Moje doświadczenie
Z wykształcenia jestem mgr pedagogiki, a także dyplomowaną asystentką oraz higienistką stomatologiczną. Od 19 lat pracuję w branży stomatologicznej.
Pierwsze swoje lata pracy zaczynałam na stanowisku asystentki stomatologicznej.
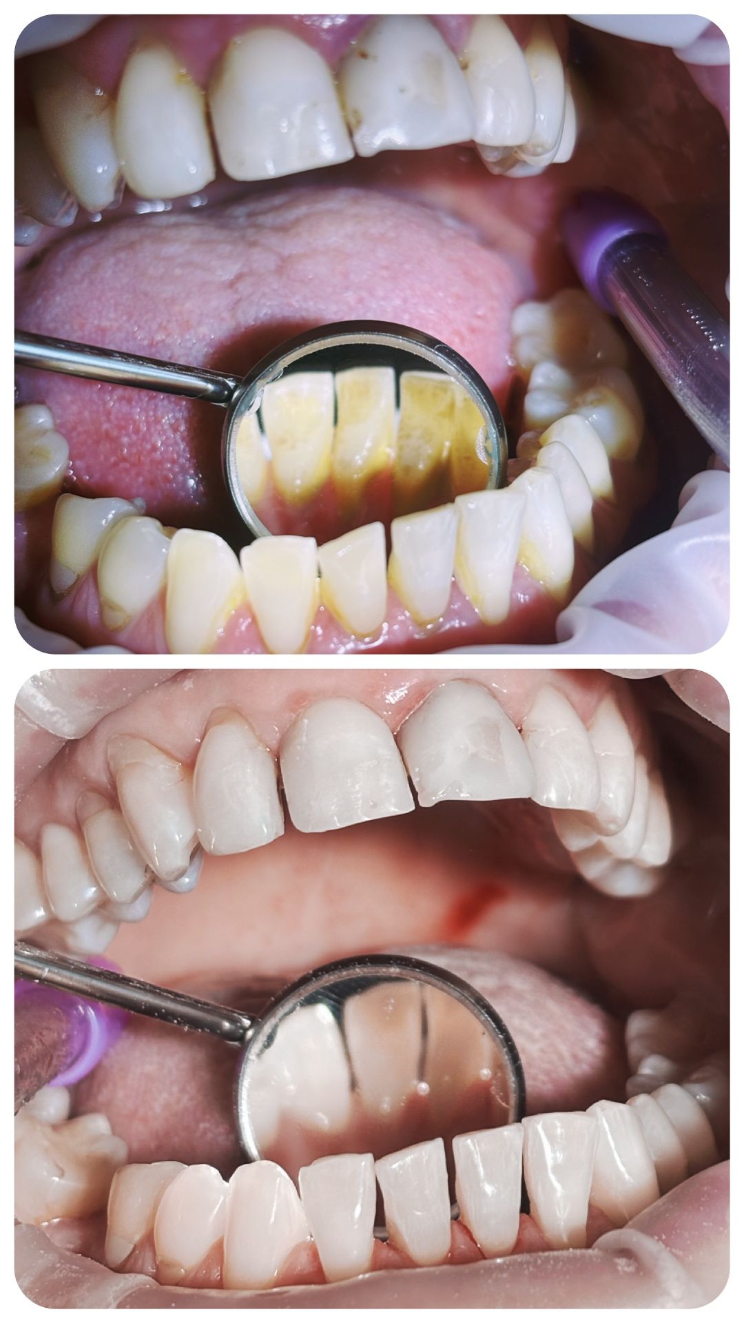
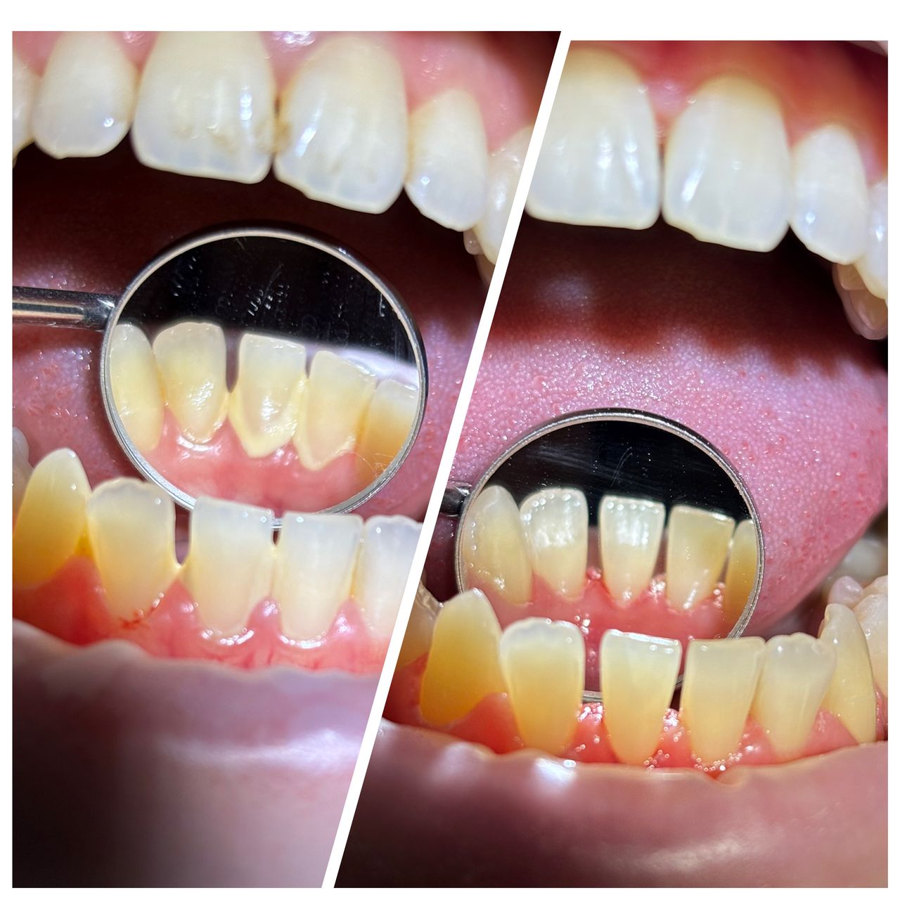
Moją pasją jest ZDROWY UŚMIECH. Jako higienistka stomatologiczna każdego dnia pomagam moim pacjentom dbać o jamę ustną. Edukuję oraz pokazuję, że profilaktyka, to klucz do zdrowych zębów i dziąseł.
Wykonuje zabiegi z zakresu higieny, takie jak:
scaling - usuwanie kamienia nazębnego,
piaskowanie - usuwanie osadów i przebarwień z zębów,
polishing - wygładzanie zębów,
fluoryzacja/ lakierowanie - ochrona zębów przed próchnicą poprzez aplikację preparatów fluorowych lub innych preparatów,
przegląd - przeprowadzanie oceny stanu zębów i jamy ustnej,
profesjonalne wybielanie zębów - uzyskanie jaśniejszej barwy zębów,
infiltracja żywicą (ICON) - nieinwazyjna i bezbolesna metoda do leczenia próchnicy początkowej oraz usuwania przebarwień na szkliwie, zwłaszcza białych plam.
