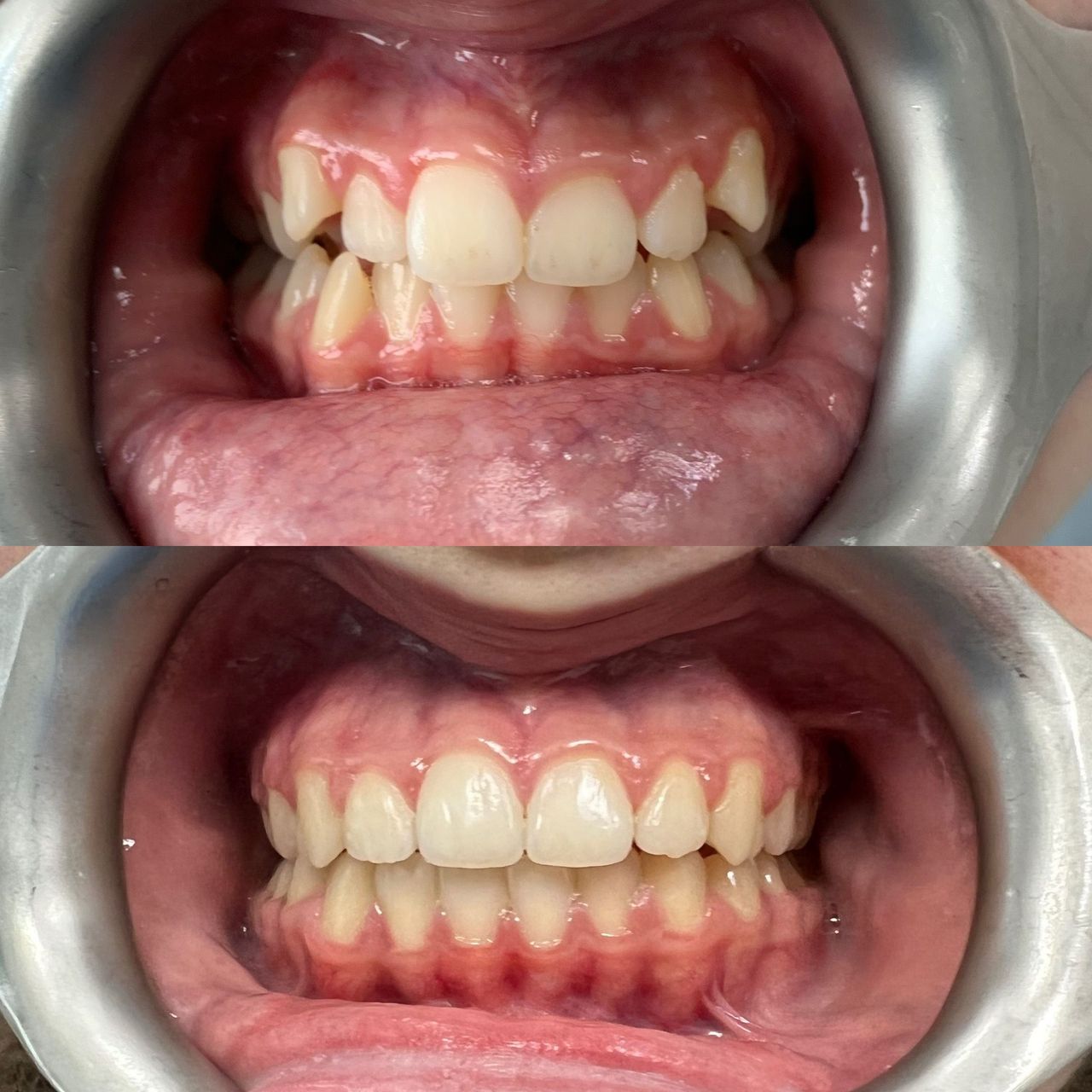
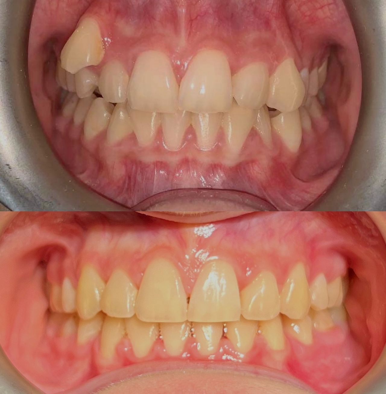
Invisalign
Od 222 zł -
-
Konsultacja Invisalign
99 zł -
-
Konsultacja ortodontyczna
99 zł -
-
Leczenie ortodontyczne Invisalign®
Od 200 zł -
-
-
-
-
-
-
-
Adresy (3)
Kmieca 23, 62-020 Jasin
Dostępność
Telefon
Dlaczego prosimy Cię o wyrażenie zgody na przetwarzanie danych?
