Paulina Sawicka-Soszyńska
Higienistka/higienista stomatologiczny
·
Więcej
Białystok 1 adres
Moje doświadczenie
Nazywam się Paulina i od ponad 15 lat jestem związana ze stomatologią.
W 2009r ukończyłam szkołę na kierunku Asystentka Stomatologiczna a od 2014r jestem Dyplomowana Higienistką.
Posiadam duże doświadczenie w pracy z pacjentami dorosłymi jak i z dziećmi.
Zabiegi wykonuję u pacjentów ortodontycznych (aparat nie jest problemem podczas higienizacji), periodontologicznych, oraz protetycznych (z uzupełnieniami protetycznymi - korony, mosty, implanty).
Zabiegi, które wykonuje na co dzień to przede wszystkim:
* higienizacja (skaling, piaskowanie),
* fluoryzacja,
* lakierowanie,
* wybielanie zębów lampą,
* ICON - (infiltracja zębiny przy użyciu płynnej żywicy – to jedna z najnowocześniejszych metod leczenia próchnicy początkowej i usuwania przebarwień)
* oraz nowość w gabinetach stomatologicznych - Vardis (lakier regenerujący szkliwo. Zatrzymuje i odwraca początki próchnicy.)
Uwielbiam to, co robię dlatego też pomagam moim pacjentom odzyskać zdrowy i piękny uśmiech.
Do zobaczenia na wizycie ;) !
Zakres porad
- Stomatologia ogólna
Główne obszary pomocy
- Kamień nazębny
- Przebarwienia zębów
- +6 a11y_sr_more_diseases
Rodzaje konsultacji
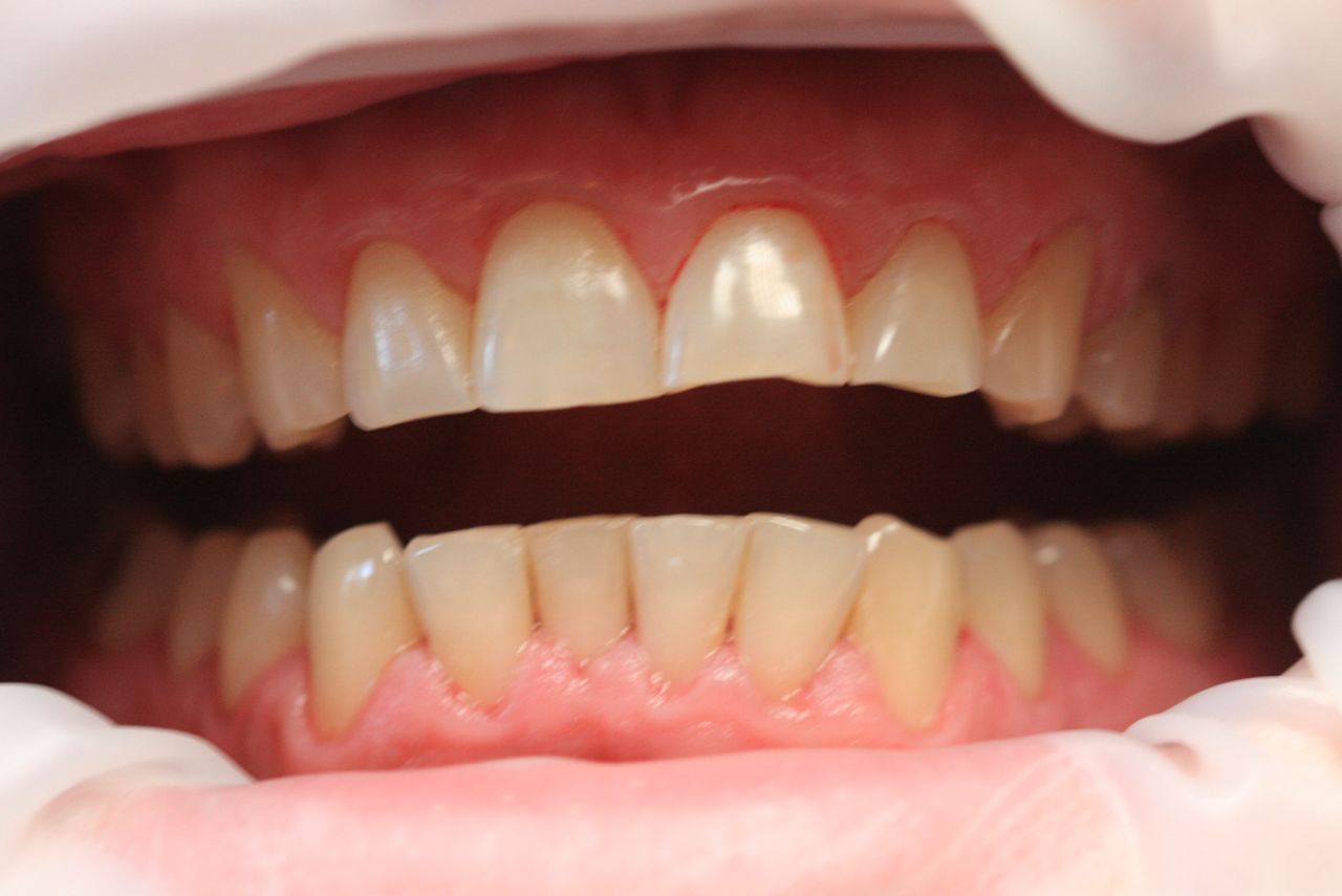
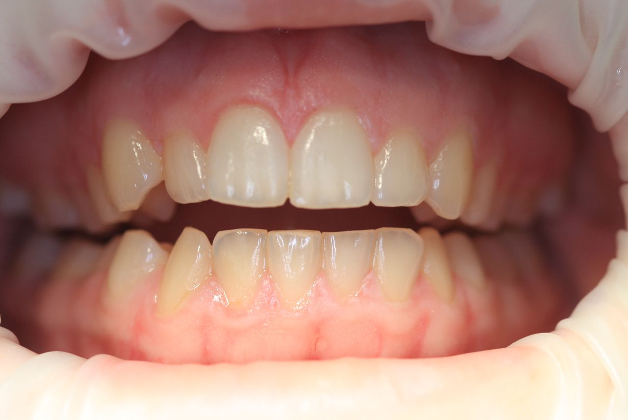
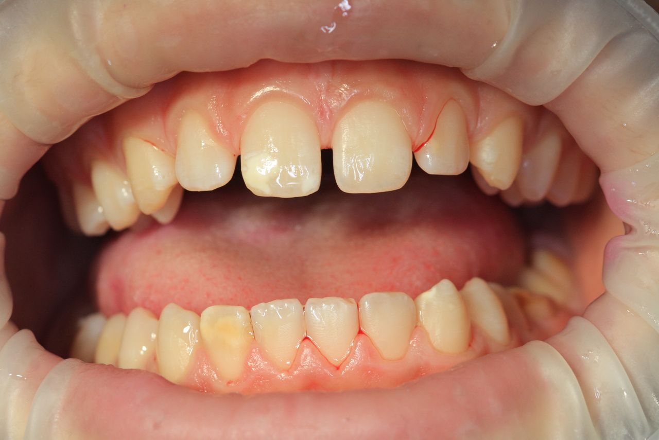
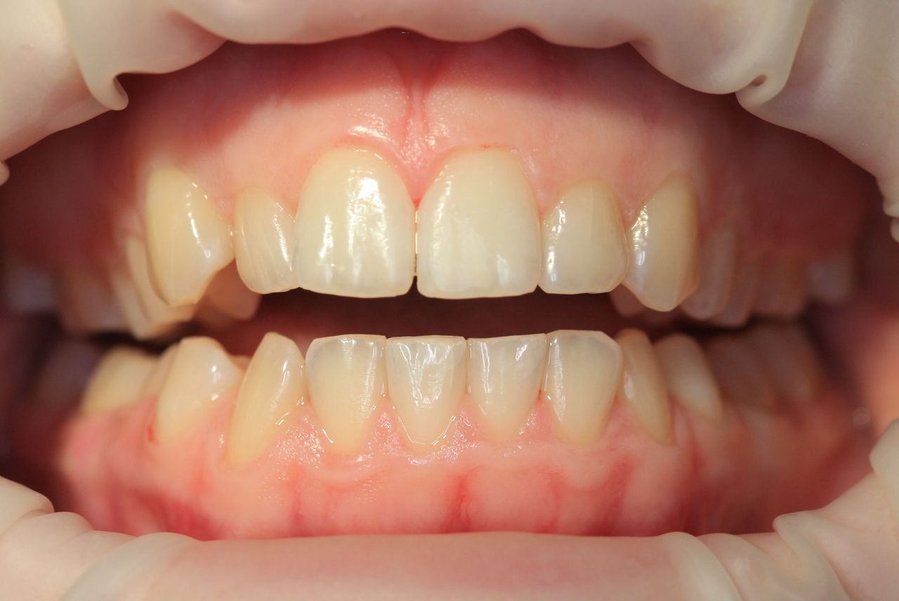
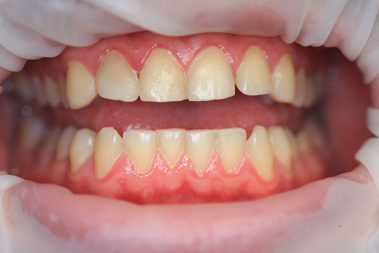
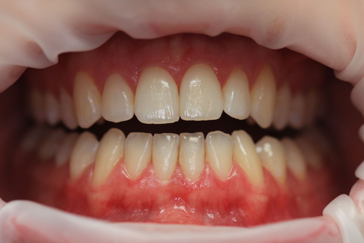
Zdjęcia i filmy
Usługi i ceny
-
Higienizacja
Od 400 zł -
-
Fluoryzacja zębów
Od 100 zł -
-
Guided Biofilm Therapy
Od 400 zł -
-
ICON
350 zł -
-
Lakierowanie zębów
Od 100 zł -
-
-
-
-
-
-
-
-
Adres
Bolesława Chrobrego 1A lok 4, Piasta I, 15-057 Białystok
Dostępność
Typy przyjmowanych pacjentów
- Pacjenci prywatni (bez ubezpieczenia)
Opinie
128 opinii
Sprawdzamy wszystkie opinie. Specjaliści nie mogą płacić za modyfikowanie lub usuwanie opinii. Dowiedz się więcej Dowiedz się więcej o opiniach
