lek. dent.
Agata Dulian
Stomatolog
·
Lekarz wykonujący zabiegi medycyny estetycznej
Protetyk stomatologiczny
Więcej
O specjalizacjach
Wrocław 2 adresy
Nr PWZ: 2589923
39 opiniiMoje doświadczenie
Od tego czasu czynnie pracuję w zawodzie, zdobywając doświadczenie. Uczestniczyłam w wielu kursach specjalistycznych zarówno na temat leczenia stomatologicznego, jak również na temat profesjonalnej obsługi Pacjenta, tak aby w gabinecie czuł się maksymalnie komfortowo.
Moim priorytetem jest rozmowa z Pacjentem, zgromadzenie informacji na temat zgłaszanego problemu oraz oczekiwań związanych z planowanym leczeniem.
Bardzo ważne dla mnie jest bezbolesne przeprowadzanie procedur leczniczych, zrelaksowanie Pacjenta rozmową oraz opieka również po zakończonym leczeniu.
Stawiam na leczenie interdyscyplinarne - podchodzę do Pacjenta "całościowo" to znaczy, że nie tylko zajmuję się konkretnym problemem, ale omawiam zależności między zgłaszanymi dolegliwościami, a innymi obciążeniami tak w jamie ustnej jak i w całym organiźmie Pacjenta. Wspomagam leczenie konsultacjami ze specjalistami ortodoncji, periodontologii, chirurgii, laryngologii, fizjoterapii, a także z lekarzami medycyny ogólnej, gastroenterologami, dermatologami i wieloma innymi.
Przeprowadzam zabiegi z ogromną starannością korzystając z najwyższej jakości sprzętu i materiałów stomatologicznych. Udogodnieniem dla Pacjentów jest możliwość wykonania wszystkich niezbędnych zdjęć na miejscu tj. zdjęć przylegających - celowanych pojedynczych zebów, pantomograficznych tzw. "panoram" oraz trójwymiarowych 3D - CBCT.
Staram się, aby czas spędzony przez Pacjenta w gabinecie był przyjemny jak i zabiegi możliwie krótkie, z zachowaniem ich najlepszej jakości.
Jestem zawsze dostępna, aby odpowiadać Pacjentom na ich pytania, rozwiewać wątpliwości i uspokajać.
Pacjenci z bólem nigdy nie zostają pozostawieni samym sobie.
Dbam o punktualność rozpoczynania i kończenia wizyt. Jeśli jednak z przyczyn niezależnych zdarzyłoby się opóźnienie - Pacjenci są o tym fakcie informowani z wyprzedzeniem.
Zakres porad
- Stomatologia zachowawcza z endodoncją
Główne obszary pomocy
- Wkłady koronowo-korzeniowe
- Starcie zębów
- Braki zębowe
- Ból zęba
- Kamień nazębny
- +21 a11y_sr_more_diseases
Pacjenci których przyjmuję
Rodzaje konsultacji
Zdjęcia i filmy
Usługi i ceny
-
Konsultacja protetyczna
149 zł - 200 zł -
-
Leczenie kanałowe pod mikroskopem
-
-
Usuwanie zębów
Od 350 zł -
-
Usunięcie wkładu
Od 300 zł -
-
Usunięcie narzędzia z kanału
Od 500 zł -
-
-
-
-
-
-
-
-
-
-
-
-
-
-
Adresy (3)
Białowieska 3bb, Fabryczna, 54-234 Wrocław
Dostępność
Telefon
Dlaczego prosimy Cię o wyrażenie zgody na przetwarzanie danych?
Wyrażenie zgody jest niezbędne do umówienia wizyty z wykorzystaniem telerejestracji. Wymagają tego przepisy Ogólnego Rozporządzenie o Ochronie Danych Osobowych - tzw. RODO. Informujemy, że zgoda jest dobrowolna, jednak jej brak uniemożliwi umówienie wizyty. Informujemy rówież, że zgoda może zostać w każdym momencie zostać wycofana. W tym celu wystarczy się skontaktować z nami przez formularz
Kiedy dojdzie do przetwarzania moich danych osobowych?