Systematycznie podnoszę swoje kwalifikacje na licznych kursach, szkoleniach i webinarach.
Dbam o to, by każda wizyta była komfortowa i dostosowana do indywidualnych potrzeb pacjenta.
Moi pacjenci doceniają moją dokładność, empatię i umiejętność przekazywania wiedzy
w przystępny sposób, co przekłada się na ich zadowolenie oraz długoterminową dbałość o zdrowie jamy ustnej.
Nie zwlekaj drogi pacjencie - zadbaj o swój uśmiech już dziś!
Zapraszam do mojego gabinetu higieny - "Twój uśmiech zasługuje na najlepszą opiekę!" :)
Zakres porad
- Stomatologia ogólna
Główne obszary pomocy
- Kamień nazębny
- Przebarwienia zębów
- Choroby przyzębia
- Nadwrażliwość zębów
- Halitoza (nieprzyjemny zapach z ust)
- +4 a11y_sr_more_diseases
Pacjenci których przyjmuję
Rodzaje konsultacji
Zdjęcia i filmy
Usługi i ceny
-
Higienizacja
200 zł - 400 zł -
-
ICON
250 zł -
-
Wybielanie zębów
Od 500 zł -
Adresy (2)
Tysiąclecia 20a, 62-020 Swarzędz
Przyjmuje na NFZ
Dostępność
Telefon
Dlaczego prosimy Cię o wyrażenie zgody na przetwarzanie danych?
