Przewidywany czas odpowiedzi:

Moje doświadczenie

Ukończyłam szkołę o kierunku higienistka stomatologiczna i od wielu lat czynnie pracuję w zawodzie. Przez te lata zdobyłam ogromne doświadczenie w wykonywaniu zabiegów higienizacyjnych oraz pracy z pacjentem. Z pasją podchodzę do każdego pacjenta i za cel postawiłam sobie edukowanie pacjentów z zakresu profilaktyki jamy ustnej. Dodatkowo ukończyłam kursy związane z byciem czynną Higienistką Ortodontyczną aparaty stałe i invisaling dzięki czemu pacjenci w trakcie leczenia mogą liczyć na moją pomoc oraz profesjonalne wykonanie higienizacji w trakcie leczenia ortodontycznego :)  

więcej O mnie

Zakres porad

  • Stomatologia ogólna

Pacjenci których przyjmuję

Dorośli (Tylko pod niektórymi adresami)
Dzieci (Tylko pod niektórymi adresami)

Rodzaje konsultacji

Zdjęcia i filmy

Logo
Sylwia Wodejko

Żelazna 4, 40-851 Katowice

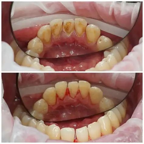
Zapraszam na profesjonalną higienizację 4w1 za jedyne 269 zł w Centrum Medicover Stomatologia.

Podczas wizyty wykonam pełną higienizację, która obejmuje:
• dokładne usunięcie kamienia nazębnego (skaling)
• oczyszczenie zębów z osadów (piaskowanie)
• wygładzenie powierzchni zębów (polerowanie)
• zabezpieczenie ich fluorem (fluoryzacja)

To kompleksowy zabieg, który pomoże Ci zadbać o zdrowie jamy ustnej, odświeży Twój uśmiech i pozwoli uniknąć kosztownego leczenia w przyszłości. Dodatkowo otrzymasz indywidualne wskazówki, jak najlepiej dbać o zęby na co dzień.

Dlaczego higienizacja jest tak ważna?
Higienizacja to jeden z najważniejszych zabiegów profilaktycznych w stomatologii. Pomaga skutecznie usunąć kamień nazębny i osady, które są główną przyczyną próchnicy oraz chorób przyzębia. Regularne czyszczenie zębów pozwala zapobiec paradontozie, stanom zapalnym dziąseł oraz powstawaniu nieprzyjemnego zapachu z ust.

Dzięki zabiegowi poprawia się również estetyka uśmiechu – zęby stają się wyraźnie gładsze i jaśniejsze. Co więcej, podczas higienizacji specjalista może wcześnie wykryć ewentualne problemy zdrowotne w jamie ustnej i zalecić odpowiednie leczenie. To prosty sposób, aby na długo zachować zdrowe i mocne zęby.

10/07/2025

Usługi i ceny

  • Higienizacja

    299 zł - 350 zł

  • Guided Biofilm Therapy

    550 zł

  • Pakiet higienizacyjny z instruktażem

    Od 449 zł

  • Piaskowanie

    Od 189 zł

  • Trening higieny z instruktażem

    100 zł

Adresy (3)

Powiększ mapę otwiera się w nowej karcie
3D Smile Stomatologia Cyfrowa

Ceglana 55/01b, 40-514 Katowice

Dostępność

Telefon

32 735...

Typy przyjmowanych pacjentów

  • Pacjenci prywatni (bez ubezpieczenia)
Powiększ mapę otwiera się w nowej karcie
Powiększ mapę otwiera się w nowej karcie
Stomatologia Medicover Żelazna Katowice

Żelazna 4, 40-851 Katowice

Dostępność

Telefon

32 735...

Typy przyjmowanych pacjentów

  • Pacjenci prywatni (bez ubezpieczenia)
  • Pacjenci ubezpieczeni

Ubezpieczenia

Powiększ mapę otwiera się w nowej karcie
Powiększ mapę otwiera się w nowej karcie
3D Smile Stomatologia Cyfrowa

Aleja Wyzwolenia 9, Północ , 42-224 Częstochowa

Dostępność

W tym gabinecie nie można umawiać wizyt przez internet

Typy przyjmowanych pacjentów

  • Pacjenci prywatni (bez ubezpieczenia)
Powiększ mapę otwiera się w nowej karcie

56 opinii

Sprawdzamy wszystkie opinie. Specjaliści nie mogą płacić za modyfikowanie lub usuwanie opinii. Dowiedz się więcej Dowiedz się więcej o opiniach

  • N

    Bardzo polecam Panią Sylwię! Higienizacja u niej to czysta przyjemność :). Cudowna atmosfera, delikatne podejście oraz wyjaśnienie przebiegu całej wizyty. Jest to już moja kolejna wizyta u Pani Sylwii i myślę, że nie ostatnia :).