-
D
Dawid Goliński
Bardzo polecam! Zabieg wykonany profesjonalnie, wszystko dokładnie wytłumaczone, a efekt super.
• Specjalistyczna Praktyka Stomatologiczna WOJCIECH KONDRAT • usuwanie kamienia nazębnego •
-
E
Ewa
Do Pani Pauliny trafiłam z przypadku i bardzo się cieszę. Odpowiednia osoba na odpowiednim miejscu. Bardzo delikatnie wykonana higienizacja a przy tym bardzo dokładnie. Pani Paulina podeszla indywidualnie do mojego przypadku i życzliwość wyszła poza zakres tego czego bym oczekiwala. Na pewno wrócę :) polecam z czystym sumieniem.
• Specjalistyczna Praktyka Stomatologiczna WOJCIECH KONDRAT • pakiet higienizacyjny z instruktażem •
-
J
Joanna
Zdecydowanie polecam Panią Paulinę! Jestem jej stałą pacjentką i za każdym razem wychodzę z gabinetu w pełni zadowolona.
Pani Paulina wykonuje zabiegi niezwykle dokładnie, delikatnie i profesjonalnie. Co dla mnie najważniejsze, nie tylko świetnie czyści zęby, ale również rzeczowo i cierpliwie edukuje w kwestii codziennej higieny.
