Moje doświadczenie
Jestem absolwentką Uniwersytetu Medycznego w Poznaniu. Od ponad 7 lat zajmuję się protetyką, implantoprotetyką i stomatologią estetyczną.
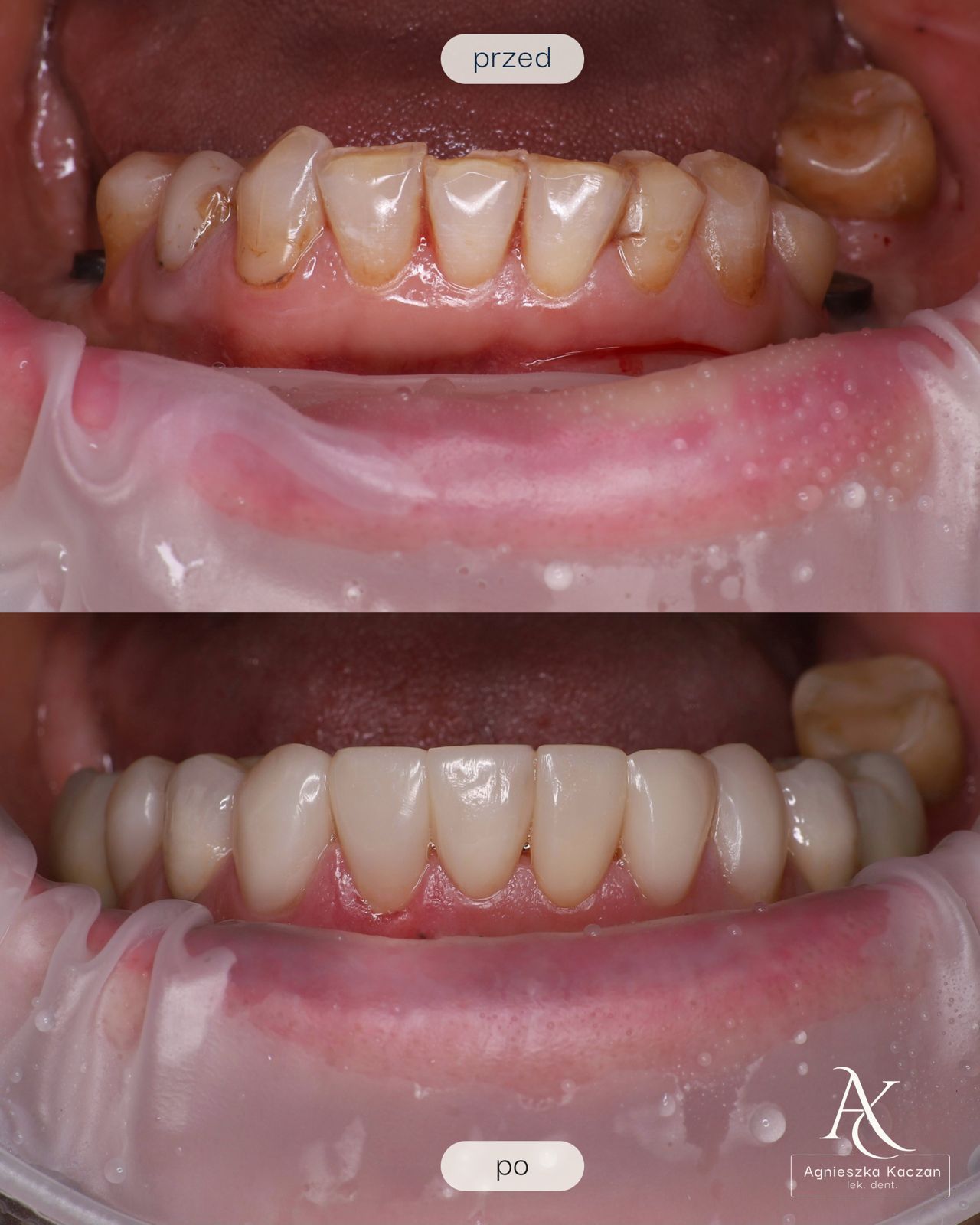
Specjalizuję się w estetycznej odbudowie zębów w sposób minimalnie inwazyjny, a także w pełnych rekonstrukcjach estetycznych i funkcjonalnych uśmiechu – wykonuję licówki, bonding, korony i mosty protetyczne oraz odbudowy na implantach, zawsze dążąc do naturalnego i harmonijnego efektu.
