dr n. med.
Jerzy Błaszczak
Ortodonta
·
Więcej
O specjalizacjach
Lublin 2 adresy
Nr PWZ: 2530118
22 opinieMoje doświadczenie
Moją dewizą jest przede wszystkim nie szkodzić. Po drugie - przywrócić zdrowie i funkcję. Po trzecie – estetykę i piękno. W układzie stomatognatycznym wszystko musi współgrać dlatego tak dużą wagę przykładam do zdiagnozowania i zaplanowania prawidłowego leczenia. W mojej ofercie znajdują się aparaty stałe konwencjonalne, samoligaturujące (DAMON), estetyczne (invisalign) , ap. zdejmowane, czynnościowe, wewnątrz i zewnątrz ustne. Jestem również certyfikowanym lekarzem systemu przeźroczystych nakładek invisalign. Razem przywrócimy piękno twojemu uśmiechowi :) Zapraszam na wizytę .
Zakres porad
- Ortodoncja
Główne obszary pomocy
- Wady zgryzu
- Diastema
- Stłoczenie zębów
Pacjenci których przyjmuję
Rodzaje konsultacji
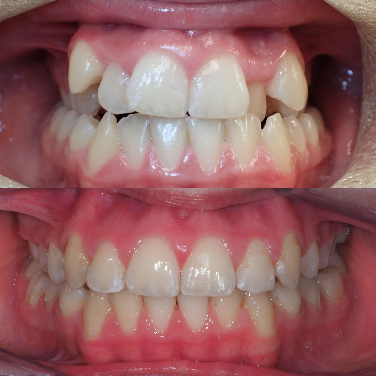
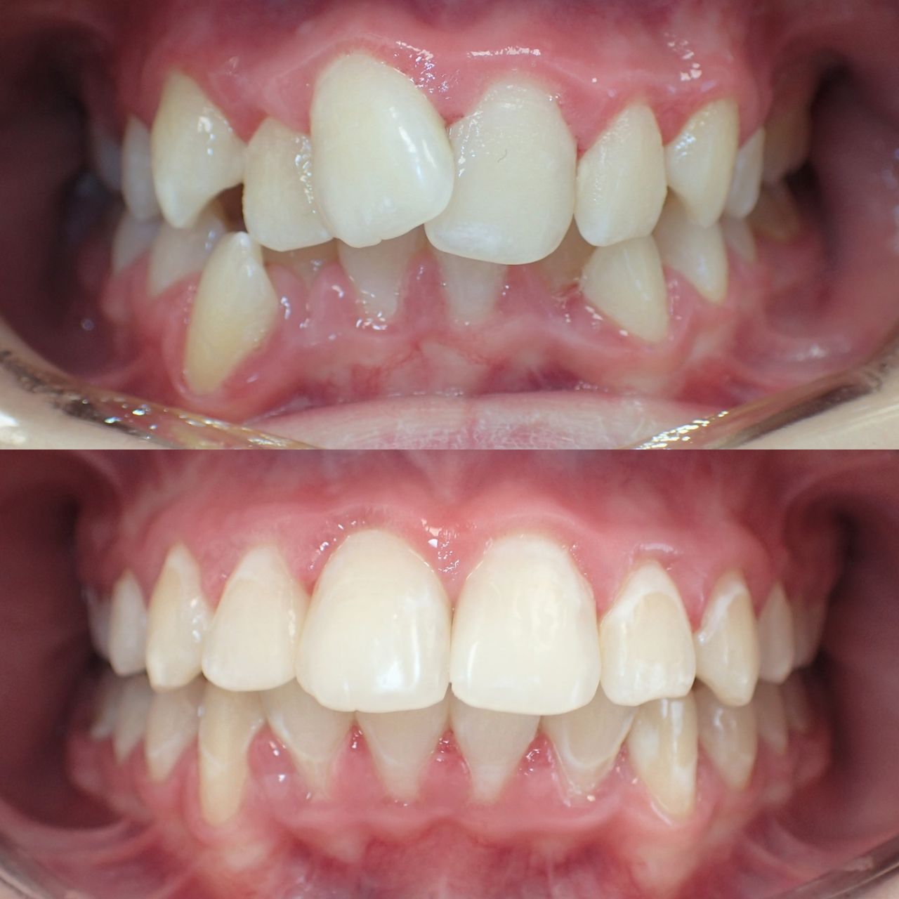
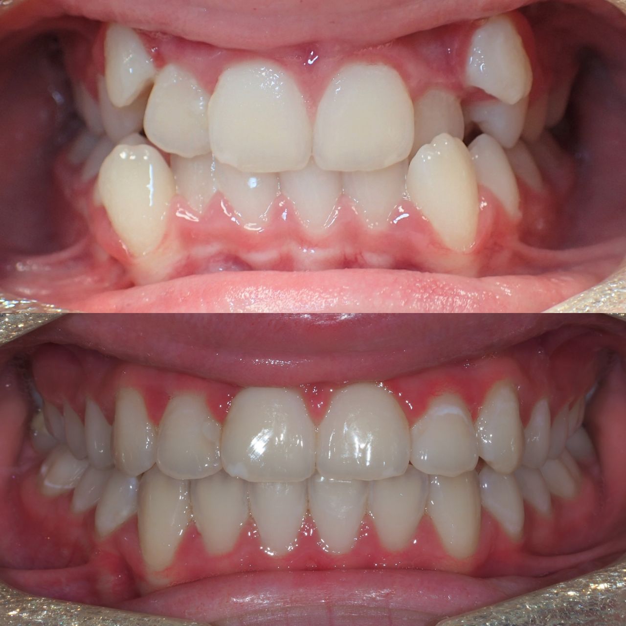
Zdjęcia i filmy
Usługi i ceny
-
Konsultacja ortodontyczna
200 zł -
-
Aparaty ruchome
-
-
Aparaty stałe
Od 2 700 zł -
-
Aparaty stałe estetyczne
-
-
Invisalign
Od 6 000 zł -
-
Adresy (2)
Rzemieślnicza 1, 20-716 Lublin
Dostępność
Typy przyjmowanych pacjentów
- Pacjenci prywatni (bez ubezpieczenia)
Wagnera 10, Krasnystaw
Dostępność
W tym gabinecie nie można umawiać wizyt przez internet
Typy przyjmowanych pacjentów
- Pacjenci prywatni (bez ubezpieczenia)
Opinie
22 opinie
Sprawdzamy wszystkie opinie. Moderujemy je zgodnie z naszymi zasadami, dowiedz się więcej o opiniach i sposobie obliczania gwiazdek na Dowiedz się więcej Dowiedz się więcej o opiniach
-
J
Jowita
Chciałabym serdecznie polecić leczenie ortodontyczne u pana Jerzego Błaszczaka. Cały proces przebiegał sprawnie i bez komplikacji, a pan Jerzy był bardzo profesjonalny i wszystko szczegółowo wyjaśniał. Czułam się w pełni komfortowo, a efekty leczenia zdecydowanie przerosły moje oczekiwania. Dodatkowo ceny są bardzo przystępne, co jest ogromnym plusem. Jeśli szukacie ortodonty, który naprawdę zna się na swojej pracy i ma świetne podejście, to zdecydowanie polecam Pana Jerzego.