Wyrażenie zgody jest niezbędne do umówienia wizyty z wykorzystaniem telerejestracji. Wymagają tego przepisy Ogólnego Rozporządzenie o Ochronie Danych Osobowych - tzw. RODO. Informujemy, że zgoda jest dobrowolna, jednak jej brak uniemożliwi umówienie wizyty. Informujemy rówież, że zgoda może zostać w każdym momencie zostać wycofana. W tym celu wystarczy się skontaktować z nami przez formularz
Kiedy dojdzie do przetwarzania moich danych osobowych?
Do przetwarzania Twoich danych osobowych dojdzie podczas rozmowy telefonicznej z naszym centrum telerejestracji, ale jednak wyłącznie w sytuacji gdy tej rozmowy podasz nam swoje dane osobowe. Przetwarzanie danych osobowych dokonywane jest w celu umówienia wizyty i przekazania danych osobowych wybranemu Profesjonaliście.
Czy moje dane osobowe zostaną przekazane Profesjonaliście do którego chce się umówić na wizytę?
Tak. Udostępnimy wybranemu przez Ciebie Profesjonaliście informacje i dane osobowe które nam przekazałeś podczas rozmowy telefonicznej oraz przekażemy te informacje Profesjonaliście. Dzięki temu Profesjonalista będzie mógł przygotować się na Twoją wizytę.
Kto jest administratorem moich danych osobowych?
Administratorem danych osobowych jest ZnanyLekarz sp. z o.o. z siedzibą w Warszawie przy ul. Kolejowej 5/7. Informujemy, że po przekazaniu przez nas Twoich danych osobowych wybranemu przez Ciebie Profesjonaliście, staje się on również administratorem Twoich danych osobowych i przetwarza je w celach związanych ze świadczeniem usług medycznych lub innych podobnych.
Gdzie mogę uzyskać więcej informacji o moich prawach związanych z przetwarzaniem danych osobowych?
Więcej informacji o przetwarzaniu Twoich danych osobowychTypy przyjmowanych pacjentów
- Pacjenci prywatni (bez ubezpieczenia)
Jaworowa 5/9, 64-560 Ostroróg
Dostępność
Telefon
Dlaczego prosimy Cię o wyrażenie zgody na przetwarzanie danych?
Wyrażenie zgody jest niezbędne do umówienia wizyty z wykorzystaniem telerejestracji. Wymagają tego przepisy Ogólnego Rozporządzenie o Ochronie Danych Osobowych - tzw. RODO. Informujemy, że zgoda jest dobrowolna, jednak jej brak uniemożliwi umówienie wizyty. Informujemy rówież, że zgoda może zostać w każdym momencie zostać wycofana. W tym celu wystarczy się skontaktować z nami przez formularz
Kiedy dojdzie do przetwarzania moich danych osobowych?
Do przetwarzania Twoich danych osobowych dojdzie podczas rozmowy telefonicznej z naszym centrum telerejestracji, ale jednak wyłącznie w sytuacji gdy tej rozmowy podasz nam swoje dane osobowe. Przetwarzanie danych osobowych dokonywane jest w celu umówienia wizyty i przekazania danych osobowych wybranemu Profesjonaliście.
Czy moje dane osobowe zostaną przekazane Profesjonaliście do którego chce się umówić na wizytę?