Wyrażenie zgody jest niezbędne do umówienia wizyty z wykorzystaniem telerejestracji. Wymagają tego przepisy Ogólnego Rozporządzenie o Ochronie Danych Osobowych - tzw. RODO. Informujemy, że zgoda jest dobrowolna, jednak jej brak uniemożliwi umówienie wizyty. Informujemy rówież, że zgoda może zostać w każdym momencie zostać wycofana. W tym celu wystarczy się skontaktować z nami przez formularz
Kiedy dojdzie do przetwarzania moich danych osobowych?
Do przetwarzania Twoich danych osobowych dojdzie podczas rozmowy telefonicznej z naszym centrum telerejestracji, ale jednak wyłącznie w sytuacji gdy tej rozmowy podasz nam swoje dane osobowe. Przetwarzanie danych osobowych dokonywane jest w celu umówienia wizyty i przekazania danych osobowych wybranemu Profesjonaliście.
Czy moje dane osobowe zostaną przekazane Profesjonaliście do którego chce się umówić na wizytę?
Tak. Udostępnimy wybranemu przez Ciebie Profesjonaliście informacje i dane osobowe które nam przekazałeś podczas rozmowy telefonicznej oraz przekażemy te informacje Profesjonaliście. Dzięki temu Profesjonalista będzie mógł przygotować się na Twoją wizytę.
Kto jest administratorem moich danych osobowych?
Administratorem danych osobowych jest ZnanyLekarz sp. z o.o. z siedzibą w Warszawie przy ul. Kolejowej 5/7. Informujemy, że po przekazaniu przez nas Twoich danych osobowych wybranemu przez Ciebie Profesjonaliście, staje się on również administratorem Twoich danych osobowych i przetwarza je w celach związanych ze świadczeniem usług medycznych lub innych podobnych.
Gdzie mogę uzyskać więcej informacji o moich prawach związanych z przetwarzaniem danych osobowych?
Więcej informacji o przetwarzaniu Twoich danych osobowychTypy przyjmowanych pacjentów
- Pacjenci prywatni (bez ubezpieczenia)
Dworcowa 8A, 62-023 Kórnik
Dostępność
W tym gabinecie nie można umawiać wizyt przez internet
Typy przyjmowanych pacjentów
- Pacjenci prywatni (bez ubezpieczenia)
Opinie
35 opinii
Sprawdzamy wszystkie opinie. Specjaliści nie mogą płacić za modyfikowanie lub usuwanie opinii. Dowiedz się więcej Dowiedz się więcej o opiniach
-
A
Alena S.
Pani Marika jest najlepszą higienistką ma świetnie podejście, zabieg przeprowadza bardzo uważnie i dba o pacjenta
• SmileUp Dental House • higienizacja •
mgr Marika Chwiałkowska
Bardzo dziękuję za tak miłe słowa!
Cieszę się, że mogłam zadbać o Pani komfort i że wizyta była pozytywnym doświadczeniem. Do zobaczenia przy kolejnej wizycie
-
A
Andrzej Michalak
Pani Marika dba o pacjenta na najwyższym poziomie. Przy okazji zabiegu zawsze służy cennymi i przydatnymi wskazówkami, dzięki którym długo i chętnie się uśmiechamy
Bardzo polecam!• SmileUp Dental House • higienizacja •
mgr Marika Chwiałkowska
Bardzo dziękuję za tak miłą i budującą opinię!
Ogromnie się cieszę, że przekazane wskazówki są pomocne i że mogłam przyczynić się do zdrowego, pięknego uśmiechu. Takie słowa to dla mnie największa motywacja. Do zobaczenia na kolejnej wizycie
-
M
Magda
Bardzo polecam usługi u Mariki, cierpliwe i życzliwe podejście do pacjenta. Chodzimy cal rodzina od lat i jesteśmy bardzo zadowoleni :)
• SmileUp Dental House • higienizacja •
mgr Marika Chwiałkowska
Dziękuję bardzo za opinię i zaufanie.