• Węglin Medical • aparaty stałe •
dr n. med. Jerzy Błaszczak
Dziękuję za miłe słowa :)
-
M
Maria
Bardzo polecam Pana Doktora. Właśnie skończyłam moje ponad roczne leczenie stałym aparatem i jestem bardzo zadowolona. Każda wizyta przebiegała sprawnie i zgodnie z terminami. Pan Doktor wszystko tłumaczył i był bardzo miły, jest doskonałym wyborem za równo dla dzieci jak i dorosłych. Podczas całego czasu trwania leczenia nie miałam żadnych problemów z aparatem. Sam gabinet i Panie higienistki też bardzo miłe i profesjonalne, tak samo na recepcji:) Bardzo polecam!!
• Węglin Medical • aparaty stałe •
dr n. med. Jerzy Błaszczak
Dziękuję bardzo w imieniu swoim i całego zespołu.
-
Milena
Doktor Błaszczak jest godnym polecenia lekarzem. Moje zęby, które były moim ogromnym kompleksem są teraz cudowne. Sympatyczny oraz pełen wiedzy wszystko wytłumaczy. Dziękuję jeszcze raz :)
• Węglin Medical • aparaty stałe •
dr n. med. Jerzy Błaszczak
Bardzo mi miło . Dziękuję !
-
N
Natalia A.
Polecam pana doktora Blaszczaka. Świetny i kompetentny lekarz, zawsze wszystko cierpliwie tłumaczy, na każdym kroku leczenia. Wizyty zawsze punktualnie, do tego przebiegające w miłej atmosferze:) Po latach kompleksów spowodowanych moją wadą, w końcu polubiłam swój uśmiech:)
• Węglin Medical • aparaty stałe •
dr n. med. Jerzy Błaszczak
Dziękuję bardzo za miłe słowa. Pozdrawiam :)
-
E
Ewelina Pietruszka
Wybór doktora na swojego ortodontę to był strzał w dziesiątkę. Cierpliwie tłumaczy różne drogi przebiegu leczenia, ich konsekwencje i daje możliwość wyboru. Wizyty zawsze odbywały się punktualnie, na każdej dostawałam instrukcje postępowania do kolejnej wizyty. Duża wiedza, która sprawiła, że mam teraz piękny uśmiech! Dziękuję!