Każdy plan leczenia tworzę indywidualnie, z uwzględnieniem potrzeb estetycznych i funkcjonalnych, a także oczekiwań Pacjenta.
W codziennej praktyce wykorzystuję nowoczesne technologie cyfrowe, w tym cyfrowe projektowanie uśmiechu (Digital Smile Design), które pozwala wspólnie z Pacjentem zaplanować nowy uśmiech jeszcze przed rozpoczęciem leczenia.
Współpracuję z doświadczonym zespołem specjalistów z zakresu ortodoncji, implantologii, endodoncji i periodontologii by zapewnić kompleksowe i precyzyjne leczenie. Nieustannie podnoszę swoje kwalifikacje zawodowe, uczestnicząc w kursach i konferencjach w Polsce i za granicą.
W swojej pracy stawiam na estetykę, precyzję, pełne zadowolenie moich Pacjentów oraz ich komfort. Każdy uśmiech, który tworzę, jest wynikiem indywidualnego podejścia, dbałości o detale i najwyższych standardów leczenia.
Zakres porad
- Stomatologia ogólna
- Stomatologia zachowawcza z endodoncją
- Protetyka stomatologiczna
Główne obszary pomocy
- Ubytki zębów ,
- Braki zębowe ,
- Protezy ,
- Ból zęba ,
- Choroby stomatologiczne ,
- +1 a11y_sr_more_diseases
Adresy (2)
Ozimska 181, 45-309 Opole
Dostępność
Telefon
Dlaczego prosimy Cię o wyrażenie zgody na przetwarzanie danych?
Wyrażenie zgody jest niezbędne do umówienia wizyty z wykorzystaniem telerejestracji. Wymagają tego przepisy Ogólnego Rozporządzenie o Ochronie Danych Osobowych - tzw. RODO. Informujemy, że zgoda jest dobrowolna, jednak jej brak uniemożliwi umówienie wizyty. Informujemy rówież, że zgoda może zostać w każdym momencie zostać wycofana. W tym celu wystarczy się skontaktować z nami przez formularz
Kiedy dojdzie do przetwarzania moich danych osobowych?
Do przetwarzania Twoich danych osobowych dojdzie podczas rozmowy telefonicznej z naszym centrum telerejestracji, ale jednak wyłącznie w sytuacji gdy tej rozmowy podasz nam swoje dane osobowe. Przetwarzanie danych osobowych dokonywane jest w celu umówienia wizyty i przekazania danych osobowych wybranemu Profesjonaliście.
Czy moje dane osobowe zostaną przekazane Profesjonaliście do którego chce się umówić na wizytę?
Tak. Udostępnimy wybranemu przez Ciebie Profesjonaliście informacje i dane osobowe które nam przekazałeś podczas rozmowy telefonicznej oraz przekażemy te informacje Profesjonaliście. Dzięki temu Profesjonalista będzie mógł przygotować się na Twoją wizytę.
Kto jest administratorem moich danych osobowych?
Administratorem danych osobowych jest ZnanyLekarz sp. z o.o. z siedzibą w Warszawie przy ul. Kolejowej 5/7. Informujemy, że po przekazaniu przez nas Twoich danych osobowych wybranemu przez Ciebie Profesjonaliście, staje się on również administratorem Twoich danych osobowych i przetwarza je w celach związanych ze świadczeniem usług medycznych lub innych podobnych.
Gdzie mogę uzyskać więcej informacji o moich prawach związanych z przetwarzaniem danych osobowych?
Więcej informacji o przetwarzaniu Twoich danych osobowychTypy przyjmowanych pacjentów
- Pacjenci prywatni (bez ubezpieczenia)
Ozimska 77/1, 45-370 Opole
Dostępność
Telefon
Dlaczego prosimy Cię o wyrażenie zgody na przetwarzanie danych?
Wyrażenie zgody jest niezbędne do umówienia wizyty z wykorzystaniem telerejestracji. Wymagają tego przepisy Ogólnego Rozporządzenie o Ochronie Danych Osobowych - tzw. RODO. Informujemy, że zgoda jest dobrowolna, jednak jej brak uniemożliwi umówienie wizyty. Informujemy rówież, że zgoda może zostać w każdym momencie zostać wycofana. W tym celu wystarczy się skontaktować z nami przez formularz
Kiedy dojdzie do przetwarzania moich danych osobowych?