Zapraszam ponownie :)
-
K
Komiczna
Z pełnym przekonaniem polecam Marikę jako wyjątkową higienistkę stomatologiczną. To osoba niezwykle kompetentna, sumienna i empatyczna. Jej profesjonalizm, delikatność i indywidualne podejście do każdego pacjenta sprawiają, że nawet osoby z dużym lękiem przed zabiegami czują się przy niej bezpiecznie i komfortowo.
Zawsze dokładna, cierpliwa i uśmiechnięta – potrafi nie tylko zadbać o zdrowie jamy ustnej, ale też stworzyć przyjazną atmosferę. Wyróżnia ją nie tylko wiedza i doświadczenie, ale także zaangażowanie i pasja do swojej pracy.
To prawdziwy skarb w każdym gabinecie!• SmileUp Dental House • higienizacja •
mgr Marika Chwiałkowska
Bardzo dziękuję za tak piękną i wzruszającą opinię.
Ogromnie się cieszę, że mogłam sprawić, aby wizyta była komfortowa i spokojna. Takie słowa są dla mnie ogromną motywacją i potwierdzeniem, że to, co robię, ma sens. Dziękuję za zaufanie i do zobaczenia na kolejnych wizytach :)
-
P
Paulina
Wizyta była super! Pełen profesjonalizm i mnóstwo wiedzy!
• SmileUp Dental House • higienizacja •
mgr Marika Chwiałkowska
Bardzo dziękuję za miłe słowa
Cieszę się, że wizyta spełniła Pani oczekiwania.
-
E
Ela
Polecam wizytę u Pani Mariki. Jestem bardzo zadowolona z higienizacji- była wykonana perfekcyjnie. Wszystko wytłumaczone z czym nigdzie indziej się nie spotkałam. Sama Pani Marika również na duży plus, bardzo miła, uśmiechnięta. Milo odwiedzać osoby, które kochają to co robią
• PROdentis Stomatologia i Medycyna Estetyczna • Inny •
mgr Marika Chwiałkowska
Bardzo dziękuję za tak ciepłą i szczegółową opinię.
Ogromnie się cieszę, że higienizacja spełniła Pani oczekiwania i że mogłam wszystko dokładnie wyjaśnić. Takie słowa są dla mnie największą motywacją i utwierdzają mnie w tym, że to, co robię, ma sens.
Do zobaczenia na kolejnej wizycie :)
-
E
Elwira
Serdecznie polecam Panią Marikę, z pasją i zaangażowaniem wykonuje swoją pracę. Podczas wizyty przekazała szczegółowe zalecenia, a higienizacja została wykonana bezboleśnie i bardzo dokładnie. Była to moja pierwsza wizyta, ale nie ostatnia :)
• SmileUp Dental House • higienizacja •
mgr Marika Chwiałkowska
Bardzo dziękuję za tak miłe słowa!
Cieszę się, że wizyta przebiegła komfortowo, a przekazane zalecenia będą pomocne. To dla mnie ogromna satysfakcja, gdy pacjenci czują się zaopiekowani i zadowoleni z efektów higienizacji.
Będzie mi bardzo miło zobaczyć Panią ponownie! :)
-
R
Roksana
Bardzo polecam panią Marikę. Higienizacja wykonana delikatnie, dokładnie i profesjonalnie. Ma ogromną wiedzę: dowiedziałam się rzeczy, o których żaden stomatolog wcześniej mi nie wspominał. Wystarczyło stosować się do jej wskazówek i na kolejnej higienizacji nie było już potrzeby usuwania kamienia, coś, z czym zawsze miałam problem. Na pewno wrócę
• SmileUp Dental House • higienizacja •
mgr Marika Chwiałkowska
Ogromnie mi miło czytać takie słowa!
Cieszę się, że mogłam pomóc i że moje wskazówki przyniosły tak dobre rezultaty.
Dziękuję serdecznie za zaufanie i tak pozytywną opinię.
Do zobaczenia na kolejnej wizycie!