• Węglin Medical • samoligaturujące aparaty stałe •
dr n. med. Jerzy Błaszczak
Dziękuję bardzo.
-
M
Monika O.
Bardzo polecam. Doktor Jerzy Błaszczak ma ogromną wiedzę , indywidualne podejście do pacjenta, szczegółowo omawia każdy etap leczenia . Dzięki doktorowi mam piękny uśmiech. Pod opieką doktora Jerzego są również członkowie mojej rodziny.
• Węglin Medical • aparaty stałe •
dr n. med. Jerzy Błaszczak
Dziękuję Pani Moniko.
-
A
Aga M.
Leczenie ortodontyczne u Pana Doktora rozpoczęłam tuż przed pandemią, jako osoba dorosła i do tego w ciąży :-) Mimo ówczesnych utrudnień i ograniczeń zostałam otoczona najlepszą opieką, a leczenie aparatem stałym odbyło się bez zakłóceń i pod regularną kontrolą, przynosząc mi piękny uśmiech i nową jakość życia :-) Panie Doktorze, dziękuję za Pana profesjonalizm i zaangażowanie, wyczerpujące objaśnienia na każdym etapie procesu leczenia, zawsze życzliwe podejście i miłą atmosferę spotkań! Z całym przekonaniem polecam Doktora Błaszczaka, wśród pacjentów znajduje się również moja rodzina :-)
• Węglin Medical • aparaty stałe •
dr n. med. Jerzy Błaszczak
Dziękuję bardzo za miłe słowa.
-
A
Agnieszka
Bardzo kompetentny Pan Doktor z dużą wiedzą. Profesjonalne podejście do pacjenta, wizyty punktualne. Polecam.
• Mazdent • Inny •
dr n. med. Jerzy Błaszczak
Dziękuję bardzo. Pozdrawiam
-
M
Mc
Pełen profesjonalizm i szczegółowe objaśnienie leczenia. Polecam!
• Węglin Medical • aparaty stałe •
dr n. med. Jerzy Błaszczak
Dziękuję . Życzę dużo uśmiechu :)
-
N
NS
Bardzo polecam leczenie ortodontyczne u Pana Doktora. Pełen profesjonalizm, zawsze punktualne wizyty. Wszystko dobrze wyjaśnione, a efekt leczenia wspaniały!
• Węglin Medical • aparaty stałe •
dr n. med. Jerzy Błaszczak
Dziękuję za opinię . Życzę dużo uśmiechu :)
Najczęściej zadawane pytania
-
Jaki jest zakres porad oferowanych przez Jerzy Błaszczak?Jerzy Błaszczak to ortodonta. Na podstawie swojego doświadczenia i wykształcenia Jerzy Błaszczak oferuje usługi takie jak: aparaty stałe, aparaty ruchome, konsultacja ortodontyczna, aparaty stałe estetyczne, leczenie wad zgryzu, Invisalign.
-
Gdzie Jerzy Błaszczak ma swój gabinet?Jerzy Błaszczak przyjmuje pod adresem:
- Rzemieślnicza 1 Lublin
- Wagnera 10 Krasnystaw
-
Czy Jerzy Błaszczak przyjmuje online, bez konieczności pojawiania się w placówce?Nie, w tym momencie Jerzy Błaszczak nie oferuje konsultacji online.
-
Jak Jerzy Błaszczak akceptuje płatności po wizycie?Metody płatności, które akceptuje Jerzy Błaszczak to: Gotówka, Karta płatnicza, Blik.
-
W jakich językach konsultuje Jerzy Błaszczak?Języki, których używa Jerzy Błaszczak to angielski.
-
Jak Jerzy Błaszczak umawia wizyty?Jerzy Błaszczak używa kalendarza ZnanyLekarz, dlatego na stronie widzisz aktualne terminy. Wystarczy, że wybierzesz datę i godzinę, które odpowiadają Ci najbardziej. Umawianie wizyty jest darmowe, a tuż przed terminem wyślemy Ci przypomnienie.
-
W jakich godzinach przyjmuje Jerzy Błaszczak?Obecnie Jerzy Błaszczak nie ma żadnych dostępnych terminów w najbliższych tygodniach. Skontaktuj się bezpośrednio, jeśli chcesz zapytać o listę rezerwową lub umówić wizytę w późniejszym terminie.
-
Jerzy Błaszczak: co mówią pacjenci?22 osób dodało swoją opinię. Jerzy Błaszczak ma średnią ocen 5 (na 5 gwiazdek).
-
Jakie ubezpieczenia akceptuje Jerzy Błaszczak?Jerzy Błaszczak nie przyjmuje w ramach ubezpieczenia, tylko w ramach płatnych wizyt prywatnych. W razie wątpliwości zalecamy kontakt ze specjalistą.