Do przetwarzania Twoich danych osobowych dojdzie podczas rozmowy telefonicznej z naszym centrum telerejestracji, ale jednak wyłącznie w sytuacji gdy tej rozmowy podasz nam swoje dane osobowe. Przetwarzanie danych osobowych dokonywane jest w celu umówienia wizyty i przekazania danych osobowych wybranemu Profesjonaliście.
Czy moje dane osobowe zostaną przekazane Profesjonaliście do którego chce się umówić na wizytę?
Tak. Udostępnimy wybranemu przez Ciebie Profesjonaliście informacje i dane osobowe które nam przekazałeś podczas rozmowy telefonicznej oraz przekażemy te informacje Profesjonaliście. Dzięki temu Profesjonalista będzie mógł przygotować się na Twoją wizytę.
Kto jest administratorem moich danych osobowych?
Administratorem danych osobowych jest ZnanyLekarz sp. z o.o. z siedzibą w Warszawie przy ul. Kolejowej 5/7. Informujemy, że po przekazaniu przez nas Twoich danych osobowych wybranemu przez Ciebie Profesjonaliście, staje się on również administratorem Twoich danych osobowych i przetwarza je w celach związanych ze świadczeniem usług medycznych lub innych podobnych.
Gdzie mogę uzyskać więcej informacji o moich prawach związanych z przetwarzaniem danych osobowych?
Więcej informacji o przetwarzaniu Twoich danych osobowychTypy przyjmowanych pacjentów
- Pacjenci prywatni (bez ubezpieczenia)
Usługi i ceny
-
Konsultacja stomatologiczna
Od 100 zł -
-
Kompleksowe badanie stomatologiczne + plan leczenia
Od 200 zł -
-
Konsultacja protetyczna
Od 100 zł -
-
Wizyta interwencyjna
Od 300 zł -
-
Badania stomatologiczne
Od 100 zł -
-
-
-
-
Opinie
10 opinii
Sprawdzamy wszystkie opinie. Specjaliści nie mogą płacić za modyfikowanie lub usuwanie opinii. Dowiedz się więcej Dowiedz się więcej o opiniach
-
D
Dmytro
Wizyta u pani doktor była bardzo udana. Widać, że pani doktor świetnie zna się na swojej pracy i potrafi stworzyć miłą, spokojną atmosferę
• Medical Smile • Konsultacja stomatologiczna •
-
B
Bogdan
Bardzo miła i komunikatywna Pani stomatolog. Polecam
• Medical Smile • Inny •
-
K
Karolina
Bardzo miła atmosfera i punktualna wizyta. Pani doktor szczegółowo omawia leczenie, dokładnie i rzeczowo. Serdecznie polecam
• Medical Smile • Konsultacja stomatologiczna •
-
K
Kasia
Z całego serca polecam Panią dr.Agnieszkę Kaczan przemiłą ,przesympatyczna,delikatną, ciepła osobę. W swoją profesjonalną pracę wkłada swoje całe serce. Przechodziłam u niej całą swoją „metamorfozę uśmiechu” wszystko bez bólu z dokładnością profesjonalną że się w głowie nie mieści. Mam teraz uśmiech taki o jakim zawsze marzyłam. Dziękuję Pani doktor z całego serca.
• iQdent • Inny •
-
M
Marta
Przemiła i bardzo konkretna Pani Doktor. Posiada dużą wiedzę, świetnie wykonuje swoją pracę, jest bardzo dokładna, począwszy od perfekcyjnego podania znieczulenia poprzez leczenie i odbudowę zęba. Szczegółowo wyjaśnia wszystko co robi, pacjent się czuje zaopiekowany i zorientowany w swoim leczeniu. Serdecznie będę polecać!
• Ambasada Uśmiechu * Implantologia * Ortodoncja * Stomatologia • Konsultacja stomatologiczna •
-
A
Adrian
W pełni zasłużone pięć gwiazdek.
Mistrzostwo podczas podawania znieczulenia i leczenia!
Przemiła i profesjonalna, świetny kontakt z pacjentem. Bardzo dziękuję za bezbolesne leczenie.
Serdecznie polecam!• Ambasada Uśmiechu * Implantologia * Ortodoncja * Stomatologia • Konsultacja stomatologiczna •
-
R
R.W.
Pani Doktor jest odpowiednią osobą na odpowiednim miejscu. W pełni zaangażowana we wszystko co robi, bardzo konkretna i pomocna dla pacjenta. Zdecydowanie polecam!