Do przetwarzania Twoich danych osobowych dojdzie podczas rozmowy telefonicznej z naszym centrum telerejestracji, ale jednak wyłącznie w sytuacji gdy tej rozmowy podasz nam swoje dane osobowe. Przetwarzanie danych osobowych dokonywane jest w celu umówienia wizyty i przekazania danych osobowych wybranemu Profesjonaliście.
Czy moje dane osobowe zostaną przekazane Profesjonaliście do którego chce się umówić na wizytę?
Tak. Udostępnimy wybranemu przez Ciebie Profesjonaliście informacje i dane osobowe które nam przekazałeś podczas rozmowy telefonicznej oraz przekażemy te informacje Profesjonaliście. Dzięki temu Profesjonalista będzie mógł przygotować się na Twoją wizytę.
Kto jest administratorem moich danych osobowych?
Administratorem danych osobowych jest ZnanyLekarz sp. z o.o. z siedzibą w Warszawie przy ul. Kolejowej 5/7. Informujemy, że po przekazaniu przez nas Twoich danych osobowych wybranemu przez Ciebie Profesjonaliście, staje się on również administratorem Twoich danych osobowych i przetwarza je w celach związanych ze świadczeniem usług medycznych lub innych podobnych.
Gdzie mogę uzyskać więcej informacji o moich prawach związanych z przetwarzaniem danych osobowych?
Więcej informacji o przetwarzaniu Twoich danych osobowychTypy przyjmowanych pacjentów
- Pacjenci prywatni (bez ubezpieczenia)
Nabycińska 2, Stare Miasto, 53-677 Wrocław
Dostępność
Telefon
Dlaczego prosimy Cię o wyrażenie zgody na przetwarzanie danych?
Wyrażenie zgody jest niezbędne do umówienia wizyty z wykorzystaniem telerejestracji. Wymagają tego przepisy Ogólnego Rozporządzenie o Ochronie Danych Osobowych - tzw. RODO. Informujemy, że zgoda jest dobrowolna, jednak jej brak uniemożliwi umówienie wizyty. Informujemy rówież, że zgoda może zostać w każdym momencie zostać wycofana. W tym celu wystarczy się skontaktować z nami przez formularz
Kiedy dojdzie do przetwarzania moich danych osobowych?
Do przetwarzania Twoich danych osobowych dojdzie podczas rozmowy telefonicznej z naszym centrum telerejestracji, ale jednak wyłącznie w sytuacji gdy tej rozmowy podasz nam swoje dane osobowe. Przetwarzanie danych osobowych dokonywane jest w celu umówienia wizyty i przekazania danych osobowych wybranemu Profesjonaliście.
Czy moje dane osobowe zostaną przekazane Profesjonaliście do którego chce się umówić na wizytę?
Tak. Udostępnimy wybranemu przez Ciebie Profesjonaliście informacje i dane osobowe które nam przekazałeś podczas rozmowy telefonicznej oraz przekażemy te informacje Profesjonaliście. Dzięki temu Profesjonalista będzie mógł przygotować się na Twoją wizytę.
Kto jest administratorem moich danych osobowych?
Administratorem danych osobowych jest ZnanyLekarz sp. z o.o. z siedzibą w Warszawie przy ul. Kolejowej 5/7. Informujemy, że po przekazaniu przez nas Twoich danych osobowych wybranemu przez Ciebie Profesjonaliście, staje się on również administratorem Twoich danych osobowych i przetwarza je w celach związanych ze świadczeniem usług medycznych lub innych podobnych.
Gdzie mogę uzyskać więcej informacji o moich prawach związanych z przetwarzaniem danych osobowych?
