Justyna Kowalska
Higienistka/higienista stomatologiczny
·
Więcej
O specjalizacjach
Bydgoszcz 2 adresy
Moje doświadczenie
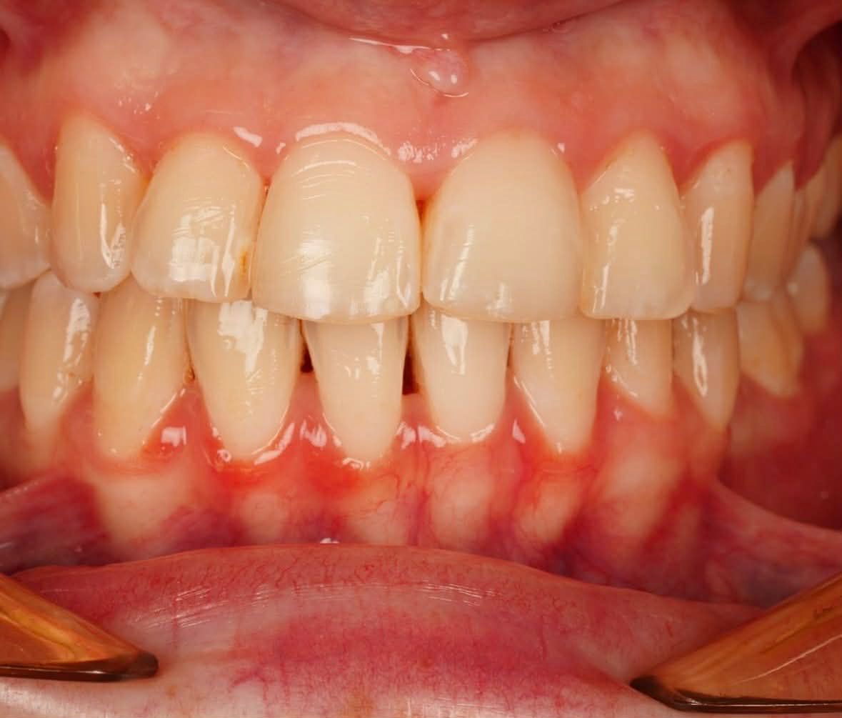
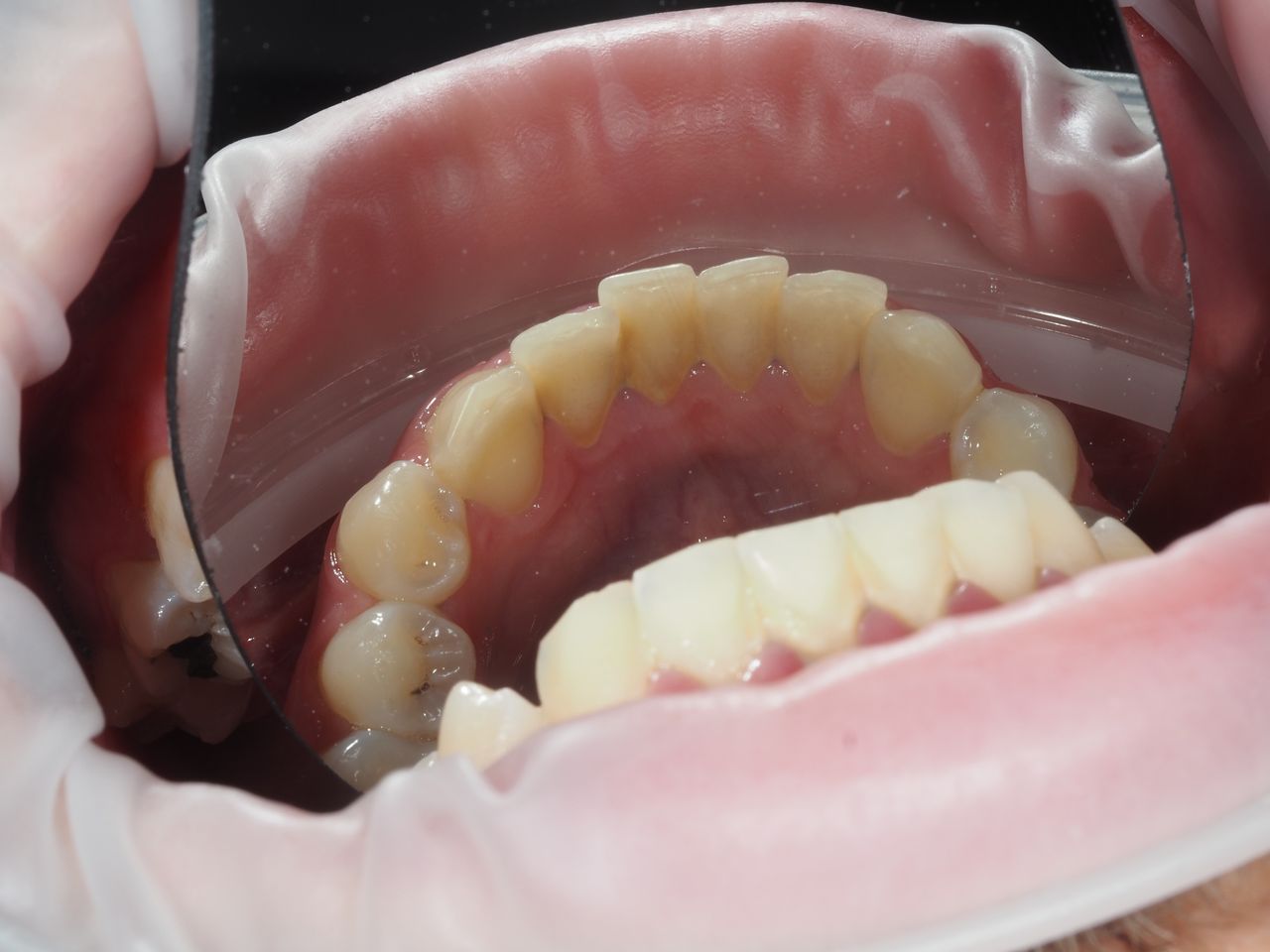
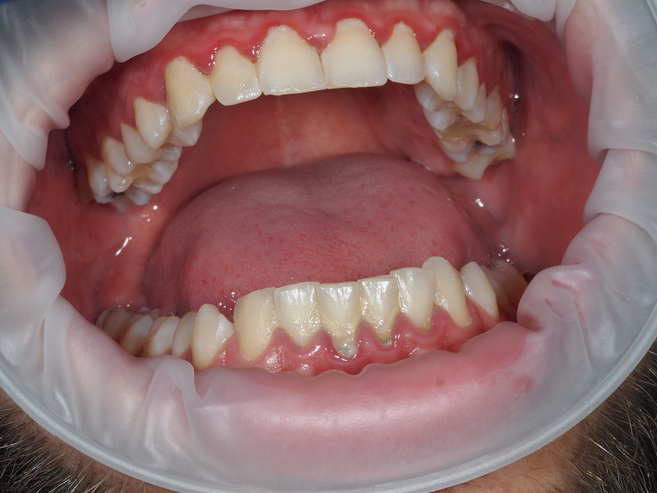
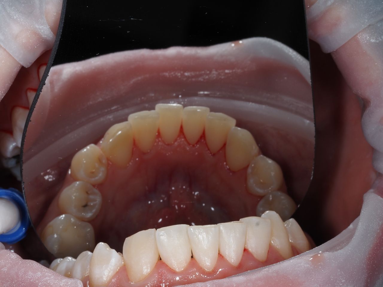
Pomagam pacjentom uratować zęby i przyzębie poprzez świadomą profilaktykę i nowoczesną periohigienię.
Jestem dyplomowaną higienistką stomatologiczną z ponad 8-letnim doświadczeniem klinicznym.
Specjalizuję się w periohigienizacji, czyli zaawansowanej profilaktyce i terapii chorób przyzębia, pracując zarówno z pacjentami periodontologicznymi, jak i implantologicznymi.
Na co dzień współpracuję interdyscyplinarnie z zespołem specjalistów:
ortodontą, periodontologiem, protetykiem oraz neurologopedą, co pozwala mi patrzeć na zdrowie jamy ustnej pacjenta w sposób całościowy i świadomy. Dzięki temu moja praca nie ogranicza się wyłącznie do zabiegów higienizacyjnych, ale realnie wspiera długoterminowe efekty leczenia stomatologicznego.
Jestem współtwórczynią szkoleń oraz inicjatyw edukacyjnych dla higienistek stomatologicznych, gdzie dzielę się wiedzą kliniczną, doświadczeniem oraz nowoczesnym podejściem do zawodu. Szczególną wagę przykładam do budowania świadomości profilaktycznej – zarówno wśród pacjentów, jak i personelu medycznego.