Z przyjemnością do niej wracam i polecam każdemu, kto szuka higienistki z powołania, która realnie pomaga utrzymać piękny i zdrowy uśmiech.• Specjalistyczna Praktyka Stomatologiczna WOJCIECH KONDRAT • pakiet higienizacyjny •
-
P
Patryk
Pani Paulina wykonała u mnie higienizację oraz wybielanie lampą z wyjątkową dokładnością i profesjonalizmem. Oba zabiegi przebiegły w bardzo komfortowej atmosferze, a efekty przerosły moje oczekiwania. Zdecydowanie polecam!
• Specjalistyczna Praktyka Stomatologiczna WOJCIECH KONDRAT • higienizacja •
-
M
Marta
Bardzo kompetentna i sympatyczna. Zadowolony pacjent jest priorytetem. Dziękuję
• Specjalistyczna Praktyka Stomatologiczna WOJCIECH KONDRAT • Wybielanie zębów •
-
A
Anita
Profesjonalnie i bardzo sympatycznie, polecam higienizację u Pani Pauliny :)
• Specjalistyczna Praktyka Stomatologiczna WOJCIECH KONDRAT • Inny •
-
D
Daria
Higienizacja została wykonana naprawdę świetnie. Pani Paulina wszystko dokładnie omawiała i pokazywała krok po kroku, co dawało duże poczucie komfortu. Cała wizyta odbyła się w bardzo miłej i uprzejmej atmosferze. Dodatkowo precyzyjnie usunięto pozostałości po aparacie ortodontycznym, z którym chodziłam parę lat. Na pewno wrócę niebawem! Zdecydowanie polecam!
• Specjalistyczna Praktyka Stomatologiczna WOJCIECH KONDRAT • higienizacja •
-
Ł
Łukasz
Zdecydowanie polecam Panią Paulinę jako wybitną higienistkę u której wizyty przebiegają bezboleśnie, a efekty są doskonałe.
• Specjalistyczna Praktyka Stomatologiczna WOJCIECH KONDRAT • higienizacja •
Paulina Sawicka-Soszyńska
Bardzo mi miło, dziękuję za dodanie opinii Panie Łukaszu :) !
-
I
Iwona
Poraz pierwszy byłam w gabinecie i serdecznie polecam, pełen profesjonalizm. Na pewno wrócę.
• Specjalistyczna Praktyka Stomatologiczna WOJCIECH KONDRAT • higienizacja •
Paulina Sawicka-Soszyńska
Bardzo dziękuję i zapraszam ponownie :)
-
A
Anita
Wizyta przeprowadzona w miłej atmosferze. Pani Paulina dokładnie wyjaśniła co można zmienić w higienie jamy ustnej na lepsze oraz jak poprawnie o nią dbać. Sama higienizacja - pierwsza klasa:)
• Specjalistyczna Praktyka Stomatologiczna WOJCIECH KONDRAT • higienizacja •
Paulina Sawicka-Soszyńska
Pani Anito bardzo dziękuję za miłe słowa :) !
Odpowiedzi na pytania
1 odpowiedzi udzielonych przez lekarza na pytania pacjentów na ZnanyLekarz.pl
Dobry wieczor.Po 15 latach odkleily mi sie dwie koronki co mialam na przednich jedynkach zalozone.Zeby 15 lat temu zaleczyli mi kanalowo.Teraz mnie zdziwilo jak zobaczylam te zeby zeszlifowane pod koronkami cale zakrwawione.Co sie stalo?? Dlaczego sa zakrwawione??? Nawilgotnienie krwi spowodowalo odklejenie sie koronek???
Witam.
Wizyta u stomatologa jest oczywiście niezbędna do uzyskania konkretnej porady.
Aczkolwiek możliwe jest też, że ma Pani stan zapalny w obrębie tych koron i stąd krwawienie, które pochodzi zapewne z dziąseł.