Więcej informacji o przetwarzaniu Twoich danych osobowychTypy przyjmowanych pacjentów
- Pacjenci prywatni (bez ubezpieczenia)
Dostępność
W tym gabinecie nie można umawiać wizyt przez internet
Typy przyjmowanych pacjentów
- Pacjenci prywatni (bez ubezpieczenia)
Opinie
39 opinii
Sprawdzamy wszystkie opinie. Moderujemy je zgodnie z naszymi zasadami, dowiedz się więcej o opiniach i sposobie obliczania gwiazdek na Dowiedz się więcej Dowiedz się więcej o opiniach
-
Beata
Dr Dulian jest wspaniała! To ona zainicjowała moją podróż po piękny uśmiech. Już pierwsza, holistyczna konsultacja była swietna: jasna, wyczerpująca, wnikliwa, biorąca po uwage moje oczekiwania i mozliwosci. Kompetencja I oparta na niej pewność siebie Doktor Dulian spowodowała, że i ja nie miałam wątpliwości dotyczących dalszego postepowania - to bylo dla mnie bardzo wazne na tym etapie. Dr bardzo indywidualnie podeszła do moich potrzeb, dokladnie mi je wyjasnila i skierowała najpierw na implantacje aby pozniej poprawić, podczas kilku wymagajacych zabiegow wygląd moich zębów. Zmiana jest naprawdę imponująca! Nie przypuszczałam, że wygląd zębów tak bardzo moze wplywac na samopoczucie. Każda wizyta u Doktor przebiegała w przyjaznej atmosferze, bezboleśnie, profesjonalnie, z dbałością o moj komfort. Muszę podkreślić, ze Dr jest wielką estetką - doradza w kwestiach estetycznych biorac pod uwage preferencje pacjentow. Serdecznie polecam Dr Dulian a Pani, Pani Dr jeszcze raz bardzo dziekuje!
• Stomatologia Medicover Wrocław Nabycińska • konsultacja protetyczna •
lek. dent. Agata Dulian
Dziękuję za tą piękną opinię !
Praca z Panią to była czysta przyjemność Pani Beato:)
Pozdrawiam
-
K
Krzysztof
Trafiłem tu przypadkowo wybierając gabinet blisko domu. Strzał w dziesiątkę. Polecam.
• STOMATOLOGIA BIAŁOWIESKA • leczenie kanałowe pod mikroskopem •
lek. dent. Agata Dulian
Bardzo dziękuję:)
Pozdrawiam
-
pacjentka
Wybrałam się do pani Dulian na konsultacje odbudowy startych zębów. Chodziło mi o przywrócenie okluzji na zebach gdzie guzki się starły. Zabieg wykonywałam już wcześniej w innych gabinetach i dzięki niemu łatwiej mi się je jedzenie.
Od pani Dulian otrzymałam jedynie krytyke leczenia ortodontycznego przez które przeszłam (do którego ja jako osoba z branży zarzutów nie mam) i skierowała do kolegi ten "nadwyraz ciężki przypadek".
Poza tym informacje podane przez pania Dulian są absurdalne - że odbudowa moich zebów nr 7 (które aktualnie nie mają żadnego styku) doprowadzi do open bite - jeśli p Dulian miała zamiar nadbudować ząb o centymetry to pewnie tak ;) oraz ze zeby przednie powinny opierac sie o dolne. Czyżby?
Mam dużo wątpliwości odnośnie metod p Dulian i jak to wpływa na jej pacjentów. Szkoda. Całkowicie odradzam, strata pieniędzy.• W innym miejscu • Inny •
lek. dent. Agata Dulian
Bardzo przykro mi czytać Pani opinię podważającą moje kompetencje jako specjalisty.
Od początku naszej wizyty podkreślała Pani, że jest Pani „z branży” próbując wymusić na mnie działania, po które Pani przyszła na wizytę.
Zaznaczyła Pani również, że nie chce Pani wracać do lekarza u którego wcześniej wykonywała Pani te zabiegi, pozostaje się jedynie domyślać dlaczego.
Omówiłam Pani przypadek zgodnie ze swoją najlepszą wiedzą, holistycznie oraz wytłumaczyłam Pani swoje stanowisko.
Niemniej jednak przez cały czas trwania wizyty trudno było się z Panią skomunikować i do Pani dotrzeć, gdyż miała Pani swój plan tego co ja powinnam wykonać w Pani jamie ustnej.