Główne obszary pomocy
- Kamień nazębny
- Choroby przyzębia
- Nadwrażliwość zębów
- Halitoza (nieprzyjemny zapach z ust)
- Stany zapalne dziąseł i błony śluzowej jamy ustnej
- +1 a11y_sr_more_diseases
Rodzaje konsultacji
Zdjęcia i filmy
Usługi i ceny
-
Higienizacja
410 zł -
-
Piaskowanie
200 zł - 300 zł -
-
Scaling
200 zł - 300 zł -
-
Scaling + fluoryzacja
250 zł - 350 zł -
-
Scaling + piaskowanie
300 zł - 390 zł -
Adresy (2)
Marii Skłodowskiej Curie 60, 75-733 Bydgoszcz
Dostępność
Płatność online
Akceptowana
Telefon
Dlaczego prosimy Cię o wyrażenie zgody na przetwarzanie danych?
Wyrażenie zgody jest niezbędne do umówienia wizyty z wykorzystaniem telerejestracji. Wymagają tego przepisy Ogólnego Rozporządzenie o Ochronie Danych Osobowych - tzw. RODO. Informujemy, że zgoda jest dobrowolna, jednak jej brak uniemożliwi umówienie wizyty. Informujemy rówież, że zgoda może zostać w każdym momencie zostać wycofana. W tym celu wystarczy się skontaktować z nami przez formularz
Kiedy dojdzie do przetwarzania moich danych osobowych?
Do przetwarzania Twoich danych osobowych dojdzie podczas rozmowy telefonicznej z naszym centrum telerejestracji, ale jednak wyłącznie w sytuacji gdy tej rozmowy podasz nam swoje dane osobowe. Przetwarzanie danych osobowych dokonywane jest w celu umówienia wizyty i przekazania danych osobowych wybranemu Profesjonaliście.
Czy moje dane osobowe zostaną przekazane Profesjonaliście do którego chce się umówić na wizytę?
Tak. Udostępnimy wybranemu przez Ciebie Profesjonaliście informacje i dane osobowe które nam przekazałeś podczas rozmowy telefonicznej oraz przekażemy te informacje Profesjonaliście. Dzięki temu Profesjonalista będzie mógł przygotować się na Twoją wizytę.
Kto jest administratorem moich danych osobowych?
Administratorem danych osobowych jest ZnanyLekarz sp. z o.o. z siedzibą w Warszawie przy ul. Kolejowej 5/7. Informujemy, że po przekazaniu przez nas Twoich danych osobowych wybranemu przez Ciebie Profesjonaliście, staje się on również administratorem Twoich danych osobowych i przetwarza je w celach związanych ze świadczeniem usług medycznych lub innych podobnych.
Gdzie mogę uzyskać więcej informacji o moich prawach związanych z przetwarzaniem danych osobowych?
Więcej informacji o przetwarzaniu Twoich danych osobowychDlaczego prosimy Cię o wyrażenie zgody na przetwarzanie danych?
Wyrażenie zgody jest niezbędne do umówienia wizyty z wykorzystaniem telerejestracji. Wymagają tego przepisy Ogólnego Rozporządzenie o Ochronie Danych Osobowych - tzw. RODO. Informujemy, że zgoda jest dobrowolna, jednak jej brak uniemożliwi umówienie wizyty. Informujemy rówież, że zgoda może zostać w każdym momencie zostać wycofana. W tym celu wystarczy się skontaktować z nami przez formularz
Kiedy dojdzie do przetwarzania moich danych osobowych?
Do przetwarzania Twoich danych osobowych dojdzie podczas rozmowy telefonicznej z naszym centrum telerejestracji, ale jednak wyłącznie w sytuacji gdy tej rozmowy podasz nam swoje dane osobowe. Przetwarzanie danych osobowych dokonywane jest w celu umówienia wizyty i przekazania danych osobowych wybranemu Profesjonaliście.
Czy moje dane osobowe zostaną przekazane Profesjonaliście do którego chce się umówić na wizytę?
Tak. Udostępnimy wybranemu przez Ciebie Profesjonaliście informacje i dane osobowe które nam przekazałeś podczas rozmowy telefonicznej oraz przekażemy te informacje Profesjonaliście. Dzięki temu Profesjonalista będzie mógł przygotować się na Twoją wizytę.
Kto jest administratorem moich danych osobowych?
Administratorem danych osobowych jest ZnanyLekarz sp. z o.o. z siedzibą w Warszawie przy ul. Kolejowej 5/7. Informujemy, że po przekazaniu przez nas Twoich danych osobowych wybranemu przez Ciebie Profesjonaliście, staje się on również administratorem Twoich danych osobowych i przetwarza je w celach związanych ze świadczeniem usług medycznych lub innych podobnych.
Gdzie mogę uzyskać więcej informacji o moich prawach związanych z przetwarzaniem danych osobowych?