Krwawienie mogło się pojawić również podczas szlifowania zębów.
Odcementowanie koron może być spowodowane tym, że cement po 15 latach po prostu się zresorbował a korony się rozszczelniły.
Podkrwawianie mogłoby spowodować nie zacementowanie koron podczas pierwszej wizyty 15lat temu, ale myslę, że nie miało wpływu na odcementowanie koron.
Pozdrawiam
Paulina Sawicka - Soszyńska
Wszystkie treści, w szczególności pytania i odpowiedzi, dotyczące tematyki medycznej mają charakter informacyjny i w żadnym wypadku nie mogą zastąpić diagnozy medycznej.
Najczęściej zadawane pytania
-
Jaki jest zakres porad oferowanych przez Paulina Sawicka-Soszyńska?Paulina Sawicka-Soszyńska to higienistka/higienista stomatologiczny. Na podstawie swojego doświadczenia i wykształcenia Paulina Sawicka-Soszyńska oferuje usługi takie jak: leczenie nadwrażliwości zębów, lakierowanie zębów, higienizacja, Guided Biofilm Therapy, profilaktyka próchnicy, Wybielanie zębów, fluoryzacja zębów, pakiet higienizacyjny z instruktażem, wybielanie zębów lampą, usuwanie kamienia nazębnego.
-
Gdzie Paulina Sawicka-Soszyńska ma swój gabinet?Paulina Sawicka-Soszyńska przyjmuje pod adresem:
- Bolesława Chrobrego 1A lok 4 Białystok
-
Czy Paulina Sawicka-Soszyńska przyjmuje online, bez konieczności pojawiania się w placówce?Nie, w tym momencie Paulina Sawicka-Soszyńska nie oferuje konsultacji online.
-
Jak Paulina Sawicka-Soszyńska akceptuje płatności po wizycie?Metody płatności, które akceptuje Paulina Sawicka-Soszyńska to: Gotówka, Karta płatnicza, Blik.
-
W jakich językach konsultuje Paulina Sawicka-Soszyńska?Języki, których używa Paulina Sawicka-Soszyńska to angielski, rosyjski.
-
Jak Paulina Sawicka-Soszyńska umawia wizyty?Paulina Sawicka-Soszyńska używa kalendarza ZnanyLekarz, dlatego na stronie widzisz aktualne terminy. Wystarczy, że wybierzesz datę i godzinę, które odpowiadają Ci najbardziej. Umawianie wizyty jest darmowe, a tuż przed terminem wyślemy Ci przypomnienie.
-
W jakich godzinach przyjmuje Paulina Sawicka-Soszyńska?Paulina Sawicka-Soszyńska może mieć dostępne terminy w tym lub w nadchodzącym tygodniu. Terminy, które widzisz w kalendarzu są dostępne, ponieważ aktualizujemy go na bieżąco. Jeśli pierwszy dostępny termin Ci nie odpowiada, sprawdź następny. Rezerwacja terminu jest natychmiastowa, bez dodatkowych opłat.
-
Paulina Sawicka-Soszyńska: co mówią pacjenci?128 osób dodało swoją opinię. Paulina Sawicka-Soszyńska ma średnią ocen 5 (na 5 gwiazdek).
-
Jakie ubezpieczenia akceptuje Paulina Sawicka-Soszyńska?Paulina Sawicka-Soszyńska nie przyjmuje w ramach ubezpieczenia, tylko w ramach płatnych wizyt prywatnych. W razie wątpliwości zalecamy kontakt ze specjalistą.
- Higienistki/higieniści stomatologiczni z Compensa w Białymstoku
- Higienistki/higieniści stomatologiczni z Enel-med w Białymstoku
- Higienistki/higieniści stomatologiczni z Allianz w Białymstoku
- Higienistki/higieniści stomatologiczni z PZU Zdrowie w Białymstoku
- Higienistki/higieniści stomatologiczni z POLMED w Białymstoku