Tak. Udostępnimy wybranemu przez Ciebie Profesjonaliście informacje i dane osobowe które nam przekazałeś podczas rozmowy telefonicznej oraz przekażemy te informacje Profesjonaliście. Dzięki temu Profesjonalista będzie mógł przygotować się na Twoją wizytę.
Kto jest administratorem moich danych osobowych?
Administratorem danych osobowych jest ZnanyLekarz sp. z o.o. z siedzibą w Warszawie przy ul. Kolejowej 5/7. Informujemy, że po przekazaniu przez nas Twoich danych osobowych wybranemu przez Ciebie Profesjonaliście, staje się on również administratorem Twoich danych osobowych i przetwarza je w celach związanych ze świadczeniem usług medycznych lub innych podobnych.
Gdzie mogę uzyskać więcej informacji o moich prawach związanych z przetwarzaniem danych osobowych?
Więcej informacji o przetwarzaniu Twoich danych osobowychTypy przyjmowanych pacjentów
- Pacjenci prywatni (bez ubezpieczenia)
Stanisława Barańczaka 7/3u, Jeżyce, 60-537 Poznań
Dostępność
W tym gabinecie nie można umawiać wizyt przez internet
Typy przyjmowanych pacjentów
- Pacjenci prywatni (bez ubezpieczenia)
Opinie
26 opinii
Sprawdzamy wszystkie opinie. Specjaliści nie mogą płacić za modyfikowanie lub usuwanie opinii. Dowiedz się więcej Dowiedz się więcej o opiniach
-
B
Beata
Profesjonalne podejście do pacjenta. Wszystko wytłumaczone w jasny i przejrzysty sposób.
• MIŁO Clinic • konsultacja ortodontyczna •
-
N
Natalia
Jestem bardzo zadowolona z leczenia nakładkami prowadzonego przez Panią Doktor. Każda wizyta przebiegała w miłej atmosferze, Pani Doktor wyjaśniała wszystkie moje wątpliwości. Efekty noszenia nakładek były widoczne bardzo szybko, a cały proces zajął około 1.5 roku. Serdecznie polecam
• MIŁO Clinic • Leczenie ortodontyczne Invisalign® •
-
K
Kk
Chce założyć sobie aparat nakładkowy ze względu na lokalizację najbardziej pasuje mi Jasin. Milo jest tylko z nazwy niestety. Pani z recepcji jedna ok. Pani Orotdonta zmęczona chyba po całym dniu udzieliła mi zdawkowych informacji o nakładach , robiąc łaskę że przychodzi klient a nie podwładny .
Bardzo słabe pierwsze wrażenie. Zleciła mi zrobienie ubydków w zębach przed aparatem . zgłosiłam sie zatem to stomatologa poświęcając Czas i pieniądze a on nie stwierdzi zębów które należy wyleczyć.?? Mimo próby kontaktu dwa razy pani nie che udzielić informacji telefonicznie jakie ubytki widziała na pierwszej wizycie . Chyba jednak klient który chce nałożyć nakładki i wydać pieniądze nie zasługiwał na uwagę tej pani .. no szkoda• MIŁO Clinic • Konsultacja Invisalign •
MIŁO Clinic
Szanowna Pani,
Jako lekarz prowadzący chcę stanowczo odnieść się do Pani opinii, ponieważ nie odzwierciedla ona rzeczywistego przebiegu naszej wizyty.
Podczas konsultacji ortodontycznej w cenie 99 zł wykonałam skany wewnątrzustne i przedstawiłam Pani szczegółowy, wyczerpujący plan leczenia, obejmujący konieczność wyleczenia zmian próchnicowych widocznych na skanach przed rozpoczęciem terapii nakładkowej. Jest to standardowe i konieczne postępowanie przed leczeniem nakładkami.
Podkreślam również, że nie była Pani u nas na pełnym, odpłatnym badaniu stomatologicznym, na którym badamy pod mikroskopem oraz wykonujemy rtg zębów, które umożliwia kompleksową ocenę całego uzębienia.