Zawsze biorą pod uwagę oczekiwania moich Pacjentów, jednak jako lekarz muszę je czasem zweryfikować zgodnie z moją wiedzą i przede wszystkim - nie szkodzić.
Mam nadzieję, że znajdzie Pani lekarza, który będzie leczyl pod Pani dyktando, bo przecież jest Pani „z branży”
Pozdrawiam serdecznie i życzę powodzenia
-
F
Fabian
Pani Doktor to prawdziwa profesjonalistka z ogromnym doświadczeniem i indywidualnym podejściem do pacjenta. Wizyty u niej to czysta przyjemność – pełen spokój, dokładne wyjaśnienia każdego etapu leczenia i bezbolesne zabiegi. Dzięki jej precyzji i dbałości o szczegóły moje zęby nigdy nie były w lepszym stanie!
Do tego Pani Doktor jest niesamowicie ciepłą i sympatyczną osobą, co sprawia, że nawet najbardziej stresujące wizyty mijają w przyjaznej atmosferze. Gabinet nowoczesny, świetnie wyposażony, a cały zespół bardzo pomocny i uśmiechnięty.
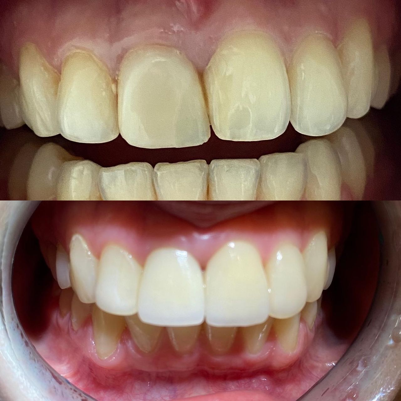
Gorąco polecam każdemu, kto szuka najlepszego stomatologa!• STOMATOLOGIA BIAŁOWIESKA • odbudowa korony zęba z wkładem z włókna szklanego •
-
M
MR
To była pierwsza wizyta, która trwała, krócej niż spóźnienie Pani doktor na umówioną godzinę.
• STOMATOLOGIA BIAŁOWIESKA • Inny •
lek. dent. Agata Dulian
Witam, wizyta trwała dokładnie tyle na ile była przez Panią zarezerwowana.
Otrzymała Pani na niej wszystkie niezbędne informacje oraz instrukcje co do dalszego postępowania z zębem. Dodatkowo ząb został zaopatrzony tak, aby mogła Pani spokojnie wyjechać na urlop.
O jakości wizyty nie stanowi jej czas.
Pozdrawiam serdecznie
Agata Dulian
-
T
Tomasz Czyżak
Bardzo profesjonalna i pomocna lekarka, wyjaśniła cały proces szczegółowo i sprawiła, że czułem się komfortowo.
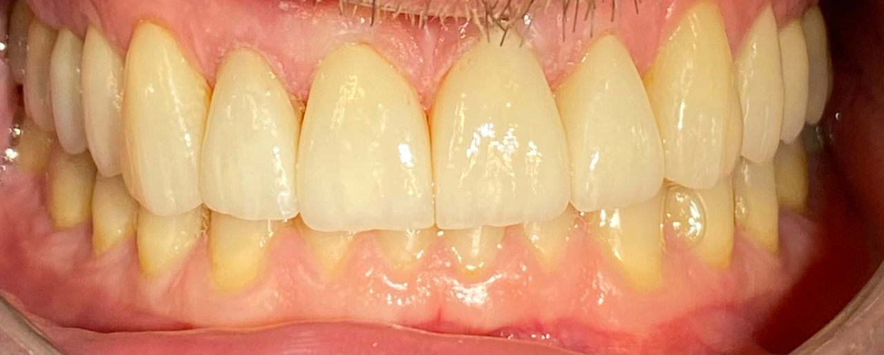
• STOMATOLOGIA BIAŁOWIESKA • korona na tlenku cyrkonu •
lek. dent. Agata Dulian
Dziękuje bardzo za tak miłą opinie,
pozdrawiam
Agata Dulian
-
M
Maria
Pełny profesjonalizm. Założona proteza jest idealnie dopasowana i nie wymagała poprawek co świadczy o prawidłowo pobranym wycisku i dobrej współpracy z bardzo dobrym protetykiem.