Więcej informacji o przetwarzaniu Twoich danych osobowychTypy przyjmowanych pacjentów
- Pacjenci prywatni (bez ubezpieczenia)
Waryńskiego 51, 85-320 Bydgoszcz
Dostępność
Płatność online
Akceptowana
Telefon
Dlaczego prosimy Cię o wyrażenie zgody na przetwarzanie danych?
Wyrażenie zgody jest niezbędne do umówienia wizyty z wykorzystaniem telerejestracji. Wymagają tego przepisy Ogólnego Rozporządzenie o Ochronie Danych Osobowych - tzw. RODO. Informujemy, że zgoda jest dobrowolna, jednak jej brak uniemożliwi umówienie wizyty. Informujemy rówież, że zgoda może zostać w każdym momencie zostać wycofana. W tym celu wystarczy się skontaktować z nami przez formularz
Kiedy dojdzie do przetwarzania moich danych osobowych?
Do przetwarzania Twoich danych osobowych dojdzie podczas rozmowy telefonicznej z naszym centrum telerejestracji, ale jednak wyłącznie w sytuacji gdy tej rozmowy podasz nam swoje dane osobowe. Przetwarzanie danych osobowych dokonywane jest w celu umówienia wizyty i przekazania danych osobowych wybranemu Profesjonaliście.
Czy moje dane osobowe zostaną przekazane Profesjonaliście do którego chce się umówić na wizytę?
Tak. Udostępnimy wybranemu przez Ciebie Profesjonaliście informacje i dane osobowe które nam przekazałeś podczas rozmowy telefonicznej oraz przekażemy te informacje Profesjonaliście. Dzięki temu Profesjonalista będzie mógł przygotować się na Twoją wizytę.
Kto jest administratorem moich danych osobowych?
Administratorem danych osobowych jest ZnanyLekarz sp. z o.o. z siedzibą w Warszawie przy ul. Kolejowej 5/7. Informujemy, że po przekazaniu przez nas Twoich danych osobowych wybranemu przez Ciebie Profesjonaliście, staje się on również administratorem Twoich danych osobowych i przetwarza je w celach związanych ze świadczeniem usług medycznych lub innych podobnych.
Gdzie mogę uzyskać więcej informacji o moich prawach związanych z przetwarzaniem danych osobowych?
Więcej informacji o przetwarzaniu Twoich danych osobowychDlaczego prosimy Cię o wyrażenie zgody na przetwarzanie danych?
Wyrażenie zgody jest niezbędne do umówienia wizyty z wykorzystaniem telerejestracji. Wymagają tego przepisy Ogólnego Rozporządzenie o Ochronie Danych Osobowych - tzw. RODO. Informujemy, że zgoda jest dobrowolna, jednak jej brak uniemożliwi umówienie wizyty. Informujemy rówież, że zgoda może zostać w każdym momencie zostać wycofana. W tym celu wystarczy się skontaktować z nami przez formularz
Kiedy dojdzie do przetwarzania moich danych osobowych?
Do przetwarzania Twoich danych osobowych dojdzie podczas rozmowy telefonicznej z naszym centrum telerejestracji, ale jednak wyłącznie w sytuacji gdy tej rozmowy podasz nam swoje dane osobowe. Przetwarzanie danych osobowych dokonywane jest w celu umówienia wizyty i przekazania danych osobowych wybranemu Profesjonaliście.
Czy moje dane osobowe zostaną przekazane Profesjonaliście do którego chce się umówić na wizytę?
Tak. Udostępnimy wybranemu przez Ciebie Profesjonaliście informacje i dane osobowe które nam przekazałeś podczas rozmowy telefonicznej oraz przekażemy te informacje Profesjonaliście. Dzięki temu Profesjonalista będzie mógł przygotować się na Twoją wizytę.
Kto jest administratorem moich danych osobowych?
Administratorem danych osobowych jest ZnanyLekarz sp. z o.o. z siedzibą w Warszawie przy ul. Kolejowej 5/7. Informujemy, że po przekazaniu przez nas Twoich danych osobowych wybranemu przez Ciebie Profesjonaliście, staje się on również administratorem Twoich danych osobowych i przetwarza je w celach związanych ze świadczeniem usług medycznych lub innych podobnych.
Gdzie mogę uzyskać więcej informacji o moich prawach związanych z przetwarzaniem danych osobowych?