Sama konsultacja ortodontyczna trwa 45 minut i przez pełne 45 minut szczegółowo omawiałam z Panią wszystkie możliwości leczenia, wyjaśniałam przebieg terapii nakładkowej, odpowiadałam na pytania oraz przedstawiałam zalecenia. Wizyta przebiegła więc w formie merytorycznej rozmowy i aktywnego tłumaczenia.
Muszę także odnieść się do Pani zachowania.
Opryskliwie zaprzeczała Pani każdemu mojemu zdaniu, kwestionując moje kompetencje, m.in. pytając mnie: „Kim w ogóle pani jest?”.
W rozmowie telefonicznej z rejestracją zwracała się Pani w sposób nieakceptowalny, mówiąc m.in.: „Wytłumaczę Pani wielkimi literami jeszcze raz”.
Takie zachowanie narusza zasady wzajemnego szacunku, których przestrzegamy w naszej placówce i których oczekujemy również od pacjentów.
W związku z sytuacją oraz Pani podejściem do personelu, nie widzę możliwości dalszego prowadzenia Pani leczenia w naszej klinice.
Życzę Pani powodzenia w leczeniu w innym gabinecie, który być może lepiej sprosta Pani oczekiwaniom.
-
A
Agnieszka
Serdecznie polecam panią doktor Aleksandrę!
To wspaniała, kompetentna i niezwykle sympatyczna ortodontka. Pani doktor zawsze wszystko dokładnie tłumaczyła, cierpliwie odpowiadała na pytania i dbała o każdy detal. W gabinecie panuje miła i spokojna atmosfera, dzięki czemu każda wizyta była przyjemnością.
Jestem bardzo zadowolona z efektu końcowego – wreszcie mogę cieszyć się pięknym uśmiechem!
Z całego serca dziękuję i z pełnym przekonaniem polecam panią doktor każdemu, kto szuka profesjonalnej i zaangażowanej ortodontki.• MIŁO Clinic • Aparat ortodontyczny •
MIŁO Clinic
Dziękujemy bardzo za miłe słowa.
Pozdrawiamy serdecznie.
-
A
AO
Serdecznie polecam klinikę Miło. Dzisiaj byłam na wizycie u doktor Dunikowskiej. Doktor wytłumaczyła mi wszystkie szczegóły leczenia, ponadto ma niesamowitą moc rentgenowską w oczach, widzi próchnicę tam, gdzie żaden uprzedni stomatolog nie zauważył problemu. Dla rozmycia moich wątpliwości wykonała zdjęcie rentgenowskie, co potwierdziło diagnozę.
Wszystko przebiegło w miłej atmosferze, bez żadnego bólu! Polecam każdemu!• MIŁO Clinic • Inny •
-
I
Ilia Zainutdinov
The best orthodontist, professional and caring. Explains everything in detail
• MIŁO Clinic • Aparat ortodontyczny •
-
E
EZ
Miałam przyjemność leczenia ortodontycznego u Pani Doktor Dunikowskiej. Jestem bardzo zadowolona z efektów leczenia. Lekarz niezwykle profesjonalny, cierpliwy. Wszystko zostało mi dokładnie wytłumaczone, a plan leczenia był jasno przedstawiony od samego początku. Wizyty przebiegały w miłej atmosferze, zawsze czułam się komfortowo. Efekt końcowy wspaniały. Jestem bardzo zadowolona. Polecam tego ortodontę każdemu kto szuka fachowej i rzetelnej opieki. Gabinet w Jasinie bardzo profesjonalny, polecam tą placówkę.
• MIŁO Clinic • Invisalign •
-
R
Radosław
Polecam miła fachowa obsługa. Po niespełna 4 latach marzenie o idealnych zębach spełnione.
• MIŁO Clinic • Aparat ortodontyczny •
-
M
Martyna
Bardzo polecam Panią Doktor. Leczenie ortodontyczne nakładkami Invisalign przebiegało super sprawnie, ma każdym etapie Pani doktor odpowiadała na wszystkie pytania i wątpliwości no i efekt jest wow!
Pomimo zmiany gabinetu pani doktor nie zapomniała o pacjentach i przeniosłam się do nowej kliniki, która jest najwyższej jakości.