Pani Agato dziękuję !
POLECAM !• Agata Dulian Gabinet Stomatologiczny • konsultacja protetyczna •
lek. dent. Agata Dulian
Dziękuje bardzo za tak miła opinię,
pozdrawiam
Agata Dulian
-
A
AT
Sprawnie i bez problemów, ząb wygląda jak przed uszkodzeniem. Nie widać najmniejszej różnicy. Bardzo dobre podejście do pacjenta, pełne empatii i zrozumienia.
• W innym miejscu • Inny •
lek. dent. Agata Dulian
Dziekuje bardzo :)
-
K
Kasia
Pomimo sympatii do Pani doktor mam niezbyt dobre doświadczenie. Rok temu po założeniu licówki skarżyłam się na dolegliwości bólowe, które po wielu "poprawkowych" wizytach nie ustępowały. Teraz dowiedziałam się u innego lekarza o martwicy zęba (jedynki!), która najprawdopodobniej zapoczątkowana została podczas zakładania licówki. Podobnie z innym zębem - po "niewinnej" zmianie wypełnienia u Pani Agaty pojawił się ból i nadawał się już tylko do leczenia kanałowego. Podsumowując - dwa na dwa zęby leczone nieskutecznie i z opłakanym skutkiem. Jestem bardzo zawiedziona. O kosztach ponownego leczenia powyższych przypadków nie wspomnę.
• Agata Dulian Gabinet Stomatologiczny • leczenie próchnicy •
lek. dent. Agata Dulian
Witam
Bardzo mi przykro, ze wystąpiła u Pani taka sytuacja. Żałuje, ze nie skontaktowała się Pani ze mną przez cały ten czas z informacja, ze dolegliwości bólowe nadal się utrzymują.
Z powodu braku kontaktu założyłam, ze podjęte przeze mnie działania przyniosły zamierzony efekt.
Ciężko mi się teraz wypowiedzieć o stanie faktycznym, ponieważ nie badałam Pani osobiście.
Niemniej jednak „niewinne wypełnienie” było wypełnieniem bardzo głębokim i informowałam Panią, ze może po czasie wystąpić takie powikłanie, którego skutkiem będzie leczenie kanałowe.
Jeśli chodzi o licówkę - gdy była Pani u mnie na ostatniej wizycie, badałam zęba i był żywy. Oczywiście do obumarcia mogło dojść po czasie, co niestety czasem się zdarza. Anatomia zębów u każdego Pacjenta jest inna i czasem nawet przy mikropreparacji zęba (jaka miała miejsce u Pani) może wystąpić takie powikłanie.
Wspomina Pani o dodatkowych kosztach - bardzo żałuje, ze nie skontaktowała się Pani ze mną w tej sprawie, na pewno nie zostawiłabym Pani bez opieki. Wykonane przeze mnie leczenie jest zawsze objęte gwarancja (o czym informuje) , w związku z tym z pewnością koszty byłyby inne.
Pozdrawiam
Agata Dulian
-
Małgorzata
Wizyta u Pani doktor przebiega bezstresowo, po latach szukania trafiłam na właściwego stomatologa. Profesjonalna, miła i sympatyczna obsługa. Polecam serdecznie
• Agata Dulian Gabinet Stomatologiczny • leczenie próchnicy •
Odpowiedzi na pytania
3 odpowiedzi udzielonych przez lekarza na pytania pacjentów na ZnanyLekarz.pl
Ostatnio coraz częściej mówi się o szkodliwości plomb amalgamatowych. Prawie w każdym zębie mam plombę jednak nie wiem jakiego rodzaju są to plomby. Są one koloru białego. Czy można w jakiś sposób odróżnić plomby amalgamatowe od innych ?