     • 3D Smile Stomatologia Cyfrowa higienizacja  • 

    Sylwia Wodejko

    Dziękuję bardzo za tak pozytywną opinię! Cieszę się, że była Pani zadowolona z wizyty. Pani zadowolenie jest dla mnie najważniejsze. Pozdrawiam serdecznie i zapraszam ponownie!


  • K

    Pani Sylwia od samego początku wizyty tworzy świetną atmosferę, wszystko tłumaczy szczegółowo, opowiada, pokazuje! Naprawdę rewelacyjne podejście, a higienizacja została wykonana perfekcyjnie! Ile potrzeba czasu tyle Pani Sylwia przeznaczy. Ma świetną technikę przez co zabiegi są dosłownie bezbolesne! :) Polecam każdemu z całego serca wizytę właśnie u Pani Sylwi! :)

     • 3D Smile Stomatologia Cyfrowa higienizacja  • 

    Sylwia Wodejko

    Bardzo dziękuję za tak ciepłe słowa!
    Cieszę się, że wizyta przebiegła w przyjaznej atmosferze i że mogłam pomóc.
    Zapraszam ponownie — zawsze z uśmiechem i pełnym zaangażowaniem!


  • A

    Bardzo polecam Panią Sylwię! :) Cudowna atmosfera - zarówno przed, w trakcie i po zabiegu, higienizacja wykonana bardzo dokładnie i wyjątkowo delikatnie, a na koniec cenne porady dotyczące dbania o higienę w domu. Same plusy :)

     • 3D Smile Stomatologia Cyfrowa higienizacja  • 

    Sylwia Wodejko

    Pani Aanno, bardzo dziękuję za podzielenie się opinią. Pozdrawiam :)


  • R

    Pani Sylwia bardzo sympatyczna. Szczegółowo objaśniła na czym polega zabieg skalingu. Czułam się super zaopiekowana. Serdecznie polecam:)

     • Stomatologia Medicover Żelazna Katowice higienizacja  • 

    Sylwia Wodejko

    Pani Renato dziękuje za opinie . Serdecznie zapraszam na kolejne wizyty .


  • Z

    Jako pacjentka ortodontyczna polecam z całego serca. Pani Sylwia nie tylko wie co robi ale też wykonuje zabieg zupełnie bezboleśnie.

     • 3D Smile Stomatologia Cyfrowa higienizacja  • 

    Sylwia Wodejko

    Pani Zuzanno bardzo dziękuję za opinie:):)
    Specjalizuje się w higienizacji pacjentów ortodontycznych.
    Serdecznie zapraszam na komejna wizytę .


  • Ł

    Pani Sylwia byla bardzo miła i wykonała higienizacje bardzo dokładnie. Poświęciła mi 100% czasu wizyty. Pod żadnym pozorem nie starała sie skonczyc jak najszybciej by miec kolejnego pacjenta z głowy.

     • Stomatologia Medicover Żelazna Katowice higienizacja  • 

    Sylwia Wodejko

    Bardzo dziękuje Panie Łukaszu. Serdecznie zapraszam na kolejne wizyty.


  • K

    Przemiła Pani Doktor wszystko wyjaśnione, pytania o samopoczucie podczas zabiegu bardzo polecam

     • Stomatologia Medicover Żelazna Katowice usuwanie kamienia nazębnego  • 

    Sylwia Wodejko

    Badzo dziękuje Pani Ksymeno. Serdecznie zapraszam na kolejną wizytę.


  • M

    Wizyta przebiegła w bardzo przyjemnej atmosferze. Pani Sylwia jest rzeczowa i dokładna, wszystko szczegółowo tłumaczy i informuje o tym co za moment będzie robić. Pełen profesjonalizm. Polecam.

     • Stomatologia Medicover Żelazna Katowice higienizacja  • 

    Sylwia Wodejko

    Dziękuję za te słowa ! Staram się, żeby każda wizyta była nie tylko profesjonalna ale po prostu miła. Nie wypuszczam bez uśmiechu :)
    Do zobaczenia


  • Ł

    Absolutnie profesjonalna i przemiła Pani higienistka. Na każdym kroku były dokładnie wyjaśniane poszczególne etapy higienizacji, a fakt, że Pani tworzy cudowną atmosferę podczas zabiegu to jest to dodatkowa wartość dla pacjenta. Z gabinetu wychodzi się z uśmiechem na twarzy. Oby jak najwięcej było takich osób :)

     • Stomatologia Medicover Żelazna Katowice higienizacja  • 

    Sylwia Wodejko

    Panie Łukaszu bardzo dziękuję na opinie:) jest mi niezmiernie miło, zadowolenie pacjenta motywuje do pracy jeszcze najbardziej :)
    Do zobaczenia na kolejnej wizycie:)


  • T

    Bardzo starannie wykonana higienizacja, wszytkie czynności szczegółowo wyjaśnione. Polecam

     • Stomatologia Medicover Żelazna Katowice Inny  • 

    Sylwia Wodejko

    Bardzo dziękuję za opinie i zapraszam ponownie:)


Wystąpił błąd, spróbuj jeszcze raz

Najczęściej zadawane pytania