Polecam, szczególnie że sama byłam już po kilku leczeniach ortodontycznych. Tym leczeniem postawiliśmy kropkę nad i. Jestem super szczęśliwa, że zdecydowałam się na leczeni Invisalign u Pani doktor :) Polecam każdemu walczącemu o piękny uśmiech!• MIŁO Clinic • Leczenie ortodontyczne Invisalign® •
-
Martyna
Z całego serca polecam panią doktor Od samego początku czułam, że jestem w dobrych rękach – każde spotkanie przebiegało w miłej i spokojnej atmosferze, a pani doktor zawsze znajdowała czas, żeby odpowiedzieć na moje pytania i rozwiać wszystkie wątpliwości. Bardzo doceniam to, że każdy etap leczenia był dokładnie omawiany, krok po kroku – dzięki temu wiedziałam, czego się spodziewać i jakie będą kolejne zmiany. Widać ogromną dbałość o szczegóły i indywidualne podejście do pacjenta, co daje duże poczucie bezpieczeństwa. Po kilku miesiącach widzę już pierwsze efekty, a cała droga leczenia – choć długa – jest dla mnie jasna i zrozumiała. To lekarka, który naprawdę słucha i traktuje pacjenta z troską
• MIŁO Clinic • Konsultacja Invisalign •
Najczęściej zadawane pytania
-
Jaki jest zakres porad oferowanych przez Aleksandra Dunikowska?Aleksandra Dunikowska to stomatolog. Na podstawie swojego doświadczenia i wykształcenia Aleksandra Dunikowska oferuje usługi takie jak: Konsultacja Invisalign, Leczenie ortodontyczne Invisalign®, Tomografia szczęki i żuchwy, RTG pantomogram, zdjęcie retainera, Aparat ortodontyczny, Wizyta kontrolna, konsultacja ortodontyczna, diagnostyka RTG/CBCT, ortodoncja.
-
Gdzie Aleksandra Dunikowska ma swój gabinet?Aleksandra Dunikowska przyjmuje pod adresem:
- Jaworowa 5/9 Ostroróg
- Kmieca 23 Jasin
- Stanisława Barańczaka 7/3u Poznań
-
Czy Aleksandra Dunikowska przyjmuje online, bez konieczności pojawiania się w placówce?Nie, w tym momencie Aleksandra Dunikowska nie oferuje konsultacji online.
-
Jak Aleksandra Dunikowska akceptuje płatności po wizycie?Metody płatności, które akceptuje Aleksandra Dunikowska to: Gotówka, Karta płatnicza, Płatność ratalna, Blik, Przelew na konto.
-
W jakich językach konsultuje Aleksandra Dunikowska?Języki, których używa Aleksandra Dunikowska to angielski, niemiecki.
-
Jak Aleksandra Dunikowska umawia wizyty?Aleksandra Dunikowska używa kalendarza ZnanyLekarz, dlatego na stronie widzisz aktualne terminy. Wystarczy, że wybierzesz datę i godzinę, które odpowiadają Ci najbardziej. Umawianie wizyty jest darmowe, a tuż przed terminem wyślemy Ci przypomnienie.
-
W jakich godzinach przyjmuje Aleksandra Dunikowska?Aleksandra Dunikowska może mieć dostępne terminy w tym lub w nadchodzącym tygodniu. Terminy, które widzisz w kalendarzu są dostępne, ponieważ aktualizujemy go na bieżąco. Jeśli pierwszy dostępny termin Ci nie odpowiada, sprawdź następny. Rezerwacja terminu jest natychmiastowa, bez dodatkowych opłat.
-
Aleksandra Dunikowska: co mówią pacjenci?26 osób dodało swoją opinię. Aleksandra Dunikowska ma średnią ocen 5 (na 5 gwiazdek).
-
Jakie ubezpieczenia akceptuje Aleksandra Dunikowska?Aleksandra Dunikowska nie przyjmuje w ramach ubezpieczenia, tylko w ramach płatnych wizyt prywatnych. W razie wątpliwości zalecamy kontakt ze specjalistą.