Witam,
Wypełnienia amalgamatowe w odróżnieniu od pozostałych wypełnień są koloru srebrnoszarego.
Pozdrawiam
Agata Dulian
Bakterie w dziąśle, powodujące okresowo przetokę lub białą wydzielinę (po leczeniu kanałowym) - czy któreś z badań laboratoryjnych (krwi?) może potwierdzić obecność takich bakterii lub stopień ich aktywności? Czy CRP obejmuje takie bakterie (wychodzi małe 0,32 mg/l) ? Dziękuję za odpowiedz!
Witam,
Bakterie o których mowa to nie są bakterie, które znajdują się w dziąsle, a w zębie, najprawdopodniej w kanałach korzeniowych. Jeśli ząb był leczony kanałowo w przeszłości i pojawia się przetoka oznacza to, ze cześć bakterii musiała pozostać np. w dodatkowym, nieodkrytym kanale. Dopóki nie zostaną usunięte poprzez ponowne leczenie kanałowe stan ten będzie się utrzymywał i w badaniach krwi może być podwyższone Ob, jako, ze jest to czynne ognisko zapalne, które należy usunąć.
Zapraszam na wizytę po więcej informacji. Pozdrawiam
Wszystkie treści, w szczególności pytania i odpowiedzi, dotyczące tematyki medycznej mają charakter informacyjny i w żadnym wypadku nie mogą zastąpić diagnozy medycznej.
Najczęściej zadawane pytania
-
Jaki jest zakres porad oferowanych przez Agata Dulian?Agata Dulian to stomatolog, lekarz wykonujący zabiegi medycyny estetycznej, protetyk stomatologiczny. Na podstawie swojego doświadczenia i wykształcenia Agata Dulian oferuje usługi takie jak: Konsultacja stomatologiczna, konsultacja online, konsultacja protetyczna, Badanie i skanowanie zębów, wykonanie projektu cyfrowego, Bonding zębów, higienizacja, konsultacja endodontyczna, korona na tlenku cyrkonu, korona porcelanowa na metalu, leczenie kanałowe.
-
Gdzie Agata Dulian ma swój gabinet?Agata Dulian przyjmuje pod adresem:
- Nabycińska 2 Wrocław
- Białowieska 3bb Wrocław
-
Czy Agata Dulian przyjmuje online, bez konieczności pojawiania się w placówce?Tak, Agata Dulian oferuje konsultacje online. Wybierz opcję „konsultacja online” przy umawianiu wizyty, a zobaczysz dostępne terminy.
-
Jak Agata Dulian akceptuje płatności po wizycie?Metody płatności, które akceptuje Agata Dulian to: Gotówka, Karta płatnicza.
-
W jakich językach konsultuje Agata Dulian?Języki, których używa Agata Dulian to angielski.
-
Jak Agata Dulian umawia wizyty?Agata Dulian używa kalendarza ZnanyLekarz, dlatego na stronie widzisz aktualne terminy. Wystarczy, że wybierzesz datę i godzinę, które odpowiadają Ci najbardziej. Umawianie wizyty jest darmowe, a tuż przed terminem wyślemy Ci przypomnienie.
-
W jakich godzinach przyjmuje Agata Dulian?Agata Dulian może mieć dostępne terminy w tym lub w nadchodzącym tygodniu. Terminy, które widzisz w kalendarzu są dostępne, ponieważ aktualizujemy go na bieżąco. Jeśli pierwszy dostępny termin Ci nie odpowiada, sprawdź następny. Rezerwacja terminu jest natychmiastowa, bez dodatkowych opłat.
-
Agata Dulian: co mówią pacjenci?39 osób dodało swoją opinię. Agata Dulian ma średnią ocen 4.5 (na 5 gwiazdek).
-
Jakie ubezpieczenia akceptuje Agata Dulian?Agata Dulian nie przyjmuje w ramach ubezpieczenia, tylko w ramach płatnych wizyt prywatnych. W razie wątpliwości zalecamy kontakt ze specjalistą.