Więcej informacji o przetwarzaniu Twoich danych osobowychTypy przyjmowanych pacjentów
- Pacjenci prywatni (bez ubezpieczenia)
Opinie
5 opinii
Sprawdzamy wszystkie opinie. Moderujemy je zgodnie z naszymi zasadami, dowiedz się więcej o opiniach i sposobie obliczania gwiazdek na Dowiedz się więcej Dowiedz się więcej o opiniach
-
O
Oleksandra
Jestem bardzo zadowolona z wizyty. Pani była bardzo delikatna, dokładna i profesjonalna. Wszystko przebiegło sprawnie i w miłej atmosferze. Zęby po zabiegu są idealnie czyste
• Centrum Stomatologii Dentus • scaling + piaskowanie •
-
M
Monika
Polecam - pełen profesjonalizm. Pani Justyna zawsze wszystko dokładnie wyjaśnia.
• Centrum Stomatologii Dentus • higienizacja •
-
M
Monika B.
Pani Justyna wykonuje swoją pracę z ogromnym profesjonalizmem i zaangażowaniem. Jest niezwykle delikatna, dzięki czemu zabiegi przebiegają bez stresu i dyskomfortu. Zawsze wszystko dokładnie tłumaczy i dba o komfort pacjenta. Jej życzliwość i spokój sprawiają, że wizyta mija w bardzo miłej atmosferze. Z całego serca polecam ją każdemu, kto ceni wysoką jakość i empatyczne podejście.
• Centrum Stomatologii Dentus • higienizacja •
-
B
Bartek
Polecam gorąco!
Świetnie wykonana higienizacja, bardzo szczegółowe wyjaśnienia jak dbać o zęby, ich czystość i zdrowie.
Dziękuję!• Centrum Stomatologii Dentus • Inny •
Centrum Stomatologii Dentus
Dziękujemy za tak miłe słowa i poświęcony czas na podzielenie się opinią. Cieszymy się, że wizyta w Dentus spełniła Państwa oczekiwania. Dokładamy wszelkich starań, aby leczenie przebiegało w komfortowej atmosferze i na najwyższym poziomie. Zapraszamy ponownie . Zespół Dentus
-
K
Krzysztof
Wizyta na higienizacji to czysta przyjemność. Od samego wejścia do gabinetu, wyczuwa się ciepło i miłą atmosferę. Początek to omówienie działań a na koniec precyzyjne uwagi do tego co można poprawić i o co zadbać.
Pełen profesjonalizm w każdej chwili.
Polecam• Centrum Stomatologii Dentus • higienizacja •
Centrum Stomatologii Dentus
Dziękujemy za tak miłe słowa i poświęcony czas na podzielenie się opinią. Cieszymy się, że wizyta w Dentus spełniła Państwa oczekiwania. Dokładamy wszelkich starań, aby leczenie przebiegało w komfortowej atmosferze i na najwyższym poziomie. Zapraszamy ponownie :)
Zespół Dentus
Najczęściej zadawane pytania
-
Jaki jest zakres porad oferowanych przez Justyna Kowalska?Justyna Kowalska to higienistka/higienista stomatologiczny. Na podstawie swojego doświadczenia i wykształcenia Justyna Kowalska oferuje usługi takie jak: higienizacja, piaskowanie, scaling + piaskowanie, Scaling + fluoryzacja, scaling.
-
Gdzie Justyna Kowalska ma swój gabinet?Justyna Kowalska przyjmuje pod adresem:
- Marii Skłodowskiej Curie 60 Bydgoszcz
- Waryńskiego 51 Bydgoszcz
-
Czy Justyna Kowalska przyjmuje online, bez konieczności pojawiania się w placówce?Nie, w tym momencie Justyna Kowalska nie oferuje konsultacji online.
-
Jak Justyna Kowalska umawia wizyty?Justyna Kowalska używa kalendarza ZnanyLekarz, dlatego na stronie widzisz aktualne terminy. Wystarczy, że wybierzesz datę i godzinę, które odpowiadają Ci najbardziej. Umawianie wizyty jest darmowe, a tuż przed terminem wyślemy Ci przypomnienie.
-
W jakich godzinach przyjmuje Justyna Kowalska?Justyna Kowalska może mieć dostępne terminy w tym lub w nadchodzącym tygodniu. Terminy, które widzisz w kalendarzu są dostępne, ponieważ aktualizujemy go na bieżąco. Jeśli pierwszy dostępny termin Ci nie odpowiada, sprawdź następny. Rezerwacja terminu jest natychmiastowa, bez dodatkowych opłat.
-
Justyna Kowalska: co mówią pacjenci?5 osób dodało swoją opinię. Justyna Kowalska ma średnią ocen 5 (na 5 gwiazdek).
-
Jakie ubezpieczenia akceptuje Justyna Kowalska?Justyna Kowalska nie przyjmuje w ramach ubezpieczenia, tylko w ramach płatnych wizyt prywatnych. W razie wątpliwości zalecamy kontakt ze specjalistą.