Łużycka 29, 59-900 Zgorzelec
W gabinecie Aurum w Zgorzelcu wykonuję zabiegi głównie z zakresu implantologii i chirurgii stomatologicznej. Wykonuję również plastykę powiek i zabiegi skórne w obrębie twarzy.
Nie konsultuję pacjentów.
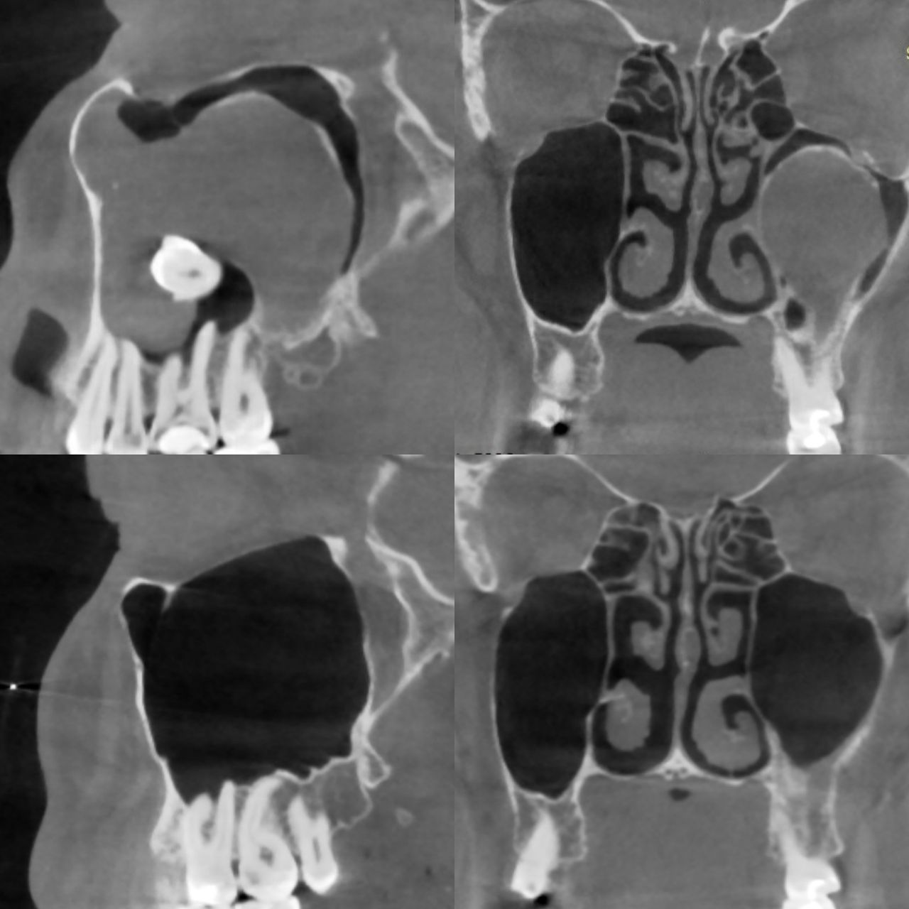
Wszyscy pacjenci implantologiczni w pierwszej kolejności konsultowani są z dr Anną Cwaliną, która wykonuje plan leczenia protetycznego oraz diagnostykę obrazową ( tomografię stożkową - CBCT).
Pacjenci do zabiegów blefaroplastyki ( plastyki powiek) kwalifikowani są na podstawie zdjęć.
w tej placówce z uwagi na ograniczenia czasowe nie konsultuję pacjentów z zakresu chirurgii ortognatycznej oraz chirurgii szczękowo-twarzowej.
02/01/2024