Przewidywany czas odpowiedzi:

Moje doświadczenie

Dyplomowana higienistka stomatologiczna z wieloletnim doświadczeniem w zawodzie.
Ukończona medyczna szkoła policealna im. dr. Andrzeja Krocina
w Warszawie.
Wykonuje zabiegi profilaktyczno-higienizacyjne: scaling, piaskowanie, lakierowanie oraz instruktaż higieny.

Cenie sobie indywidualne podejście do pacjenta. Dbam o komfort i bezstresowe warunki pracy.

Doskonale swoją wiedzę uczestnicząc w szkoleniach i kursach.

Zapraszam serdecznie do zapisów, szczególnie pacjentów ortodontycznych i periodontologicznych, którzy powinni pojawiać się na higienizacji znacznie częściej :)
więcej O mnie

Zakres porad

  • Stomatologia ogólna

Rodzaje konsultacji

Zdjęcia i filmy

Logo
Paulina Rządkowska

Majdańska 3/7a, 04-088 Warszawa

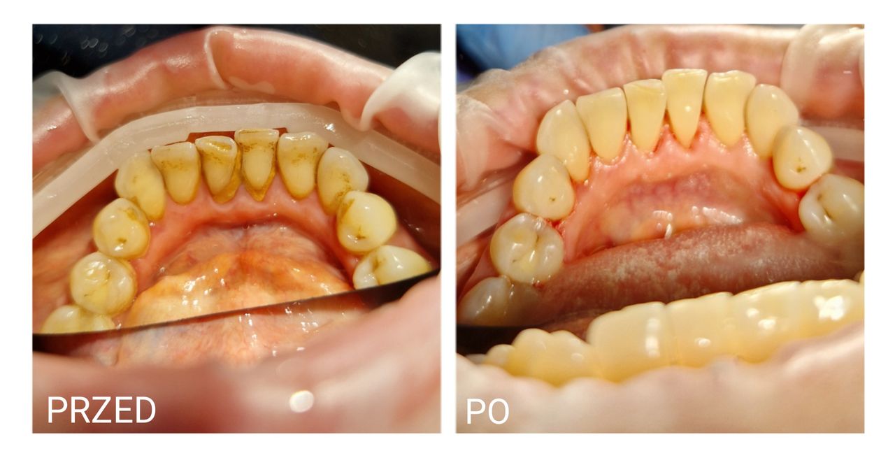
Zapraszam na profesjonalną higienizację 4w1 za jedyne 289 zł w Centrum Medicover Stomatologia.

Podczas wizyty wykonam pełną higienizację, która obejmuje:
• dokładne usunięcie kamienia nazębnego (skaling)
• oczyszczenie zębów z osadów (piaskowanie)
• wygładzenie powierzchni zębów (polerowanie)
• zabezpieczenie ich fluorem (fluoryzacja)

To kompleksowy zabieg, który pomoże Ci zadbać o zdrowie jamy ustnej, odświeży Twój uśmiech i pozwoli uniknąć kosztownego leczenia w przyszłości. Dodatkowo otrzymasz indywidualne wskazówki, jak najlepiej dbać o zęby na co dzień.

Dlaczego higienizacja jest tak ważna?
Higienizacja to jeden z najważniejszych zabiegów profilaktycznych w stomatologii. Pomaga skutecznie usunąć kamień nazębny i osady, które są główną przyczyną próchnicy oraz chorób przyzębia. Regularne czyszczenie zębów pozwala zapobiec paradontozie, stanom zapalnym dziąseł oraz powstawaniu nieprzyjemnego zapachu z ust.

Dzięki zabiegowi poprawia się również estetyka uśmiechu – zęby stają się wyraźnie gładsze i jaśniejsze. Co więcej, podczas higienizacji specjalista może wcześnie wykryć ewentualne problemy zdrowotne w jamie ustnej i zalecić odpowiednie leczenie. To prosty sposób, aby na długo zachować zdrowe i mocne zęby.

01/04/2026

Usługi i ceny

  • Higienizacja

    Od 289 zł

  • Fluoryzacja zębów

    219 zł

  • Lakierowanie zębów

    219 zł

  • Pakiet higienizacyjny

    469 zł

  • Pakiet higienizacyjny z instruktażem


Adres

Powiększ mapę otwiera się w nowej karcie
Stomatologia Medicover Warszawa Majdańska

Majdańska 3/7a, Praga-Południe, 04-088 Warszawa

Dostępność

Telefon

512 37...

Typy przyjmowanych pacjentów

  • Pacjenci prywatni (bez ubezpieczenia)
Powiększ mapę otwiera się w nowej karcie

4 opinie

Sprawdzamy wszystkie opinie. Moderujemy je zgodnie z naszymi zasadami, dowiedz się więcej o opiniach i sposobie obliczania gwiazdek na Dowiedz się więcej Dowiedz się więcej o opiniach

  • A

    Oceniam wizytę u Pani Pauliny bardzo pozytywnie. Wszystko zostało mi wytłumaczone, a sam zabieg przebiegał komplikacji.

     • Stomatologia Medicover Warszawa Majdańska higienizacja  • 

  • Ł

    Bardzo polecam higienizację u Pani Pauliny. Wszystko przebiegło sprawnie i bezboleśnie. Pani Paulina bardzo zaangażowana, z pewnością wrócę.

     • Stomatologia Medicover Warszawa Majdańska pakiet higienizacyjny  • 

  • D

    Pani Paulina Rządkowska to najlepsza higienistka, u jakiej miałem przyjemność być! Wykonała skaling, piaskowanie i fluoryzację niezwykle dokładnie, a jednocześnie całkowicie bezboleśnie. Jest bardzo miła, profesjonalna i konkretna, a cała wizyta przebiegła w przyjemnej atmosferze. Czuć, że zna się na swojej pracy i dba o komfort pacjenta. Polecam z całego serca – lepiej trafić nie można!

     • Stomatologia Medicover Warszawa Majdańska higienizacja  • 

  • N

    Profesjonalnie podejście do pacjenta, doskonale wykonane zadanie

     • Stomatologia Medicover Warszawa Majdańska higienizacja  • 

Wystąpił błąd, spróbuj jeszcze raz

Najczęściej zadawane pytania