-
N
Natalia
Wizyta u higienistki Mariki to czysta przyjemność! Pełen profesjonalizm, delikatność i miła atmosfera sprawiają, że cały zabieg przebiega bez stresu. Efekt? Naprawdę piękny i odświeżony uśmiech! Zdecydowanie polecam i na pewno wrócę ponownie.
• SmileUp Dental House • higienizacja •
mgr Marika Chwiałkowska
Bardzo dziękuję za tak przemiłe słowa!
Cieszę się, że wizyta była dla Pani komfortowa i że efekt się podoba — to dla mnie największa nagroda!
Do zobaczenia następnym razem!
-
M
Marcin
Z całego serca polecam wizytę u Pani higienistki Mariki! Zabieg został przeprowadzony całkowicie bezboleśnie, w przemiłej i spokojnej atmosferze. Pani Marika wykazała się ogromnym profesjonalizmem, dokładnością i delikatnością. Wszystko szczegółowo tłumaczyła na każdym etapie, cierpliwie odpowiadając na wszystkie pytania i rozwiewając wszelkie wątpliwości. Czułem się zaopiekowany i w pełni komfortowo przez cały czas trwania zabiegu. Widać, że Pani Marika wykonuje swoją pracę z pasją i dba o to, by pacjent wyszedł z uśmiechem – zarówno dosłownie, jak i w przenośni. Z przyjemnością wrócę na kolejną wizytę!
• SmileUp Dental House • higienizacja •
mgr Marika Chwiałkowska
Bardzo dziękuję za tak ciepłe słowa!
To ogromna radość wiedzieć, że wizyta przebiegła w komfortowej atmosferze i spełniła Pana oczekiwania. Dokładność, delikatność i troska o dobre samopoczucie pacjentów to wartości, które są dla mnie szczególnie ważne. Cieszę się, że zostały one tak dobrze zauważone.
Z przyjemnością powitam Pana ponownie na kolejnej wizycie!
Najczęściej zadawane pytania
-
Jaki jest zakres porad oferowanych przez Marika Chwiałkowska?Marika Chwiałkowska to higienistka/higienista stomatologiczny. Na podstawie swojego doświadczenia i wykształcenia Marika Chwiałkowska oferuje usługi takie jak: higienizacja, Wybielanie zębów, ICON.
-
Gdzie Marika Chwiałkowska ma swój gabinet?Marika Chwiałkowska przyjmuje pod adresem:
- Tysiąclecia 20a Swarzędz
- Dworcowa 8A Kórnik
-
Czy Marika Chwiałkowska przyjmuje online, bez konieczności pojawiania się w placówce?Nie, w tym momencie Marika Chwiałkowska nie oferuje konsultacji online.
-
Jak Marika Chwiałkowska akceptuje płatności po wizycie?Metody płatności, które akceptuje Marika Chwiałkowska to: Gotówka, Karta płatnicza.
-
Jak Marika Chwiałkowska umawia wizyty?Marika Chwiałkowska używa kalendarza ZnanyLekarz, dlatego na stronie widzisz aktualne terminy. Wystarczy, że wybierzesz datę i godzinę, które odpowiadają Ci najbardziej. Umawianie wizyty jest darmowe, a tuż przed terminem wyślemy Ci przypomnienie.
-
W jakich godzinach przyjmuje Marika Chwiałkowska?Marika Chwiałkowska może mieć dostępne terminy w tym lub w nadchodzącym tygodniu. Terminy, które widzisz w kalendarzu są dostępne, ponieważ aktualizujemy go na bieżąco. Jeśli pierwszy dostępny termin Ci nie odpowiada, sprawdź następny. Rezerwacja terminu jest natychmiastowa, bez dodatkowych opłat.
-
Marika Chwiałkowska: co mówią pacjenci?35 osób dodało swoją opinię. Marika Chwiałkowska ma średnią ocen 5 (na 5 gwiazdek).
-
Jakie ubezpieczenia akceptuje Marika Chwiałkowska?Marika Chwiałkowska nie przyjmuje w ramach ubezpieczenia, tylko w ramach płatnych wizyt prywatnych. W razie wątpliwości zalecamy kontakt ze specjalistą.