• Ambasada Uśmiechu * Implantologia * Ortodoncja * Stomatologia • Inny •
-
P
Pacjentka
Dentystka jest bardzo miła i poświęca dużo czasu na pacjenta, nie spieszy się w trakcie wizyty. Miała trudności ze znieczuleniem, co nie zdarzało się u innego lekarza stomatologa w leczeniu zachowawczym. Nie mniej, dentystka znieczulała do momentu zniesienia bólu, co jest adekwatnym postępowaniem medycznym. Samo leczenie zachowawcze nie było skuteczne - próchnica nie została wyleczona do końca i po kilku miesiącach trzeba było wyleczyć ją do końca u innego lekarza. Mimo tego, że leczenie miało odbyć się z wykorzystaniem mikroskopu, nie miało ono miejsca.
• Ambasada Uśmiechu * Implantologia * Ortodoncja * Stomatologia • Inny •
-
P.W.
Żałuję że nie spotkałem Pani Doktor kilka lat wcześniej. Moje wrażenia mogę opisać tak : pełen profesjonalizm, niezwykła wprawa w wykonywaniu zabiegòw, świetne podejście do pacjenta, który niekoniecznie lubi wizyty u stomatologa. Tak wyobrażam sobie idealną wizytę u stomatologa.Z czystym sumieniem polecam Panią Doktor.
• Ambasada Uśmiechu * Implantologia * Ortodoncja * Stomatologia • Konsultacja stomatologiczna •
-
G
Grzegorz
Leczę się u Pani doktor od prawie dwóch lat i nie zmienię na innego lekarza, ani lekarkę :) polecam bardzo!
Wizyty były bezbolesne dla mnie więc sama przyjemność. Pani doktor wykazała też dużo cierpliwości i zaangrażowania.• Ambasada Uśmiechu * Implantologia * Ortodoncja * Stomatologia • Konsultacja stomatologiczna •
Najczęściej zadawane pytania
-
Jaki jest zakres porad oferowanych przez Agnieszka Kaczan?Agnieszka Kaczan to stomatolog. Na podstawie swojego doświadczenia i wykształcenia Agnieszka Kaczan oferuje usługi takie jak: Konsultacja stomatologiczna, kompleksowe badanie stomatologiczne + plan leczenia, konsultacja protetyczna, wizyta interwencyjna, badania stomatologiczne, Konsultacja implantologiczna z planem leczenia, korony cyrkonowe, licówka bez szlifowania, licówka ceramiczna.
-
Gdzie Agnieszka Kaczan ma swój gabinet?Agnieszka Kaczan przyjmuje pod adresem:
- Ozimska 77/1 Opole
- Ozimska 181 Opole
-
Czy Agnieszka Kaczan przyjmuje online, bez konieczności pojawiania się w placówce?Nie, w tym momencie Agnieszka Kaczan nie oferuje konsultacji online.
-
W jakich językach konsultuje Agnieszka Kaczan?Języki, których używa Agnieszka Kaczan to angielski, polski.
-
Jak Agnieszka Kaczan umawia wizyty?Agnieszka Kaczan używa kalendarza ZnanyLekarz, dlatego na stronie widzisz aktualne terminy. Wystarczy, że wybierzesz datę i godzinę, które odpowiadają Ci najbardziej. Umawianie wizyty jest darmowe, a tuż przed terminem wyślemy Ci przypomnienie.
-
W jakich godzinach przyjmuje Agnieszka Kaczan?Agnieszka Kaczan może mieć dostępne terminy w tym lub w nadchodzącym tygodniu. Terminy, które widzisz w kalendarzu są dostępne, ponieważ aktualizujemy go na bieżąco. Jeśli pierwszy dostępny termin Ci nie odpowiada, sprawdź następny. Rezerwacja terminu jest natychmiastowa, bez dodatkowych opłat.
-
Agnieszka Kaczan: co mówią pacjenci?10 osób dodało swoją opinię. Agnieszka Kaczan ma średnią ocen 5 (na 5 gwiazdek).
-
Jakie ubezpieczenia akceptuje Agnieszka Kaczan?Agnieszka Kaczan nie przyjmuje w ramach ubezpieczenia, tylko w ramach płatnych wizyt prywatnych. W razie wątpliwości zalecamy kontakt ze specjalistą.